Continuous and bimonthly publication
ISSN (on-line): 1806-3756

Licença Creative Commons
34665
Views
Back to summary
Open Access Peer-Reviewed
Case Report

Tratamento cirúrgico de cisto broncogênico paratraqueal por mediastinoscopia cervical

Surgical treatment of a paratracheal bronchogenic cyst using cervical mediastinoscopy

Daniel Sammartino Brandão, Carlos Henrique Ribeiro Boasquevisque, Rui Haddad, Eduardo de Souza Ponzio

ABSTRACT

Bronchogenic cysts of the mediastinum are benign congenital lesions, usually found in adults. When surgery is indicated, the classical approach is resection of the lesion by thoracotomy or thoracoscopy. Herein, we describe the complete resection of a paratracheal bronchogenic cyst by cervical mediastinoscopy. We also include a brief review and discussion of the literature.

RESUMO

Os cistos broncogênicos do mediastino são lesões benignas congênitas, usualmente descobertas na idade adulta. O tratamento cirúrgico clássico, quando indicado, é a ressecção da lesão por toracotomia ou por videotoracoscopia. Descrevemos aqui um caso em que foi realizada a ressecção completa de um cisto broncogênico paratraqueal por mediastinoscopia cervical, com uma breve revisão e discussão da literatura.

INTRODUÇÃO

Os cistos broncogênicos (CB) do mediastino são lesões congênitas que representam entre 6% e 15% das massas mediastinais.(1-2) A incidência é semelhante entre homens e mulheres,(1) sendo as localizações preferenciais as regiões paratraqueal e carinal.(1,3) Geralmente os CB são assintomáticos, constituindo achado radiológico, porém podem apresentar sintomas devido à compressão e/ou irritação de estruturas adjacentes, ou por infecção.(1-2,4-5) O tratamento cirúrgico está indicado primariamente para todos os CB sintomáticos.(2) No entanto, a cirurgia pode ser uma opção mesmo nos CB assintomáticos, uma vez que cerca de 85% destas lesões podem se tornar sintomáticas ao longo do tempo.(2,4)

A abordagem cirúrgica preconizada na literatura médica envolve a ressecção completa do cisto por toracotomia ou por videotoracoscopia.(1-3,5) A abordagem por mediastinoscopia foi descrita há 30 anos por Ginsberg e representa uma alternativa cirúrgica de menor morbidade e com excelentes resultados na literatura,(4,6-7) e deve ser considerada nos casos com indicação precisa. No entanto, por razões pouco claras, este procedimento não se popularizou entre os cirurgiões torácicos, que utilizam principalmente a toracotomia ou a ressecção por videotoracoscopia.(8)

RELATO DO CASO

Um paciente de 22 anos, do sexo masculino, procurou atendimento médico devido a tosse seca persistente. Negava quaisquer outros sintomas. Realizou telerradiografia de tórax que evidenciou alargamento mediastinal na região paratraqueal direita. Foi então submetido à tomografia computadorizada do tórax (Figura 1), que mostrou a presença de lesão cística paratraqueal direita, com 6 cm de diâmetro, deslocando a veia cava superior anteriormente e a traquéia para a esquerda. O exame físico era normal e o paciente não apresentava co-morbidades.





Foi então submetido a mediastinoscopia cervical, evidenciando-se lesão cística, de limites bem definidos, cuja punção deu saída a líquido viscoso, mucóide e brancacento. Procedeu-se à ressecção completa da lesão (Figura 2) por dissecção romba, por vezes digital, com tração constante.





O paciente evoluiu sem intercorrências após o procedimento e recebeu alta hospitalar no segundo dia de pós-operatório. O exame anatomopatológico da lesão confirmou o diagnóstico de cisto broncogênico, com a presença de epitélio respiratório na parede do cisto.
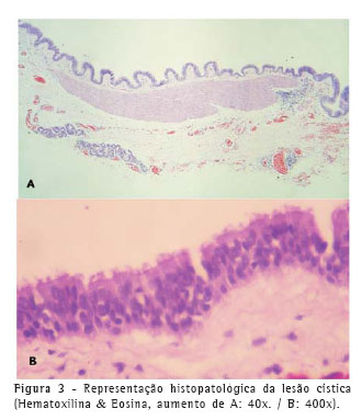
A representação histopatológica da lesão cística revelou revestimento interno por epitélio pseudoestratificado ciliado (do tipo respiratório) apoiado em estroma conjuntivo frouxo, permeado por feixes de células musculares lisas e glândulas mucosas na profundidade, semelhante aos constituintes normais da parede brônquica, exceto pela ausência de tecido cartilaginoso (Figura 3).





DISCUSSÃO

Os CB são lesões congênitas derivadas de brotamentos anormais a partir da árvore brônquica primitiva.(2,5) Em geral, quando tal anormalidade ocorre precocemente, formam-se cistos mediastinais, usualmente sem comunicação com a árvore traqueobrônquica. Quando formados tardiamente, resultam em cistos intraparenquimatosos, freqüentemente em comunicação com a via respiratória, os quais são mais sintomáticos e mais freqüente-mente complicados por infecção.(1,5,9-10)

Os CB são formados por epitélio respiratório e têm seu interior preenchido por material mucinoso, brancacento, ou mesmo hemático, sendo quase sempre uniloculados.(1-2) A presença de cartilagem distingue os CB dos cistos entéricos.(10) Quanto à localização, os CB são divididos em cinco grupos: paratraqueal, carinal, hilar, paraesofagiano e miscelânea, em que se enquadram as formas intrapulmonar e infradiafragmática.(9) Nas três maiores séries da literatura, a localização paratraqueal foi a mais freqüente.(1,3,10)

As manifestações clínicas do CB na literatura incluem dor torácica, tosse, dispnéia, febre, hemoptise e disfagia.(1,3,5) Suas complicações incluem infecção, compressão de estruturas adjacentes, como na síndrome da veia cava superior, fistulização e até mesmo degeneração maligna.(3, 11)
Muitas vezes o diagnóstico começa no achado incidental de massa mediastinal em radiograma de rotina.(2) A tomografia computadorizada de tórax mostra usualmente lesão cística e uniloculada.(5) A punção aspirativa, à exceção do achado de secreção mucóide, não tem valor diagnóstico.(3)

O tratamento proposto para o CB do mediastino é a ressecção completa da lesão, classicamente por toracotomia e, nos últimos anos, com a popularização da videotoracoscopia, a ressecção por cirurgia torácica videoassistida.(1-3,5,8,11)

A descrição da ressecção por mediastinoscopia foi feita por Ginsberg em 1972, porém não se popularizou.(6) Admite-se que isto ocorreu devido à preocupação com a ressecção incompleta da lesão e a possibilidade de recidiva, bem como à impos-sibilidade técnica de se ressecar com segurança lesões subcarinais. Entretanto, trabalhos na literatura comprovam a eficácia e segurança do método, bem como a possibilidade de ressecção subtotal e esclerose da lesão, ambas com ótimos resultados.(4,7) Obviamente, esta abordagem deve ser reservada aos CB localizados em regiões acessíveis a mediastinoscopia cervical convencional e, conforme citado anteriormente, existe uma parcela significativa de CB localizados em tais regiões.(1,3)

Sabe-se que a mediastinoscopia é um procedimento com potencial mínimo de complicações quando realizado por pessoas experientes.(7,12) As reduções do tempo operatório e de internação, da dor pós-operatória e das complicações associadas à toracotomia e à cirurgia torácica videoassistida tornam muito atraente a abordagem mediastinoscópica.

Portanto, diante da possibilidade de confirmação diagnóstica e tratamento adequado dos CB por mediastinoscopia, acreditamos que tal técnica deva ser sempre considerada no tratamento dos cistos localizados em regiões acessíveis através da mediastinoscopia cervical.

AGRADECIMENTOS

Ao Prof. Paulo Marcos Valiante pela valiosa colaboração na preparação das lâminas e fotografias.

REFERÊNCIAS

1. Ribet ME, Copin MC, Gosselin BH. Bronchogenic cysts of the mediastinum. J Thorac Cardiovasc Surg. 1995;109(5):1003-10.
2. Bolton JW, Shahian DM. Asymptomatic bronchogenic cysts: what is the best management? Ann Thorac Surg. 1992;53(6):1134-37.
3. Suen HC, Mathisen DJ, Grillo HC, LeBlanc J, McLoud TC, Moncure AC, et al. Surgical management and radiological characteristics of bronchogenic cysts. Ann Thorac Surg. 1993;55(2):476-81.
4. Urschel JD, Horan TA. Mediastinoscopic treatment of mediastinal cysts. Ann Thorac Surg. 1994;58(6):1698-700.
5. Duranceau ACH, Deslauriers J. Foregut cysts of the mediastinum in adults. In: Shields TW, Locicero J III, Ponn RB, editors. General thoracic surgery. 5th ed. Philadelphia, USA: Lippincott Williams; 2000.
6. Ginsberg RJ, Atkins RW, Paulson DL. A bronchogenic cyst successfully treated by mediastinoscopy. Ann Thorac Surg. 1972;13(3):266-8.
7. Smythe WR, Bavaria JE, Kaiser LR. Mediastinoscopic subtotal removal of mediastinal cysts. Chest. 1998;114(2):614-7.
8. Brichon PY, Brambilla E, Frassinetti E, Brambilla C, Latreille R. Excision by video-thoracoscopy of a mediastinal bronchogenic cyst. A case report. Rev Mal Resp. 1992;9:44-5. French.
9. Maier HC. Bronchogenic cysts of the mediastinum. Ann Thorac Surg. 1948;127: 476-502.
10. Takeda SI, Miyoshi S, Minami M, Ohta M, Masaoka A, Matsuda H. Clinical spectrum of mediastinal cysts. Chest. 2003;124(1):125-32.
11. Rammohan G, Berger HW, Lajam F, Buhain WJ. Superior vena cava syndrome by bronchogenic cyst. Chest. 1975;68(4):599-601.
12. Puhakka H. Complications of mediastinoscopy. J Laryngol Otol. 1989;103(3):312-5.



* Trabalho realizado no Instituto de Doenças do Tórax, Hospital Universitário Clementino Fraga Filho, Universidade Federal do Rio de Janeiro - UFRJ - Rio de Janeiro (RJ) Brasil.
1. Mestrando em Cirurgia do Departamento de Cirurgia da Faculdade de Medicina da Universidade Federal do Rio de Janeiro - UFRJ - Rio de Janeiro (RJ) Brasil.
2. Professor Adjunto Doutor do Departamento de Cirurgia da Faculdade de Medicina da Universidade Federal do Rio de Janeiro - UFRJ - Rio de Janeiro (RJ) Brasil.
3. Cirurgião Torácico do Hospital Naval Marcílio Dias e do Hospital de Força Aérea do Galeão, Rio de Janeiro (RJ) Brasil.
Endereço para correspondência: Carlos Henrique Ribeiro Boasquevisque. Rua Voluntários da Pátria, 389 / 228. CEP : 22270-000. Tel: 021 25622620; fax: 021 25622620; e-mail: cboasquevisque@uol.com.br / cboasquevisque@hucff.ufrj.br
Recebido para publicação em 20/7/04. Aprovado, após revisão, em 4/2/05.

Indexes

Development by:

© All rights reserved 2025 - Jornal Brasileiro de Pneumologia