Continuous and bimonthly publication
ISSN (on-line): 1806-3756

Licença Creative Commons

Diagnósticos histopatológicos das pneumoconioses

2006 - Vol.32 - Supplement 2

INTRODUÇÃO

Com base na experiência que vimos desenvolvendo através de um estudo interinstitucional sobre a morbidade e mortalidade entre trabalhadores expostos ao asbesto,(1-9) traçou-se como objetivo para esta revisão discutir critérios diagnósticos que envolvam o curso da história natural das doenças relacionadas e que terão importância para o diagnóstico final.

Com a indicação da biópsia ou outros procedimentos invasivos, caberá ao patologista a palavra final sobre a existência ou não de padrões histopatológicos característicos das doenças relacionadas ao asbesto. Tais padrões histopatológicos não são de conhecimento universal, principalmente para o patologista não especialista em pulmão. Desta forma, o amplo conhecimento dos padrões básicos de reações pulmonares, que na maioria das vezes são estereotipadas, constitui-se no primeiro passo para o diagnóstico correto. Essas circunstâncias específicas justificam a afirmativa de que as doenças relacio-nadas ao asbesto são ainda consideradas de grande complexidade diagnóstica, e necessitam de correlação entre a clínica, a imagem e a histopatologia.

QUALIDADE DO MATERIAL E FIXAÇÃO ADEQUADA DO TECIDO

A biópsia pulmonar deverá ser fixada em formalina tamponada a 10% e incluir material suficiente para procedimentos histológicos de rotina, bem como para a análise do tecido pulmonar para detecção de fibras e corpos de asbesto (CA) para complementar a história ocupacional. Para propósitos clínicos, as seguintes contagens identificam pacientes com exposições elevadas:(10) mais de 0,1 milhão de anfibólios (> 5µm)/grama de pulmão seco ou 1 milhão de anfibólios (> 1µm)/grama de pulmão seco (microscopia eletrônica); mais de 1.000 CA/grama de tecido seco (100 CA/grama tecido úmido) ou mais de 1 CA/milímetro de lavado broncoalveolar (microscopia ótica).

Cada laboratório deverá estabelecer seus valores de referência, de acordo, inclusive, com os níveis da população geral exposta.

IDENTIFICAÇÃO DOS CA E CORPOS FERRUGINOSOS

O termo corpo ferruginoso refere-se a uma partícula mineral à qual macrófagos pulmonares adicionaram um envoltório de proteína férrica (ferritina ou hemossiderina). Dependendo da natureza do core, podem ser identificados vários tipos de corpos ferruginosos. Assim, os CA compõem um tipo de corpo ferruginoso cujo core é a fibra de asbesto (Figura 1). Desta forma, corpos ferruginosos não são específicos para asbesto. Quando o "core" é outro como por exemplo o talco, então temos o corpo de talco ou corpo ferruginoso a base de talco (Figura 2).





Outros minerais que podem formar o core do corpo ferruginoso são: mica, carbono, carvão e fibras elásticas degradadas em hemorragias pulmonares crônicas. A não ser em condições de alta exposição, crisotila em geral não forma CA, e o que é visualizado mais provavelmente representa os anfibólios. CA podem ser identificados tanto em pessoas com exposição ao mineral como na população geral.





ANÁLISE DAS FIBRAS E CA NOS TECIDOS HUMANOS

O asbesto ocorre no pulmão em duas formas. A maior parte do mineral encontra-se em forma de fibras não revestidas, que é a forma na qual ele é inalado. No pulmão, uma minoria de fibras adquire um envoltório de proteína férrica, sendo então chamadas de corpos de asbesto, uma forma específica de corpo ferruginoso.(11)

Uma variedade de técnicas pode permitir a avaliação qualitativa e quantitativa da presença de asbesto no tecido pulmonar.(12) Alguns pontos devem ser considerados. Exames macroscópicos e microscópicos de rotina associados com dados radiológicos e clínicos apropriados são os métodos primários de diagnóstico das doenças relacionadas ao asbesto.(11) Em segundo lugar, independentemente do número de corpos ou fibras encontrados, sua presença por si só não significa doença. A quantificação de fibras no tecido fornece uma estimativa do nível de exposição, que pode ou não ser indicador de uma determinada doença. Por exemplo, um nível elevado de fibras de amosita ou uma contagem elevada de CA em um paciente com mesotelioma usualmente implicará o asbesto como agente envolvido, mas o mesmo não poderá ser dito com certeza se tratar-se de um carcinoma de pulmão;(11) Ademais, com o uso de agentes digestivos no tecido, a quantificação será necessária e deverá ser comparada em relação à população geral.(12) Uma vez que a população tem asbesto nos pulmões, a mera demonstração qualitativa da presença de fibras ou CA em um tecido digerido não tem valor diagnóstico.

MÉTODOS ESPECÍFICOS DE ANÁLISE

Técnicas como microscopia de polarização, coloração por dispersão e difração quantitativa por raios X são adequadas para identificar o asbesto de produtos específicos ou no ar, mas não podem ser usadas em tecido.(11) Como regra, fibras retidas no corpo por algum tempo não são birrefringentes.
Fibras não revestidas podem ser visíveis ao microscópio óptico, contudo podem estar abaixo do poder de resolução do microscópio e, mesmo quando identificadas, não há como diferenciá-las de outros tipos de fibras comuns nos pulmões.(11)

CA, por outro lado, são facilmente visíveis ao microscópio óptico (Figura 1), sendo marcadores específicos de asbesto na maioria da população.(11) O método mais simples, rápido e menos dispendioso, mas também menos quantificável de determinar asbesto no pulmão é o achado ou contagem do número de CA nos cortes histológicos.

Pelo pequeno volume de tecido contido num corte histológico de rotina, em geral 5 microns, os preparados histológicos são muito insensíveis detectores de CA. Todavia, adotamos o mesmo critério proposto por Roggli e Pratt,(13) ou seja, conhecido o nível de exposição ao asbesto da população em questão (não devem ser encontrados após se examinar de 1 a 100 cortes), a observação de um CA em um corte de 5 microns usualmente indica exposição ocupacional. Para tanto, o patologista deverá rastrear a procura em 50 campos de grande aumento, utilizando para isso aprofundamento dos cortes. Como os CA não são facilmente visualizados nos cortes corados por hematoxilina e eosina, colorações para ferro devem ser utilizadas, para facilitar ao patologista sua identificação (Figuras 1 e 2). A contagem definitiva deverá ser efetuada por microscopia eletrônica, após digestão enzimática dos cortes de pulmão. Esta técnica pode ser realizada mesmo após a inclusão do tecido pulmonar em blocos de parafina. Os índices numéricos finais deverão então ser comparados a índices da população exposta em geral, e expressos através de alta ou baixa exposição.(12) No Quadro 1 podem ser apreciados alguns valores.(12,14)





Em nossa rotina diagnóstica, examinamos cortes de tecido pulmonar de 5 m corados por hematoxilina e eosina e técnica de Perls, rastreando todos os campos possíveis se o espécime for oriundo de biópsia transbrônquica, ou até 100 campos de grande aumento se a biópsia tiver sido feita a céu aberto, aprofundando os cortes se necessário. A seguir os blocos de parafina seguem para digestão enzimática e análise sob microscopia eletrônica.

CLASSIFICAÇÃO DAS DOENÇAS RELACIONADAS AO ASBESTO

No Quadro 2 estão relacionadas as principais doenças e sua associação com asbesto.(11)





ALTERAÇÕES PLEURAIS NÃO NEOPLÁSICAS

A doença pleural é a manifestação mais importante de exposição ao asbesto.(15) As manifestações não malignas de exposição ao asbesto no espaço pleural incluem as placas pleurais circunscritas, espessamento (fibrose) pleural difuso, atelectasia redonda e derrame pleural relacionado ao asbesto.

Placas pleurais
As placas pleurais, ao mesmo tempo em que são os marcadores mais comuns de exposição ao asbesto,(16) constituem-se em doenças relacionadas ao asbesto. Todas as fibras de asbesto têm igual capacidade de induzir placas pleurais, porém a extensão das placas não apresenta relação clara com exposição cumulativa. À macroscopia são lesões circunscritas, levemente sobrelevadas, esbranquiçadas, irregulares, encontradas na pleura parietal e, raramente, na pleura visceral.(11) Podem ser pequenas ou extensas, e estão comumente localizadas nos segmentos laterais e posteriores das zonas médias dos pulmões, onde então acompanham o contorno das costelas e do diafragma. Geralmente elas acompanham as fissuras lobares e podem invadir o mediastino e o pericárdio, raramente, porém, comprometendo os ápices ou sulco costofrênico. Histologicamente, placas pleurais associadas ao asbesto são caracterizadas por lesões pouco celulares, com extensa colagenização através de fibras em característico arranjo em basket-waven, delimitadas por fino revestimento de células mesoteliais (Figura 3). O envolvimento da pleura parietal é uniforme, com mínimo espessamento da pleura visceral, não havendo, porém, adesões entre os dois folhetos.





Calcificações pleurais freqüentemente se desenvolvem sobre essas lesões fibro-hialinas ao longo do curso de exposição. Tendem a aumentar lentamente de tamanho, durante décadas, e raramente podem levar ao aparecimento do mesotelioma maligno difuso. São assintomáticas desde que não estejam associadas a asbestose pulmonar ou obliteração do seio costofrênico, consistindo de achados incidentais no radiograma de tórax.(17) O exame histopatológico não é necessário para o diagnóstico na grande maioria dos casos.

Espessamento (fibrose) pleural difuso
O espessamento (fibrose) pleural difuso associado ao asbesto pode ser localizado ou difuso, e uni ou bilateral.(15,18) Macroscopicamente, as lesões variam de uma leve opacidade na superfície pleural a uma coloração brancacenta obliterando a transparência habitual da membrana serosa.
Espessamento difuso é freqüentemente visualizado como uma tela de 5 a 10 cm de extensão craniocaudal, afetando, em 90% dos casos, o seio costofrênico e as fissuras interlobares e interlobulares. Enquanto as placas pleurais fibrosas comprometem a pleura parietal, o espessamento fibroso é uma doença da pleura visceral (Figura 4), que pode ocorrer mesmo em pacientes com mínima fibrose pulmonar.(19) Corpos ou fibras de asbesto são freqüentemente encontrados na pleura visceral, no parênquima subjacente, ou em ambos (Figura 1).





A fibrose pleural difusa não é exclusiva da exposição ao asbesto e pode representar antiga reação inflamatória à tuberculose, cirurgia torácica, trauma torácico hemorrágico e reações a drogas. O padrão radiológico ajuda também na diferenciação, já que o achado de alterações intersticiais bilaterais bibasais em associação com placas pleurais sugere fortemente o diagnóstico de exposição ao asbesto. A biópsia poderá ser requerida quando a lesão torácica for progressiva ou quando a malignidade for o diferencial.

Atelectasia redonda
A atelectasia redonda é uma rara complicação de doença pleural asbesto induzida.(2,7,20) É determinada por cicatrização e fusão dos folhetos parietal e visceral, que resultam na invaginação da pleura e aprisionamento do pulmão adjacente, conduzindo à atelectasia (Figura 5). O resultado é a formação de uma massa pseudotumoral, cuja tomografia computadorizada demonstra continuidade entre as áreas de espessamento pleural difuso, evidências de perda de volume no pulmão adjacente, ou a característica "cauda de cometa" de vasos e brônquios entrando em uma massa bem delimitada. A localização do processo envolve os segmentos inferior e posterior, e podem-se encontrar lesões múltiplas em um terço dos casos. Em outros casos, um derrame pleural lento pode preceder o seu aparecimento. Se a natureza benigna da lesão é duvidosa na análise radiológica, a broncoscopia ou a biópsia transparietal são necessárias para afastar a hipótese de processo neoplásico maligno.





Derrame pleural
O derrame pleural agudo e benigno pode ser uma manifestação comum em pacientes com 30 a 40 anos de exposição ao asbesto.(21) Em 50% dos pacientes, os sintomas ocorrem na vigência de pleurisia (dor torácica, dispnéia, tosse e febre), com derrame pleural hemorrágico, exames bioquímicos normais, eosinofilia e presença de células mesoteliais no líquido pleural obtido por pleurocentese. Raramente CA são encontrados, embora eles possam estar presentes no tecido pulmonar subjacente. O derrame pode persistir por seis meses ou mais, sofrer reabsorção espontânea, ou recorrer contralateralmente, não sendo uma indicação de mesotelioma futuro, embora estes pacientes tenham risco de desenvolver asbestose tanto quanto os pacientes com fibrose pleural difusa.

Adicionalmente, pacientes com derrame associado ao asbesto têm maior risco de desenvolver fibrose pleural difusa.(14) A biópsia pleural é necessária principalmente para afastar o diagnóstico de mesotelioma maligno. Histologicamente, o quadro é dominado por pleurisia fibrosa crônica, com mínima celularidade. O seguimento do paciente também é necessário, uma vez que o diagnóstico definitivo de derrame pleural benigno não poderá ser estabelecido até que seja constatado um intervalo de três anos livre de tumor.(14)

ASBESTOSE

A asbestose é definida como uma fibrose intersticial difusa dos pulmões como conseqüência da exposição ao asbesto (Figura 6). As características clínicas e histopatológicas da fibrose são semelhantes a outras causas de fibrose intersticial, com exceção do achado de fibras ou CA no tecido pulmonar, em quantidades maiores que as comumente encontradas na população geral. Sua abordagem deverá ser multidisciplinar e incluir avaliação epidemiológica, clínica, radiológica, patológica e provas de função pulmonar. Na rotina diagnóstica, sobretudo para o patologista geral, há dificuldades na caracterização morfológica da doença, sobretudo pela falta de critérios padronizados à microscopia óptica e necessidade de se realizar microscopia eletrônica para contagem e identificação das fibras. A contagem do tipo e número de fibras por grama de pulmão seco, bem como a contagem do número de CA devem ser realizadas sempre que possível, pois poderão fornecer informações específicas sobre o tipo de exposição, especialmente a presença de anfibólios e sua comparação com as populações não expostas. Torna-se, portanto, imperioso o conhecimento dos padrões morfológicos de apresentação da doença pulmonar e, sobretudo, sua correlação com a radiologia.





Asbestose com altos níveis de exposição está geralmente associada com sinais radiológicos de fibrose parenquimatosa. Todavia, é possível que fibrose leve possa ocorrer em baixos níveis de exposição, e critérios radiológicos nem sempre serão preenchidos em casos de fibrose parenquimatosa detectada histologicamente.

Do ponto de vista da anatomia patológica, entende-se por doença intersticial difusa o comprometimento inflamatório/fibrótico/remodelador do tecido conjuntivo de sustentação das estruturas parenquimatosas pulmonares, a saber, o interstício axial (vias aéreas), septal (alvéolos) e periférico (subpleural). (Figuras 7 e 8)









No Quadro 3 é apresentada a classificação para as
formas histoanatômicas de envolvimento pulmonar na exposição ao asbesto.(11,13,22) A fim de padronizar o diagnóstico histológico e a graduação da asbestose, em nossa rotina temos utilizado a classificação modificada do College of American Pathologists and National Institute for Ocupational Safety and Health - CAP-NIOSH,(22) preconizada por Roggli-Pratt,(13) por ser mais abrangente e levar em consideração lesões precoces e avançadas.





Lesões precoces envolvem o interstício axial de sustentação das vias aéreas (bronquíolos terminais), sendo por isso classificadas por alguns autores como bronquiolites associadas ao asbesto(11) ou fibrose intersticial grau I.(13)
Subseqüentemente, a doença progride para envolver o ácino pulmonar, ou seja, o interstício de sustentação dos bronquíolos respiratórios, ductos e alvéolos adjacentes, sendo então classificada como fibrose intersticial graus II, III e IV(13) ou, respectivamente, fibrose intersticial graus II, III e pneumonia intersticial usual,(11) de acordo com a extensão histoanatômica de envolvimento. A fibrose intersticial grau IV(13) ou asbestose pulmonar(11) corresponde ao padrão histológico pneumonia intersticial usual - UIP, da Classificação Internacional das Pneumonias Intersticiais Idiopáticas proposta recentemente pela American Thoracic Society e European Respiratory Society.(23)

O quadro histopatológico é inicialmente dominado por reação inflamatória rica em células linfóides e macrofágicas, que alargam e deformam o tecido conjuntivo intersticial, numa seqüência progressiva envolvendo bronquíolos e tecido alveolado do ácino pulmonar (ductos, sacos e alvéolos). A interação macrófago/linfócito culmina com a liberação de substâncias ativadas, citocinas, responsáveis pela digestão enzimática do citoesqueleto pulmonar e ativação de fibroblastos, que dão início ao remodelamento pulmonar. Com o progredir da doença, instala-se a obliteração fibrótica e remodelamento do ácino pulmonar, com conseqüente faveolamento e perda funcional das áreas de trocas gasosas. As fibras de asbesto depositam-se ao longo das bifurcações brônquicas.

A sistemática para o diagnóstico de asbestose pulmonar deverá incluir: biópsia pulmonar aberta; histopatologia; identificação e contagem de fibras e CA ao microscópio eletrônico; diagnóstico de asbestose pulmonar (correlação clínico-radiológica-funcional e grau de exposição); e dificuldades diagnósticas.

Biópsia pulmonar aberta
A biópsia pulmonar aberta é abordagem indicada, pois permite classificar o processo dentro dos compartimentos pulmonares. A biópsia transbrônquica, por vezes indicada em pacientes sem condições para abordagem invasiva, poderá trazer informações quanto ao estadiamento do processo inflamação/fibrose e à eventual presença de CA, porém não permite determinar o padrão histopatológico de envolvimento pulmonar.

Histopatologia
Os critérios histopatológicos incluem: localização histoanatômica do processo no interstício pulmonar; extensão do processo nos compartimentos pulmonares; determinação da injúria parenquimatosa; determinação da reação parenquimatosa à injúria; determinação do padrão histológico de envolvimento (fibrose intersticial grau I, fibrose intersticial graus II e III, pneumonia intersticial usual ou fibrose pulmonar grau IV); identificação do CA (hematoxilina e eosina, e técnica de Perls); e classificação do padrão histoanatômico associado ao asbesto (Quadro 3).

O primeiro critério histológico de envolvimento pulmonar é localizar, ao menor aumento do microscópio, o processo no interstício pulmonar: axial, septal ou periférico. A seguir, ainda no menor aumento, determina-se a extensão do processo nos compartimentos pulmonares: lobular (bronquíolo terminal) e acinar (bronquíolo respiratório, ductos e alvéolos). Passa-se então a determinar, agora ao maior aumento do microscópio, o tipo de injúria (necrose, degeneração, edema, hemorragia, infarto, neoplasia, etc) e a reação
(inflamação/reparação/remodelamento, cistos).

Nesta fase já é possível determinar o padrão histológico geral de envolvimento pulmonar em três entidades: fibrose intersticial grau I, fibrose intersticial graus II e III, e pneumonia intersticial usual ou fibrose intersticial grau IV.

A fibrose intersticial grau I corresponde à inflamação/fibrose envolvendo o interstício axial peribronquíolo terminal com ou sem extensão ao interstício septal dos alvéolos imediatamente adjacentes ao lóbulo pulmonar. A fibrose intersticial grau II ou III refere-se à inflamação/fibrose envolvendo o interstício axial, com extensão ao interstício septal dos alvéolos do ácino. A pneumonia intersticial usual corresponde a inflamação/fibrose/cistos, envolvendo o interstício axial, septal e periférico do ácino, em uma característica heterogeneidade temporal ao menor aumento do microscópico, intercalados com áreas de pulmão normal.

O próximo critério deve incluir a identificação de CA (Figura 1), inicialmente à hematoxilina e eosina e posteriormente sob coloração com o azul da Prússia (técnica do Perls). A procura dos CA deverá incluir o rastreamento de 1 a 100 campos de grande aumento, utilizando cortes seriados do espécime.(13) A identificação de um corpo de asbesto na vigência de um dos três padrões histológicos descritos fecha o diagnóstico de fibrose intersticial ou pneumonia intersticial usual associada ao asbesto. A classificação da fibrose intersticial ao asbesto deve ser graduada de acordo com a extensão de comprometimento do lóbulo ou ácino pulmonar (Quadro 3).

Diagnóstico final de asbestose pulmonar
O diagnóstico histológico final de asbestose inclui a identificação de fibrose intersticial difusa em tecido pulmonar (Figuras 6, 7 e 8) adequadamente inflado, em locais distantes da presença de um câncer ou outras tumorações, acrescida da presença de dois ou mais CA em cortes de tecido de 1 cm2,(12-13) ou uma contagem de fibras não revestidas acima dos padrões determinados pelo laboratório em questão.(1,10)

Contagem de fibras ao microscópio eletrônico
Na impossibilidade de ser efetuada de rotina, seu uso é obrigatório para o diagnóstico definitivo de asbestose pulmonar em duas situações. Na primeira, quando houver história de alta exposição durante o período crítico, e curso clínico de doença intersticial difusa, porém com padrão histopatológico não característico (por exemplo, uma granulomatose ou bronquiolite obliterante com pneumonia organizante). Na segunda, há o padrão histopatológico característico, sem a presença do corpo de asbesto, e curso clínico favorável, porém a história é de baixa exposição ocupacional ou fora do período crítico.

Dificuldades para o diagnóstico
Há evidências de que casos raros de asbestose ocorrem sem significativo número de CA. Estes casos são reconhecidos - distinguíveis da fibrose pulmonar idiopática - somente pela análise de fibras não revestidas em pulmão seco. Alguns casos de asbestose relacionada à exposição à crisotila pura podem ocorrer, com um prolongado intervalo entre a última exposição e o diagnóstico, e poucos ou não detectáveis CA, além de baixa contagem de fibras no pulmão seco. A existência de tais casos é especulativa e, se o diagnóstico puder ser feito, deverá ser realizado em outras bases clínicas ou radiológicas, combinadas com os dados de exposição.

Padrões fibroinflamatórios outros além da convencional asbestose têm sido descritos em trabalhadores com exposição ocupacional ao asbesto, incluindo um padrão semelhante à pneumonia intersticial descamativa, a ocorrência de inflamação granulomatosa, um quadro que lembra pneumonia intersticial linfóide, e bronquiolite obliterante com pneumonia organizante. Embora o padrão de pneumonia intersticial descamativa com CA seja provavelmente asbesto-relacionado, os outros padrões não têm sido associados ao asbesto.

As dificuldades maiores para o diagnóstico final de asbestose incluem algumas situações citadas a seguir. Na ausência de um dos três padrões histopatológicos descritos, porém com o corpo de asbesto presente, o diagnóstico final de asbestose deve embasar-se na história ocupacional, no curso clínico-radiológico-funcional de doença pulmonar difusa e, o mais importante, na identificação e contagem de fibras pela microscopia eletrônica.
Só nestas situações é que, por exemplo, um padrão histopatológico de pneumonia organizante (antiga bronquiolite obliterante com pneumonia organizante) ou sarcoidose, pode ser considerado forma de apresentação da asbestose pulmonar. Em outra situação, como, por exemplo, diante de um padrão histopatológico de pneumonia intersticial usual com ausência de CA, de curso clínico-radiológico-funcional de doença pulmonar difusa, porém com contagem de fibras inferior ou dentro dos padrões encontrados na população geral, o diagnóstico de asbestose pulmonar deve ser cauteloso, mesmo na vigência de história ocupacional compatível. Neste caso, outras causas (colagenoses, idiopática) deverão ser investigadas como base para a pneumonia intersticial usual. Da mesma forma, diante de um padrão histopatológico de pneumonia intersticial usual sem o CA, com impossibilidade de se realizar microscopia eletrônica, porém com história de alta exposição ocupacional, seguindo curso clínico-radiológico-funcional de doença pulmonar difusa, será potencialmente viável estabelecer-se o diagnóstico de asbestose pulmonar.

Pelo que foi exposto, depreende-se que o patologista, o clínico e o radiologista devem estar atentos para a presença obrigatória dos seguintes requisitos antes de estabelecer um diagnóstico de asbestose pulmonar: padrão histopatológico de comprometimento inflamatório/fibrótico do interstício pulmonar, na forma de fibrose intersticial (graus II, III e IV); exposição ocupacional; curso clínico-radiológico-funcional de doença pulmonar difusa; contagem e determinação de fibras à microscopia eletrônica acima dos níveis padronizados para a população geral.

CÂNCER DE PULMÃO

O risco de câncer de pulmão em populações expostas ao asbesto é sabidamente conhecido. Entretanto sua ocorrência depende, dentre outros fatores, da carga ou dose de exposição e do tipo de fibra envolvido. Inúmeros estudos epidemiológicos demonstram essa correlação.(11,13-14) O risco é maior ainda quando a asbestose está presente,(10) sendo que o risco relativo também parece aumentar em relação à gravidade da fibrose pulmonar e da carga de fibras no pulmão.(1,12) Alguns estudos revelam altas freqüências, acima de 40%, de câncer de pulmão em portadores de asbestose,(22) enquanto outras pesquisas mostram proporções de até 18% em algumas coortes.(10-12)

Os quatro tipos maiores de câncer de pulmão (escamoso, adenocarcinoma, pequenas e grandes células) podem estar relacionados com a exposição ao asbesto, sendo possível a ocorrência de qualquer um deles. Não há predileção para um tipo histológico ou outro, e não há diferenças em relação aos cânceres atribuídos a outras causas.(22)

Em qualquer circunstância é de fundamental importância estimar-se a carga ou dose de exposição, pois com pouco tempo de exposição em altas concentrações, o risco para seu aparecimento é duas ou mais vezes maior.(1,10) Em exposições muito elevadas (sinais de asbesto na atividade ocupacional de isolamento térmico ou acústico), o risco de câncer de pulmão pode dobrar mesmo com exposições menores que um ano.

O risco relativo para esse tipo de tumor é estimado em 0,5% a 4% para cada fibra por centímetro cúbico por ano (fibra - ano) da exposição cumulativa, que no nível de 25 fibras-ano tem um risco estimado duas vezes maior de ocorrência deste tumor. A carga pulmonar de 2 milhões de fibras de anfibólio maiores que 5 m por grama de pulmão seco ou de 5 milhões de fibras de anfibólio menores que 1 m pode correlacionar-se com o dobro do risco de aparecimento do câncer de pulmão.(1,10) Esta é seguramente uma das principais razões para que, sempre que possível, deva ser determinada a carga de tipos de fibras no tecido pulmonar, bem como a contagem de CA no tecido e lavado broncoalveolar.

Esta concentração de fibras guarda um paralelismo com a contagem de CA. Os achados de 5.000 a 15.000 CA por grama de pulmão seco ou de 5 a 10 CA por ml de lavado broncoalveolar são comparáveis à carga de fibras e quando essa concentração é menor que 10.000 CA/grama de pulmão seco, a análise de fibras por microscopia eletrônica é recomendada.(1,10)

Sabendo-se que a crisotila, em função de seu clearance mais rápido, ou menor biopersistência, não se acumula nos pulmões, da mesma forma que os anfibólios, considera-se como melhor indicador para risco de câncer de pulmão a exposição cumulativa em fibras-ano e não a análise da carga de fibras no tecido pulmonar.

Devido à alta incidência de câncer de pulmão na população geral, em que estão presentes fumantes e não fumantes (30% ocorrem em não fumantes e não expostos ao amianto),(22) não é possível provar com precisão determinística que o asbesto seja o fator causal para determinado paciente, visto como um indivíduo, mesmo quando a asbestose está presente. As estimativas do risco relativo de câncer de pulmão relacionado com a exposição ao asbesto são baseadas em diferentes estudos de bases populacionais, nas quais não se evidencia consenso, mas sim pontos controversos. Entretanto, elementos vinculados a causas requerem conclusões médicas baseadas em análises probabilísticas para que se possa inferir ou imputar a determinada exposição o fator causal ou contribuinte para a doença. A exposição cumulativa ao asbesto, em bases probabilísticas, deve ser considerada um dos principais critérios para atribuição do risco para câncer de pulmão.

A presença de asbestose é um indicador de alta exposição ao asbesto e também pode ser considerada como risco adicional para o câncer de pulmão. Entretanto, alguns autores referem que a não ocorrência de asbestose não seja condição para excluir-se essa fibra como fator contribuinte para o aparecimento da neoplasia.(10) No mesmo sentido, a presença de placas pleurais é um indicador de exposição ao asbesto. Quando isoladas, ou pouco expressivas podem ser correlacionadas a baixas exposições. Quando muito expressivas, bilaterais, extensas, com espessamento pleural difuso, bilaterais ou não, podem ser associadas a exposições mais intensas.
Estes casos devem ser considerados como preditivos ou indicadores de morbidade e sua atribuição ao câncer deverá ter suporte consistente na história ocupacional, com substancial exposição cumulativa e contagem de fibras e CA no tecido pulmonar.(12) Dessa forma, consideramos que em estudos epidemiológicos prospectivos os portadores de placas pleurais devem ser reavaliados, tendo em vista estes fatores que atribuem maior risco de neoplasia.

Embora os efeitos do consumo tabágico nos casos de câncer de pulmão sejam conhecidos e estimados, os efeitos do risco de exposição ao asbesto devem ser devidamente considerados, especialmente conhecendo-se suas ações sinérgicas multiplicativas.(10)

MESOTELIOMA MALIGNO

O mesotelioma maligno compromete qualquer membrana serosa e pode ser induzido por inalação do asbesto.(22) Estudos epidemiológicos e análises mineralógicas cuidadosos estabelecem diretas evidências de que a maioria dos mesoteliomas são encontrados em indivíduos expostos ao amianto ou asbesto.(11) Mesmo em casos de mesoteliomas em mulheres, que são de duas a dez vezes menos comuns que em homens, a análise mineralógica dos tecidos para detecção de fibras minerais revela contagens de anfibólios nos pulmões maior do que nos controles.(11)

Com exceção de certos tipos histológicos de mesotelioma que são benignos, ou de potencial intermediário (por exemplo, mesotelioma multicístico, mesotelioma benigno papilífero), todos os tipos de mesotelioma maligno podem ser induzidos pelo asbesto, com os anfibólios mostrando maior potencial carcinogênico do que a crisotila.

Contagens de fibras nos pulmões excedendo os padrões estabelecidos pelo laboratório em questão, ou a presença radiológica ou patológica de lesão tecidual associada ao asbesto (por exemplo, asbestose ou placas pleurais) ou evidencias histopatológicas de conteúdo anormal de asbesto (por exemplo, CA nos cortes histológicos de pulmão) deverão ser suficientes para relacionar um caso de mesotelioma à exposição ao asbesto em bases de probabilidade. Na ausência de tais marcadores, uma história de significativa exposição ocupacional, doméstica ou ambiental será suficiente.(1,10)

Os seguintes pontos deverão ser considerados ao se estabelecer a etiologia ocupacional:(10) a grande maioria dos mesoteliomas é devida à exposição ao asbesto; mesotelioma pode ocorrer em casos com baixa exposição ao asbesto, todavia, cargas baixíssimas de exposição traduzem riscos extremamente baixos; em torno de 80% dos pacientes com mesotelioma referem algum grau de exposição ocupacional ao asbesto, de forma que sempre deverá ser investigada cuidadosamente a história ocupacional e ambiental; uma história ocupacional de breve exposição deverá ser considerada como suficiente para que o mesotelioma seja designado como relacionado à ocupação; um mínimo de dez anos a partir da primeira exposição é requerido para atribuir o mesotelioma à exposição ao asbesto, mesmo que na maioria dos casos o intervalo de latência seja maior (30 a 40 anos).

O tabagismo não tem influência no risco para o mesotelioma.
Dificuldades no diagnóstico dos mesoteliomas malignos
O diagnóstico do mesotelioma maligno apresenta dois problemas principais. O primeiro diz respeito ao estabelecimento do diagnóstico com base nas evidências patológicas. O segundo é diferenciar mesoteliomas de carcinomas e sarcomas metastáticos à pleura ou peritônio e de sarcomas primários da parede torácica. Todos estes tumores podem mimetizar intimamente as apresentações macroscópica e microscópica do mesotelioma.(11,14) Biópsias por agulha algumas vezes permitem o diagnóstico, mas menos freqüentemente que biópsias abertas. Já o diagnóstico do mesotelioma em bases citológicas permanece controverso.






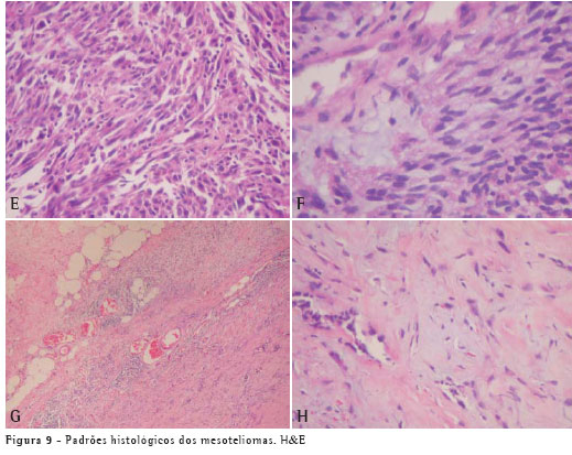
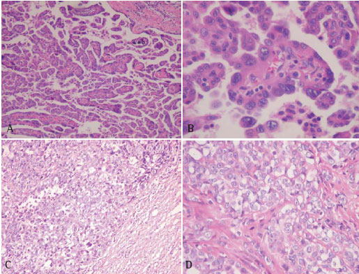
O Quadro 4 mostra um esquema para subclassificar mesoteliomas malignos pelo exame histológico.(8-9) Genericamente, podem ser divididos em epiteliais (75%), sarcomatosos (22%) e mistos (24%) .





O consenso na literatura para o painel imunohistoquímico a ser utilizado para separar mesoteliomas e carcinomas é apresentado no Quadro 5. Os marcadores mais usados para carcinomas são CEA, B72.3, LeuM1, BEREP4 combinados, conferindo boa especificidade.(8-9,11) HBME1 funciona em parafina, mas cora 50% dos adenocarcinomas. Trombomodulina cora mesoteliomas e poucos carcinomas, mas é freqüente em adenocarcinomas. A calretinina cora 100% dos mesoteliomas e apenas 10% dos carcinomas em cortes de parafina. Não há uma reação imunohistoquímica definitiva para o diagnóstico e seu uso deve sempre ser valorizado à luz da apresentação histológica e macroscópica da lesão.





OUTROS TUMORES NA EXPOSIÇÃO AO ASBESTO

Carcinomas de laringe, esôfago, gástrico e colo-retal têm sido epidemiologicamente associados com exposição ao asbesto. Porém uma real associação entre asbesto e achados histológicos nunca foi demonstrada. Todos estes tumores são comuns na população geral e apresentam várias bem documentadas causas, como tabagismo (laringe, esôfago), álcool (laringe, esôfago), dieta (gástrico, colo-retal) e classe social. Recentes estudos têm concluído que não há evidências concretas para um risco elevado de qualquer destes tumores em trabalhadores expostos ao asbesto, nem há evidências para efeito dose-resposta.(22) As mesmas considerações são válidas em relação às neoplasias linfoproliferativas.(22)

REFERÊNCIAS

1. Case BW, Dufresne A, Bagatin E, Capelozzi VL. Lung-retained fibre content in brazilian chrysotile workers. Ann Occup Hyg. 2002;46(1):144-9.
2. Terra-Filho M, Kavakama J, Bagatin E, Capelozzi VL, Nery LE, Tavares R. Identification of rounded atelectasis in workers exposed to asbestos by contrast helical computed tomography. Braz J Med Biol Res. 2003;36(10):1341-7.
3. Capelozzi VL. Efeitos da poluição, tabagismo e poeiras minerais sobre o aparelho respiratório. J Pneumol. 1994;20(4 n.esp):157-64.
4. Capelozzi VL. Asbesto, asbestose e câncer: critérios diagnósticos. J Pneumol. 2001;27(4):206-18.
5. Capitani EM de, Handar A, Metze K, Corso-Pereira M, Capelozzi VL, Cerqueira EMFP. Pneumopatia por metais duros: aspectos diagnósticos e evolução clínica de dois casos [resumo]. J Pneumol. 2002;28(Suppl 2):S99.
6. Napolis LM, Terra Filho M, Bagatin E, Rodrigues RT, Kavakama JI, Capelozzi VL, et al. Infiltrado intersticial associado à exposição ocupacional devido a diferentes poeiras minerais: relato de caso [resumo]. J Pneumol. 2002;28 (Suppl 2): S99.
7. Capelozzi VL, Terra-Filho M, Kavakama J, Nery LE, Rodrigues RT, Bagatin E. Asbestos-related round atelectasis in Brazil: a radiologic and scintigraphic evaluation. Am J Respir Crit Care Med. 2003;167(7): A684.
8. Pinheiro GA, Antão VCS, Monteiro MM, Capelozzi VL, Terra-Filho M. Mortality from pleural mesothelioma in Rio de Janeiro, Brazil, 1979-2000: estimation from death certificates, hospital records, and histopathological assessment. Int J Occup Environ Health. 2003;9(2):147-52.
9. Pinheiro GA, Antão VA, Monteiro MM, Saldiva P, Capelozzi VL, Terra-Filho M. Evaluation of malignant pleural mesothelioma using morphometry and immunohistochemistry [abstract] Am J Respir Crit Care Med. 2004;169:A645.
10. Asbestos, asbestosis, and cancer: the Helsinki criteria for diagnosis and attribution. Scand J Work Environ Health. 1997;23(4):311-6.
11. Churg A, Green FHY. Pathology of occupational lung disease. New York: Igaku-Shoin; 1988.
12. Dufresne A, Begin R, Churg A, Massé S. Mineral fibre content of lungs in mesothelioma cases seeking compensation in Quebec. Am J Respir Dis Crit Care Med. 1996;153(2):711-8.
13. Roggli VL, Greenberg SD, Pratt PC, editors. Pathology of asbestos-associated diseases. Little, Boston: Brown & Co; 1992.
14. Begin R, Samet JM, Shaikh RA. Asbestos. In: Harder P, Schenker MB, Balmes SR, editors. Occupational and environmental respiratory disease. St Louis: Mosby; 1996. p.293-321.
15. Hillerdal G. Asbestos-related pleural disease. Semin Resp Med. 1987;9:65-74.
16. Hillerdal G, Lindgren A. Pleural plaques: correlation of autopsy findings to radiographic findings and occupational history. Eur J Respir Dis. 1980;61(6):315-9.
17. Schwartz DA. New developments in asbestos induced pleural disease. Chest. 1991;99(1):191-8.
18. Algranti E, Freitas JPB, Mendonça EMC, DeCapitani EM, Silva HC, Bussacos MA. Asbestos-related pleural thickening is independently associated with lower levels of lung function and with shortness of breath. Inhalat Toxicol. 2000;12(Suppl 3):251-60.
19. Hillerdal G. Rounded atelectasis. Clinical experience with 74 patients. Chest. 1989;95(4):836-41.
20. Epler GR, McLoud TC, Gaensler EA. Prevalence and incidence of benign asbestos pleural effusion in a working population. JAMA. 1982;247(5):617-22.
21. Craighead JE, Abraham JL, Churg A, Green FH, Kleinerman J, Pratt PC, et al. The pathology of asbestos-associated diseases of the lungs and pleural cavities: diagnostic criteria and proposed grading schema. Report of the Pneumoconiosis Committee of the College of American Pathologists and the National Institute for Occupational Safety and Health. Arch Pathol Lab Med. 1982;106(11):544-96. .
22. American Thoracic Society/European Respiratory Society International Multidisciplinary Consensus Classification of the Idiopathic Interstitial Pneumonias. This joint statement of the American Thoracic Society (ATS), and the European Respiratory Society (ERS) was adopted by the ATS board of directors, June 2001 and by the ERS Executive Committee, June 2001. Am J Respir Crit Care Med. 2002;165(2):277-304. Erratum in: Am J Respir Crit Care Med. 2002;166(3):426.
__________________________________________________________________

* Trabalho realizado no Departamento de Patologia da Faculdade de Medicina da Universidade de São Paulo - FMUSP - São Paulo (SP) Brasil
1. Chefe do Laboratório de Histopatologia da Faculdade de Medicina da Universidade de São Paulo - USP - São Paulo (SP) Brasil.
2. Professor Titular do Departamento de Patologia da Faculdade de Medicina da Universidade de São Paulo - FMUSP.
Endereço para correspondência: Paulo Hilário Nascimento Saldiva. Av. Dr. Arnaldo, 455, Cerqueira César - CEP 01246- 903, São Paulo, SP, Brasil. Tel: 55 11 3066-7234. E-mail: pepino@usp.br

Indexes

Development by:

© All rights reserved 2025 - Jornal Brasileiro de Pneumologia