Continuous and bimonthly publication
ISSN (on-line): 1806-3756

Licença Creative Commons
12428
Views
Back to summary
Open Access Peer-Reviewed
Original Article

Diferencias tomográficas y funcionales entre la EPOC severa relacionada con humo deleña y con cigarrillo

Tomographic and functional findings in severe COPD: comparison between the wood smoke-relatedand smoking-related disease

Mauricio González-García, Dario Maldonado Gomez, Carlos A. Torres-Duque, Margarita Barrero,Claudia Jaramillo Villegas, Juan Manuel Pérez, Humberto Varon

ABSTRACT

Objective: Wood smoke exposure is a risk factor for COPD. For a given degree of airway obstruction, the reduction in DLCO is smaller in individuals with wood smoke-related COPD than in those with smoking-related COPD, suggesting that there is less emphysema in the former. The objective of this study was to compare HRCT findings between women with wood smoke-related COPD and women with smoking-related COPD. Methods:áTwenty-two women with severe COPD (FEV1/FVC ratio < 70% and FEV1 < 50%) were divided into two groups: those with wood smoke-related COPD (n = 12) and those with smoking-related COPD (n = 10). The two groups were compared regarding emphysema scores and airway involvement (as determined by HRCT); and functional abnormalities-spirometry results, DLCO, alveolar volume (VA), the DLCO/VA ratio, lung volumes, and specific airway resistance (sRaw). Results: There were no significant differences between the two groups in terms of FEV1, sRaw, or lung hyperinflation. Decreases in DLCO and in the DLCO/VA ratio were greater in the smoking-related COPD group subjects, who also had higher emphysema scores, in comparison with the wood smoke-related COPD group subjects. In the wood smoke-related COPD group, HRCT scans showed no significant emphysema, the main findings being peribronchial thickening, bronchial dilation, and subsegmental atelectasis. Conclusions: Female patients with severe wood smoke-related COPD do not appear to develop emphysema, although they do show severe airway involvement. The reduction in DLCO and VA, with a normal DLCO/VA ratio, is probably due to severe bronchial obstruction and incomplete mixing of inspired gas during the determination of single-breath DLCO.

RESUMO

Objetivo: La exposición a humo de leña es factor de riesgo para EPOC. A diferencia de la EPOC por cigarrillo (EPOC-C), para un mismo nivel de obstrucción, en la EPOC por leña (EPOC-L), la DLCO está menos disminuida, sugiriendo menos enfisema. Por tanto, el objetivo de este estudio fue comparar los hallazgos en la TCAR en mujeres con EPOC-L y con EPOC- C. Métodos: Veintidós mujeres con EPOC severa (VEF1/CVF < 70% y VEF1 < 50%) fueron divididas en dos grupos: las expuestas a leña (EPOC-L; n = 12) y las expuestas a cigarrillo (EPOC-C; n = 10). Se compararon los dos grupos con respecto al puntaje de enfisema y el compromiso de la vía aérea en la TCAR, las anormalidades funcionales en la espirometría, la DLCO, los volúmenes pulmonares y la resistencia específica de la vía aérea (sRaw). Resultados: Los dos grupos tuvieron VEF1, sRaw e hiperinflación pulmonar similares. En el grupo EPOC-C, hubo mayor disminución de la DLCO y de la DLCO/VA y mayor puntaje de enfisema. En el grupo EPOC-L, no encontramos enfisema significativo en la TCAR. Los hallazgos principales fueron engrosamiento peribronquial, dilataciones bronquiales y atelectasias subsegmentarias. Conclusiones: En pacientes con EPOC-L severa no hay enfisema en la TCAR. El hallazgo más importante es el compromiso severo de la vía aérea. La disminución de la DLCO y del VA con DLCO/VA normal es probablemente determinada por la obstrucción bronquial severa y la mezcla incompleta del gas inspirado en la maniobra de la respiración única de la prueba de difusión.

Palavras-chave: Enfermedad pulmonar obstructiva crónica; Tomografía; Contaminación del aire; Biomasa; Humo; Pruebas de función respiratoria.

Introducción

La mitad de la población mundial, alrededor de tres mil millones de personas, utiliza materiales de origen vegetal o animal (biomasa) o carbón mineral para la obtención de energía en sus hogares.(1) En los países en vías de desarrollo es muy frecuente el uso de leña, estiércol, residuos de las cosechas y carbón para cocinar y calentar las viviendas; de igual manera, en los países desarrollados, ha aumentado la utilización de la leña para calefacción como una medida de "ahorro de energía". La contaminación intradomiciliaria secundaria a la combustión de estos materiales es causa de morbilidad y mortalidad significativas.(1,2) La exposición intradomiciliaria crónica al humo de leña se ha asociado con el desarrollo de bronquitis crónica y EPOC y actualmente se acepta como un factor de riesgo para el desarrollo de esta enfermedad.(3-6)

En el área rural montañosa de Colombia es frecuente el uso de la leña como combustible para cocinar. En esta zona, debido al frío, se acostumbra cocinar en el interior de las casas en espacios mal ventilados y en estufas que no tienen chimenea, lo cual causa aumento de la contaminación intradomiciliaria y es un factor de riesgo para el desarrollo de EPOC en este país, principalmente en mujeres. La prevalencia de EPOC en Colombia es de 8,9% y en el 6,7% de los casos, la exposición a humo de leña fue el único factor de riesgo para la enfermedad.(7) En estudios previos hemos mostrado que a diferencia de la EPOC por cigarrillo (EPOC-C), en las mujeres con EPOC por leña (EPOC-L) con igual grado de obstrucción, la disminución de la DLCO es menos severa y la relación DLCO/volumen alveolar (DLCO/VA) es normal.(8,9) Aunque la disminución de la DLCO puede ser sugestiva de enfisema, este comportamiento funcional ha sido descrito en pacientes con obstrucción severa sin enfisema, y se atribuye al compromiso de las vías aéreas de pequeño calibre.(10)

El objetivo de este estudio fue describir en la TCAR la presencia y severidad del enfisema y el compromiso de la vía aérea en mujeres con EPOC-L y compararlos con los observados en mujeres con EPOC-C.

Métodos

Se realizó un estudio analítico de corte transversal en pacientes con EPOC en el que se compararon dos grupos (grupo EPOC-L vs. grupo EPOC-C). Los criterios de inclusión fueron los siguientes: mujeres mayores de 40 años; EPOC severa, definida como una relación VEF1/CVF < 70% y un VEF1 < 50%; e historia de exposición significativa a cigarrillo (tabaquismo > 20 paquetes/año) o a humo de leña (exposición > 20 años). Se excluyeron pacientes que tuvieran exposición a ambos factores de riesgo, exacerbación en las últimas seis semanas, asma, cáncer pulmonar o secuelas de tuberculosis. El estudio fue aprobado por el Comité de Ética en Investigación de la institución y todas las pacientes firmaron consentimiento informado.

Se calculó un tamaño de muestra de 8 pacientes para cada grupo con un error tipo I de 0,01, una precisión de 10%, utilizando como parámetros los valores descritos en un estudio de evaluación subjetiva del enfisema en la TCAR, en el cual se encontró un puntaje promedio de enfisema de 9 ± 7 en pacientes con enfermedad de la pequeña vía aérea en comparación con un puntaje de 74 ± 8 en pacientes con EPOC.(10) Durante un periodo de 8 meses se tomó una muestra no probabilística de casos consecutivos de pacientes del programa de EPOC de la institución que asistieron a controles ambulatorios y que cumplieron los criterios de inclusión. Este programa de EPOC cuenta con cerca de 580 pacientes de los cuales el 40% tienen EPOC severa. La muestra definitiva fue de 22 mujeres con EPOC severa, 12 con EPOC-L y 10 con EPOC-C.

Se realizaron espirometría con broncodilatador, medición de la DLCO por el método de respiración única y medición del gas intratorácico y resistencia de la vía aérea por pletismografía (Vmax 229 AutoBox; Sensormedics Inc., Yorba Linda, CA, EUA) según los criterios de la American Thoracic Society y la European Respiratory Society y se utilizaron las ecuaciones de referencia de Crapo.(11-14)

Se realizó cuantificación subjetiva del enfisema por tomografía del tórax, según un método ya descrito,(15,16) con un equipo Somatom AR HP (Siemens Medical Systems, Munich, Alemania). Utilizando 1 mm de colimación, se practicaron seis cortes de alta resolución en decúbito supino, al final de la inspiración, a 3 y 6 cm por encima de la carina, a nivel de la carina y a 3, 6 y 9 cm por de debajo de la carina. Se realizó reconstrucción con algoritmo de hueso con un nivel de −600 UH y un ancho de ventana de 1500 UH. La severidad del enfisema se clasificó con una escala de 4 puntos: 0 = no hay enfisema; 1 = áreas de baja atenuación menores a 5 mm de diámetro; 2 = áreas bien circunscritas de baja atenuación mayores a 5 mm, además de las áreas circunscritas menores de 5 mm; 3 = áreas difusas de baja atenuación (no circunscritas) sin que se observe parénquima pulmonar sano o grandes zonas de baja atenuación que sean confluentes. La extensión del enfisema se clasificó con una escala de 4 puntos de acuerdo con el grado de compromiso de cada corte: 1 = menor del 25%; 2 = 26 al 50%; 3 = 51 al 75%; y 4 = mayor del 76%. Cada corte se evaluó individualmente y el pulmón derecho e izquierdo se cuantificó de manera independiente. Para cada uno de los 12 cortes, el puntaje de la severidad se multiplicó por el de la extensión y posteriormente se realizó una sumatoria para obtener el puntaje final de enfisema, con un valor máximo posible de 144 puntos; se clasificó como enfisema leve un puntaje entre 0 y 50, como moderado un puntaje entre 51 y 100 y como severo un puntaje mayor de 101 puntos.

Para evaluar el compromiso de la vía aérea periférica, se realizaron 5 cortes al final de la espiración según ha sido descrito,(17,18) a nivel del cayado aórtico, a nivel de la carina y a 3, 6 y 9 cm por debajo de la carina. Se utilizaron los siguientes criterios: "patrón en mosaico": zonas de parénquima pulmonar de aspecto normal en los cortes en inspiración, que disminuyen su coeficiente de atenuación así como la relación vaso/bronquio en los cortes en espiración; engrosamiento peribronquiolar: opacidad lineal o ramificada en el centro del lobulillo cuando el bronquiolo se encuentra en el plano paralelo al corte; patrón de "árbol en gemación": obliteración de los bronquiolos terminales, lo cual se visualiza como nódulos centrilobulillares; y dilataciones bronquiales cilíndricas (bronquiectasias).

Todas las imágenes fueron interpretadas de forma individual y ciega por dos radiólogos y por un neumólogo, expertos en tomografía del tórax. Posteriormente se realizó una lectura en grupo, también ciega al diagnóstico clínico, buscando acuerdo entre los observadores. Se evaluó la variabilidad interobservador y la concordancia de cada uno de ellos con el resultado de una lectura de consenso.

Para las variables cualitativas se calcularon proporciones y para las variables cuantitativas, promedios y desviaciones estándar o medianas y rangos intercuartiles. Para evaluar la diferencia de proporciones se utilizó el estadístico Chi-cuadrado y para las variables continuas, la prueba t de Student o la prueba no paramétrica U de Mann-Whitney. Se estimó el coeficiente de concordancia y correlación de Lin y los límites de acuerdo de Bland y Altman entre el puntaje tomográfico obtenido a través de la lectura individual de los observadores y el consenso del grupo. Se formularon hipótesis bilaterales a dos colas con un nivel de significación < 0,05. Se utilizó el programa estadístico Stata 7.0 (Stata Corp., College Station, TX, USA).

Resultados

Las pacientes con EPOC-L tenían una historia de 41,2 ± 9,8 años de exposición a humo de leña y las pacientes con EPOC-C habían fumado 47,0 ± 16,2 paquetes/año. No hubo diferencias significativas en la edad o en el índice de masa corporal entre los dos grupos (Tabla 1).



Todas las pacientes tuvieron obstrucción severa y aumento significativo de la capacidad pulmonar total, la capacidad funcional residual y la resistencia de la vía aérea, sin diferencias significativas entre los dos grupos. En las mujeres con EPOC-L, la DLCO y la relación DLCO/VA fueron significativamente mayores y el VA fue menor que en las mujeres con EPOC-C (Tabla 1).

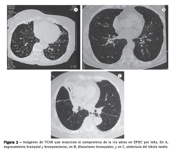
El puntaje de enfisema [mediana (rango intercuartil)] fue significativamente menor en el grupo EPOC-L que en el grupo EPOC-C [0 (0-1) vs. 92,5 (73-103); p < 0,001; Figura 1] y el compromiso de la vía aérea fue significativamente mayor: engrosamiento peribronquiolar (75% vs. 10%; p = 0,008) y dilataciones bronquiales (67% vs. 10%; p = 0,024). Adicionalmente, en las mujeres con EPOC-L se observó la presencia de "árbol en gemación" (25%), atelectasias subsegmentarias (33%) y engrosamiento severo de las paredes de los bronquios mayores que no se encontraron en las mujeres con EPOC-C (Figura 2). En ninguna paciente se observó "patrón en mosaico" en los cortes en espiración. La concordancia entre la lectura inicial y la lectura en consenso para la evaluación del enfisema fue muy buena con un coeficiente de concordancia y correlación de 0,937 (p < 0,001), con una diferencia promedio entre los puntajes obtenidos por los dos métodos de evaluación de 0,030 ± 15,7 y unos límites de acuerdo de Bland y Altman de −30,77 y 30,83.





Discusión

En este estudio basado en los hallazgos en la TCAR del tórax, demostramos que a diferencia de las mujeres con EPOC-C, las mujeres con EPOC-L y obstrucción severa no tienen enfisema y, por el contrario, tienen un compromiso significativo de la vía aérea manifestado por engrosamiento peribronquial, dilataciones bronquiales y atelectasias subsegmentarias. Estos hallazgos se relacionaron con la menor alteración de la DLCO y de la relación DLCO/VA de las pruebas funcionales encontrada en las mujeres con EPOC-L frente a las mujeres con EPOC-C, hallazgo que se ha descrito en casos de compromiso severo de la vía aérea pequeña con poco enfisema.(10)

Funcionalmente en todas las pacientes, tanto en las mujeres con EPOC-L como en las mujeres con EPOC-C, se encontró hiperinflación en los volúmenes pulmonares con un aumento notorio de la capacidad residual funcional y del volumen residual y un gran aumento de la resistencia de la vía aérea medida por pletismografía, sin diferencias entre los dos grupos. A pesar del mismo grado de obstrucción, en el grupo EPOC-L la disminución de la DLCO y de la DLCO/VA fue significativamente menor que en el grupo EPOC-C.

Los resultados de la tomografía confirmaron la ausencia de enfisema significativo en las pacientes con EPOC-L y mostraron enfisema moderado en las mujeres con EPOC-C. Estudios previos han demostrado que esta cuantificación subjetiva del enfisema en la TCAR se correlaciona de manera significativa con la extensión del enfisema cuantificada en cortes microscópicos de especímenes resecados.(19,20) Aunque esta cuantificación subjetiva puede tener desventajas como la sobrestimación del grado de enfisema y, en ocasiones, la baja concordancia entre diferentes observadores,(21) consideramos que la técnica empleada en nuestro estudio fue adecuada, teniendo en cuenta las claras diferencias encontradas entre los dos grupos y la buena concordancia entre la lectura individual por los tres lectores y la lectura realizada en consenso, haciendo que nuestros resultados sean altamente reproducibles. Como se anotó, en las mujeres expuestas al humo de la leña, además de la ausencia de enfisema, se encontró engrosamiento peribronquiolar, dilataciones bronquiolares y bronquiales y atelectasias subsegmentarias demostrando un gran compromiso de la vía aérea. La presencia de atelectasias es un hallazgo frecuente en la EPOC-L y se ha relacionado con el hallazgo endoscópico e histológico de antracosis e inflamación bronquial.(9,22)

Aunque en otros estudios no se ha encontrado mayor frecuencia de tos y producción de esputo en mujeres con EPOC-L en comparación con la EPOC-C,(23,24) probablemente por diferencias en los grados de exposición o severidad de la enfermedad, en estudios previos en Colombia hemos encontrado que las mujeres expuestas al humo de la leña tienen mayor frecuencia de tos, expectoración y mayor hiperreactividad bronquial, lo que sugiere mayor compromiso de la vía aérea, similar a los hallazgos de este estudio.(9,25) En un estudio con 86 pacientes con EPOC-L y 53 con EPOC-C, con diferentes grados de obstrucción, se observó que en las mujeres expuestas a leña la disminución de la DLCO era menos severa y se correlacionaba menos con el grado de la obstrucción (disminución de FEV1) y la relación DLCO/VA era normal a diferencia de la EPOC-C,(9) hallazgos iguales a los del presente estudio. Este comportamiento funcional de la DLCO sugiere mayor compromiso de la vía aérea y menor enfisema, como se ha descrito en pacientes con obstrucción severa sin enfisema, en quienes la limitación al flujo espiratorio se ha atribuido al compromiso de las vías aéreas de pequeño calibre y no exclusivamente a la disminución del retroceso elástico por enfisema.(10,26,27) Debido a la ausencia de enfisema en la tomografía, los autores atribuyeron la disminución de la DLCO a una disminución del VA o "falsa" disminución de la DLCO, e introdujeron el término de enfisema pseudofisiológico, que puede aplicarse a estas pacientes con EPOC-L.

Los principales determinantes de la DLCO son la tasa de transferencia entre el alveolo y el capilar (factor de permeabilidad) y el VA que define la cantidad de gas disponible para el intercambio. En las enfermedades pulmonares obstructivas el VA medido durante la prueba de difusión, por el método de la respiración única, es bajo debido a una mezcla incompleta entre el gas inspirado y el volumen de gas residual pulmonar durante el tiempo de sostenimiento de la respiración, lo que puede determinar una disminución de la DLCO. En el enfisema, la reducción de la superficie alvéolocapilar determina una disminución de la DLCO proporcionalmente mayor a la que determina la disminución del VA, lo que ocasiona una reducción significativa de la relación DLCO/VA.(28,29) En las mujeres con EPOC-L, en quienes encontramos poco enfisema, consideramos que la mala distribución del gas inspirado en la maniobra de la DLCO, debida a la enfermedad de la vía aérea, puede explicar la disminución del VA y de la DLCO y la menor afectación de la relación DLCO/VA, que en algunos casos fue normal.

La característica funcional de limitación al flujo de aire en la EPOC es atribuida a destrucción del parénquima pulmonar con disminución del retroceso elástico y a la inflamación y obliteración de la vía aérea. Aunque no realizamos mediciones del retroceso elástico, teniendo en cuenta los hallazgos de este estudio postulamos que la disminución del flujo de aire en las pacientes con EPOC-L severa es explicada principalmente por el compromiso severo de la vía aérea y no por pérdida de retroceso elástico por enfisema. Estos hallazgos funcionales y tomográficos de ausencia de enfisema significativo se correlacionan con lo encontrado en un estudio retrospectivo de 103 autopsias de pacientes con exposición a humo de leña. Aunque en estas pacientes no se registraron datos clínicos o de función pulmonar, los hallazgos histológicos más importantes en este grupo de pacientes fueron la enfermedad vascular pulmonar hipertensiva, el depósito de pigmento antracótico peribronquial, perivascular e intersticial y la ausencia de enfisema.(30)

Una de las limitaciones de este estudio fue la inclusión de un relativo bajo número de pacientes. Sin embargo, la selección de casos consecutivos, los estrictos criterios de inclusión según el tipo de exposición (leña o cigarrillo) y la exclusión de aquellos que tenían exposición simultánea a los dos factores determinó la conformación de dos grupos claramente comparables. Por los criterios de selección solamente incluimos mujeres con obstrucción severa, por lo cual los resultados obtenidos no pueden generalizarse a otros grados de severidad ni a hombres con EPOC. Se requieren otros estudios con un mayor número de pacientes de diferentes grados de severidad de la obstrucción para confirmar los hallazgos del presente estudio.

En conclusión, en pacientes con EPOC-L severa no encontramos enfisema significativo en la TCAR. El hallazgo más importante fue el compromiso severo de la vía aérea demostrado por engrosamiento peribronquial, dilataciones bronquiales y atelectasias subsegmentarias. El comportamiento funcional de disminución de la DLCO y del VA con DLCO/VA normal es determinado por la obstrucción bronquial severa y la mala distribución del gas inspirado en la maniobra de la respiración única utilizada durante la prueba de difusión. Consideramos que la obstrucción al flujo de aire en estas pacientes es debida principalmente al compromiso severo de la vía aérea y no a la pérdida de retroceso elástico por enfisema, información que aporta al entendimiento de la fisiopatología de esta enfermedad e indica que bajo la denominación de EPOC se pueden estar incluyendo enfermedades fisiopatológicamente diferentes con una expresión funcional común (obstrucción al flujo de aire) lo que podría depender del tipo de contaminante o irritante.


Referencias

1. Torres-Duque C, Maldonado D, Pérez-Padilla R, Ezzati M, Viegi G; Forum of International Respiratory Studies (FIRS) Task Force on Health Effects of Biomass Exposure. Biomass fuels and respiratory diseases: a review of the evidence. Proc Am Thorac Soc. 2008;5(5):577-90. PMid:18625750. http://dx.doi.org/10.1513/pats.200707-100RP

2. Arbex MA, Cançado JE, Pereira LA, Braga AL, Saldiva PH. Biomass Burning and Health Effects. J Bras Pneumol. 2004;30(2):158-75. http://dx.doi.org/10.1590/S1806-37132004000200015

3. Dennis RJ, Maldonado D, Norman S, Baena E, Martinez G. Woodsmoke exposure and risk for obstructive airways disease among women. Chest. 1996;109(1):115-9. PMid:8549171. http://dx.doi.org/10.1378/chest.109.1.115

4. Hu G, Zhou Y, Tian J, Yao W, Li J, Li B, et al. Risk of COPD from exposure to biomass smoke: a metaanalysis. Chest. 2010;138(1):20-31. PMid:20139228.

5. Rabe KF, Hurd S, Anzueto A, Barnes PJ, Buist SA, Calverley P, et al. Global strategy for the diagnosis, management, and prevention of chronic obstructive pulmonary disease: GOLD executive summary. Am J Respir Crit Care Med. 2007;176(6):532-55. PMid:17507545. http://dx.doi.org/10.1164/rccm.200703-456SO

6. da Silva LF, Saldiva SR, Saldiva PH, Dolhnikoff M; Bandeira Científica Project. Impaired lung function in individuals chronically exposed to biomass combustion. Environ Res. 2012;112:111-7. PMid:22136759. http://dx.doi.org/10.1016/j.envres.2011.10.012

7. Caballero A, Torres-Duque CA, Jaramillo C, Bolívar F, Sanabria F, Osorio P, et al. Prevalence of COPD in five Colombian cities situated at low, medium, and high altitude (PREPOCOL study). Chest. 2008;133(2):343-9. PMid:17951621. http://dx.doi.org/10.1378/chest.07-1361

8. González-García M, Barrero M, Maldonado D. Carbon monoxide diffusing capacity (DLCOSB) and transfer coefficient (DLCO/VA) in wood smoke chronic obstructive pulmonary disease (COPD) in Bogota, Colombia (2640 m). Chest. 2001;120:289S.

9. González M, Páez S, Jaramillo C, Barrero M, Maldonado D. Enfermedad pulmonar obstructiva crónica (EPOC) por humo de leña en mujeres: comparación con la EPOC por cigarrillo. Acta Med Colomb. 2004;29(1):17-25.

10. Gelb AF, Zamel N, Hogg JC, Müller NL, Schein MJ. Pseudophysiologic emphysema resulting from severe small-airways disease. Am J Respir Crit Care Med. 1998;158(3):815-9. PMid:9731010.

11. Crapo RO, Morris AH, Gardner RM. Reference spirometric values using techniques and equipment that meet ATS recommendations. Am Rev Respir Dis. 1981;123(6):659 64. PMid:7271065.

12. Macintyre N, Crapo RO, Viegi G, Johnson DC, van der Grinten CP, Brusasco V, et al. Standardisation of the single-breath determination of carbon monoxide uptake in the lung. Eur Respir J. 2005;26(4):720-35. PMid:16204605. http://dx.doi.org/10.1183/09031936.05.00034905

13. Miller MR, Hankinson J, Brusasco V, Burgos F, Casaburi R, Coates A, et al. Standardisation of spirometry. Eur Respir J. 2005;26(2):319-38. PMid:16055882. http://dx.doi.org/10.1183/09031936.05.00034805

14. Wanger J, Clausen JL, Coates A, Pedersen OF, Brusasco V, Burgos F, et al. Standardisation of the measurement of lung volumes. Eur Respir J. 2005;26(3):511-22. PMid:16135736. http://dx.doi.org/10.1183/09031936.05.00035005

15. Hunsaker A, Ingenito E, Topal U, Pugatch R, Reilly J. Preoperative screening for lung volume reduction surgery: usefulness of combining thin-section CT with physiologic assessment. AJR Am J Roentgenol. 1998;170(2):309 14. PMid:9456934.

16. Klein JS, Gamsu G, Webb WR, Golden JA, Müller NL. High-resolution CT diagnosis of emphysema in symptomatic patients with normal chest radiographs and isolated low diffusing capacity. Radiology. 1992;182(3):817-21. PMid:1535900.

17. Müller NL, Miller RR. Diseases of the bronchioles: CT and histopathologic findings. Radiology. 1995;196(1):3 12. PMid:7784583.

18. Stern EJ, Frank MS. Small-airway diseases of the lungs: findings at expiratory CT. AJR Am J Roentgenol. 1994;163(1):37-41. PMid:8010242.

19. Bergin C, Müller N, Nichols DM, Lillington G, Hogg JC, Mullen B, et al. The diagnosis of emphysema. A computed tomographic-pathologic correlation. Am Rev Respir Dis. 1986;133(4):541-6. PMid:3963623.

20. Kuwano K, Matsuba K, Ikeda T, Murakami J, Araki A, Nishitani H, et al. The diagnosis of mild emphysema. Correlation of computed tomography and pathology scores. Am Rev Respir Dis. 1990;141(1):169-78. PMid:2297175.

21. Bankier AA, De Maertelaer V, Keyzer C, Gevenois PA. Pulmonary emphysema: subjective visual grading versus objective quantification with macroscopic morphometry and thin-section CT densitometry. Radiology. 1999;211(3):851-8. PMid:10352615.

22. Restrepo J, Reyes P, de Ochoa P, Patiño E. Neumoconiosis por inhalación de humo de leña. Acta Med Colomb. 1983;8(4):191-204.

23. Moreira MA, Moraes MR, Silva DG, Pinheiro TF, Vasconcelos Júnior HM, Maia LF, et al. Comparative study of respiratory symptoms and lung function alterations in patients with chronic obstructive pulmonary disease related to the exposure to wood and tobacco smoke. J Bras Pneumol. 2008;34(9):667-74. PMid:18982203.

24. Ramírez-Venegas A, Sansores RH, Pérez-Padilla R, Regalado J, Velázquez A, Sánchez C, et al. Survival of patients with chronic obstructive pulmonary disease due to biomass smoke and tobacco. Am J Respir Crit Care Med. 2006;173(4):393-7. PMid:16322646. http://dx.doi.org/10.1164/rccm.200504-568OC

25. González-García M, Torres-Duque CA, Bustos A, Jaramillo C, Maldonado D. Bronchial hyperresponsiveness in women with chronic obstructive pulmonary disease related to wood smoke. Int J Chron Obstruct Pulmon Dis. 2012;7:367-73. PMid:22791990 PMCid:3393338. http://dx.doi.org/10.2147/COPD.S30410

26. Gelb AF, Schein M, Kuei J, Tashkin DP, Müller NL, Hogg JC, et al. Limited contribution of emphysema in advanced chronic obstructive pulmonary disease. Am Rev Respir Dis. 1993;147(5):1157-61. PMid:8484625.

27. Gelb AF, Hogg JC, Müller NL, Schein MJ, Kuei J, Tashkin DP, et al. Contribution of emphysema and small airways in COPD. Chest. 1996;109(2):353-9. PMid:8620705.
http://dx.doi.org/10.1378/chest.109.2.353

28. Fitting JW. Transfer factor for carbon monoxide: a glance behind the scene. Swiss Med Wkly. 2004;134(29 30):413-8. PMid:15389351.

29. Hughes JM, Pride NB. In defence of the carbon monoxide transfer coefficient Kco (TL/VA). Eur Respir J. 2001;17(2):168-74. http://dx.doi.org/10.1183/09031936.01.17201680

30. Palacios D, Mendez O. Neumopatía por humo de leña: un estudio en autopsias. Biomédica (Bogota). 1998;18(2):153-60.



Estudio realizado en la Fundación Neumológica Colombiana, Bogotá, Colombia y en el Departamento de Radiología e Imágenes Diagnósticas, Fundación Cardioinfantil, Instituto de Cardiología, Bogotá, Colombia.
Dirección para correspondencia: Mauricio González-García, Carrera 13B 161-85. Bogotá, Colombia.
Tel. 571 742-8900. Fax. 571 742-8904. E-mail: mgonzalez@neumologica.org
Apoyo financiero: Ninguno.
Recibido para publicación el 17/7/2012. Aprobado, tras revisión, el 18/12/2012.



Acerca de los autores

Mauricio González-García
MD. Especialista en Medicina Interna, Neumología y Epidemiología Clínica. Departamento de Investigación, Fundación Neumológica Colombiana, Bogotá, Colombia.

Dario Maldonado Gomez
MD. Especialista en Medicina Interna y Neumología. Director. Fundación Neumológica Colombiana, Bogotá, Colombia.

Carlos A. Torres-Duque
MD. Especialista en Medicina Interna y Neumología. Departamento de Investigación, Fundación Neumológica Colombiana, Bogotá, Colombia.

Margarita Barrero
MD. Fisioterapeuta. Laboratorio de Función Pulmonar, Fundación Neumológica Colombiana, Bogotá, Colombia.

Claudia Jaramillo Villegas
MD. Especialista en Medicina Interna y Cardiología. Magister en Epidemiología Clínica. Departamento de Investigación, Fundación Neumológica Colombiana, Bogotá, Colombia.

Juan Manuel Pérez
MD. Especialista en Radiología. Departamento de Radiología e Imágenes Diagnósticas, Fundación Cardioinfantil, Instituto de Cardiología, Bogotá, Colombia.

Humberto Varon
MD. Especialista en Radiología. Departamento de Radiología e Imágenes Diagnósticas, Fundación Cardioinfantil, Instituto de Cardiología, Bogotá, Colombia.

Indexes

Development by:

© All rights reserved 2025 - Jornal Brasileiro de Pneumologia