Continuous and bimonthly publication
ISSN (on-line): 1806-3756

Licença Creative Commons
33009
Views
Back to summary
Open Access Peer-Reviewed
Case Report

Gastrobronchial fistula as a rare complication of gastroplasty for obesity. A report of two cases

Fístula gastrobrônquica como complicação rara de gastroplastia para obesidade. Relato de dois casos

Josemberg Marins Campos, Luciana Teixeira de Siqueira, Marconi Roberto de Lemos Meira, Álvaro Antônio Bandeira Ferraz, Edmundo Machado Ferraz, Murilo José de Barros Guimarães

ABSTRACT

Gastrobronchial fistula is a rare condition as a complication following bariatric surgery. The management of this condition requires the active participation of a pulmonologist, who should be familiar with aspects of the main types of bariatric surgery. Herein, we report the cases of two patients who presented recurrent subphrenic and lung abscess secondary to fistula at the angle of His for an average of 19.5 months. After relaparotomy was unsuccessful, cure was achieved by antibiotic therapy and, more importantly, by stenostomy and endoscopic dilatation, together with the use of clips and fibrin glue in the fistula. These pulmonary complications should not be treated in isolation without a gastrointestinal evaluation since this can result in worsening of the respiratory condition, thus making anesthetic management difficult during endoscopic procedures.

Keywords: Fistula; Lung abscess; Subphrenic abscess; Obesity, surgery; Endoscopy.

RESUMO

A fístula gastrobrônquica é uma condição rara como complicação decorrente de cirurgia da obesidade. O seu manejo exige a participação ativa de um pneumologista, o qual deve conhecer alguns aspectos dos principais tipos de cirurgia bariátrica. Neste relato, descrevemos dois casos de pacientes que apresentaram abscessos subfrênico e pulmonar recidivantes secundários a fístula no ângulo de His durante 19,5 meses, em média. Após o insucesso das relaparotomias, a cura foi obtida por meio da antibioticoterapia e, principalmente, por meio da estenostomia e da dilatação endoscópica, além do uso de clipes e cola de fibrina na fístula. Estas complicações pulmonares não devem ser tratadas isoladamente sem uma avaliação gastrintestinal pois isso pode resultar em piora do quadro respiratório, dificultando o manejo anestesiológico durante procedimentos endoscópicos.

Palavras-chave: Fístula; Abscesso pulmonar; Abscesso subfrênico; Obesidade, cirurgia; Endoscopia.

Introduction

Obesity, which is a chronic disease associated with comorbidities, should be controlled by physical exercise and changes in dietary habits, and surgical treatment is indicated when clinical measures are inefficient.(1)

There are various surgical techniques to control obesity. However, the procedure most often employed has been gastroplasty involving the Fobi-Capella technique. Recently, another technique, known as sleeve gastrectomy, has been applied. It involves partial vertical resection of the stomach, which is transformed into a tube in order to reduce its storage capacity.

Although the two surgical techniques present good results in terms of weight loss and control of comorbidities, both can lead to early postoperative complications, of which gastric fistula is one of the most severe due to the occurrence of abdominal sepsis and respiratory alterations, especially in the left lung, resulting from the common occurrence of subphrenic abscess.(2) These consequences for the respiratory system require the effective participation of a pulmonologist, who should be familiar with aspects of the main types of bariatric surgery, including postoperative complications.

Typically, the subphrenic infectious process causes gastrocutaneous fistula, pleural effusion, and respiratory infection.(3) However, there have been few reports of the occurrence of gastrobronchial fistula following bariatric surgery. Therefore, we report herein the satisfactory evolution of two patients with lung abscess secondary to fistula at the angle of His following gastroplasty.

Case report

Case 1
A 44-year-old male patient who underwent Fobi-Capella surgery by laparoscopy in order to control morbid obesity underwent a second operation 48 h later to relieve intestinal obstruction. Two months later, two endoscopic balloon dilatation sessions were carried out in order to correct stenosis of the gastrojejunal anastomosis. Subsequently, the patient presented projectile vomiting, productive cough, fever, and pain in the left thoracoabdominal region upon deep breathing, and a nodule of 7 cm in diameter was detected in the left lung base through computed tomography of the chest (Figure 1a). The patient presented clinical improvement after antibiotic therapy, respiratory therapy, and monitoring in the pulmonology department. However, there were two recurrences within an interval of three months, at which point a gastrobronchial fistula was diagnosed through X-ray (Figure 1b) and endoscopic (Figure 1c) imaging, which revealed an opening of 10 mm in diameter at the angle of His, through which it was possible to pass the endoscope until it reached a small subphrenic cavity where an internal opening of the fistulous pathway toward the bronchial tree could be seen. The attempt at correction via laparoscopy was unsuccessful, and the only procedure carried out was a gastrostomy (for the purpose of nutrition) in the excluded stomach. Using an electric scalpel, we performed endoscopic section of the gastric stenosis and of the septum located between the fistula and the gastric pouch, together with balloon dilatation (20 and 30-mm balloons; Boston Microvasive, Boston, MA, USA), and clips were used in order to close the fistula (Olympus Corp., Tokyo, Japan). Six months later, we observed an increase in the diameter of the gastric pouch, the disappearance of the abovementioned septum, and the definitive closure of the fistula, which resulted in the resolution of the lung abscess.





Case 2
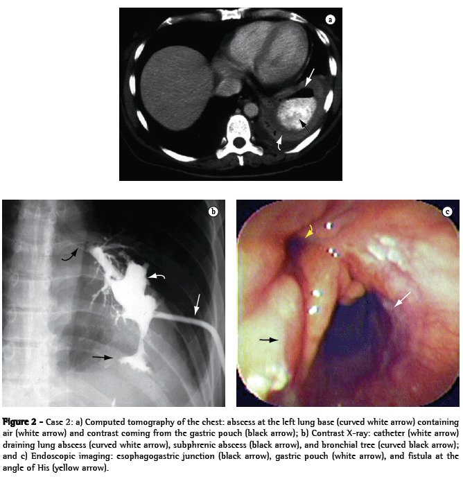
A 44-year-old female patient who underwent vertical banded gastroplasty (sleeve gastrectomy) by laparoscopy developed gastric fistula and presented five episodes of subphrenic abscess over an 8-month period. Her clinical symptoms began with pain in the left shoulder and worsened to include fever, cough, leukocytosis, worsening of overall health status, and excessive weight loss. The last two episodes were accompanied by cough with purulent expectoration, and computed tomography of the chest diagnosed an abscess at the left lung base (Figure 2a), secondary to subphrenic abscess at the angle of His, and gastric stenosis at the level of the band and the incisura angularis. The lung abscess resulting from the gastrobronchial fistula was drained through a catheter seen on a contrast X-ray (Figure 2b), and endoscopic imaging showed the internal opening of the fistula at the angle of His (Figure 2c).





The patient was monitored by a pulmonologist, an endoscopist, and a surgeon. She was treated with antibiotic therapy, respiratory therapy, and nutritional support provided through a nasogastric tube. In addition, the patient underwent exploratory laparoscopy for removal of the band, at which point a severe inflammatory obstruction was seen in the left subphrenic region and in the esophagogastric junction, making it impossible to gain surgical access to the fistula.

Therefore, we carried out six endoscopic stenostomy sessions using an electric scalpel and dilatation of the stenotic area, thereby allowing satisfactory food intake, nutritional recovery, and cicatrization of the lung abscess, after the permanent closure of the fistula.

Discussion

Gastric fistula following bariatric surgery occurs in 0.9 to 2.6% of the cases, reaching 8% in second operations, and is most often located at the level of the angle of His, probably as a result of ischemia at the apex of the lateral stapling.(1)

The fistula secretion moves to the subphrenic region and can cause abdominal sepsis, complications in the left lung, and gastrocutaneous fistula. Less frequently, drainage into the excluded stomach (gastrogastric fistulas) occurs.(3) Drainage into the bronchial fistula, and left lung abscess.(4) Certainly, bronchial tree (gastrobronchial fistula) has been this also occurred in our study. reported as a complication following trauma, esoph-The patients analyzed presented aspects in agogastric surgery (transhiatal esophagectomy due common, which facilitated the communication to neoplasias or megaesophagus), splenectomy, of secretion between the stomach and the respiand perforated gastric ulcer.(4,5) In these abdominal ratory system. Stenosis of the gastric pouch or of surgeries, there is the development of subphrenic the gastrojejunal anastomosis increased the presabscesses develop and cross the diaphragm via the sure and directed the food to the fistula at the lymphatic route, causing pleural effusion, gastro-angle of His, leading to the appearance of recurrent subphrenic infection, in the absence of an exit route to the skin, since the abdominal tube had already been removed.

These two patients belong to a group of 27 patients with gastric fistula treated endoscopically. The specific characteristic of the two cases was the recurrent character of the fistula for a prolonged period, the stenosis of the gastric pouch or of the gastrojejunal anastomosis, and the absence of a drainage route for the abdominal infection.

In conjunction with digestive endoscopy, imaging of the chest and imaging of the abdomen, bronchoscopy has been presented as a diagnostic and therapeutic method for cases of gastrobronchial fistula, especially following esophagectomy, and this facilitates the evaluation and adequate clearance of the airways.(4,5) In the present study, this procedure was not necessary given the rapid improvement of the respiratory condition after antibiotic therapy, discontinuation of the oral diet, and initiation of the diet provided through a gastrostomy or a nasogastric tube.

The classical treatment of digestive fistula includes nutritional support and surgical resection of the fistulous pathway, the latter being associated with considerable morbidity due to the intense inflammatory process in the upper abdomen, in addition to the risk of injury of the adjacent structures, and becoming a laborious procedure due to the frequent need to re-operate,(1) thereby leading to infection of the incision site and its consequences. Therefore, endoscopic treatment is a minimal invasive and efficient means of resolving gastric stenosis, which is considered the leading cause of perpetuation of the fistula, as demonstrated in this study.

In addition to the endoscopic treatment methods used in the study cited, the use of esophageal or tracheobronchial stent, which is applied in gastrobronchial fistula followingesophagectomy, has been implemented.(6) In the two patients analyzed, the use of a self-expanding plastic stent was not indicated due to the scarcity of available data on the subject at the time. Recently, we successfully used this method in two patients with gastric fistulas larger than 10 mm in diameter, since it has the advantage of reducing the number of endoscopy sessions, in addition to allowing early food intake, which is in accordance with the current literature.(7)

Considering the complexity of the obese patient and of the gastrobronchial infectious process, it is essential that a joint evaluation be carried out by specialists, including pulmonologists, surgeons, radiologists, and endoscopists.

The specific approach to pulmonary complications without the study of stenosis and gastric fistula delays the resolution of the subphrenic infection and results in worsening of the respiratory condition, thus making anesthetic management difficult during the performance of surgical and endoscopic procedures aimed at curing the fistula and the respiratory problems.

Therefore, in cases of persistent respiratory infection in the early or late postoperative period following bariatric surgery, a gastrointestinal evaluation by imaging and endoscopic examination should be promptly carried out with the aim of diagnosing and designing a plan for treating a possible fistula involving the operated stomach.

References

1. Rocha LCM, Lima Jr. GF. Papel da endoscopia na obesidade mórbida. In: Savasi-Rocha PR, Coelho LGV, Diniz MTC, Nunes TA, editores. Tópicos em Gastroenterologia - 13. Rio de Janeiro: Editora Medsi; 2003. p.53-75.

2. Merkle EM, Hallowell PT, Crouse C, Nakamoto DA, Stellato TA. Roux-en-Y gastric bypass for clinically severe obesity: normal appearance and spectrum of complications at imaging. Radiology. 2005;234(3):674-83.

3. Stanczyk M, Deveney CW, Traxler SA, McConnell DB, Jobe BA, O'Rourke RW. Gastro-gastric fistula in the era of divided Roux-en-Y gastric bypass: strategies for prevention, diagnosis and management. Obes Surg. 2006;16(3):359-64.

4. Jeganathan R, Pore N, Clements WD. Gastrobronchial fistula -a complication of splenectomy. Ulster Med J. 2004;73(2):126-8.

5. Purucker EA, Sudfeld S, Matern S. Gastrobronchial fistula after caustic injury due to lye ingestion. Endoscopy. 2003;35(3):252.

6. Bennie MJ, Sabharwal T, Dussek J, Adam A. Bronchogastric fistula successfully treated with the insertion of a covered bronchial stent. Eur Radiol. 2003;13(9):2222-25.

7. Maluf-Filho F, Moura EGH. Prótese plástica auto-expansível no tratamento da fístula complexa pós-cirurgia bariátrica. GED. 2005;24(4):203.
____________________________________________________________________________________

* Study carried out in the Department of General Surgery of the Universidade Federal de Pernambuco - UFPE, Federal University of Pernambuco - Hospital das Clínicas and in the Department and Clinical Surgery of the São José Memorial Hospital, Recife (PE) Brazil.
1. PhD in Surgery. Universidade Federal de Pernambuco - UFPE, Federal University of Pernambuco - Recife (PE) Brazil.
2. Professor of Basic Clinical Practice and Surgical Technique. Universidade Federal de Pernambuco - UFPE, Federal University of Pernambuco - Recife (PE) Brazil.
3. Masters in Surgery. Universidade Federal de Pernambuco - UFPE, Federal University of Pernambuco - Recife (PE) Brazil.
4. Adjunct Professor of Surgery. Universidade Federal de Pernambuco - UFPE, Federal University of Pernambuco - Recife (PE) Brazil.
5. Full Professor of Abdominal Surgery and Basic Surgical Technique. Universidade Federal de Pernambuco - UFPE, Federal University of Pernambuco - Recife (PE) Brazil.
6. Professor of Pulmonology at the School of Medical Sciences. Universidade Federal de Pernambuco - UFPE, Federal University of Pernambuco - Recife (PE) Brazil.
Correspondence to: Josemberg Marins Campos. Rua Joaquim Nabuco, 92, 1101, Graças, CEP 51011-000, Recife, PE, Brasil. Tel/Fax 55 81 3441-4460. E-mail: berg@elogica.com.br
Submitted: 20 March 2006. Accepted, after review: 8 August 2006.

Indexes

Development by:

© All rights reserved 2025 - Jornal Brasileiro de Pneumologia