Continuous and bimonthly publication
ISSN (on-line): 1806-3756

Licença Creative Commons
16103
Views
Back to summary
Open Access Peer-Reviewed
Letters to the Editor

Sobreposição de asma brônquica e DPOC

Overlap between asthma and COPD

Tiago Manuel Alfaro, Sara da Silva Freitas, Carlos Robalo Cordeiro

Ao Editor:

Observamos recentemente uma paciente de 60 anos, docente do ensino superior. Referia sofrer de asma brônquica desde a infância, tendo sido assistida por um pneumologista até os 40 anos. Mantivera-se assintomática até 7 anos atrás, altura em que iniciou crises de dispneia, sibilância e tosse produtiva, que motivaram várias visitas recorrentes ao serviço de urgência. Mais recentemente, fora internada com os diagnósticos de pneumonia adquirida na comunidade e exacerbação de asma brônquica. Apresentou boa resposta à terapêutica e teve alta, mantendo queixas de dispneia aos esforços de média intensidade e sibilância noturna ocasional. Apresentava também dor hipofaríngea com o uso de inaladores e ardor retroesternal associado às refeições. Negava outras queixas. Era tabagista desde os 16 anos, com uma carga tabágica de 30 maços-ano. Tinha antecedentes de asma brônquica desde a infância e de alergia aos ácaros do pó, assim como enfisema pulmonar (diagnosticado aos 49 anos) e hérnia do hiato. Estava medicada desde o internamento com uma associação de salmeterol e fluticasona, tiotrópio, aminofilina e salbutamol de resgate. Negava exposições inalatórias no local de trabalho ou em casa, contatos com animais ou viagens recentes ao estrangeiro. Negava contatos com portadores de doenças transmissíveis. Os antecedentes familiares eram irrelevantes. Ao exame objetivo, apresentava-se com bom estado geral e sinais vitais normais, sem sinais de dificuldade respiratória. A auscultação pulmonar revelou uma diminuição do murmúrio vesicular em ambas as bases e um aumento do tempo expiratório. A avaliação abdominal e dos membros não revelou alterações.

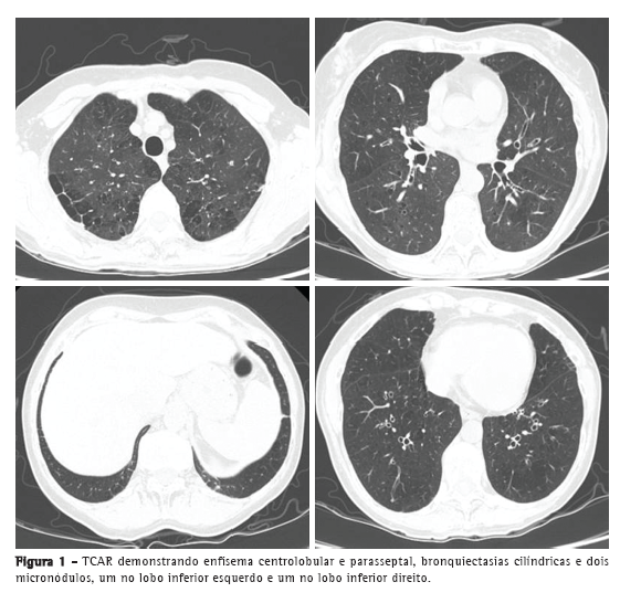
A TCAR demonstrou enfisema centrolobular e parasseptal, bronquiectasias cilíndricas, de predomínio central e nos lobos superiores, e dois micronódulos, com 3 e 4 mm de diâmetro, respectivamente, no lobo inferior direito e no esquerdo (Figura 1). A quantificação de imunoglobulinas revelou um aumento da IgE total (671 UI/mL), sem outras alterações. O doseamento de alfa-1 antitripsina foi normal. O estudo funcional respiratório revelou uma síndrome ventilatória obstrutiva, moderadamente grave, com insuflação, diminuição moderada da difusão alvéolo-capilar e leve insuficiência respiratória tipo 1. A resposta ao broncodilatador foi negativa (Tabela 1). O eletrocardiograma foi normal, e o estudo microbiológico do escarro foi negativo.





O diagnóstico final foi, assim, de asma brônquica não controlada, enfisema pulmonar, bronquiectasias difusas e refluxo gastroesofágico (RGE). A paciente associava as queixas de dor hipofaríngea ao uso do corticoide inalatório e o autossuspendeu, apresentando melhora. Foi introduzido esomeprazol, e o salmeterol foi substituído pelo indacaterol, com melhoria das queixas faríngeas e epigástricas, mas com a manutenção de ligeiras queixas respiratórias. Foi então iniciada terapêutica com budesonida inalatória, que foi bem tolerada. A paciente mantém-se atualmente medicada com budesonida, indacaterol, tiotrópio, esomeprazol e aminofilina, sem queixas respiratórias ou digestivas. A paciente foi ainda referenciada à consulta especializada de cessação tabágica, estando atualmente sob terapêutica de substituição de nicotina.

O tabagismo no paciente asmático é um problema frequente e de difícil abordagem. A incidência de tabagismo ativo nessa população pode chegar aos 35%.(1) O tabagismo ativo associa-se desde logo a um aumento do risco de desenvolvimento de asma em adultos, que é maior nas mulheres. O tabagismo passivo também se associa a um maior risco de desenvolvimento de asma, especialmente quando acontece no útero.(2) No doente asmático, o tabagismo associa-se a um menor grau de controle da doença, incluindo maior frequência de exacerbações e queixas noturnas. Esse efeito foi observado em estudos incluindo pacientes fumantes e crianças e adultos expostos a tabagismo passivo, embora, nesse caso, o grau de exposição seja mais difícil de ser avaliado.(3,4) Outra manifestação é a resistência aos corticosteroides que se observa no doente asmático e fumante. O tabagismo parece tornar esses pacientes resistentes aos efeitos de corticosteroides inalatórios em doses baixas ou intermediárias, tornando-se apenas sensíveis a doses elevadas.(5) Essa resistência também foi demonstrada para a terapêutica de curta duração com corticosteroides orais, mesmo em doses elevadas.(6) Justifica-se, assim, a necessidade imperiosa da identificação do asmático fumante e o esforço suplementar que deve ser realizado para se obter a cessação tabágica. No caso clínico referido, apesar do aconselhamento repetido que fora oferecido à paciente, essa manteve os hábitos, sendo incluída no programa especializado disponível no nosso centro. Outro aspecto que importa salientar é a associação de asma brônquica com enfisema pulmonar. De acordo com os hábitos da paciente e com os resultados do estudo radiológico e funcional, chegou-se ao diagnóstico de associação de asma brônquica com DPOC. Essa síndrome de sobreposição tem sido crescentemente reconhecida, embora as suas características clínicas ainda não estejam bem definidas. Classicamente, é reconhecido que a asma brônquica não controlada é um fator de risco para a DPOC, mas esses pacientes são frequentemente excluídos dos ensaios clínicos.(7) Estudos recentes, que incluíram pacientes com DPOC e antecedentes de asma ou que se dedicaram especificamente a essa população, vieram demonstrar que os pacientes com essa sobreposição têm geralmente idade inferior àquela de pacientes com DPOC apenas, assim como menor história de exposição ao tabaco, exacerbações mais frequentes e maior perda de qualidade de vida.(8,9) Os pacientes com essa sobreposição foram responsáveis por gastos em cuidados de saúde cinco vezes superiores àqueles com apenas um dos diagnósticos em um estudo.(10) Assim, a identificação desse subgrupo de pacientes torna-se importante, uma vez que, provavelmente, se justifica uma intensificação da terapêutica, nomeadamente com vista à redução do número de exacerbações. A nossa paciente apresentava também bronquiectasias e dois micronódulos pulmonares. As bronquiectasias têm sido reconhecidas em associação tanto com a DPOC como com a asma.(11,12) Os micronódulos descritos deveriam ser sujeitos a controle dentro de 12 meses após sua detecção, uma vez que a paciente era fumante.(13) Relativamente ao RGE, apesar da sua maior incidência nos pacientes com asma (e também o inverso), não existem dados que demonstrem uma relação de causalidade. As propostas sobre a forma como o RGE pode afetar a asma incluem a microaspiração, com os efeitos diretos do ácido na mucosa traqueobrônquica, ou a estimulação vagal causada pela presença de ácido no esôfago.(14) O RGE é também uma comorbidade frequente no paciente com DPOC e parece estar associado a um maior risco de exacerbações. Assim, embora o tratamento do RGE não se associe a uma clara melhoria do controle da asma, no presente caso, a presença de sintomas levou a que fossem prescritos inibidores da bomba de prótons, com bons resultados. Finalmente, a paciente desenvolveu um dos efeitos colaterais locais do uso de corticoide inalatório, que foi resolvido com a troca do fármaco utilizado.(15) A descrição e a discussão do presente caso permite-nos, assim, concluir que uma especial atenção deve ser dada aos hábitos tabágicos no paciente com asma, assim como à associação da asma com a DPOC.

Tiago Manuel Alfaro
Médico Interno de Pneumologia,
Centro Hospitalar e
Universitário de Coimbra EPE,
Coimbra, Portugal

Sara da Silva Freitas
Pneumologista,
Centro Hospitalar e Universitário de
Coimbra EPE,
Coimbra, Portugal

Carlos Robalo Cordeiro
Pneumologista, Centro Hospitalar e Universitário de Coimbra EPE, e Professor de Pneumologia,
Universidade de Coimbra, Coimbra, Portugal


Referências

1. Stapleton M, Howard-Thompson A, George C, Hoover RM, Self TH. Smoking and asthma. J Am Board Fam Med. 2011;24(3):313-22. PMid:21551404. http://dx.doi.org/10.3122/jabfm.2011.03.100180

2. Gilliland FD, Berhane K, McConnell R, Gauderman WJ, Vora H, Rappaport EB, et al. Maternal smoking during pregnancy, environmental tobacco smoke exposure and childhood lung function. Thorax. 2000;55(4):271-6. PMid:10722765 PMCid:1745733. http://dx.doi.org/10.1136/thorax.55.4.271

3. Chaudhuri R, McSharry C, McCoard A, Livingston E, Hothersall E, Spears M, et al. Role of symptoms and lung function in determining asthma control in smokers with asthma. Allergy. 2008;63(1):132-5. PMid:18053022. http://dx.doi.org/10.1111/j.1398-9995.2007.01538.x

4. Jindal SK, Gupta D, Singh A. Indices of morbidity and control of asthma in adult patients exposed to environmental tobacco smoke. Chest. 1994;106(3):746-9. PMid:8082352. http://dx.doi.org/10.1378/chest.106.3.746

5. Tomlinson JE, McMahon AD, Chaudhuri R, Thompson JM, Wood SF, Thomson NC. Efficacy of low and high dose inhaled corticosteroid in smokers versus non-smokers with mild asthma. Thorax. 2005;60(4):282-7. PMid:15790982 PMCid:1747368. http://dx.doi.org/10.1136/thx.2004.033688

6. Chaudhuri R, Livingston E, McMahon AD, Thomson L, Borland W, Thomson NC. Cigarette smoking impairs the therapeutic response to oral corticosteroids in chronic asthma. Am J Respir Crit Care Med. 2003;168(11):1308 11. PMid:12893649. http://dx.doi.org/10.1164/rccm.200304-503OC

7. Gibson PG, Simpson JL. The overlap syndrome of asthma and COPD: what are its features and how important is it? Thorax. 2009;64(8):728-35. PMid:19638566. http://dx.doi.org/10.1136/thx.2008.108027

8. Hardin M, Silverman EK, Barr RG, Hansel NN, Schroeder JD, Make BJ, et al. The clinical features of the overlap between COPD and asthma. Respir Res. 2011;12:127. PMid:21951550 PMCid:3204243. http://dx.doi.org/10.1186/1465-9921-12-127

9. Kauppi P, Kupiainen H, Lindqvist A, Tammilehto L, Kilpelainen M, Kinnula VL, et al. Overlap syndrome of asthma and COPD predicts low quality of life. J Asthma. 2011;48(3):279-85. PMid:21323613. http://dx.doi.org/10.3109/02770903.2011.555576

10. Soriano JB, Visick GT, Muellerova H, Payvandi N, Hansell AL. Patterns of comorbidities in newly diagnosed COPD and asthma in primary care. Chest. 2005;128(4):2099-107. PMid:16236861. http://dx.doi.org/10.1378/chest.128.4.2099

11. Oguzulgen IK, Kervan F, Ozis T, Turktas H. The impact of bronchiectasis in clinical presentation of asthma. South Med J. 2007;100(5):468-71. PMid:17534081. http://dx.doi.org/10.1097/SMJ.0b013e31802fa16f

12. Garcia MA, Cataluna JJ. Chronic obstructive pulmonary disease and bronchiectasias [Article in Spanish]. Arch Bronconeumol. 2010;46 Suppl 3:11-7. PMid:20620687.

13. MacMahon H, Austin JH, Gamsu G, Herold CJ, Jett JR, Naidich DP, et al. Guidelines for management of small pulmonary nodules detected on CT scans: a statement from the Fleischner Society. Radiology. 2005;237(2):395 400. PMid:16244247. http://dx.doi.org/10.1148/radiol.2372041887

14. Ratier JC, Pizzichini E, Pizzichini M. Gastroesophageal reflux disease and airway hyperresponsiveness: concomitance beyond the realm of chance? J Bras Pneumol. 2011;37(5):680-8. PMid:22042402. http://dx.doi.org/10.1590/S1806-37132011000500017

15. Buhl R. Local oropharyngeal side effects of inhaled corticosteroids in patients with asthma. Allergy. 2006;61(5):518-26. PMid:16629778. http://dx.doi.org/10.1111/j.1398-9995.2006.01090.x

Indexes

Development by:

© All rights reserved 2025 - Jornal Brasileiro de Pneumologia