Continuous and bimonthly publication
ISSN (on-line): 1806-3756

Licença Creative Commons
7605
Views
Back to summary
Open Access Peer-Reviewed
Original Article

Systemic sclerosis-associated interstitial pneumonia: evaluation of pulmonary function over a five-year period

Pneumonia intersticial associada à esclerose sistêmica: avaliação da função pulmonar no período de cinco anos

Agnaldo José Lopes, Domenico Capone, Roberto Mogami, Sara Lucia Silveira de Menezes, Fernando Silva Guimarães, Roger Abramino Levy

ABSTRACT

Objective: To evaluate alterations in pulmonary function in patients with systemic sclerosis-associated interstitial pneumonia over a five-year period. Methods: This was a longitudinal study involving 35 nonsmoking patients with systemic sclerosis and without a history of lung disease. At the first evaluation, performed at the time of the diagnosis of interstitial pneumonia, the patients were submitted to HRCT, spirometry, and measurement of DLCO. The patients were subdivided into two groups by the presence or absence of honeycombing on the HRCT scans. Approximately five years after the first evaluation, the patients were submitted to spirometry and measurement of DLCO only. Results: Of the 35 patients, 34 were women. The mean age was 47.6 years. The mean time between the two evaluations was 60.9 months. Honeycombing was detected on the HRCT scans in 17 patients. In the sample as a whole, five years after the diagnosis, FVC, FEV1 and DLCO significantly decreased (81.3 ± 18.2% vs. 72.1 ± 22.2%; 79.9 ± 17.8% vs. 72.5 ± 20.6%; and 74.0 ± 20.5% vs. 60.7 ± 26.8%, respectively; p = 0.0001 for all), and the FEV1/FVC ratio significantly increased (98.5 ± 7.2% vs. 101.9 ± 7.8%; p = 0.008). In the same period, FVC, FEV1, and DLCO values were significantly lower in the patients with honeycombing on the HRCT scans than in those without (p = 0.0001). Conclusions: In systemic sclerosis-associated interstitial lung disease, the detection of honeycombing on HRCT is crucial to predicting accelerated worsening of pulmonary function.

Keywords: Scleroderma, systemic; Respiratory function tests; Tomography, X-ray computed.

RESUMO

Objetivo: Avaliar as alterações da função pulmonar em portadores de pneumonia intersticial associada à esclerose sistêmica no intervalo de cinco anos. Métodos: Foi realizado um estudo longitudinal no qual foram avaliados 35 pacientes não tabagistas com esclerose sistêmica e sem história de doença pulmonar prévia. Na primeira avaliação, realizada na época do diagnóstico da pneumonia intersticial, os pacientes foram submetidos à TCAR, espirometria e medida de DLCO. Os pacientes foram subdivididos em dois grupos de acordo com a presença ou não de faveolamento na TCAR. Aproximadamente cinco anos após a primeira avaliação, os pacientes foram submetidos a espirometria e medida da DLCO apenas. Resultados: Dos 35 pacientes, 34 eram mulheres, com média de idade de 47,6 anos. A média de tempo entre as duas avaliações foi de 60,9 meses. O faveolamento foi demonstrado por TCAR em 17 pacientes. Na amostra total, após cinco anos do diagnóstico, CVF, VEF1 e DLCO reduziram significativamente (81,3 ± 18,2% vs. 72,1 ± 22,2%; 79,9 ± 17,8% vs. 72,5 ± 20,6%; e 74,0 ± 20,5% vs. 60,7 ± 26,8%, respectivamente; p = 0.0001 para todos), enquanto a relação VEF1/CVF aumentou significativamente (98,5 ± 7,2% vs. 101,9 ± 7,8%; p = 0,008). No mesmo período, os valores de CVF, VEF1 e DLCO foram significativamente menores nos pacientes com faveolamento do que naqueles sem faveolamento na TCAR (p = 0,0001). Conclusões: Na esclerose sistêmica com doença pulmonar intersticial associada, a detecção de faveolamento na TCAR é determinante para predizer uma deterioração acelerada da função pulmonar.

Palavras-chave: Escleroderma sistêmico; Testes de função respiratória; Tomografia computadorizada por raios X.

Introduction

Systemic sclerosis is a chronic, inflammatory, connective tissue disease characterized by extensive fibrosis, as well as by abnormalities in small vessels and in the musculature. Although cutaneous manifestations are the most pronounced feature, the disease can affect the internal organs, such as the lungs, kidneys, heart, and gastrointestinal tract, worsening the prognosis.(1)

Currently, pulmonary alterations are the major cause of mortality in systemic sclerosis.(2) It is known that most patients develop some degree of lung injury over the course of the disease, interstitial involvement and pulmonary vascular disease being the most common manifestations and having the most significant clinical repercussions.(3)

Interstitial pneumonia is found in approximately 80% of the cases of systemic sclerosis.(4) From a histopathological standpoint, the disease most commonly presents as usual interstitial pneumonia (UIP) or nonspecific interstitial pneumonia (NSIP), the latter being the more common form and having the better prognosis.(5,6) One method for investigating interstitial involvement in systemic sclerosis is lung biopsy. However, because it is an invasive test, lung biopsy is rarely performed. Therefore, HRCT, which has a greater than 90% sensitivity, is currently the method of choice.(7,8) On HRCT scans, the presence of honeycombing has a sensitivity of 90% and a specificity of 86% for the diagnosis of UIP, being rare in NSIP.(6,9)

In addition to HRCT, respiratory function tests are frequently used in the follow-up of patients with systemic sclerosis-associated interstitial pneumonia. The most widely used of these tests is spirometry, which shows a restrictive pattern in 30-60% of cases, especially in those without an associated history of smoking.(10-12) Another very useful pulmonary test is measurement of DLCO, which typically decreases much faster than do lung volumes.(12) In terms of prognosis, functional alterations are important markers of the progression of systemic sclerosis-associated interstitial pneumonia, at the initial evaluation as well as during follow-up.(8)

The objective of the present study was to evaluate alterations in pulmonary function in nonsmoking patients with systemic sclerosis and HRCT-diagnosed interstitial pneumonia over a five-year period, as well as to determine the impact that the detection of honeycombing on HRCT had on functional parameters during that period.

Methods

This was a longitudinal study involving 63 nonsmoking patients with systemic sclerosis-associated interstitial pneumonia. The study consisted of two evaluations: the first, at the time of the diagnosis of interstitial pneumonia, between February of 2002 and September of 2005; and the second, five years later, between April of 2007 and June of 2010.

Participants were previously informed about the objective of the study and gave written informed consent, in accordance with current ethical norms. The study protocol was approved by the Research Ethics Committee of the Rio de Janeiro State University Pedro Ernesto University Hospital.

At the first evaluation, patients were eligible for inclusion in the study only if they had previously been diagnosed with systemic sclerosis on the basis of clinical and biochemical criteria.(13) Smokers and former smokers were excluded, as were patients with a history of asthma, those with normal HRCT scans, and those with systemic sclerosis who also had other collagen diseases or silicosis (Erasmus's syndrome). On the basis of these criteria, 28 patients were excluded: 22 for presenting normal HRCT findings; 3 for having asthma; 2 for having mixed connective tissue disease; and 1 for having silicosis. Therefore, the final sample consisted of 35 patients with HRCT-diagnosed interstitial disease but without histological confirmation of that diagnosis. At the first evaluation, in addition to HRCT, spirometry and measurement of DLCO were performed.
Approximately five years later, the patients underwent the second evaluation of the study, consisting of another round of pulmonary function tests (spirometry and measurement of DLCO). The following functional and radiological evaluations were conducted:

a) Pulmonary function testing, which consisted of spirometry and measurement of single-breath DLCO. All tests were performed with a pulmonary function testing system (Collins Plus; Warren E. Collins, Inc., Braintree, MA, USA), in accordance with the performance and interpretation standards established by the Brazilian Thoracic Association.(14) In the interpretation of functional parameters, we used the equations devised by Pereira (for spirometry) and by Neder (for DLCO).(15,16) In this study, progressive disease was defined as a ≥ 10% decrease in FVC or a ≥ 15% decrease in DLCO, in comparison with baseline values.(2,5)

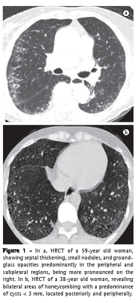
b) HRCT, which was performed with a GE device (model HiSpeed LX/i; General Electric Medical Systems, Milwaukee, WI, USA) as follows: 1-mm slices, at 1.5-s intervals and increased by 10 mm; image reconstruction with a 512 × 512 pixel matrix, using a high-resolution algorithm; a window width of 1,000 HU; and a mean window level of −700 HU. The HRCT findings were interpreted by two independent radiologists with experience in interstitial lung disease. The scans were analyzed for the following: small nodules; ground-glass opacities; septal thickening; honeycombing; and traction bronchiectasis. As shown in Figure 1, the patients were divided into two groups by the presence or absence of honeycombing (17 and 18 patients, respectively).





Quantitative data are presented as means and standard deviations or standard errors, whereas categorical variables are expressed as percentages. The Mann-Whitney test was used for assessing the similarity between the groups with and without honeycombing. The Wilcoxon signed rank test was used for comparing the two functional evaluations (sample as a whole and groups with and without honeycombing). The Mann-Whitney test was used for comparing the absolute deltas of the functional variables between the groups with and without honeycombing. The level of significance was set at p < 0.05. All analyses were performed with the Statistical Analysis System, version 6.04 (SAS Institute, Inc., Cary, NC, USA).

Results

Table 1 shows the clinical characteristics and HRCT abnormalities of the sample at the time of the diagnosis of interstitial pneumonia. Of the 35 patients evaluated, 34 were women. The mean age was 47.6 years (range, 28-65 years).





There was no disagreement between the radiologists about the presence or absence of interstitial pneumonia or about the diagnostic HRCT findings. The major HRCT abnormalities were small nodules (rounded opacities< 1 cm), septal thickening, and ground-glass opacities, detected in 30, 29, and 26 cases, respectively. Honeycombing was found in 17 cases and was interspersed with areas of patchy ground-glass opacity in 13 of those cases. Traction bronchiectasis with associated areas of honeycombing was observed in 13 cases.

Table 2 shows the results of the two functional evaluations for the sample as a whole. The mean interval between measurements was 60.9 months (range: 57-65 months). At the first evaluation, FVC was below normal in 54.3% of the patients, whereas DLCO was below normal in 68.6%. At the second evaluation, FVC was below normal in 60% of the patients, whereas DLCO was below normal in 77.1%. There was a ≥ 10% decrease in FVC and a ≥ 15% decrease in DLCO in 57.1% and 62.9% of the cases, respectively. None of the patients evaluated had airflow limitation. When the values obtained at the two evaluations were compared, there were statistically significant differences in the means of all functional parameters evaluated.





We found a statistically significant difference between the groups with and without honeycombing in terms of the mean age (43.12 ± 9.01 vs. 51.83 ± 10.73 years; p = 0.013), as well as in terms of the mean FVC, FEV1, and DLCO values (p < 0.001). However, there was no significant difference between the groups with and without honeycombing in terms of the mean interval between the two evaluations (60.94 ± 2.02 vs. 60.83 ± 2.54 months; p = 0.95) or the mean FEV1/FVC ratio (p = 0.92). Table 3 shows the alterations in pulmonary function, over a five-year period, by the presence or absence of honeycombing on the HRCT scans.





In the group without honeycombing at the time of the diagnosis of interstitial pneumonia, FVC and DLCO were below normal in 22.2% and 38.9%, respectively, compared with 22.2% and 55.6% at the second evaluation. There was a ≥ 10% decrease in FVC in 22% of the patients, whereas there was a ≥ 15% decrease in DLCO in 27.8%. When the mean pulmonary function values of the two evaluations were compared, there were statistically significant differences for all parameters, with the exception of the FEV1/FVC ratio (Table 3).

In the group with honeycombing at the time of the diagnosis of interstitial pneumonia, FVC was below normal in 88.2% of the patients and DLCO was below normal in all of patients evaluated. At the second evaluation, all of the patients showed a reduction in FVC and in DLCO. We found a ≥ 10% decrease in FVC and a ≥ 15% decrease in DLCO in 94.1% and 100.0% of the cases, respectively. In addition, statistically significant differences were observed for all functional parameters studied (Table 3).

Finally, we compared the absolute deltas of the pulmonary function parameters of the patients with and without honeycombing on the HRCT scans over a five-year period (Table 4). With the exception of the FEV1/FVC ratio, there were statistically significant differences for all functional variables evaluated.




Discussion

In order to eliminate the effect of smoking on pulmonary function tests, only nonsmoking patients were selected for this study. With the objective of evaluating only the effect of systemic sclerosis on the lung parenchyma, patients in whom systemic sclerosis was associated with other collagen diseases or with occupational exposure to risk factors were excluded.
In systemic sclerosis, the excessive secretion of collagen and other extracellular matrix components is likely to be triggered by an immune mechanism involving the release of various cytokines. This intense fibroblast stimulation is responsible for many manifestations of the disease, including interstitial pneumonia.(1-3)

Nearly all of the patients in our sample were female, which is in accordance with the literature, in which the prevalence of systemic sclerosis is reported to be higher in women.(17) In addition, the mean age of the patients in this study at the time of the diagnosis of interstitial disease (47.6 years) is similar to that reported in other case series of sclerosis-associated interstitial pneumonia.(11,18,19)

Currently, HRCT is considered the state-of-the-art radiological testing procedure for the detection of pulmonary involvement. Areas of honeycombing can be seen on CT scans, especially in cases of UIP, and is typically interspersed with areas of ground-glass opacity.(6,9,20)

Honeycombing is seen primarily at the lung bases, predominantly in the peripheral and posterior regions of the lungs, and is frequently accompanied by traction bronchiectasis. In the present study, the HRCT scans revealed honeycombing in 48.6% of the cases, which is similar to the 56.0% reported in another study conducted in Brazil.(7)

In addition to imaging methods, pulmonary function tests are extremely useful in cases of sclerosis-associated interstitial pneumonia, for diagnosis as well as for treatment follow-up and prognosis. In the present study, at the time of the diagnosis of interstitial pneumonia, restrictive lung disease was observed in 54.3% of the cases, corroborating the findings of other studies.(5,21) However, DLCO was below normal in 68.6% of the cases, which is considerably lower than the 86.7% and 97.3% reported in two other studies.(5,21) One possible explanation for this discrepancy is that those studies included smokers and nonsmokers, smoking being well known to reduce DLCO.

One of the most significant findings of the present study is the detection of an accelerated decline in pulmonary function over a five-year follow-up period. We found a ≥ 10% decrease in FVC in 57.1% of the cases and a ≥ 15% decrease in DLCO in 62.9%. Using the same functional indices for defining progressive disease, another study reported similar results: a decrease in FVC and DLCO in 56% of the cases over a five-year follow-up period.(2)

As can be seen in Table 2, there were marked decreases in FVC and DLCO (both expressed as a % of the predicted value), the decrease in the latter being especially pronounced. It is well known that DLCO decreases faster than do spirometric indices.(5,11,22) Measurement of DLCO is generally considered the most sensitive test for the diagnosis of pulmonary involvement in systemic sclerosis in patients at rest, also being widely used for monitoring treatment and estimating prognosis.(2,5) In one study investigating the prognosis of 71 patients with systemic sclerosis over five years, survival was only 9% among the patients with DLCO < 40% of the theoretical value, compared with 75% among those with DLCO > 40% of the theoretical value.(23) However, an isolated reduction in DLCO is of unknown significance, because it could represent an incipient manifestation of interstitial disease, hypoxic vasoconstriction (pulmonary Raynaud's phenomenon), or a greater risk of pulmonary hypertension.(11,12,24)

It is currently known that systemic sclerosis-associated interstitial pneumonia can manifest as various histopathological patterns, NSIP and UIP being the most common.(9,25) In addition, NSIP can be divided into two subgroups: cellular and fibrotic.(5) The importance of differentiating the histological patterns lies in the prognosis, which is better in cases of NSIP, especially in cases of cellular NSIP.(5,6,9) However, in clinical practice, routine performance of lung biopsy is not recommended, and lung biopsy should be restricted to unusual clinical and CT presentations.(8) On HRCT scans, the presence of honeycombing and traction bronchiectasis correlates with the diagnosis of UIP or fibrotic NSIP, whereas a ground-glass pattern correlates with the diagnosis of cellular NSIP.(6) Therefore, in the present study, the patients were divided into two groups (with and without honeycombing) in an attempt to evaluate alterations in pulmonary function five years after the initial presentation.

At the time of the diagnosis of interstitial pneumonia, we found significant differences in FVC (%) and FEV1 (%) between the two groups, the values being within the reference ranges for the patients without honeycombing.

These results are in accordance with those of another study that also compared patients with and without honeycombing on HRCT scans and found statistically significant differences between those two groups in terms of FVC (71.0 ± 4.2% vs. 90.0 ± 3.6%; p < 0.01) and DLCO (66.6 ± 4.0% vs. 88.0 ± 6.6%; p < 0.01).(26) In our study, it is also of note that the mean age of the group with honeycombing was much lower than was that of the group without. However, in most studies, the more severe cases of systemic sclerosis-associated interstitial pneumonia (often accompanied by severe pulmonary fibrosis) appear within the first five years of disease.(8,27)

A critical analysis of the results of the present study, as well as its limitations, is warranted. Although interstitial pneumonia can manifest as various histopathological patterns in systemic sclerosis, lung biopsy was not performed in our study. However, as previously mentioned, this procedure is rarely performed in systemic sclerosis and there is a correlation between the histological type of interstitial disease and the pattern of HRCT abnormality.(5,6,9) In the present study, pulmonary function was used as the only marker of progression of interstitial disease, and the HRCT scans were studied only at the first evaluation. However, it is of note that other studies have reported an association between the decline in pulmonary function and the worsening of radiological abnormalities.(2,11,26) Another limitation is that echocardiography was not performed. This examination is important in systemic sclerosis, because an associated diagnosis of pulmonary hypertension can worsen pulmonary function, especially in terms of DLCO values, in patients with more severe disease. In addition, our sample was not stratified by the type of treatment given, a parameter that could have been important, because patients with NSIP usually respond better to treatment than do patients with UIP.(5,6)

The most important finding of the present study is the relationship between the presence of honeycombing on HRCT and the accelerated worsening of pulmonary function over the five-year follow-up period. This could be explained by the broad histopathological spectrum of systemic sclerosis-associated pneumonia, which includes various patterns.(5,9,25)

Therefore, it is possible that the cases with honeycombing are cases of UIP or fibrotic NSIP whereas those without honeycombing are cases of cellular NSIP. To our knowledge, there are no studies in the literature comparing the progression of pulmonary function, over a period of at least five years, in systemic sclerosis patients with and without honeycombing on HRCT scans.

In conclusion, the present study shows that, in nonsmoking patients with systemic sclerosis-associated interstitial pneumonia, disease progression in the presence of honeycombing is different from that observed in its absence. The presence of honeycombing on HRCT is a determinant of accelerated worsening of pulmonary function, especially of DLCO, at five years after the diagnosis of interstitial disease.


References


1. Simeón CP, Armadans L, Fonollosa V, Solans R, Selva A, Villar M, et al. Mortality and prognostic factors in Spanish patients with systemic sclerosis. Rheumatology (Oxford). 2003;42(1):71-5.

2. Goh NS, Desai SR, Veeraraghavan S, Hansell DM, Copley SJ, Maher TM, et al. Interstitial lung disease in systemic sclerosis: a simple staging system. Am J Respir Crit Care Med. 2008;177(11):1248-54.

3. Lynch JP, Orens JB, Kazerooni EA. Collagen vascular disease. In: Sperber M, editor. Diffuse Lung Disease: A Comprehensive Clinical-radiological Overview. London: Springer; 1999. p. 325-55.

4. Ramirez A, Varga J. Pulmonary arterial hypertension in systemic sclerosis: clinical manifestations, pathophysiology, evaluation, and management. Treat Respir Med. 2004;3(6):339-52.

5. Bouros D, Wells AU, Nicholson AG, Colby TV, Polychronopoulos V, Pantelidis P, et al. Histopathologic subsets of fibrosing alveolitis in patients with systemic sclerosis and their relationship to outcome. Am J Respir Crit Care Med. 2002;165(12):1581-6.

6. Lynch DA, Travis WD, Müller NL, Galvin JR, Hansell DM, Grenier PA, et al. Idiopathic interstitial pneumonias: CT features. Radiology. 2005;236(1):10-21.

7. Azevedo AB, Guimarães SM, Tavares Jr WC, Calderaro D, Leão Filho HM, Ferreira CS, et al. Avaliação da tomografia de alta resolução versus radiografia de tórax na doença intersticial pulmonar na esclerose sistêmica. Radiol Bras. 2005;38(2):95-9.

8. Kairalla RA. Interstitial lung disease in scleroderma. J Bras Pneumol. 2005;31(4):i-iii.

9. Flaherty KR, Toews GB, Travis WD, Colby TV, Kazerooni EA, Gross BH, et al. Clinical significance of histological classification of idiopathic interstitial pneumonia. Eur Respir J. 2002;19(2):275-83.

10. Minai OA, Dweik RA, Arroliga AC. Manifestations of scleroderma pulmonary disease. Clin Chest Med. 1998;19(4):713-31, viii-ix.

11. Wells AU, Hansell DM, Rubens MB, King AD, Cramer D, Black CM, et al. Fibrosing alveolitis in systemic sclerosis: indices of lung function in relation to extent of disease on computed tomography. Arthritis Rheum. 1997;40(7):1229-36.

12. Diot E, Boissinot E, Asquier E, Guilmot JL, Lemarié E, Valat C, et al. Relationship between abnormalities on high-resolution CT and pulmonary function in systemic sclerosis. Chest. 1998;114(6):1623-9.

13. Preliminary criteria for the classification of systemic sclerosis (scleroderma). Subcommittee for scleroderma criteria of the American Rheumatism Association Diagnostic and Therapeutic Criteria Committee. Arthritis Rheum. 1980;23(5):581-90.

14. Sociedade Brasileira de Pneumologia e Tisiologia. Diretrizes para Testes de Função Pulmonar. J Pneumol. 2002;28(Suppl 3):S1-S238.

15. Pereira CA, Sato T, Rodrigues SC. New reference values for forced spirometry in white adults in Brazil. J Bras Pneumol. 2007;33(4):397-406.

16. Neder JA, Andreoni S, Peres C, Nery LE. Reference values for lung function tests. III. Carbon monoxide diffusing capacity (transfer factor). Braz J Med Biol Res. 1999;32(6):729-37.

17. Arroliga AC, Podell DN, Matthay RA. Pulmonary manifestations of scleroderma. J Thorac Imaging. 1992;7(2):30-45.

18. Chan TY, Hansell DM, Rubens MB, du Bois RM, Wells AU. Cryptogenic fibrosing alveolitis and the fibrosing alveolitis of systemic sclerosis: morphological differences on computed tomographic scans. Thorax. 1997;52(3):265-70.

19. Desai SR, Veeraraghavan S, Hansell DM, Nikolakopolou A, Goh NS, Nicholson AG, et al. CT features of lung disease in patients with systemic sclerosis: comparison with idiopathic pulmonary fibrosis and nonspecific interstitial pneumonia. Radiology. 2004;232(2):560-7.

20. Gasparetto EK, Pimenta R, Inoue C, Ono SE, Escuissato DL. Esclerose sistêmica progressiva: aspectos na tomografia computadorizada de alta resolução. Radiol Bras 2005;38(5):329-32.

21. Jezler SF, Santiago MB, Andrade TL, Araújo Neto C, Braga H, Cruz AA. Interstitial lung disease in patients with progressive systemic sclerosis. A study of 58 cases J Bras Pneumol. 2005;31(4):300-6.

22. Gilson M, Zerkak D, Wipff J, Dusser D, Dinh-Xuan AT, Abitbol V, et al. Prognostic factors for lung function in systemic sclerosis: prospective study of 105 cases. Eur Respir J. 2010;35(1):112-7.

23. Peters-Golden M, Wise RA, Hochberg MC, Stevens MB, Wigley FM. Carbon monoxide diffusing capacity as predictor of outcome in systemic sclerosis. Am J Med. 1984;77(6):1027-34.

24. Scheja A, Akesson A, Wollmer P, Wollheim FA. Early pulmonary disease in systemic sclerosis: a comparison between carbon monoxide transfer factor and static lung compliance. Ann Rheum Dis. 1993;52(10):725-9.

25. Parra ER, Otani LH, de Carvalho EF, Ab'Saber A, Capelozzi VL. Systemic sclerosis and idiopathic interstitial pneumonia: histomorphometric differences in lung biopsies. J Bras Pneumol. 2009;35(6):529-40.

26. Remy-Jardin M, Remy J, Wallaert B, Bataille D, Hatron PY. Pulmonary involvement in progressive systemic sclerosis: sequential evaluation with CT, pulmonary function tests, and bronchoalveolar lavage. Radiology. 1993;188(2):499-506.

27. Steen VD, Conte C, Owens GR, Medsger TA Jr. Severe restrictive lung disease in systemic sclerosis. Arthritis Rheum. 1994;37(9):1283-9.



* Study carried out at the Rio de Janeiro State University, Rio de Janeiro, Brazil.Correspondence to: Agnaldo José Lopes. Rua Araguaia, 1266, Bloco 1/405, Freguesia, Jacarepaguá, CEP 22745-271, Rio de Janeiro, RJ, Brasil.Tel 55 21 2576-2030. E-mail: phel.lop@uol.com.brFinancial support: None.Submitted: 17 August 2010. Accepted, after review: 6 December 2010.



About the authors

Agnaldo José Lopes
Adjunct Professor. Rio de Janeiro State University School of Medical Sciences. Adjunct Professor. Graduate Program in Rehabilitation Sciences, Augusto Motta University Center, Rio de Janeiro, Brazil.

Domenico Capone
Adjunct Professor. Rio de Janeiro State University School of Medical Sciences, Rio de Janeiro, Brazil.

Roberto Mogami
Adjunct Professor. Rio de Janeiro State University School of Medical Sciences, Rio de Janeiro, Brazil.

Sara Lucia Silveira de Menezes
Adjunct Professor. Graduate Program in Rehabilitation Sciences, Augusto Motta University Center. Adjunct Professor of Physical Therapy, Federal University of Rio de Janeiro, Rio de Janeiro, Brazil.

Fernando Silva Guimarães
Adjunct Professor. Graduate Program in Rehabilitation Sciences, Augusto Motta University Center. Adjunct Professor of Physical Therapy, Federal University of Rio de Janeiro, Rio de Janeiro, Brazil.

Roger Abramino Levy
Adjunct Professor. Rio de Janeiro State University School of Medical Sciences, Rio de Janeiro, Brazil.

Indexes

Development by:

© All rights reserved 2025 - Jornal Brasileiro de Pneumologia