Continuous and bimonthly publication
ISSN (on-line): 1806-3756

Licença Creative Commons
13276
Views
Back to summary
Open Access Peer-Reviewed
Original Article

Optical coherence tomography in conjunction with bronchoscopy

Tomografia de coerência óptica broncoscópica

Ascedio José Rodrigues, Celso Kiyochi Takimura, Pedro Alves Lemos Neto, Viviane Rossi Figueiredo

ABSTRACT

Objective: To evaluate the diagnostic accuracy of bronchoscopy in patients with clinical or radiological suspicion of tuberculosis who were unable to produce sputum or with negative sputum smear microscopy results. Methods: A prospective cross-sectional study involving 286 patients under clinical or radiological suspicion of having pulmonary tuberculosis and submitted to bronchoscopy-BAL and transbronchial biopsy (TBB). The BAL specimens were submitted to direct testing and culture for AFB and fungi, whereas the TBB specimens were submitted to histopathological examination. Results: Of the 286 patients studied, 225 (79%) were diagnosed on the basis of bronchoscopic findings, as follows: pulmonary tuberculosis, in 127 (44%); nonspecific chronic inflammation, in 51 (18%); pneumocystis, fungal infections, or nocardiosis, in 20 (7%); bronchiolitis obliterans organizing pneumonia, alveolites, or pneumoconiosis, in 14 (5%); lung or metastatic neoplasms, in 7 (2%); and nontuberculous mycobacterium infections, in 6 (2%). For the diagnosis of tuberculosis, BAL showed a sensitivity and a specificity of 60% and 100%, respectively. Adding the TBB findings significantly increased this sensitivity (to 84%), as did adding the post-bronchoscopy sputum smear microscopy results (total sensitivity, 94%). Minor post-procedure complications occurred in 5.6% of the cases. Conclusions: Bronchoscopy is a reliable method for the diagnosis of pulmonary tuberculosis, with low complication rates. The combination of TBB and BAL increases the sensitivity of the method and facilitates the differential diagnosis with other diseases.

Keywords: Bronchoscopy; Tuberculosis, pulmonary; Sputum; Bronchoalveolar lavage; Biopsy.

RESUMO

Objetivo: Avaliar a viabilidade e o potencial do uso da tomografia de coerência óptica em conjunto com um broncoscópio convencional na avaliação das vias aéreas. Métodos: Estudo piloto baseado em um modelo experimental ex vivo com três animais: um coelho adulto da raça Nova Zelândia e dois suínos da raça Landrace. Um cateter de imagem de tomografia de coerência óptica foi inserido no canal de trabalho de um broncoscópio flexível para alcançarmos a traqueia distal dos animais. As imagens foram obtidas sistematicamente em toda a traqueia ao longo das paredes, partindo da porção distal para a proximal. Resultados: O cateter de imagem se adaptou com facilidade ao canal de trabalho do broncoscópio. Imagens em alta resolução de cortes transversais da traqueia foram obtidas em tempo real, sendo delineadas microestruturas, tais como epitélio, submucosa, cartilagem e camada adventícia nas paredes anteriores e laterais da traqueia. As camadas correspondentes do epitélio, mucosa e cartilagens foram claramente diferenciadas. Na parede posterior, foi possível identificar mucosa, submucosa e musculatura traqueal. Conclusões: O uso de tomógrafo de coerência óptica em conjunto com um broncoscópio flexível é viável. A tomografia de coerência óptica produz imagens de alta resolução que permitem visualizar a microanatomia da traqueia, inclusive estruturas que normalmente são visualizadas somente na histologia convencional.

Palavras-chave: Tomografia de coerência óptica; Traqueia; Broncoscopia; Microscopia; Técnicas de diagnóstico do sistema respiratório.

Introduction

Optical coherence tomography (OCT) is a relatively new and promising noninvasive diagnostic imaging technique that produces high-resolution images of cross sections of complex living tissue. Generated in real time, OCT images allow the visualization of cellular and extracellular structures up to 3 mm below the surface and have a spatial resolution of 1-20 µm, approaching the resolution of images produced by conventional histology.(1,2)

The OCT system has a mechanism that is analogous to that of B-mode ultrasound, using superluminescent-diode-based light in the infrared region, at a wavelength of 1,300 nm, rather than acoustic waves. The light is emitted to the tissue by a flexible imaging catheter measuring approximately 1.5 mm in diameter. The operating principle of OCT is low coherence interferometry. In this technique, light is divided into two parts: reflected light (reference light) and light that will be directed to the tissue. The interferometer can detect and analyze the interference pattern generated between the reflected light and the backscattered light at different tissue depths. The interference patterns created by the two light beams are recombined and decoded, forming a high-resolution cross-sectional image.(3,4)

The procedure is painless and requires no contact between the instruments and the tissue. There is no need for intravenous contrast or topical dyes, and ionizing radiation is not used.(1)

The use of OCT allows measurement of biological tissues at a resolution that is 20 times as high as that of ultrasound (10 µ vs. 200 µ).(5)

The images are displayed on a monitor in real time, appearing as black and white microscope slides, at a rate of ten frames per second.(6)

In situations in which it is pertinent to take high-resolution images of a given surface, OCT has a range of potential uses. The technique is widely used in the diagnosis of retinal problems, as well as in eye diseases such as macular degeneration, retinopathies, and glaucoma.(7) The use of OCT has been increasing in various areas, such as dermatology,(8) cardiovascular surgery,(9) gastrointestinal diseases, and pancreatic and biliary diseases.(10)

There are relatively few studies focusing on the use of OCT in the evaluation of the respiratory tract. A flexible OCT probe can be used in combination with a conventional bronchoscope, being inserted through the working channel of the bronchoscope with no need for adapters, which facilitates the use of this technology and greatly contributes to the generation of high-resolution images for the detection and evaluation of lung diseases.(11)

The objective of the present study was to evaluate the feasibility of and the potential for using OCT in conjunction with conventional bronchoscopy in the evaluation of the airways in an ex vivo experimental model.

Methods

This was a study based on an ex vivo experimental model involving three animals: one adult New Zealand rabbit and two Landrace pigs.

We used an OCT device (LightLab Imaging Inc., Westford, MA, USA) with a flexible imaging catheter of 1 mm in diameter (Imagewire; LightLab Imaging), a P20D adult flexible bronchoscope (Olympus Optical, Tokyo, Japan), and a BF 3C10 pediatric flexible bronchoscope (Olympus Optical).

The animals were placed in the supine position. A 3.6-mm bronchoscope with a 1.2-mm working channel was inserted through the rabbit's airway, whereas a 5.1-mm bronchoscope with a 2.0-mm working channel was used for the pigs. The lungs were not under mechanical ventilation. As soon as the right main bronchus was identified, the 1.0-mm OCT catheter was inserted through the working channel of the bronchoscope until the distal end of the catheter had reached the airway. The catheter was placed in the distal trachea, being slowly drawn to the subglottis and subsequently reinserted to the distal trachea, restarting the process. Trans-endotracheal imaging was performed with direct approximation of the OCT catheter to the inner surface of the trachea, images being displayed in real time on a monitor and appearing as black and red microscope slides, at a rate of approximately ten frames per second. The procedure was filmed, and OCT images were systematically taken along the entire trachea. The video files were subsequently transferred to a database in which digital photographic images were captured and catalogued.

Results

The passage of the flexible OCT catheter through the working channel of the bronchoscope caused no difficulties. It was possible to place the catheter in the desired position under direct bronchoscopic vision along the entire length of the central respiratory tract.
No contact between the catheter and the airway surface was needed for the acquisition of the corresponding image. Smooth and regular movements ensured satisfactory image quality. Closer proximity of the catheter to the surface of the trachea, without effectively touching it, translated to clearer images.

The format of the cross-sectional images, which is very similar to that of ultrasound images, showed good resolution up to approximately 2 mm.

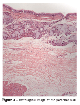
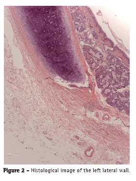
The OCT images were able to delineate, in real time, microstructures, such as the epithelium, submucosa, and cartilage, as well as the adventitia (Figure 1) of the anterior and lateral tracheal walls, similarly to the images produced by conventional histology (Figure 2). In the posterior wall, the layers corresponding to the mucosa, submucosa, and trachealis muscle were clearly differentiated on the OCT images (Figure 3) and were consistent with the histological images (Figure 4).










Discussion

Imaging with OCT allowed real-time identification of microstructures, such as the epithelium, submucosa, and cartilage, as well as the adventitia of the anterior and lateral tracheal walls. In the posterior wall, it was possible to identify the mucosa, submucosa, and trachealis muscle.

A new imaging technique, OCT has generated great interest because it is noninvasive, allows real-time evaluation, has higher spatial resolution than that of tomography and ultrasound, and dispenses with exposure to ionizing radiation and the use of intravenous contrast agents.

The functioning of OCT is analogous to that of ultrasound, although OCT uses electronic processing of the backscattering intensity of infrared light for constructing a topographic image of the tissue. The advantages of OCT over ultrasound include having higher image resolution and dispensing with physical contact with the tissue (without the use of a saline-filled balloon), as well as the fact that images are taken through the orotracheal tube, patient extubation being therefore unnecessary.(3)

The image produced is that of a tissue cross section, with resolution approximating that of light microscopy, and some authors call it "optical biopsy". Unlike ultrasound, light waves do not require a liquid medium for better transmission and are therefore more compatible with the airways. During OCT imaging, it is not necessary to touch the tissue with the catheter to take images, as was observed in our study. There are no risks associated with exposure to infrared light.

Imaging with OCT is a noninvasive procedure. However, the use of OCT in conjunction with conventional bronchoscopy involves topical anesthesia with lidocaine and conscious sedation, as well as posing the same risks as those posed by bronchoscopy in isolation. Therefore, the term "minimally invasive" is more appropriate.

The satisfactory results obtained in the present study demonstrate that integrating OCT with conventional bronchoscopy is feasible, as previously demonstrated.(12) The passage of the OCT catheter through the working channel of the bronchoscope required no adaptations.

Our results showed that OCT was able to generate high-resolution images of the mucosa, submucosa, cartilage, and adventitia of the trachea, including microstructures, such as the epithelium and perichondrium, dispensing with contact between the catheter and the trachea; these data are consistent with those reported in the literature.(5,13)

Imaging with OCT can be performed in a few minutes, as part of conventional bronchoscopy. In addition, during the same procedure, it is possible to perform bronchoalveolar lavage, endobronchial biopsy, and dynamic inspection.

Among the disadvantages of the technique is the inverse relationship between image resolution and image depth, i.e., higher resolution translates to lower depth of the acquired image. In addition, the penetration depth is still limited (approximately 3 mm), and the imaging catheter is very fragile and has a reduced diameter, requiring extremely careful handling.(4,5,14)

There are several ongoing clinical studies aimed at determining the usefulness of OCT in characterizing normal tissue and differentiating diseases. Ophthalmology is the medical specialty in which OCT is most commonly used, OCT being a valuable tool in the diagnosis and clinical follow-up of macular edema, choroidal neovascularization, and glaucoma-related changes.(15) There have been studies investigating the use of OCT in other medical fields, such as cardiology, gastroenterology,(16) mastology,(17) pulmonology, urology,(18) and otolaryngology.(19)

Because it enables high-resolution real-time imaging without exposure to radiation and because it is compatible with bronchoscopy, OCT has the potential to become a powerful tool in future lung research.(20) Minimally invasive visualization of tissue anatomy provides important information for the diagnosis and clinical management of a wide range of diseases.

In pulmonary medicine and thoracic surgery, OCT has numerous potential applications and can substantially increase the precision and accuracy of the current bronchoscopic diagnostic techniques (Chart 1). These applications include evaluation of smoke-induced airway injury,(2) evaluation of anastomosis and small airways in lung transplantation, performance of endobronchial biopsies,(21) and measurement of tracheobronchial stenosis,(20) as well as evaluation of normal microanatomy and small airway and smooth muscle thickening in asthma patients,(22) COPD patients,(23) cystic fibrosis patients, and smokers,(24,25) together with pre- and post-bronchial thermoplasty evaluation.(26) In addition, OCT can aid in determining the size of the bronchi in the endoscopic treatment of emphysema with one-way valves.(27)



In lung cancer, OCT has been used for differentiating normal mucosa from pre-neoplastic lesions. Three groups of authors(28-30) studied the tracheobronchial trees of patients suspected of having cancer and compared OCT images with images of biopsy of suspicious sites; the authors concluded that OCT, in addition to being well tolerated, was able to differentiate between normal tissue and tissue with neoplastic infiltration, suggesting that OCT can be an adjuvant technique in the early diagnosis of neoplastic lesions.

Coxson & Lam(1) measured the dimensions of the bronchial tree in 44 smokers by means of reconstructed HRCT images of the chest and OCT in conjunction with bronchoscopy and concluded that there was a good correlation between the measurements taken with the two techniques, although OCT was more accurate in detecting bronchial wall thickening and remodeling in that group of patients. Those authors suggested that OCT in conjunction with bronchoscopy can be promising in the study of airway changes in patients with COPD. Two groups of authors(12,24) also compared the use of OCT + bronchoscopy with that of CT in the measurement of the airways and obtained accurate results, suggesting that OCT be used in the study of airway remodeling in asthma patients.

Further studies investigating the application of OCT and bronchoscopy in the evaluation of the respiratory tract are needed in order to optimize the method, with the objective of potentially distinguishing between benign and malignant lesions, correlating the microanatomical changes identified by clinical examination, comparing OCT images with those produced by conventional histology, and improving OCT use in studies of lung diseases.

This initial experience, in the form of a pilot study involving a limited number of animals and using an ex vivo model, prevented us from drawing conclusions other than that OCT produces high-resolution images of the trachea and that it is feasible to use OCT in conjunction with conventional bronchoscopy. However, this was the first step toward further studies using in vivo experimental models.

The procedure has a learning curve that is similar to that of other bronchoscopic techniques. The imaging catheter should be carefully positioned, and knowledge of the respiratory anatomy is essential. The movements should be smooth and coordinated in order not to compromise the quality of the image. The similarity between OCT images and those produced by endobronchial ultrasound is obvious, the main difference being that OCT images have higher structural resolution. The analysis and interpretation of the acquired images require prior knowledge of basic histology.

One group of authors(20) used endobronchial ultrasound and OCT in order to evaluate post-intubation benign tracheal stenosis, in an attempt to find changes that could guide them in identifying the best treatment. The resolution of OCT was found to be 25 µm, compared with 100 µm of endobronchial ultrasound with a 20-MHz radial probe, which required a liquid interface (water-filled balloon) for image acquisition. Although the resolution of OCT was four times as high as that of endobronchial ultrasound, OCT achieved a depth of 1.7 mm; the authors concluded that the two methods were complementary, further studies being needed in order to investigate the use of the two methods.

On the basis of the present experimental findings, we conclude that OCT is a minimally invasive imaging method that is feasible, safe, and capable of providing structural data on the microanatomy of the central airway. Future studies are needed in order to validate this technology for use in the investigation of the human airways.

References

1. Coxson HO, Lam S. Quantitative assessment of the airway wall using computed tomography and optical coherence tomography. Proc Am Thorac Soc. 2009;6(5):439-43. PMid:19687216. PMCid:2731804. http://dx.doi.org/10.1513/pats.200904-015AW

2. Yin J, Liu G, Zhang J, Yu L, Mahon S, Mukai D, et al. In vivo early detection of smoke-induced airway injury using three-dimensional swept-source optical coherence tomography. J Biomed Opt. 2009;14(6):060503. PMid:20059234. PMCid:2801726. http://dx.doi.org/10.1117/1.3268775

3. Ridgway JM, Su J, Wright R, Guo S, Kim DC, Barretto R, et al. Optical coherence tomography of the newborn airway. Ann Otol Rhinol Laryngol. 2008;117(5):327-34. PMid:18564528. PMCid:2871770.

4. Fujimoto JG. Optical coherence tomography for ultrahigh resolution in vivo imaging. Nat Biotechnol. 2003;21(11):1361-7. PMid:14595364. http://dx.doi.org/10.1038/nbt892

5. Han S, El-Abbadi NH, Hanna N, Mahmood U, Mina-Araghi R, Jung WG, et al. Evaluation of tracheal imaging by optical coherence tomography. Respiration. 2005;72(5):537-41. PMid:16210894. http://dx.doi.org/10.1159/000087680

6. Saba OI, Hoffman EA, Reinhardt JM. Maximizing quantitative accuracy of lung airway lumen and wall measures obtained from X-ray CT imaging. J Appl Physiol. 2003;95(3):1063-75. PMid:12754180.

7. Yoo C, Eom YS, Suh YW, Kim YY. Central corneal thickness and anterior scleral thickness in Korean patients With Open-angle glaucoma: an anterior segment optical coherence tomography study. J Glaucoma. 2011;20(2):95-9. PMid:20577104. http://dx.doi.org/10.1097/IJG.0b013e3181dde051

8. Gambichler T, Jaedicke V, Terras S. Optical coherence tomography in dermatology: technical and clinical aspects. Arch Dermatol Res. 2011;303(7):457-73. PMid:21647692. http://dx.doi.org/10.1007/s00403-011-1152-x

9. Picchi A, Micheli A, Limbruno U. Images in cardiology. The traumatic effect of balloon dilatation on neointimal hyperplasia: what we did not see before optical coherence tomography. Heart. 2011;97(3):265-6. PMid:21036803. http://dx.doi.org/10.1136/hrt.2010.211185

10. Hwang JH, Cobb MJ, Kimmey MB, Li X. Optical coherence tomography imaging of the pancreas: a needle-based approach. Clin Gastroenterol Hepatol. 2005;3(7 Suppl 1):S49-52. http://dx.doi.org/10.1016/S1542-3565(05)00259-4

11. Thiberville L, Salaün M. Bronchoscopic advances: on the way to the cells. Respiration. 2010;79(6):441-9. PMid:20431326. http://dx.doi.org/10.1159/000313495

12. Williamson JP, Armstrong JJ, McLaughlin RA, Noble PB, West AR, Becker S, et al. Measuring airway dimensions during bronchoscopy using anatomical optical coherence tomography. Eur Respir J. 2010;35(1):34-41. PMid:19541718. http://dx.doi.org/10.1183/09031936.00041809

13. Jung W, Zhang J, Mina-Araghi R, Hanna N, Brenner M, Nelson JS, et al. Feasibility study of normal and septic tracheal imaging using optical coherence tomography. Lasers Surg Med. 2004;35(2):121-7. PMid:15334615. http://dx.doi.org/10.1002/lsm.20072

14. Drexler W. Ultrahigh-resolution optical coherence tomography. J Biomed Opt. 2004;9(1):47-74. PMid:14715057. http://dx.doi.org/10.1117/1.1629679

15. Dinc UA, Kulacoglu DN, Oncei B, Yalvac IS. Quantitative assessment of anterior chamber parameters in pigmentary glaucoma using slit-lamp optical coherence tomography. Eur J Ophthalmol. 2010;20(4):702-7. PMid:20099232.

16. Sorbara L, Maram J, Bizheva K, Hutchings N, Simpson TL. Case report: Chalazion and its features visualized by ultrahigh resolution optical coherence tomography. Cont Lens Anterior Eye. 2011;34(2):87-91. PMid:21094077. http://dx.doi.org/10.1016/j.clae.2010.10.008

17. Iftimia NV, Mujat M, Ustun T, Ferguson RD, Danthu V, Hammer DX. Spectral-domain low coherence interferometry/optical coherence tomography system for fine needle breast biopsy guidance. Rev Sci Instrum. 2009;80(2):024302. PMid:19256665. PMCid:2736644. http://dx.doi.org/10.1063/1.3076409

18. Karl A, Stepp H, Willmann E, Buchner A, Hocaoglu Y, Stief C, et al. Optical coherence tomography for bladder cancer -- ready as a surrogate for optical biopsy? Results of a prospective mono-centre study. Eur J Med Res. 2010;15(3):131-4. PMid:20452899. http://dx.doi.org/10.1186/2047-783X-15-3-131

19. Just T, Lankenau E, Prall F, Hüttmann G, Pau HW, Sommer K. Optical coherence tomography allows for the reliable identification of laryngeal epithelial dysplasia and for precise biopsy: a clinicopathological study of 61 patients undergoing microlaryngoscopy. Laryngoscope. 2010;120(10):1964-70. PMid:20824740. http://dx.doi.org/10.1002/lary.21057

20. Murgu SD, Colt HG, Mukai D, Brenner M. Multimodal imaging guidance for laser ablation in tracheal stenosis. Laryngoscope. 2010;120(9):1840-6. PMid:20593421. http://dx.doi.org/10.1002/lary.21047

21. Mahmood U, Hanna NM, Han S, Jung WG, Chen Z, Jordan B, et al. Evaluation of rabbit tracheal inflammation using optical coherence tomography. Chest. 2006;130(3):863-8. PMid:16963687. http://dx.doi.org/10.1378/chest.130.3.863

22. de Carvalho-Pinto RM, Cukier A, Angelini L, Antonangelo L, Mauad T, Dolhnikoff M, et al. Clinical characteristics and possible phenotypes of an adult severe asthma population. Respir Med. 2012;106(1):47-56. PMid:21890336. http://dx.doi.org/10.1016/j.rmed.2011.08.013

23. Stirbulov R, Lundgren FL. Pharmacological treatment of COPD. J Bras Pneumol. 2011;37(4):419-21. PMid:21881729. http://dx.doi.org/10.1590/S1806-37132011000400001

24. Williamson JP, James AL, Phillips MJ, Sampson DD, Hillman DR, Eastwood PR. Quantifying tracheobronchial tree dimensions: methods, limitations and emerging techniques. Eur Respir J. 2009;34(1):42-55. PMid:21881729. http://dx.doi.org/10.1590/S1806-37132011000400001

25. Dias-Júnior SA, Pinto RC, Angelini L, Fernandes FL, Cukier A, Stelmach R. Prevalence of active and passive smoking in a population of patients with asthma. J Bras Pneumol. 2009;35(3):261-5. PMid:19390725.

26. Rubin AS, Cardoso PF. Bronchial thermoplasty in asthma. J Bras Pneumol. 2010;36(4):506-12. PMid:20835600. http://dx.doi.org/10.1590/S1806-37132010000400018

27. Galluccio G, Lucantoni G. Bronchoscopic lung volume reduction for pulmonary emphysema: preliminary experience with a new NOVATECH endobronchial silicone one-way valve. Interact Cardiovasc Thorac Surg. 2010;11(2):213-5. PMid:20439298. http://dx.doi.org/10.1510/icvts.2010.236398

28. Tsuboi M, Hayashi A, Ikeda N, Honda H, Kato Y, Ichinose S, et al. Optical coherence tomography in the diagnosis of bronchial lesions. Lung Cancer. 2005;49(3):387-94. PMid:15922488. http://dx.doi.org/10.1016/j.lungcan.2005.04.007

29. Michel RG, Kinasewitz GT, Fung KM, Keddissi JI. Optical coherence tomography as an adjunct to flexible bronchoscopy in the diagnosis of lung cancer: a pilot study. Chest. 2010;138(4):984-8. PMid:20472863. http://dx.doi.org/10.1378/chest.10-0753

30. Lam S, Standish B, Baldwin C, McWilliams A, leRiche J, Gazdar A, et al. In vivo optical coherence tomography imaging of preinvasive bronchial lesions. Clin Cancer Res. 2008;14(7):2006-11. PMid:18381938. PMCid:2849640. http://dx.doi.org/10.1158/1078-0432.CCR-07-4418




* Study carried out at the Respiratory Endoscopy Section of the Department of Pulmonology, Heart Institute, University of São Paulo School of Medicine Hospital das Clínicas, São Paulo, Brazil.
Correspondence to: Ascedio José Rodrigues. Serviço de Endoscopia Respiratória HC-FMUSP, Prédio dos Ambulatórios, 6º Andar, Bloco 3, Avenida Dr. Enéas de Carvalho Aguiar, 255, Cerqueira César, CEP 05017-000, São Paulo, SP, Brasil.
Tel. 55 11 2661-5612. E-mail: ascedio@gmail.com
Financial support: None.
Submitted: 19 September 2011. Accepted, after review: 30 January 2012.



About the authors

Ascedio José Rodrigues
Attending Physician. Respiratory Endoscopy Section of the Department of Pulmonology, Heart Institute, University of São Paulo School of Medicine Hospital das Clínicas, São Paulo, Brazil.

Celso Kiyochi Takimura
Physician. Department of Hemodynamics, Heart Institute, University of São Paulo School of Medicine Hospital das Clínicas, São Paulo, Brazil.

Pedro Alves Lemos Neto
Tenured Professor. University of São Paulo School of Medicine, São Paulo, Brazil.

Viviane Rossi Figueiredo
Technical Director. Respiratory Endoscopy Section of the Department of Pulmonology, Heart Institute, University of São Paulo School of Medicine Hospital das Clínicas, São Paulo, Brazil.

Indexes

Development by:

© All rights reserved 2025 - Jornal Brasileiro de Pneumologia