Continuous and bimonthly publication
ISSN (on-line): 1806-3756

Licença Creative Commons
15179
Views
Back to summary
Open Access Peer-Reviewed
Case Report

Primary tracheobronchial amyloidosis

Amiloidose traqueobrônquica primária

José Wellington Alves dos Santos, Ayrton Schneider Filho, Alessandra Bertolazzi, Gustavo Trindade Michel, Lauro Vinícius Schvarcz da Silva, Carlos Renato Melo, Vinícius Dallagasperina Pedro, Daniel Spilmann, Juliana Kaczmareck Figaro

ABSTRACT

Tracheobronchial amyloidosis is an uncommon localized form of amyloidosis, characterized by amyloid deposits restricted to the trachea, main bronchi and segmental bronchi. We present the case of a retired 67-year-old man with long-term progressive dyspnea, wheezing and chest pain. A diagnosis of tracheobronchial amyloidosis was made after the third fiberoptic bronchoscopy and histological confirmation through Congo red staining of tissue samples.

Keywords: Amiloidose/traquéia; Broncoscopia; Doenças da traquéia/diagnóstico.

RESUMO

A amiloidose traqueobrônquica é uma forma pouco comum de amiloidose localizada, caracterizada por depósitos amilóides limitados à traquéia, brônquios principais e brônquios segmentares. Nós apresentamos o caso de um homem aposentado de 67 anos com dispnéia progressiva de longa data, sibilância e dor torácica. O diagnóstico de amiloidose traqueobrônquica foi realizado após três fibrobroncoscopias e confirmação histopatológica com coloração vermelho congo.

Palavras-chave: Amiloidose/traquéia; Broncoscopia; Doenças da traquéia/diagnóstico.

Introduction

The amyloidoses constitute a group of diseases in which extracellular protein folding, or rather misfolding, plays a prominent role.(1) The disease can be hereditary or acquired and can be systemic or localized. Some patients are asymptomatic, whereas others exhibit a range of symptoms, and, in certain cases, the disorder can even be severe and life-threatening.(2) Tracheobronchial amyloidosis is an uncommon localized form of amyloidosis, characterized by amyloid deposits restricted to the trachea, main bronchi and segmental bronchi.(3,4)

Case report

A retired, hypertensive 67-year-old male, a former smoker and alcoholic, was referred to our facility with complaints of progressive dyspnea, wheezing and chest pain for the last 6 months. A chest X-ray obtained 8 years previously showed right hilar enlargement. He also had a long-standing history of episodic hemoptysis that ceased 10 years prior, together with a history of recurrent respiratory infections. Upon physical examination, he presented diminished breath sounds and slight crackles at the lung bases. A second chest X-ray revealed no changes in comparison with the first. The results of pulmonary function tests (spirometry and the six-minute walk test) and laboratory tests were within normal limits. A recent computed tomography scan of the chest showed partial stenosis of the intermediary and right main bronchi, together with laminar mucosal calcifications extending from the superior third of the trachea inferiorly to stenotic areas, as well as mediastinal lymphadenomegaly (Figure 1). An induced sputum sample tested negative for bacteria, acid-fast bacilli and fungi. Bronchoalveolar lavage revealed a nonspecific inflammatory process.



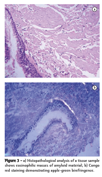
Fiberoptic bronchoscopy was performed three times during the diagnostic approach. All examinations revealed extrinsic compression of the right side of the trachea, nodular mucosal infiltrates distributed from the main carina to the right main and intermediary bronchus, as well as stenosis of the intermediary bronchus (Figure 2). Only during the third fiberoptic bronchoscopy was it possible to obtain a usable sample of the endobronchial infiltrates. Histopathological analysis of the tissue sample with Congo red staining demonstrated apple-green birefringence when viewed under polarized light (Figure 3). A diagnosis of amyloidosis was strongly suggested. Samples of periumbilical adipose tissue and bone marrow revealed no evidence of systemic disease. The results of urinalysis (for 24-h proteinuria and creatinuria) and protein profiles were within normal limits. An echocardiogram, an electrocardiogram and an abdominal ultrasound showed no abnormalities. A diagnosis of tracheobronchial amyloidosis was made. Six months later, the patient required only short-acting bronchodilators, presenting mild respiratory symptoms and normal lung function test results.





Discussion

Tracheobronchial amyloidosis is a rare disease resulting from abnormal submucosal protein deposition in the trachea and large bronchi.(1-7) It is a slowly progressive disease that requires ­histopathological evidence in order to confirm the diagnosis.(2,4,5) Tracheobronchial amyloidosis typically presents in patients between the fourth and fifth decades of life, accounting for 0.5% of symptomatic tracheobronchial lesions.(2,4)
Common presenting symptoms include chronic cough, dyspnea, wheezing, hemoptysis and recurrent pneumonia.(2-12) Cases of tracheobronchial amyloidosis simulating difficult-to-manage asthma have been reported.(12) Half of all patients present with a normal chest X-ray; the most common alterations are lobar atelectasis, bronchial calcifications, bronchiectasis and hilar adenopathy.(4,11) Computed tomography and fiberoptic bronchoscopy reveal bronchial wall thickening, irregular narrowing of the airway lumen and calcified nodules within the submucosa.(3,4,6) Computed tomography scans can suggest the diagnosis, but fiberoptic bronchoscopy allows better visualization of the lesions and has the advantage of allowing the collection of samples for histopathological analysis. In most cases, the diagnosis is reached only after sequential fiberoptic bronchoscopy examinations.

During the diagnostic approach, it is essential to consider neoplastic diseases, granulomatous disease, tracheobronchopathia osteochondroplastica and relapsing polychondritis.(8,9,13,14) The long-term clinical symptoms, together with the results of the imaging studies and fiberoptic bronchoscopy, narrow the diagnostic possibilities, tracheobronchopathia osteochondroplastica and relapsing polychondritis being the principal differential diagnoses.(8,13) In the case presented here, the histopathological diagnosis was not made until the third fiberoptic bronchoscopy, which reflects the low level of suspicion of tracheobronchial amyloidosis on the part of pathologists and the bronchoscopists. Although the recently developed therapeutic approach known as external beam radiation therapy might become a viable option,(15) we have had no experience with this intervention at our facility. The patient described here refused surgical intervention and was therefore treated with short-acting bronchodilators alone.

In conclusion, patients with tracheobronchial amyloidosis can present a wide variety of nonspecific symptoms and characteristic findings on imaging exams. The diagnosis is confirmed essentially through fiberoptic bronchoscopy, with appropriate (Congo red) staining of the bronchial tissue samples obtained.

References

1. Merlini G, Bellotti V. Molecular mechanisms of amyloidosis. N Engl J Med. 2003;349(6):583-96.

2. Tracheobronchial amyloidosis: a surgical disease with long-term consequences. J Thorac Cardiovasc Surg. 2004;128(5):789-92.

3. Georgiades CS, Neyman EG, Barish MA, Fishman EK. Amyloidosis: review and CT manifestations. Radiographics. 2004;24(2):405-16.

4. Berk JL, O'Regan A, Skinner M. Pulmonary and tracheobronchial amyloidosis. Semin Respir Crit Care Med. 2002;23(2):155-65.

5. Rubinow A, Celli BR, Cohen AS, Rigden BG, Brody JS. Localized amyloidosis of the lower respiratory tract. Am Rev Respir Dis. 1978,;118(3):603-11.

6. Capizzi SA, Betancourt E, Prakash UB. Tracheobronchial amyloidosis. Mayo Clin Proc. 2000;75(11):1148-52.

7. Gillmore JD, Hawkins PN. Amyloidosis and the respiratory tract. Thorax. 1999;54(5):444-51.

8. Prakash UB. Tracheobronchopathia osteochondroplastica. Semin Respir Crit Care Med. 2002;23(2):167-75.

9. Moura e Sá J, Almeida J, Amado J, Fernandes B, Caminha J, Ferraz JM. Traqueobroncopatia osteocondroplástica. Experiência de uma Unidade de Broncologia. Rev Port Pneuml. 2002;VIII:329-39

10. Gibbaoui H, Abouchacra S, Yaman M. A case of primary diffuse tracheobronchial amyloidosis. Ann Thorac Surg. 2004;77(5):1832-4.

11. Daniels JT, Cury JD, Diaz J. An unusual cause of postobstructive pneumonia. Chest. 2007;131(3):930-3.

12. Corrêa da Silva LM, Bellicanta J, Marques RD, Corrêa da Silva LC. Amiloidose traqueobrônquica. J Bras Pneumol 2004;30(6):581-4.

13. Ozbay B, Dilek FH, Yalçinkaya I, Gencer M. Relapsing polychondritis. Respiration. 1998;65(3):206-7.

14. Sarodia BD, Dasgupta A, Mehta AC. Management of airway manifestations of relapsing polychondritis: case reports and review of literature. Chest. 1999;116(6):1669-75.

15. Neben-Wittich MA, Foote RL, Kalra S. External beam radiation therapy for tracheobronchial amyloidosis. Chest. 2007;132(1):262-7.




Study carried out at the Hospital Universitário de Santa Maria - HUSM, Santa Maria University Hospital - Universidade Federal de Santa Maria - UFSM,
Federal University of Santa Maria - Santa Maria, Brasil.
1. Director of the Departmento de Residência Médica/Ministério da Educação -DEREM/MEC, Medical Residence Department/Ministry of Education - Brasília, Brazil.
2. Head Bronchoscopist in the Pulmonology Department of the Hospital Universitário de Santa Maria - HUSM, Santa Maria University Hospital - Universidade Federal de Santa Maria - UFSM, Federal University of Santa Maria - Santa Maria, Brasil.
3. Assistent Professor of Pulmonology at the Hospital Universitário de Santa Maria - HUSM, Santa Maria University Hospital - Universidade Federal de Santa Maria - UFSM, Federal University of Santa Maria - Santa Maria, Brasil.
4. Assistant Professor in the Pulmonology Department of the Hospital Universitário de Santa Maria - HUSM, Santa Maria University Hospital - Universidade Federal de Santa Maria - UFSM, Federal University of Santa Maria - Santa Maria, Brasil.
5. Resident in the Pulmonology Department of the Hospital Universitário de Santa Maria - HUSM, Santa Maria University Hospital - Universidade Federal de Santa Maria - UFSM, Federal University of Santa Maria - Santa Maria, Brasil.
6. Head of the Pathology Laboratory. Universidade Federal de Santa Maria - UFSM, Federal University of Santa Maria - Santa Maria, Brasil.
7. Medical Student. Universidade Federal de Santa Maria - UFSM, Federal University of Santa Maria - Santa Maria, Brasil.
Correspondence to: Vinícius Dallagasperina Pedro. Rua Benjamin Constant, 1257, apto. 302, CEP 970500-023, Bairro Centro, Santa Maria (RS) Brasil.
Tel 55 55 3025-7661. E-mail: incubop@hotmail.com
Financial support: None.
Submitted 26 November 2007. Accepted, after review, 18 February 2008.
**A versão completa em português deste artigo está disponível em www.jornaldepneumologia.com.br

Indexes

Development by:

© All rights reserved 2025 - Jornal Brasileiro de Pneumologia