Continuous and bimonthly publication
ISSN (on-line): 1806-3756

Licença Creative Commons
21835
Views
Back to summary
Open Access Peer-Reviewed
Original Article

Análise da remodelação vascular na isquemia pulmonar experimental, nas fases aguda e crônica

Analysis of acute and chronic vascular remodeling in an experimental model of pulmonary ischemia

Wanderley M. Bernardo, Fabio B. Jatene, Lea Maria M. F. Demarchi, Vera Luiza Capelozzi, Rogério Pazetti, Dolores H. R. F. Rivero¸ Rosangela Monteiro, Sérgio A. de Oliveira

ABSTRACT

Background: Structural alterations to the pulmonary circulation characterize the vascular remodeling process and are likely correlated with local variations in flow and ischemia. Objective: To define the histological alterations to the pulmonary circulation seen after experimentally-induced ischemia of the pulmonary artery and to correlate those alterations with known patterns of blood redistribution and vascular remodeling. Method: Wistar rats (n = 48) were randomized into two groups with ligation of the pulmonary artery and without (controls) and were sacrificed on post-ischemia days 1, 7, 30 and 60. Lungs were removed and inspected for signs of parenchymal injury. External diameters, as well as wall thicknesses in the pulmonary, alveolar and bronchial end arterioles, were measured. Internal diameter and wall thickness percentage were calculated. Results: Infarction, necrosis and hemorrhage occurred only in ischemic lungs. In nonischemic lungs, there was a sustained increase in the internal and external arteriolar diameters, with an initial reduction in wall thickness on day 1, and day-60 values were similar to those seen in controls. In ischemic lungs, there was a transitory reduction in the internal and external diameters of the pulmonary and bronchial end arterioles, together with an initial, equally transitory, increase in their wall thickness. The alveolar arterioles presented sustained and progressive increases in external diameter and wall thickness, with concomitant reductions in internal diameter. Conclusion: This model mimics distal arterial disease in patients with chronic pulmonary thromboembolism. The vascular response in nonischemic lungs was consistent with a pattern of flow remodeling, whereas that seen in ischemic lungs was more consistent with flow and ischemia. In the pulmonary and bronchial end arterioles, the response was transitory, in contrast to the sustained and progressive response seen in the alveolar arterioles, which was probably caused by delayed local flow.

Keywords: Key-words: Pulmonary embolism. Pulmonary circulation. Vascular remodelling. Pulmonary artery.

RESUMO

Introdução: Alterações estruturais da circulação pulmonar traduzem processo de remodelação vascular e têm relação provável com variações locais de fluxo e isquemia. Objetivo: Definir as alterações histológicas na circulação pulmonar após obstrução experimental da artéria pulmonar. Correlacioná-las com os padrões de redistribuição sangüínea e remodelação vascular. Método: Foram submetidos à toracotomia esquerda 48 ratos Wistar, alocados aleatoriamente em dois grupos, com ligadura da artéria pulmonar e controle, e sacrificados com 1, 7, 30 e 60 dias. Nos pulmões retirados avaliou-se presença de sinais de injúria no parênquima e mensurou-se diâmetro externo e espessura da parede das arteríolas de bronquíolos terminais, respiratórios e alveolares. Diâmetro interno e porcentagem de espessura da parede foram calculados. Resultados: Só ocorreu infarto, necrose e hemorragia no pulmão isquêmico. No não isquêmico houve aumento mantido dos diâmetros externo e interno das arteríolas, com redução inicial da espessura no 1o dia e valores semelhantes aos do grupo controle no 60o dia. No pulmão isquêmico houve redução transitória nos diâmetros externo e interno das arteríolas de bronquíolos terminais e respiratórios, com aumento, inicial e transitório, na sua espessura. As arteríolas alveolares apresentaram aumento do diâmetro externo e espessura da parede, com redução do diâmetro interno, mantida e progressiva. Conclusão: Este modelo reproduz arteriopatia distal em pacientes com tromboembolismo pulmonar crônico. A resposta vascular no pulmão não isquêmico é compatível com padrão de remodelação de hiperfluxo; a no pulmão isquêmico com hipofluxo e isquemia. Nas arteríolas de bronquíolos terminais e respiratórios a resposta foi transitória. Nas alveolares foi progressiva e mantida, pela provável ocorrência tardia de hiperfluxo local.

Palavras-chave: Descritores: Embolia pulmonar. Circulação pulmonar. Remodelação vascular. Artéria pulmonar.

INTRODUÇÃO

A ocorrência de embolia pulmonar crônica é atribuída a episódios tromboembólicos agudos freqüentemente repetidos, em que há organização, sem lise, dos trombos(1). Acredita-se que a persistência dessa obstrução mantém níveis pressóricos arteriais elevados, resultando em altos índices de mortalidade(2,3). No entanto, o paciente com tromboembolismo pulmonar crônico pode permanecer assintomático por muitos anos, antes que apresente piora hemodinâmica e sintomática. Existem evidências de que as alterações que ocorrem na microvasculatura pulmonar (arteriopatia de pequenas artérias) podem ser, na maioria das vezes, o fator de piora progressiva desses pacientes.

Os pacientes com tromboembolismo pulmonar crônico e arteriopatia distal (hipertrofia da camada média, alterações da íntima, lesões plexiformes e trombos organizados), têm pior evolução após a endarterectomia pulmonar (re-trombose, insuficiência tricúspide residual, e pressão arterial pulmonar e resistência vascular elevadas), quando comparados aos pacientes sem arteriopatia distal associada(4).

Há controvérsia se a arteriopatia no tromboembolismo pulmonar crônico é devida ou não aos efeitos inespecíficos da presença de hipertensão pulmonar persistente(5). Ela tem sido conceituada como o ponto final de um fenômeno de remodelação vascular(6).

Assim, em modelo experimental de arteriopatia pulmonar pós-obstrutiva, através da mensuração da resposta arterial pulmonar podem-se estabelecer padrões de remodelação, ao longo do tempo(7). Fatores etiológicos possivelmente envolvidos no tromboembolismo pulmonar crônico, como a ocorrência das anastomoses entre o sistema brônquico e o pulmonar(8), a injúria endotelial isquêmica(8) e as variações de fluxo sangüíneo pelo sistema arterial (9), poderão ser associados a esses padrões de resposta.

Os objetivos deste trabalho são definir as alterações histológicas encontradas na circulação pulmonar, nos territórios isquêmicos e não-isquêmicos, após a obstrução experimental da artéria pulmonar, e correlacionar essas alterações com os padrões de redistribuição sangüínea e de remodelação vascular, pré-estabelecidos na literatura.

MÉTODO

Este trabalho foi desenvolvido nos Laboratórios de Investigação Médica de Pesquisa em Cirurgia Torácica (LIM-61), de Terapêutica Experimental (LIM-20) e de Anatomia Patológica do Instituto do Coração, da Faculdade de Medicina da Universidade de São Paulo. O experimento obedeceu às normas estabelecidas no Guide for the Care and Use of Laboratory Animals(10) e aos Princípios Éticos na Experimentação Animal da Legislação Brasileira(11) e ao Colégio Brasileiro de Experimentação(12).

Foram utilizados 48 ratos machos, da raça Wistar, adultos e sadios, com peso variando entre 200 e 400 g. No pré-operatório, os animais foram alocados, por processo aleatório, em dois grupos iniciais, denominados com ligadura (n = 28) e controle (n = 20). No pós-operatório, os animais dos dois grupos foram alocados, também por processo aleatório, em quatro subgrupos, de acordo com o momento do sacrifício (1,7,30 e 60 dias).

Os animais foram anestesiados por via inalatória, com isoflurano (Isothane-Zeneca) na concentração de 2%, sob O2 a 100%, ventilação com volume corrente de 10ml/kg e freqüência respiratória de 80 ciclos por minuto.

Todos os animais foram operados por toracotomia esquerda e dissecção da artéria pulmonar esquerda, sendo que, no grupo com ligadura a artéria foi ocluída por clipe cirúrgico (Premium Surgiclip M-11,5 - Auto Suture) e no grupo controle não houve colocação do clipe. No pós-operatório, os animais foram sacrificados, por exanguinação, em momentos distintos (1, 7, 30 e 60 dias). Os pulmões foram retirados em bloco e submetidos à fixação por infusão traqueal de paraformaldeído a 4%, em tampão fosfato 0,1 (pH 7,3), até a obtenção de tensão pleural, após o que a traquéia era ocluída(13-15).

Os cortes histológicos foram corados pelas técnicas da hematoxilina e eosina (H&E) e Verhoeff para fibras elásticas. As lâminas foram codificadas (vendadas) e avaliadas por dois observadores independentes, em microscópio óptico (Q500YW - LEICA, UK), com aumento 40x, acoplado a analisador de imagem (Quantimet Q500YW - LEICA, UK). Os cortes histológicos foram analisados de forma qualitativa e quantitativa, nos pulmões direito e esquerdo dos grupos com ligadura e controle.

A análise qualitativa estudou a presença sobretudo de evidências de injúria celular (infarto, necrose e hemorragia), de proliferação intimal e obliteração da luz arterial. Essas alterações estão expressas em freqüência (porcentagem) e intensidade (1+, 2+ e 3+) (Tabela 1).

As medidas na análise quantitativa foram estabelecidas através de um programa de computador para análise e quantificação de imagens (Quantimet - Leica, UK). Foram analisadas no estudo as arteríolas pulmonares nos espaços acinar e pré-acinar, quando estas apresentavam, nitidamente, uma lâmina elástica externa e interna separada ou não pela presença de músculo(10,15,16). Nas arteríolas avaliadas foram mensurados o diâmetro externo(17) e a espessura da camada média(17), o que permitiu calcular a porcentagem de espessura, como também o diâmetro interno. A porcentagem de espessura da camada média foi calculada através da fórmula(17):

2 x espessura da camada média x 100
Diâmetro externo

O diâmetro interno foi calculado através da fórmula(18):

Diâmetro interno = Diâmetro externo - (2 X espessura de camada média)

As medidas obtidas, diâmetros externo e interno, espessura da camada média e porcentagem de espessura, foram estratificadas por localização da arteríola no parênquima pulmonar em: arteríolas de bronquíolo terminal, arteríolas de bronquíolo respiratório e arteríolas alveolares (ducto e septo alveolar)(19). Estas medidas permitiram comparações entre os pulmões do grupo controle e ligado, ao longo do tempo de pós-operatório (1, 7, 30 e 60 dias).

Com relação à análise estatística, inicialmente todas as variáveis foram analisadas descritivamente, com observação dos valores mínimos e máximos, e cálculo de médias e desvios-padrão. Para as variáveis qualitativas foram calculadas freqüências absolutas e relativas, expressas em porcentagem. Para se testar a hipótese de igualdade de médias foi utilizada a Análise de Variância a três fatores(20): grupo (controle e com ligadura), tempo de pós-operatório (1, 7, 30 e 60 dias) e pulmões (direito e esquerdo). As comparações múltiplas foram realizadas através de contrastes entre as médias baseados nos mínimos quadrados. O nível de significância utilizado para os testes foi de 5%.

RESULTADOS

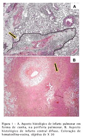
Sinais de injúria celular, a saber, infarto e necrose, foram identificados exclusivamente nos pulmões isquêmicos, no 1o e 7o dias pós-ligadura. A área acometida foi inferior a 50% da superfície do corte histológico, variando entre as formas "em cunha" e difusa (Figuras 1A e 1B). A hemorragia esteve sempre associada à área de infarto e não houve hemorragia sem infarto. Quanto à proliferação intimal e à obliteração da luz (Figuras 2A e 2B), observou-se a sua ocorrência a partir do 7o dia pós-ligadura, também exclusivamente nos pulmões isquêmicos, com freqüência, número de artérias acometidas e intensidade variáveis ao longo da evolução (Tabela 1).



Foram mensuradas, nos pulmões isquêmicos e não isquêmicos, um total de 3.068 arteríolas (1.105 no grupo controle e 1.963 no grupo com ligadura). Os resultados expressam os dados obtidos no grupo com ligadura comparados aos dados obtidos no grupo controle. A porcentagem de espessura define a resposta vascular, uma vez que espelha o impacto real que as variações na espessura da parede trazem, em relação às variações no diâmetro externo, e por conseqüência no diâmetro interno e na luz arteriolar.



Nos pulmões não isquêmicos observou-se aumento persistente dos diâmetros interno e externo das arteríolas avaliadas, do 1o ao 60o dia, sendo este mais evidente nas arteríolas mais distais (alveolares). Com relação à parede vascular, a espessura de parede quando relacionada ao diâmetro externo determinou redução significativa da porcentagem de espessura no 1o dia (Figura 3). No 7o dia a porcentagem de espessura, nas arteríolas de bronquíolos terminais e respiratórios, encontrava-se significativamente aumentada, devido a aumento na espessura de parede. À medida que progredimos no tempo, houve redução da porcentagem de espessura, o que refletiu a redução da espessura de parede nas arteríolas de bronquíolos terminal e respiratório, sobretudo na vigência de diâmetros externos elevados. No 60o dia, as arteríolas já tinham porcentagem de espessura semelhante às do grupo controle. As arteríolas alveolares, apesar de ainda apresentarem espessura de parede elevada, no 60o dia, denotaram redução significativa na porcentagem de espessura em relação ao controle (Figura 3).




Como resposta vascular das arteríolas dos pulmões isquêmicos, houve redução nos diâmetros (externo e interno) das arteríolas mais proximais (terminais e respiratórias) em todos os períodos, exceto no 7o dia, em que houve aumento, isolado e transitório, desses diâmetros, nas arteríolas de bronquíolos respiratórios. Nas arteríolas dos bronquíolos terminais e respiratórios, ainda, a espessura da parede e a porcentagem de espessura inicialmente diminuíram no 1o dia, com aumento transitório no 7o e 30o dias, e estavam semelhantes às do controle no 60o dia.

Particularmente, o diâmetro externo das arteríolas distais (alveolares) aumentou em todos os períodos, com redução progressiva do diâmetro interno após o 7o dia, já que apresentaram aumento progressivo na porcentagem de espessura (Figura 4).




DISCUSSÃO

Este modelo experimental utilizou o rato Wistar adulto, baseando-se na utilização dessa espécie em estudos prévios, que estabeleceram padrão e resposta vasculares propícios à pesquisa aplicada a doenças no homem, como a hipertensão pulmonar e a embolia pulmonar(9,21,22-25).

Estudos experimentais prévios(26-28), cometendo erro metodológico, utilizaram o pulmão direito como controle do pulmão esquerdo submetido à ligadura, desconsiderando a relação entre a resposta vascular de ambos pulmões. Em nosso estudo, a comparação com um grupo controle verdadeiro permitiu identificar a resposta vascular diretamente relacionada ao grupo ligado, como também fatores de confusão produtores de alterações estruturais vasculares, como, por exemplo, as variações de volume pulmonar decorrentes da toracotomia. Esses fatores podem traduzir limitações deste modelo de estudo, quando por exemplo, no grupo controle (no 30º dia), são verificadas dimensões não esperadas em relação às do grupo com ligadura, dificultando o entendimento dos mecanismos de resposta vascular.

Do mesmo modo, o impacto da ausência de monitoração das condições hemodinâmicas neste estudo, não permitindo relacionar os níveis de pressão arterial pulmonar e os achados histológicos, é minimizado pelo conhecimento prévio experimental e clínico dos padrões de remodelação vascular presentes em condições específicas hemodinâmicas(29).

Estudos morfológicos pulmonares após a ligadura central da artéria pulmonar diferem na obtenção, até 7 dias, de sinais de injúria celular, como hemorragia, necrose e infarto(25,30-33). As variações de resposta à obstrução arterial são atribuídas a mudanças adaptativas nas circulações brônquica e colateral bronco-pulmonar que em alguns dias suprem o parênquima submetido à isquemia(24,34). Os resultados deste trabalho demonstram sinais de injúria celular isquêmica (infarto, necrose, hemorragia) nos períodos iniciais (1 e 7 dias), indicando que a circulação brônquica nem sempre nutre o parênquima, e que a isquemia pode ser o fator desencadeante das alterações histológicas subseqüentes(31).

Na hipertensão pulmonar crônica e no tromboembolismo pulmonar crônico a presença da proliferação intimal e a obliteração arterial traduzem estágios avançados de arteriopatia(19), em que a proliferação intimal precede a obliteração da luz arteriolar(2,5). A exemplo do encontrado na literatura, em nosso estudo as arteríolas mais acometidas foram as alveolares(35), com redução no número de arteríolas com proliferação intimal, ao longo do tempo, por provável substituição por arteríolas obstruídas(2,5,19,35) (Tabela 1).

Estudos prévios estabeleceram padrões de remodelação vascular (aumento e redução do diâmetro ou da espessura da parede das arteríolas) em resposta principalmente a variações no fluxo sangüíneo (hiperfluxo ou hipofluxo), associadas ou não à presença de isquemia.

Apesar de tais achados não fazerem parte do resultado de nosso estudo, utilizamos esta experiência prévia em nossas conclusões, confrontando-a com as variações nas dimensões obtidas das arteríolas, nas diversas localizações e ao longo do tempo. Alguns desses aspectos já estabelecidos na literatura devem ser, portanto, realçados para que possamos melhor compreender nossos achados: arteríolas de pulmões submetidos a hiperfluxo, sem lesão isquêmica associada, apresentam hipertrofia da parede, de caráter transitório, após aumento do diâmetro e redução da espessura iniciais(36-39); na embolia pulmonar aguda experimental e clínica há a presença do fenômeno de injúria endotelial isquêmica(40); a lesão endotelial isquêmica produz hipertrofia da camada média (41); no hipofluxo a resposta vascular de redução do diâmetro é inibida se o endotélio é removido(42); em resposta à obstrução da artéria pulmonar, as artérias brônquicas respondem com hipertrofia e proliferação, que se inicia do centro para a periferia, e então as arteríolas pulmonares de localização mais central (pré-acinares) recebem suprimento sangüíneo mais rápido do que as do espaço intra-acinar(43); além da circulação colateral, são estabelecidas anastomoses pré-capilares, entre as circulações pulmonares e brônquicas, que se abrem em nível dos bronquíolos respiratórios(44), produzindo alterações locais de proliferação intimal(45); a associação entre a injúria endotelial isquêmica e essas variações hemodinâmicas locais produzem uma resposta de remodelação vascular nas pequenas artérias de proliferação intimal, que não é encontrada em modelos de injúria isolada(37).

Assim, o aumento dos diâmetros e a redução significativa da porcentagem de espessura que ocorre no 1o dia nas arteríolas do pulmão não isquêmico (direito) são compatíveis com padrão de remodelação de hiperfluxo, produzido pela distribuição aguda do fluxo sanguíneo para esse pulmão(38) (Figura 3). No 7o dia, além do aumento do diâmetro externo, a ação do hiperfluxo sobre o endotélio determinaria aumento da porcentagem de espessura das arteríolas de bronquíolos terminais e respiratórios(39). À medida que progredimos no tempo, a redução da porcentagem de espessura reflete a redução da espessura de parede nas arteríolas de bronquíolos terminal e respiratório, sobretudo na vigência de diâmetros externos elevados. No 60o dia, essas arteríolas já têm espessuras de parede semelhante às do grupo controle, o que reafirma que o efeito da força produzida sobre o endotélio pelo hiperfluxo é transitório(36,37). As arteríolas alveolares, apesar de ainda apresentarem espessura de parede elevada, no 60o dia, denotam redução significativa na porcentagem de espessura em relação ao controle, o que sugere um predomínio cada vez maior da dilatação arterial em relação à hipertrofia transitória da parede (Figura 3).

Em nosso estudo, a resposta vascular no pulmão esquerdo (submetido à ligadura) variou segundo a localização da arteríola (intra-acinares e pré-acinares) e segundo o tempo de ligadura. Assim, no 1o dia de ligadura, a dilatação das arteríolas alveolares é compatível com uma resposta vascular à injúria endotelial isquêmica(40), em que a resposta usual ao hipofluxo, de redução nos diâmetros, teria sido inibida(42). Tal fato, associado à redução na espessura da parede, determinou porcentagem de espessura reduzida em relação ao controle (Figura 4). O impacto menor da isquemia sobre as arteríolas dos bronquíolos terminais e respiratórios, mantendo a redução nos diâmetros pelo hipofluxo, seria devido à maior eficácia dos mecanismos de suprimento da circulação brônquica nas regiões pré-acinares(43). A partir do 7o dia a resposta vascular pode ser conseqüente, em parte, aos mecanismos que atuam no 1o dia, como a lesão endotelial e o hipofluxo, e em parte à presença das anastomoses pré-capilares entre as circulações brônquica e pulmonar instaladas nesse período de ligadura(45).

As arteríolas de bronquíolos respiratórios apresentam aumento isolado nos diâmetros externo e interno no 7o dia, o que pode estar associado às anastomoses pré-capilares que se abrem na região dos bronquíolos respiratórios, em torno desse período(43). Esta elevação nos diâmetros está associada à elevação na porcentagem de espessura, tanto nas arteríolas de bronquíolos terminais como nas respiratórias, sendo menos expressiva nestas últimas no 7o dia, devido à elevação isolada do diâmetro externo. Nas arteríolas dos bronquíolos terminais e respiratórios o padrão de resposta é determinado por mecanismos agudos, mas transitórios, uma vez que no 60o dia ambas artérias apresentam dimensões semelhantes às do grupo controle(44).

De maneira oposta, os mecanismos desencadeantes da resposta nas arteríolas alveolares determinaram um padrão permanente e progressivo. Nessas arteríolas, então, a partir do 7o dia de ligadura, a porcentagem da espessura aumentou progressivamente, trazendo redução também progressiva no diâmetro interno (Figura 4). O diâmetro externo dessas arteríolas permaneceu aumentado até o 60o dia. A injúria endotelial por si só não determina alterações estruturais permanentes e progressivas na parede arterial, se esta não estiver associada a modificações no regime hemodinâmico local(37). Então, era de se esperar que, se a resposta das arteríolas alveolares fosse exclusivamente dependente da lesão endotelial isquêmica, mesmo esta sendo mais intensa, a porcentagem de espessura dessas arteríolas estivesse com valores semelhantes às do grupo controle no 60o dia, a exemplo das arteríolas dos bronquíolos terminais e respiratórios. A presença dessa resposta progressiva e permanente no leito vascular intra-acinar deve estar associada à lesão endotelial isquêmica inicial e à presença do fluxo sanguíneo através das anastomoses pré-capilares(44), como mecanismo desencadeante da modificação local hemodinâmica.

O modelo de ligadura da artéria pulmonar demonstrou, após 60 dias de obstrução, sobretudo que, apesar de não utilizar mecanismos embólicos, reproduz a arteriopatia distal identificada em pacientes com tromboembolismo pulmonar crônico, o que sugere que os mecanismos de distribuição de fluxo e isquêmicos, desencadeados após a obstrução arterial, podem ser os responsáveis por ela. Essa arteriopatia encontra-se em fase inicial (hipertrofia da média e proliferação intimal), sugerindo padrão ainda reversível, o que permitirá a continuidade do estudo com a avaliação dos mecanismos e da resposta envolvidos na reperfusão.

Como já citado anteriormente, sabemos que na embolia pulmonar crônica a intervenção precoce melhora a evolução pós-operatória dos pacientes, sobretudo quando eles ainda não apresentam seqüelas irreversíveis de um longo processo de remodelação vascular, não identificado precocemente(4). Então, como perspectivas de reprodutibilidade clínica, o entendimento obtido dessa resposta poderá contribuir na profilaxia da arteriopatia após o episódio agudo e melhorar os resultados da tromboendarterectomia, seja influenciando na seleção dos casos, identificando preditores de evolução pós-operatória, seja orientando novas medidas no pré e no intra-operatório, com redução dos índices de morbi-mortalidade(21).

REFERÊNCIAS

1. Dalen JE. Pulmonary embolism: what have we learned since Virchow? Natural history, pathophysiology, and diagnosis. Chest 2002; 122:1440-56.
2. Wagenvoort CA. Pathology of pulmonary thromboembolism. Chest 1995; 107 (1 Suppl):10S-17S.
3. Riedel M, Stanek V, Widimsky J, Prerovsky I. Long term follow-up of patients with pulmonary thromboembolism. Late prognosis and evolution of hemodynamic and respiratory data. Chest 1982; 81:151-8.
4. Thistlethwaite PA, Mo M, Madani MM, Deutsch R, Blanchard D, Kapelanski DP, et al. Operative classification of thromboembolic disease determines outcome after pulmonary endarterectomy. J Thorac Cardiovasc Surg 2002; 124:1203-11.
5. Moser KM, Bloor CM. Pulmonary vascular lesions occurring in patients with chronic major vessel thromboembolic pulmonary hypertension. Chest 1993;103:685-92.
6. Dzau VJ, Horiuchi M. Vascular remodeling: the emerging paradigm of programmed cell death (apoptosis): the Francis B. Parker lectureship. Chest 1998; 114 (1 Suppl): 91S-9S.
7. Gibbons GH, Dzau VJ. The emerging concept of vascular remodeling. N Engl J Med 1994; 330: 1431-8.
8. Johnson JE, Perkett EA, Meyrick B. Pulmonary veins and bronchial vessels undergo remodeling in sustained pulmonary hypertension induced by continuous air embolization into sheep. Exp Lung Res 1997; 23:459-73.
9. Tanaka Y, Schuster DP, Davis EC, Patterson GA, Botney MD. The role of vascular injury and hemodynamics in rat pulmonary artery remodeling. J Clin Invest 1996; 98:434-42.
10.Haworth SG. Development of the normal and hypertensive pulmonary vasculature. Exp Physiol 1995; 80: 843-53.
11.Guide for the care and use of laboratory animals. Institute of laboratory animal resources. National Research Council of the National Academy of Sciences. Washington, D.C. National Academy Press; 1996. p.1-35.
12.Normas para a prática didático-científica da vivissecação de animais. Lei da República Federativa do Brasil nO 6638, artigos 1-8 (08 de maio de 1979). Disponível em URL: http:// www.meusite.com.br/COBEA.
13.Princípios éticos na experimentação animal. Colégio Brasileiro de Experimentação Animal. Disponível em URL: http://www.meusite.com.br/COBEA.
14.Cabrera Fischer EI, Willshaw P, de Forteza E, Biagetti M, Altman R, Morales MC, et al. Animal model of acute pulmonary thromboembolism treated by local recirculation of streptokinase through the lung. J Thorac Cardiovasc Surg 1987; 93: 620-7.
15.Kasinski N, Ferreira C, Giannotti Filho O, Afonso JE, Lopes dos Santos M, Barcellini A. Pulmonary structural changes in thromboembolism. Experimental study in dogs. Rev Paul Med 1984; 102:7-12.
16.Meyrick B, Hislop A, Reid L. Pulmonary arteries of the normal rat: the thick walled oblique muscle segment. J Anat 1978;125: 209-21.
17.Hislop A, Reid L. Normal structure and dimensions of the pulmonary arteries in the rat. J Anat 1978; 125: 71-83.
18.Davies G, Reid L. Growth of the alveoli and pulmonary arteries in childhood. Thorax 1970; 25: 669-81.
19.Baumbach GL, Heistad DD. Remodeling of cerebral arterioles in chronic hypertension. Hypertension 1989; 13:968-72.
20.Rabinovitch M, Haworth SG, Castaneda AR, Nadas AS, Reid LM. Lung biopsy in congenital heart disease: a morphometric approach to pulmonary vascular disease. Circulation 1978; 58:1107-22.
21.Rosner B. Fundamentals of Biostatistics. 2nd ed. Boston: PWS Publishers; 1986.
22.Takeoka M, Sakai A, Ueda G, Ge RL, Panos RJ, Taniguchi S. Influence of hypoxia and pulmonary air embolism on lung injury in perfused rat lungs. Respiration 1996; 63:346-51.
23.Wang D, Li MH, Hsu K, Shen CY, Chen HI, Lin YC. Air embolism-induced lung injury in isolated rat lungs. J Appl Physiol 1992; 72:1235-42.
24.Weibel ER. Early stages in the development of collateral circulation to the lung in the rat. Circ Res 1960; 8:353-76.
25.Liebow AA, Hales MR, Bloomer WE, Harrison W, Lindskog GE. Studies on the lung after ligation of the pulmonary artery. II. Anatomical changes. Am J Pathol 1950; 26: 177-85.
26.Michel RP, Hakim TS. Increased resistance in postobstructive pulmonary vasculopathy: structure-function relationships. J Appl Physiol 1991; 71: 601-10.
27.Shi W, Hu F, Kassouf W, Michel RP. Altered reactivity of pulmonary vessels in postobstructive pulmonary vasculopathy. J Appl Physiol 2000; 88:17-25.
28.Shi W, Cernacek P, Hu F, Michel RP. Endothelin reactivity and receptor profile of pulmonary vessels in postobstructive pulmonary vasculopathy. Am J Physiol 1997; 273:H2558-64.
29.Johnson RL Jr, Cassidy SS, Haynes M, Reynolds RL, Schulz W. Microvascular injury distal to unilateral pulmonary artery occlusion. J Appl Physiol 1981; 51: 845-51.
30.Virchow RLK. Gesammelte abhandlungen zur wissenschaftlichen medicin. Frankfurt, Germany: Meidinger sohn u Comp, 1856; 294-6.
31. Morgan TE, Edmunds LH Jr. Pulmonary artery occlusion. II. Morphologic studies. J Appl Physiol 1967; 22:1002-11.
32. Horine CF, Warner CG. Experimental occlusion of the pulmonary artery. An anatomic study. Arch Surg 1934; 28: 139-49.
33. Van Allen CM, Nocoll GL, Tuttle WM. Lung changes after occlusion of pulmonary artery branches by embolus and by ligature. Yale J Biol Med 1930; 2: 363-89.
34.Charan NB, Carvalho P. Angiogenesis in bronchial circulatory system after unilateral pulmonary artery obstruction. J Appl Physiol 1997; 82:284-91.
35.Heath D, Edwards JE Jr. The pathology of hypertensive pulmonary vascular disease: a description of six grades of structural changes in the pulmonary arteries with special reference to congenital cardiac septal defects. Circulation 1958; 18:533-47.
36.Marshall BE, Marshall C. Pulmonary Hypertension. In: Crystal RG, et al, eds. The Lung. New York: Raven Press Ltd; 1991. p.1177-87.
37.Okada K, Tanaka Y, Bernstein M, Zhang W, Patterson GA, Botney MD. Pulmonary hemodynamics modify the rat pulmonary artery response to injury. A neointimal model of pulmonary hypertension. Am J Pathol 1997; 151:1019-25.
38.Davies PF, Tripathi SC. Mechanical stress mechanisms and the cell. An endothelial paradigm. Circ Res 1993; 72:239-45.
39.Voelkel NF, Tuder RM. Hypoxia-induced pulmonary vascular remodeling: a model for what human disease? J Clin Invest 2000; 106:733-8.
40.Kim H, Yung GL, Marsh JJ, Konopka RG, Pedersen CA, Chiles PG, et al. Endothelin mediates pulmonary vascular remodeling in a canine model of chronic embolic pulmonary hypertension. Eur Respir J 2000; 15:640-8.
41.Shure D. Thromboendarterectomy: some unanswered questions. Ann Thorac Surg 1996; 62:1253-4.
42.Langille BL, O'Donnell F. Reductions in arterial diameter produced by chronic decreases in blood flow are endothelium-dependent. Science 1986; 231:405-7.
43.Endrys J, Hayat N, Cherian G. Comparison of bronchopulmonary collaterals and collateral blood flow in patients with chronic thromboembolic and primary pulmonary hypertension. Heart 1997; 78: 171-6.
44.Kauczor HU, Schwickert HC, Mayer E, Schweden F, Schild HH, Thelen M. Spiral CT of bronchial arteries in chronic thromboembolism. J Comput Assist Tomogr 1994; 18:855-61.
45.Haworth SG, de Leval M, Macartney FJ. Hypoperfusion and hyperperfusion in the immature lung. Pulmonary arterial development following ligation of the left pulmonary artery in the newborn pig. J Thorac Cardiovasc Surg 1981; 82:281-92.

Indexes

Development by:

© All rights reserved 2025 - Jornal Brasileiro de Pneumologia