Continuous and bimonthly publication
ISSN (on-line): 1806-3756

Licença Creative Commons

Imagem nas doenças ocupacionais pulmonares

2006 - Vol.32 - Supplement 2

INTRODUÇÃO

Os métodos de imagem, em associação com a história ocupacional, exame clínico e testes de função pulmonar, são ferramentas muito importantes na avaliação das doenças respiratórias ambientais e ocupacionais. Além de desempenharem papel fundamental na detecção dessas doenças, são de extrema valia na quantificação dos agravos e no monitoramento da progressão de eventuais alterações respiratórias.

A radiografia simples do tórax é o método tradicionalmente empregado na avaliação inicial de doenças respiratórias, não apenas por sua ampla disponibilidade, mas também em razão de outros fatores como custo e facilidade de realização.
Contudo, apresenta algumas limitações na avaliação de indivíduos com suspeita clínica de doenças respiratórias ambientais e ocupacionais.

Por este motivo, a tomografia computadorizada (TC), especialmente quando realizada com a técnica de alta resolução (TCAR), tem sido considerada o melhor exame para a avaliação das doenças respiratórias ambientais e ocupacionais, com as ressalvas de ser um método mais caro, menos disponível e que requer profissionais com formação adequada para a correta interpretação dos achados de imagem, o que nem sempre é possível. Outros métodos de imagem, como a ultra-sonografia, ressonância magnética, cintilografia com gálio, testes ventilação-perfusão e tomografia por emissão de pósitrons, ainda não têm papel bem estabelecido e não devem ser utilizados rotineiramente.

Os objetivos deste capítulo são ilustrar os principais achados de imagem nas doenças respiratórias ambientais e ocupacionais, na radiografia simples do tórax e na TCAR.

ASPECTOS DE IMAGEM DA SILICOSE

A silicose é uma doença pulmonar fibrosante com evolução crônica, causada por inalação da poeira da sílica, que acomete inicialmente as regiões peribronquiolares, no centro do lóbulo pulmonar secundário. A drenagem linfática é o mecanismo envolvido na remoção das partículas dos pulmões, mas esta não é completamente efetiva, fazendo com que haja acúmulo gradual de partículas nas regiões onde esta drenagem é menos eficiente, que são as faces posteriores dos lobos superiores.(1)

Quatro tipos de reação tecidual podem ocorrer após a inalação de partículas da sílica: silicose crônica (simples e complicada), aguda e acelerada. A mais comum delas é a silicose crônica, que ocorre geralmente depois de muitos anos da exposição inicial, em indivíduos expostos a doses relativamente baixas. Nesta doença, a radiografia do tórax está geralmente alterada depois de dez a vinte anos. Muitas vezes os achados radiográficos precedem os sintomas ou as alterações clínicas e laboratoriais.(2)

O padrão característico na radiografia é o de pequenos nódulos pulmonares circunscritos, menores que 0,5 cm, geralmente acometendo os campos pulmonares superiores, especialmente as regiões posteriores (Figura 1). Estes nódulos, com o passar dos anos, tendem à coalescência, com formação de grandes opacidades, maiores que 1 cm, o que é conhecido como silicose complicada (Figura 2). Estas podem estar acompanhadas de fibrose pulmonar (fibrose maciça progressiva), com redução volumétrica lobar, distorção arquitetural, retração hilar e fissural e aumento irregular dos espaços aéreos adjacentes.(3)

Podem também ser evidenciadas calcificações em linfonodos hilares ou mediastinais, por vezes periféricas, com padrão de "casca de ovo" (Figura 3).





A TCAR é um método mais sensível e específico do que a radiografia simples para a detecção e caracterização da silicose. Permite melhor definição do tipo e da extensão das alterações, especialmente do enfisema centrolobular que pode estar presente nestes indivíduos e que é dificilmente demonstrado pela radiografia, a não ser nos casos mais acentuados. A concordância inter e intraobservador na avaliação das alterações respiratórias decorrentes da silicose é maior com a TCAR do que com a radiografia e a correlação com a função pulmonar é mais fidedigna com a TCAR. Em um estudo realizado num grupo exposto à sílica com radiografias normais, a TC estava alterada em 41% dos casos, sendo que em 10% as alterações eram visíveis apenas com a TCAR.(4) Nos indivíduos com radiografias alteradas, neste mesmo grupo, a TCAR permitiu melhor caracterização dos achados. Por estes motivos, segundo alguns autores, a TC deve ser realizada sistematicamente naqueles indivíduos expostos com suspeita de silicose na radiografia simples de tórax.

Como as alterações predominam nas regiões posteriores, a TCAR deve ser sempre realizada em decúbito ventral, com técnica de alta resolução, cortes finos de 1 a 2 mm, intervalo entre os cortes de 10 mm, e sem injeção venosa do meio de contraste.
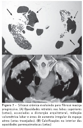
Os achados iniciais na TCAR consistem em micronódulos centrolobulares e subpleurais (Figura 4), menores que 0,5 cm. Com a evolução da doença estes micronódulos tendem à confluência, com formação de nódulos maiores (Figura 5), conglomerados (Figura 6) e, numa fase mais tardia, massas fibróticas, geralmente com calcificações e aumento irregular do espaço aéreo adjacente (Figura 7).(5)

















A TCAR apresenta ainda maior eficácia do que a radiografia para demonstração de linfonodomegalias ou de calcificações linfonodais (Figura 8).





As duas outras formas de silicose são a acelerada, causada pela inalação de grandes quantidades de sílica, com evolução mais rápida que a crônica, e a silicose aguda, também conhecida como silicoproteinose, decorrente da inalação maciça de sílica por períodos muito curtos. Nesta forma da silicose, a radiografia e a TCAR (Figura 9) demonstram opacidades pulmonares difusas, por vezes associadas a espessamento de septos interlobulares e vidro fosco (padrão de "pavimentação em mosaico").(5)





Os métodos de imagem também são muito úteis na avaliação de complicações da silicose, como a tuberculose pulmonar (silicotuberculose), infecções fúngicas e neoplasias pulmonares (Figura 10).





ASPECTOS DE IMAGEM DAS ALTERAÇÕES RELACIONADAS AO ASBESTO

A radiografia simples é a ferramenta básica dentre os métodos de imagem para o diagnóstico das alterações pleuropulmonares em indivíduos expostos ao asbesto, apesar das limitações do método já serem bem conhecidas. A TCAR pode facilitar a detecção de asbestose, alterações pleurais e neoplasias pleurais e pulmonares, mas não deve ser empregada como exame de rastreamento. Da mesma forma que na silicose, a TCAR deve ser sempre realizada em decúbito ventral, pois as alterações predominam nas regiões posteriores.(6-7)

São várias as afecções pleuropulmonares relacionadas à exposição ao asbesto. Algumas são benignas, como o derrame pleural, as placas pleurais, o espessamento pleural difuso, a fibrose pulmonar (asbestose) e a atelectasia redonda.
Outras são malignas, como o mesotelioma da pleura e do pericárdio e o câncer de pulmão. As manifestações clínicas decorrentes da exposição geralmente aparecem após longos períodos de latência, ao redor de quinze a vinte anos, sendo fundamental a correlação entre dose e resposta.(6-7)

Placas pleurais
As placas pleurais são a manifestação mais comum da exposição ao asbesto, sendo consideradas marcadores de exposição. Envolvem mais comumente as porções posteriores e laterais da pleura da parede torácica, entre a sexta e a décima costelas, e a pleura diafragmática, principalmente na sua porção superior. A maior parte ocorre na ausência de asbestose e raramente detecta-se asbestose quando placas pleurais não estão presentes. A radiografia do tórax é até hoje o método de imagem mais utilizado na avaliação das placas pleurais (Figura 11).(8-9)





A TCAR é um método mais sensível e específico do que a radiografia. As placas pleurais são caracterizadas na TCAR como espessamentos pleurais focais, geralmente bilaterais, descontínuos, com bordas lisas, em platô, e por vezes com calcificações (Figura 12).(10-11)





Espessamento pleural difuso
O espessamento pleural difuso resulta de espessamento e fibrose da pleura visceral, com posterior fusão com a pleura parietal. Na radiografia é definido como espessamento contínuo da pleura parietal, estendendo-se por no mínimo um quarto da parede torácica, geralmente com obliteração do seio costofrênico. O espessamento pleural difuso é diagnosticado na TC quando o espessamento pleural se estende por no mínimo 8 cm no sentido longitudinal, 5 cm na largura e 3 mm na espessura (Figura 13).(12)





Derrame pleural pelo asbesto
Geralmente, o derrame pleural pelo asbesto é a principal manifestação clínica nos primeiros dez anos após a exposição inicial ao asbesto. Os achados de imagem são inespecíficos. A maior parte dos derrames é facilmente detectada na radiografia de tórax, principalmente quando são realizadas incidências em decúbito lateral. A ultra-sonografia e a TC podem ajudar na caracterização do derrame e na avaliação dos de menor volume.(13-14)

Atelectasia redonda
A atelectasia redonda constitui um colapso pulmonar periférico que se apresenta na forma de massa, quase sempre em associação com alterações pleurais. Apesar de poder ocorrer em associação com inflamação pleural, decorrente de cirurgias, infecções ou traumas, a exposição ao asbesto é a sua etiologia mais comum. Na radiografia simples pode ser caracterizada como uma massa pulmonar periférica associada a espessamento pleural e distorção do parênquima pulmonar adjacente.
Entretanto, a TCAR tem maior eficácia diagnóstica (Figura 14), demonstrando opacidade periférica com distorção dos vasos pulmonares ou brônquios na sua periferia e com alteração pleural adjacente.(15)





Asbestose
A fibrose intersticial pulmonar difusa como conseqüência da inalação de fibras de asbesto é conhecida como asbestose. As alterações do parênquima pulmonar têm início nas regiões peribronquiolares, com evolução para as paredes dos alvéolos, septos interlobulares e regiões subpleurais, predominando nos campos pulmonares póstero-inferiores, de modo geralmente simétrico.(16-17)

A radiografia de tórax é geralmente o primeiro exame de imagem solicitado. Os achados típicos são opacidades irregulares lineares ou reticulonodulares predominando nas regiões posteriores das bases pulmonares. Em fases mais avançadas podem ser vistas imagens císticas compatíveis com faveolamento. A presença de placas pleurais bilaterais dá maior suporte ao diagnóstico, mas elas nem sempre ocorrem.(18-19)

O melhor método de imagem é a TCAR. Além de aumentar a detecção das formas iniciais da doença, onde a radiografia é quase sempre normal, a TCAR permite a diferenciação da asbestose de outras alterações parenquimatosas, e redução do número de casos falso positivos e da variabilidade interobservador. Um estudo demonstrou que a TCAR revela alterações em 80% dos pacientes com radiografia normal e evidências clínicas de asbestose e em 30% daqueles sem evidências clínicas ou radiográficas. Atualmente, a maioria dos autores recomenda a TCAR em todo indivíduo com história de exposição ao asbesto e radiografia simples do tórax alterada. As principais alterações na TCAR são opacidades e linhas subpleurais, vidro fosco, espessamento dos septos interlobulares, faveolamento, distorção arquitetural e bronquiectasias de tração (Figura 15).(7)





Carcinoma broncogênico
A associação entre a exposição ao asbesto e o câncer de pulmão é considerada como de causa e efeito. O uso do tabaco tem um efeito sinérgico multiplicativo, elevando o risco de desenvolvimento do câncer em cerca de 53 vezes em comparação com indivíduos não fumantes e não expostos. Os sintomas, achados de imagem e o estadiamento são idênticos aos dos pacientes sem história de exposição ao asbesto.(20)

Mesotelioma
Apesar de haver descrições de mesotelioma em indivíduos com inflamação pleural crônica ou com história de exposição a carcinógenos químicos, a exposição ao asbesto está associada ao desenvolvimento do tumor em 50% a 80% dos casos. Dentre os achados radiológicos, o derrame pleural, geralmente unilateral, é o mais comum.
Podem também ser encontradas massas pleurais sólidas e espessamento pleural circunferencial com tendência a encarceramento pulmonar. A TC é o método de escolha na avaliação da presença e extensão do mesotelioma, apesar de os sinais não serem patognomônicos. Além destes achados descritos na radiografia, podemos encontrar espessamento irregular das fissuras, extensão para a pleura mediastinal, pericárdio e parede torácica e sinais de comprometimento à distância, como linfonodomegalias mediastinais, diafragmáticas e mamárias internas, e metástases linfáticas e hematogênicas (Figura 16).(21-22)





ASPECTOS DE IMAGEM DE OUTRAS DOENÇAS RESPIRATÓRIAS AMBIENTAIS E OCUPACIONAIS

Além da sílica e do asbesto, outros agentes podem ser causadores de doenças respiratórias ambientais e ocupacionais. Na pneumoconiose pelo grafite, os achados tomográficos mais comuns são micronódulos pulmonares, espessamentos septais e opacidades parenquimatosas (Figura 17).(23)





A beriliose, decorrente da exposição crônica ao berílio, promove alterações radiológicas semelhantes às da sarcoidose, apesar de a linfonodomegalia ser menos comum na primeira. Os achados mais comuns são opacidades parenquimatosas, linhas septais, nódulos, áreas de vidro fosco e sinais de fibrose pulmonar (Figura 18).(24)





A pneumoconiose dos mineiros de carvão (Figura 19) assemelha-se muito à silicose, sendo praticamente impossível diferenciá-las apenas com os achados de imagem, apesar de os nódulos silicóticos geralmente serem maiores.





A pneumonia por hipersensibilidade pode ter apresentações aguda, subaguda e crônica. Os achados de imagem variam de opacidades e consolidações, na forma aguda, a micronódulos centrolobulares em vidro fosco (subaguda) e sinais de fibrose pulmonar na fase crônica (Figura 20).





Radiografia simples do tórax equipamentos e técnicas

Na radiografia do tórax é importante tirarmos proveito do alto contraste das estruturas anatômicas. O tecido pulmonar tem densidade baixa, as estruturas ósseas têm densidade alta e o mediastino tem densidade intermediária. Conseqüentemente, podem ser empregadas alta kVp e baixa mAs. Isto resulta em imagens com contraste satisfatório para todos os elementos anatômicos e menor exposição à radiação.(25)
- Incidência: póstero-anterior;
- Distância foco-filme ideal: 1,80 m;
- Gerador de raios X: capacidade mínima de 300 mA e 125 kV, trifásico;
- Uso de grade 10:1, 100 linhas/polegada;
- Processadora automática de revelação;
- Colimador com diafragma regulável;
- Filtro com equivalente a 2 mm de alumínio;
- Filme de raios X do tipo padrão (verde) e de sensibilidade média;
- Chassis com tela intensificadora de velocidade média;
- Kilovoltagem variável, miliamperagem/segundo constante e tempo de exposição não maior que 0,1 segundo (entre 0,05 e 0,1).(26)

Exemplo:
- diâmetro torácico entre 210 e 230 mm: usamos 5 mAs/110 a 125 kV ou 15 mAs/75 a 85 kV;
- diâmetro torácico entre 170 e 210 mm: usamos 15 mAs/ 65 a 75 kV.
Em presença de diâmetros maiores do tórax a exposição adicional é obtida aumentando-se a kilovoltagem. O produto miliampere/segundo é aumentado somente quando a kilovoltagem necessária para uma boa exposição excede a capacidade do gerador ou do tubo de raios X.(4)

REFERÊNCIAS

1. Remy-Jardin M, Remy J, Farre I, Marquette CH. Computed tomographic evaluation of silicosis and coal workers' pneumoconiosis. Radiol Clin North Am. 1992;30(6):1155-76.
2. Stark P, Jacobson F, Shaffer K. Standard imaging in silicosis and coal worker's pneumoconiosis. Radiol Clin North Am. 1992;30(6):1147-54.
3. Bergin CJ, Muller NL, Vedal S, Chan-Yeung M. CT in silicosis: correlation with plain films and pulmonary function tests. AJR Am J Roentgenol. 1986;146(3):477-83.
4. Begin R, Ostiguy G, Fillion R, Colman N. Computed tomography scan in the early detection of silicosis. Am Rev Respir Dis. 1991;144(3 Pt 1):697-705.
5. Webb WR, Müller NL, Naidich DP. Silicosis and coal worker's pneumoconiosis. In: Webb WR, Müller NL, Naidich DP. High-resolution CT of the lung. 3rd ed. Philadelphia: Lippincott Williams & Wilkins; 2001. p. 301-9.
6. Aberle DR. High-resolution computed tomography of asbestos-related diseases. Semin Roentgenol. 199;26(2):118-31.
7. Aberle DR, Gamsu G, Ray CS. High-resolution CT of benign asbestos-related diseases: clinical and radiographic correlation. AJR Am J Roentgenol. 1988;151(5):883-91.
8. Al Jarad N, Poulakis N, Pearson MC, Rubens MB, Rudd RM. Assessment of asbestos-induced pleural disease by computed tomography- correlation with chest radiograph and lung function. Respir Med. 1991;85(3):203-8.
9. Nishimura SL, Broaddus VC. Asbestos-induced pleural disease. Clin Chest Med. 1998;19(2):311-29.
10. Chapman SJ, Cookson WO, Musk AW, Lee YC. Benign asbestos pleural diseases. Curr Opin Pulm Med. 2003;9(4):266-71.
11. McLoud TC. Asbestos-related pleural and parenchymal fibrosis: detection with high-resolution CT. Invest Radiol. 1989;24(8):636-7.
12. Friedman AC, Fiel SB, Fisher MS, Radecki PD, Lev-Toaff AS, Caroline DF. Asbestos-related pleural disease and asbestosis: a comparison of CT and chest radiography. AJR Am J Roentgenol. 1988;150(2):269-75.
13. Epler GR, McLoud TC, Gaensler EA. Prevalence and incidence of benign asbestos pleural effusion in a working population. Jama. 1982;247(5):617-22.
14. Hillerdal G, Ozesmi M. Benign asbestos pleural effusion: 73 exudates in 60 patients. Eur J Respir Dis. 1987;71(2):113-21.
15. Hillerdal G. Rounded atelectasis. Clinical experience with 74 patients. Chest. 1989 ;95(4):836-41.
16. Akira M, Yokoyama K, Yamamoto S, Higashihara T, Morinaga K, Kita N, et al. Early asbestosis: evaluation with high-resolution CT. Radiology. 1991;178(2):409-16.
17. Hillerdal G. The pathogenesis of pleural plaques and pulmonary asbestosis: possibilities and impossibilities. Eur J Respir Dis. 1980;61(3):129-38.
18. Bégin R. Asbestos-related lung diseases. In: Banks DE, Parker JE, editors. Occupational lung disease: an international perspective. London: Chapman & Hall; 1998. p. 219-38.
19. Bégin R, Samet JM, Shaikh RA. Asbestos. In: Harber P, Schenker MB, Balmes JR, editors. Occupational and environmental respiratory disease. Saint Louis: Mosby-Year Book; 1996. p. 293-321.
20. Roach HD, Davies GJ, Attanoos R, Crane M, Adams H, Phillips S. Asbestos: when the dust settles an imaging review of asbestos-related disease. Radiographics. 2002;22 Spec No:S167-84.
21. McLoud TC. CT and MR in pleural disease. Clin Chest Med. 1998;19(2):261-76.
22. Muller NL. Imaging of the pleura. Radiology. 1993;186(2):297-309.
23. Hanoa R. Graphite pneumoconiosis. A review of etiologic and epidemiologic aspects. Scand J Work Environ Health. 1983;9(4):303-14.
24. Kim JS, Lynch DA. Imaging of nonmalignant occupational lung disease. J Thorac Imaging. 2002;17(4):238-60.
25. Bushong SC. Radiologic science for technologists: physics, biology, and protection. 6th ed. Philadelphia: C.V. Mosby; 1997.
26. Dendy PP, Heaton B. Physicis for diagnostic radiology. 2th ed. Bristol: Institute of Physics; 2000.

_______________________________________________________________
* Trabalho realizado na Universidade Federal de São Paulo - UNIFESP e na Disciplina de Pneumologia do Instituto do Coração do Hospital das Clínicas da Faculdade de Medicina da Universidade de São Paulo - InCor-HSFMUSP - São Paulo (SP) Brasil.
1. Doutor em Radiologia pela Universidade Federal de São Paulo - UNIFESP - São Paulo (SP) Brasil; Pós-doutorando do Memorial Sloan-Kettering Cancer Center, New York, EUA.
2. I2. Médico Assistente da Coordenação de Imagem do Instituto do Coração (Incor) do Hospital das Clínicas da Faculdade de Medicina da Universidade de São Paulo - HCFMUSP - São Paulo (SP) Brasil
3. Professor do Departamento de Diagnóstico por Imagem da Escola Paulista de Medicina (EPM) da Universidade Federal de São Paulo - UNIFESP - São Paulo (SP) Brasil.
Endereço para correspondência: Gustavo S. P. Meirelles. R. Borges Lagoa 564, 8o andar, Conj. 81/82, Vila Clementino - CEP 04038-000, São Paulo (SP) Brasil. E-mail: gustavo.meirelles@fleury.com.br

Indexes

Development by:

© All rights reserved 2025 - Jornal Brasileiro de Pneumologia