Continuous and bimonthly publication
ISSN (on-line): 1806-3756

Licença Creative Commons
18508
Views
Back to summary
Open Access Peer-Reviewed
Case Report

Síndrome de Claude Bernard-Horner associada ao empiema pleural

Claude Bernard-Horner syndrome resulting from pleural empyema

Fernando Luiz Westphal, Luiz Carlos de Lima, Arteiro Queiroz Menezes, Dirany Leite Sacramento e Silva

ABSTRACT

Claude Bernard-Horner syndrome presents various etiologies and occurs as the direct result of interrupted nerve signaling at any point along the nerve trajectory, be it intrathoracic or extrathoracic. Herein, we report a case of Claude Bernard-Horner syndrome caused by loculated pleural empyema located in the paravertebral region of the upper third of the right hemithorax. The patient was submitted to thoracotomy in order to drain the infected fluids. The end result was satisfactory, including resolution of the infection, pulmonary expansion, and remission of the syndrome.

Keywords: Pleural empyema/complications; Horner syndrome/etiology; Blepharoptosis; Thoracotomy;

RESUMO

A síndrome de Claude Bernard-Horner apresenta várias etiologias, ocorre por interrupção do estímulo nervoso em qualquer ponto do trajeto do nervo e pode ser intra ou extratorácica. É relatado um caso dessa síndrome causado por empiema pleural septado, localizado em região paravertebral, no terço superior do hemitórax direito. O paciente foi submetido à toracotomia para drenagem da cavidade pleural. A evolução foi satisfatória, com regressão do quadro infeccioso, expansão pulmonar e remissão da síndrome.

Palavras-chave: Empiema pleural/complicações; Síndrome de Horner/etiologia; Blefaroptose; Toracotomia;

INTRODUÇÃO

A síndrome de Claude Bernard-Horner (SCBH) é conseqüente a um bloqueio da inervação simpática do olho e da face em qualquer ponto do seu trajeto. Cursa clinicamente com uma ptose palpebral discreta a moderada da pálpebra superior, devida a uma paresia do músculo tarsal superior ou de Müller. A pupila apresenta uma miose variável, que depende da localização, grau e cronicidade do déficit. A síndrome é considerada completa quando esses sintomas estão associados à anidrose da hemiface ipisilateral, a um aumento da temperatura e à hiperemia facial.(1-2)

Os fatores etiológicos da SCBH são múltiplos e podem ser iatrogênicos, traumáticos ou associados a doenças sistêmicas. O empiema pleural como agente etiológico desta síndrome é raro. O objetivo deste relato é apresentar um caso com essa associação.

RELATO DO CASO

Um paciente do sexo masculino, de 32 anos, iniciou quadro de dor súbita em ombro direito, associado a esforço físico. Procurou atendimento médico e foi tratado com antiinflamatório, porém sem melhora dos sintomas. Após dois dias, apresentou febre e aumento da intensidade da dor. Realizou exame radiológico do ombro direito, com resultado normal, razão pela qual foi mantido o tratamento. No quinto dia, o quadro do paciente evoluiu e piorou consideravelmente, com celulite em todo o hemitórax direito, dispnéia acentuada e sinais de septicemia, com diminuição da pressão arterial e taquipnéia. Foi encaminhado à unidade de terapia intensiva para suporte ventilatório e investigação diagnóstica.

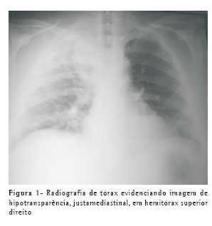
A radiografia de tórax, no momento da internação, evidenciou imagem de hipotransparência no terço superior do hemitórax direito (Figura 1). A tomografia computadorizada do tórax demonstrou imagem sugestiva de empiema pleural septado localizado em região paravertebral superior, no hemitórax direito (Figura 2). O paciente foi submetido à toracotomia exploradora póstero-lateral, em caráter de urgência, com drenagem das lojas empiemáticas e descorticação pulmonar. Permaneceu em ventilação mecânica por seis dias, recebendo alta da unidade de terapia intensiva no décimo dia de pós-operatório, com evolução satisfatória e regressão do quadro infeccioso. Após o desmame da ventilação mecânica e a extubação do paciente, quando ele estava consciente, foi observada a presença de ptose palpebral à direita. O paciente percebeu essa ptose no quinto dia após o início da instalação do quadro clínico e antes da internação hospitalar, fato confirmado por seus familiares (Figura 3). O paciente recebeu alta hospitalar no décimo quarto dia após a cirurgia, em bom estado geral. Durante o acompanhamento ambulatorial pós-operatório, o paciente apresentou, após dois meses, regressão total da ptose palpebral.









DISCUSSÃO

O nervo simpático responsável pelo suprimento nervoso ocular e facial segue um trajeto descendente desde o hipotálamo, através do primeiro neurônio motor, até o tronco do encéfalo, seguindo depois até o gânglio estrelado através do segundo neurônio motor. A seguir, alcança a face através do terceiro neurônio motor, distribuído em dois feixes: um junto ao trajeto da artéria carótida interna, via destinada à musculatura lisa da pálpebra e pupila, e outro junto à artéria carótida externa, via destinada às glândulas sudoríparas da face.(1-4)

Esse complexo trajeto da via simpática faz com que existam distintos níveis de interrupção do estímulo nervoso, que podem ser responsabilizados pela SCBH, e agrupados em lesões do cérebro, tronco cerebral, medula, vértebras torácicas de C8 a T1, cadeia simpática cervical e órbita.(1-2)

As lesões hemisféricas, que podem ocasionar a síndrome, são o infarto cerebral extenso e a hemorragia talâmica. As lesões de tronco cerebral são o infarto hipotalâmico, a síndrome de Wallemberg, a esclerose múltipla, os tumores e a encefalite de tronco. Como lesões medulares, podemos ter a sieringomielia, tumores vertebrais e medulares e traumatismos.(1,5)

As lesões de C8 a T1, que podem ocasionar a sintomatologia, são o tumor de Pancoast, a síndrome do desfiladeiro torácico e as compressões mecânicas. As lesões da cadeia simpática cervical podem ser por patologia carotídea, infiltração neoplásica, adenopatias e abscessos.(1,6-8)

Dentre as causas iatrogênicas, a simpatectomia videotoracoscópica pode apresentar incidência de 2,6%.(9) Em nosso meio, um estudo de 2003(10) analisou uma série de 743 pacientes e foi relatada incidência de 0,54% da SCBH. Os procedimentos vasculares realizados na abertura torácica superior são passíveis de determinar lesões do gânglio estrelado, como em um caso descrito em 2000.(11) Os procedimentos anestésicos, como a peridural, podem levar à SCBH.(12)

Outra complicação relacionada ao ato cirúrgico é o mau posicionamento do tubo torácico como um fator implicado na gênese da SCBH, porém reversível desde que a posição do tubo seja precocemente corrigida. Provavelmente, a compressão mecânica da cadeia simpática determina a isquemia e posterior neuropraxia e está diretamente relacionada ao tempo de permanência do agente etiológico.(13)

Os sinais clínicos associados às provas farmacológicas ajudam no diagnóstico topográfico da lesão e permitem esclarecer sua etiologia. As lesões óculo-simpáticas pós-ganglionares não incluem anidrose e cursam somente com ptose palpebral e miose. O emprego da hidroxianfetamina a 1% permite distinguir claramente entre bloqueio pré e pós-ganglionar, pela ausência de dilatação pupilar após sua administração nas lesões pós-ganglionares.(1,14-15)

As complicações advindas da presença do empiema pleural são múltiplas, incluindo a instalação da septicemia, o encarceramento pulmonar e a drenagem espontânea do empiema para a pele ou tecidos contíguos.(16) As lesões da cadeia simpática cervicotorácica causadas por abscesso intratorácico são apresentadas na literatura como agentes etiológicos da SCBH, porém, em nossa revisão, não encontramos referência dessa síndrome associada a empiema pleural septado.

Apresentamos o caso de um paciente com empiema pleural septado, de localização paravertebral superior direita, em topografia da cadeia simpática torácica, que determinou o achado pós-operatório de SCBH. O tratamento cirúrgico, com a remoção da loja empiemática e drenagem da cavidade torácica, obteve sucesso, com resolução do quadro infeccioso e remissão da síndrome.

Em conclusão, apesar de ser uma causa rara da SCBH, o empiema pleural septado pode ser considerado durante o estudo diagnóstico, visto que sua presença pode ocasionar a compressão mecânica da cadeia simpática, reversível com a retirada do fator causal.

REFERÊNCIAS

1. Barrero MC, Parras N, Martín E, Marsal C, Carbonell MA, Pinto JM. [Horner´s syndrome and brachial radiculopathy related to vertebral metastases]. Rev Neurol. 1999;29(7):614-6. Spanish.
2. Ségura P, Speeg-Schatz C, Wagner JM, Kern O. [Claude Bernard-Horner syndrome and its opposite, Pourfour du Petit syndrome, in anesthesia and intensive care]. Ann Fr Anesth Réanim. 1998;17(7):709-24. French.
3. Mariniello G, Annecchiarico H, Sardo L, Buonamassa S, de Divitiis E. Connections of sympathetic fibres inside the cavernous sinus: a microanatomical study. Clin Neurol Neurosurg. 2000;102(1):1-5. Comment in: Clin Neurol Neurosurg. 2000;102(4):265-7.
4. Salvesen R. Innervation of sweat glands in the forehead. A study in patients with Horner's syndrome. J Neurol Sci. 2001;183(1):39-42.
5. Pomeranz H. Isolated Horner syndrome and syrinx of the cervical spinal cord. Am J Ophthalmol. 2002;133(5): 702-4.
6. Okamoto T, Kase M, Yokoi M, Suzuki Y. Reversible Horner´s syndrome and dysthyroid ocular myopathy associated with Hashimoto's disease. Jpn J Ophthalmol. 2003;47(6):587-90.
7. Frigerio S, Bühler R, Hess CW, Sturzenegger M. Symptomatic cluster headache in internal carotid artery dissection-consider anhidrosis. Headache. 2003;43(8):896-900.
8. Kara CO, Topuz B. Horner's syndrome after excision of cervical sympathetic chain schwannoma. Otolaryngol Head Neck Surg. 2002;127(1):127-8.
9. Gossot D, Galetta D, Pascal A, Debrosse D, Caliandro R, Girard P, et al. Long-term results of endoscopic thoracic sympathectomy for upper limb hyperhidrosis. Ann Thorac Surg. 2003;75(4):1075-9
10. Leão LEV, Oliveira R, Szulc R, Mari JJ, Crotti PLR, Gonçalves JJS. Role of video assisted thoracoscopic sympathectomy in the treatment of primary hyperhidrosis. São Paulo Med J. 2003;121(5):191-7.
11. Naimer SA, Weinstein O, Rosenthal G. Congenital Horner syndrome: a rare though significant complication of subclavian flap aortoplasty. J Thorac Cardiovasc Surg. 2000;120(2):419-21. Comment in: J Thorac Cardiovasc Surg. 2001;121(4):819-20; J Thorac Cardiovasc Surg. 2003;125(2):444.
12. Chandrasekhar S, Peterfreund RA. Horner's syndrome following very low concentration bupivacaine infusion for labor epidural analgesia. J Clin Anesth. 2003;15(3):217-9.
13. Kaya SO, Liman ST, Bir LS, Yuncu G, Erbay HR, Unsal S. Horner's syndrome as a complication thoracic surgical practice. Eur J Cardiothorac Surg. 2003;24(6):1025-8.
14. Van Der Wiel HL, Van Gijn J. The diagnosis of Horner's syndrome. Use and limitations of the cocaine test. J Neurol Sci. 1986;73(3):311-6.
15. Van Der Wiel HL, Van Gijn J. Localization of Horner's syndrome. Use and limitations of the hydroxyamphetamine test. J Neurol Sci. 1983;59(2):229-35.
16. McLaughlin JS, Krasna MJ. Parapneumonic empyema. In: Shields, TW. General thoracic surgery. 5th ed. Philadelphia: Lippincott Williams & Wilkins; 2000. p.699-708.
_________________________________________________________________________________
* Trabalho realizado no Hospital Universitário Getúlio Vargas - Universidade Federal do Amazonas - UFA - Manaus (AM) Brasil.
1. Doutor em Medicina. Chefe do Serviço de Cirurgia Torácica do Hospital Universitário Getulio Vargas - HUGV - Manaus (AM) Brasil.
2. Doutor em Medicina. Cirurgião Torácico do Serviço de Cirurgia Torácica do Hospital Universitário Getúlio Vargas - HUGV - Manaus (AM) Brasil.
3. Especialista em Cirurgia Torácica. Médico do Serviço de Cirurgia Torácica do Hospital Universitário Getúlio Vargas - HUGV - Manaus (AM) Brasil.
4. Acadêmica de Medicina da Universidade Federal de Juiz de Fora - UFJF - Juiz de Fora (MG) Brasil.
Endereço para correspondência: Fernando Luiz Westphal. Rua Dr. Mendonça S/N. Res. Jd. Itália - Ed. Turin 401
CEP 69050-170, Manaus, AM, Brasil. Tel.: 55 92 3234-6334. E-mail f.l.westphal@uol.com.br
Recebido para publicação em 9/2/05. Aprovado, após revisão, em 16/6/05.

Indexes

Development by:

© All rights reserved 2025 - Jornal Brasileiro de Pneumologia