Continuous and bimonthly publication
ISSN (on-line): 1806-3756

Licença Creative Commons
18457
Views
Back to summary
Open Access Peer-Reviewed
Letters to the Editor

Talc asbestosis and pulmonary tuberculosis in a patient exposed to the talc used in the production of soccer balls

Talcoasbestose e tuberculose pulmonar em paciente exposta a talco em confecção de bolas de futebol

Olívia Meira Dias, Mauro Canzian, Mário Terra-Filho, Ubiratan de Paula Santos

To the Editor:

Talc is a hydrated magnesium silicate used as a loading agent. Because of its lubricating properties, talc is used in the manufacture of various products, including ceramics, textiles, pharmaceuticals, cosmetics, paper, and rubber. Talc can be found in its pure form or in association with other minerals.(1) Each different combination provokes a distinct form of pulmonary disease.(2) We report the case of a patient who was exposed to talc in the work environment and presented with pleural plaques, which raised the suspicion that the talc had been contaminated with asbestos.

A 70-year-old female patient reported a 6-year history of progressive dyspnea and presented with dyspnea upon moderate exertion. She had been oxygen-dependent for 1 year. The patient occasionally had cough with expectoration. She reported no constitutional symptoms or other comorbidities, and she categorized herself as a nonsmoker. Her occupational history included having worked in the production of soccer balls between 1953 and 1961, using rubber bladders and talc as lubricant. Thirteen years prior, a surgical biopsy had been performed at another facility, in order to investigate the profile.

Physical examination revealed good general health; pulmonary auscultation revealed crackles at the lung bases; and SpO2 was 89% on room air. Initial simple spirometry findings were suggestive of moderate obstructive lung disease with a reduction in VC: FEV1 = 0.83 L (43% of predicted); FVC = 1.16 L (52% of predicted); and FEV1/FVC ratio = 0.72. Full pulmonary function testing showed normal TLC (3.61 L, 99% of predicted), increased RV (2.48 L, 144% of predicted), and a RV/TLC ratio of 0.69, demonstrating air trapping and a slight reduction in DLCO (64% of predicted).

A HRCT scan of the chest revealed areas of centrilobular emphysema, bilateral mosaic attenuation, and bronchiectasis in the right upper lobe, as well as in the middle and lower lobes, in which there were also centrilobular micronodules and areas with a tree-in-bud pattern, suggestive of an inflammatory/infectious process with bronchogenic dissemination. The mediastinal window showed bilateral pleural plaques, some of which were calcified (Figure 1).





Sputum culture was positive for Mycobacterium tuberculosis. The patient was started on specific treatment, and, at this writing, she was under outpatient follow-up treatment.

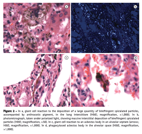
A review of the biopsy revealed chronic interstitial inflammatory lung disease, affecting predominantly the axial interstitium but also the alveolar spaces, with mononuclear cell infiltration around bronchioles and multiple foci of giant cell reaction. We found numerous spiculated particles that were birefringent under polarized light. Those particles were consistent with pneumoconiosis caused by inhalation of silicates. We also found foci of ferruginous bodies that had the appearance of asbestos bodies (Figure 2).




The working diagnosis of talc asbestosis was confirmed by the occupational history (which was consistent with the disease), the long latency period after exposure, and the CT findings (pleural plaques, reticular opacities in the lung bases, and emphysema), as well as the anatomical and pathological findings. Talcosis is caused by the inhalation of particles of talc that is not contaminated with other minerals. Radiographic findings include nodular/reticular opacities, predominantly in the lower lobes. Histological findings include foreign body granulomas with giant cells containing multiple crystals that are birefringent under polarized light. These granulomas cause inflammation of the alveolar walls and septa. They can cause restrictive lung disease, which occurs when interstitial involvement predominates, and obstructive lung disease, which occurs when airway involvement is more pronounced.(2)

Talcosilicosis is pneumoconiosis caused by the inhalation of talc with silica. The clinical, radiographic, and pathological manifestations of talcosilicosis are identical to those of silicosis.(2)

Talc asbestosis is caused by the inhalation of talc contaminated with asbestos fibers. Radiological findings include the presence of pleural plaques, predominantly in the lateral and basal segments, without any evidence of interstitial involvement. Micronodules with centrilobular/subpleural distribution, as well as reticular opacities, can occur, predominantly in the lower lobes, and coalesce (progressive massive fibrosis), the changes being similar to those found in asbestosis.(2-4)

Intravenous talc granulomatosis occurs when individuals abuse oral medications, such as psychotropic drugs (opioids), by administering them intravenously, together with the talc that those drugs contain. Because of the hematogenous dissemination of the talc particles, the granulomas present a peribronchovascular distribution and can coalesce, causing architectural distortion and formation of extensive areas of panlobular emphysema, predominantly in the lower lung fields, as well as ground-glass opacities throughout the lungs.(4)

The occupational activities that are most commonly related to talc exposure include talc mining, molding processes, and exposure to talc in its final form (i.e., powder), as occurs in the cosmetics industry and other industries.(5) In Brazil, few cases have been described, because the disease is underdiagnosed. Reports include talcosis among talc milling workers and talc asbestosis among soapstone handicraft workers in the state of Minas Gerais.(6,7)

There is no treatment for any of the types of talc pneumoconiosis. Because the radiographic changes progress even after the individual has been removed from the source of the exposure, treatment is supportive and, in extreme situations, consists of lung transplantation.

The College of American Pathologists classically defines the histological criteria for asbestosis as foci of fibrosis on the walls of the terminal bronchioles, associated with a finding of two or more asbestos bodies/cm2 of a 5-mm lung section.(8) However, the resolution of optical microscopy is not high enough to show the smallest particles, leading to an underestimation of the burden of asbestos in the tissue; a finding of ferruginous bodies does not necessarily imply exposure to asbestos, because other minerals, such as carbon, iron oxides, and talc itself can also form elongated bodies with iron deposition (pseudoasbestos bodies); and there are cases in which there is diffuse fibrosis and overlapping due to the inhalation of particles other than those of asbestos.(8)

In the case reported here, in contrast with the habitual histopathological features of airway diseases caused by the inhalation of particles of a single type (asbestos or silicates), we found massive inflammatory infiltration, with hyperplasia of the bronchus-associated lymphoid tissue. In addition, the region most affected was that surrounding the terminal bronchioles, whereas asbestosis and talcosis predominantly affect the most distal airways. These findings suggest that the inhalation of a mixture of particles causes structural changes in airways of greater diameter and provokes a different immune response pattern.(9) In cases in which asbestos bodies are not seen but the patient presents with a strong history of occupational exposure, tissue analysis by means of X-ray diffraction or scanning/transmission electron microscopy can aid in preventing false-negative diagnoses.(8,9)

Bronchiectasis and centrilobular opacities are attributable to tuberculosis. Mycobacterial infections, especially those caused by atypical mycobacteria, have been reported in patients with talcosis and have been attributed to phagocytic dysfunction in macrophages overloaded with inhaled particles.(10)

In conclusion, adequate occupational history taking can aid in the diagnosis of interstitial lung disease, especially when overlapping exposures result in unusual radiological and histological patterns. As in other types of pneumoconiosis, surveillance for mycobacterial infection is indicated in patients diagnosed with talc asbestosis.




Olívia Meira Dias
Resident,
Department of Pulmonology,
Heart Institute, University of São Paulo School of Medicine, São Paulo, Brazil

Mauro Canzian
Attending Physician,
Department of Anatomic Pathology, Heart Institute, University of São Paulo School of Medicine, São Paulo, Brazil

Mário Terra-Filho
Associate Professor,
Department of Pulmonology,
Heart Institute, University of São Paulo School of Medicine, São Paulo, Brazil

Ubiratan de Paula Santos
Attending Physician,
Department of Pulmonology,
Heart Institute, University of São Paulo School of Medicine, São Paulo, Brazil




References


1. Gibbs AE, Pooley FD, Griffiths DM, Mitha R, Craighead JE, Ruttner JR. Talc pneumoconiosis: a pathologic and mineralogic study. Hum Pathol. 1992;23(12):1344-54.

2. Feigin DS. Talc: understanding its manifestations in the chest. AJR Am J Roentgenol. 1986;146(2):295-301.

3. Chong S, Lee KS, Chung MJ, Han J, Kwon OJ, Kim TS. Pneumoconiosis: comparison of imaging and pathologic findings. Radiographics. 2006;26(1):59-77.

4. Ward S, Heyneman LE, Reittner P, Kazerooni EA, Godwin JD, Müller NL. Talcosis associated with IV abuse of oral medications: CT findings. AJR Am J Roentgenol. 2000;174(3):789-93.

5. Scancarello G, Romeo R, Sartorelli E. Respiratory disease as a result of talc inhalation. J Occup Environ Med. 1996;38(6):610-4.

6. Chibante AM, Padilha CP, Bethlen EP, Dias RM, Oliveira CA, Magarao SL. Pneumoconiose dos moedores de talco: estudo de sete casos. J Pneumol. 1990;16(2):57-61.

7. Bezerra OM, Dias EC, Galvão MA, Carneiro AP. Talc pneumoconiosis among soapstone handicraft workers in a rural area of Ouro Preto, Minas Gerais, Brazil [Article in Portuguese]. Cad Saude Publica. 2003;19(6):1751-9.

8. Roggli VL, Gibbs AR, Attanoos R, Churg A, Popper H, Cagle P, et al. Pathology of asbestosis- An update of the diagnostic criteria: Report of the asbestosis committee of the college of american pathologists and pulmonary pathology society. Arch Pathol Lab Med. 2010;134(3):462-80.

9. Travis WD. Occupational lung diseases and pneumoconioses. In: Travis WD, Colby TV, Koss MN, Rosado-de-Christenson ML, Müller NL, King TE, editors. Non-Neoplastic Disorders of the Lower Respiratory Tract. Washington, DC: American Registry of Pathology; 2002.

10. De Coster C, Verstraeten JM, Dumortier P, De Vuyst P. Atypical mycobacteriosis as a complication of talc pneumoconiosis. Eur Respir J. 1996;9(8):1757-9.

Indexes

Development by:

© All rights reserved 2025 - Jornal Brasileiro de Pneumologia