Continuous and bimonthly publication
ISSN (on-line): 1806-3756

Licença Creative Commons
41011
Views
Back to summary
Open Access Peer-Reviewed
Case Report

Histoplasmose pulmonar cavitária crônica

Chronic cavitary pulmonary histoplasmosis

José Wellington Alves dos Santos, Gustavo Trindade Michel, Mônica Lazzarotto, Juliana Kaczmareck Figaro, Daniel Spilmann, Gustavo Köhler Homrich

ABSTRACT

Histoplasmosis is a systemic mycosis caused by the thermally dimorphic fungus Histoplasma capsulatum, which can be isolated from soil contaminated with droppings from birds or bats. Chronic cavitary pulmonary histoplasmosis is one of the rarest clinical presentations of this disease. The differential diagnosis with tuberculosis should be made in patients presenting with cavitated lesions in upper lung segments. We report the case of a female patient with chronic cavitary pulmonary histoplasmosis who had presented with progressive dyspnea and worsening of the radiological pattern over a four-year period.

Keywords: Histoplasmosis; Cavitation; Pulmonary emphysema.

RESUMO

A histoplasmose é uma micose sistêmica causada pelo fungo dimórfico térmico Histoplasma capsulatum, que pode ser isolado a partir de solo contaminado com excrementos de aves e morcegos. Dentre as apresentações clínicas dessa doença, a histoplasmose pulmonar cavitária crônica (HPCC) é uma manifestação rara. O diagnóstico diferencial com tuberculose deve ser realizado em pacientes que apresentam lesões cavitadas nos segmentos pulmonares superiores. É relatado um caso de uma paciente com HPCC que apresentou dispneia progressiva e piora do padrão radiológico em quatro anos de evolução da doença.

Palavras-chave: Histoplasmose; Cavitação; Enfisema pulmonar.

Introdução

A histoplasmose é uma micose sistêmica causada pelo fungo dimórfico térmico Histoplasma capsulatum isolado a partir de solos contaminados e ricos em fezes de aves e morcegos.(1,2) Similar a outras micoses sistêmicas, a exposição inicial é inalatória, sendo o acometimento pulmonar a forma predominante de apresentação da doença. Grandes surtos da doença foram relatados, mas a maioria das infecções é esporádica.(3) Dentre as manifestações clínicas, a histoplasmose pulmonar crônica é uma doença rara dos lobos superiores dos pulmões que pode apresentar-se sob a forma fibrocavitária.(4-7) Relatamos o caso de histoplasmose pulmonar cavitária crônica (HPCC) em uma paciente do sexo feminino.

Relato de caso

Paciente feminina, 69 anos, natural e procedente de São Sepé (RS), dona-de-casa, tabagista (30 anos-maço), submetida à tireoidectomia há 20 anos e portadora de artrite reumatoide há 14 anos. Não havia história epidemiológica clara quanto à possível exposição fúngica. Há 4 anos vinha apresentando dispneia progressiva, tosse produtiva, infecções respiratórias de repetição, inapetência, náuseas e perda de peso.

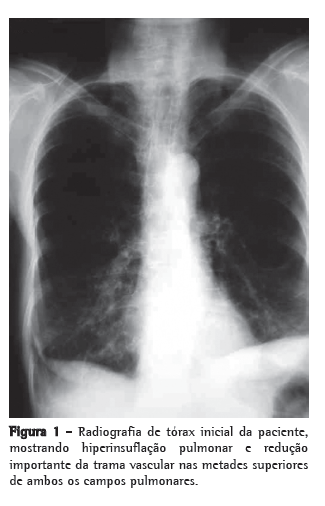
Encontrava-se em uso de levotiroxina, calcitriol e prednisona 15 mg/dia, mas já havia feito uso de metotrexato previamente. Ao exame físico, apresentava-se emagrecida (30 kg de peso e índice de massa corpórea de 14 kg/m2), sem linfonodomegalia cervical ou supraclavicular e sem baqueteamento digital. A ausculta pulmonar revelou apenas murmúrio vesicular reduzido difusamente. A radiografia de tórax no início do quadro, há 4 anos, mostrava hiperinsuflação pulmonar e redução importante da trama vascular nas metades superiores de ambos os campos pulmonares (Figura 1), e a TCAR realizada revelara enfisema parasseptal, cavidades e destruição do parênquima com predomínio nos lobos superiores (Figura 2). A gasometria arterial e o teste tuberculínico não revelaram anormalidades. A espirometria mostrou distúrbio ventilatório obstrutivo incipiente, sendo iniciado tratamento com formoterol. No último ano, com a piora dos sintomas, a paciente foi submetida à nova TCAR, que mostrou piora do padrão radiológico (Figura 3). A baciloscopia direta do escarro foi negativa para BAAR. O método Gomori-Grocott com prata metenamina evidenciou formas leveduriformes intracelulares, e as culturas das amostras de escarro e do lavado broncoalveolar em ágar dextrose Sabouraud revelaram a presença de Histoplasma capsulatum. Foi iniciado tratamento com itraconazol, 200 mg/dia.(8) A paciente encontra-se em acompanhamento ambulatorial com melhora sintomática e aumento de peso.











Discussão

A histoplasmose é uma doença sistêmica causada pelo fungo dimórfico térmico Histoplasma capsulatum, encontrado em sua forma filamentosa como macroconídios (8-15 µm) ou microconídios (2-4 µm) em solos de áreas endêmicas, como nos EUA, América Latina, Sudeste Asiático e África.(1,2,9) Em tecidos humanos, converte-se em leveduras unibrotantes ovais de 2-4 µm.(10) A infecção geralmente ocorre pela inalação dos microconídios dispersos pelo ar durante atividades laborais ou recreativas que envolvam solos contaminados com fezes de morcego ou de aves em prédios antigos, pontes ou cavernas.(4,10) No Brasil, pode ser encontrado em vários estados, como no Rio Grande do Sul, Rio de Janeiro, São Paulo, Minas Gerais e Mato Grosso.(2,11,12) O espectro clínico da doença varia entre infecção pulmonar aguda, infecção pulmonar crônica e forma disseminada, essa última acometendo, principalmente, pacientes imunocomprometidos. A infecção sintomática aguda por Histoplasma capsulatum é observada em menos de 1% dos infectados, visto que a maioria dos pacientes não apresenta sintomas, ou esses são de leve intensidade e acabam não sendo relacionados à histoplasmose.(10) Além disso, a doença costuma ter curso autolimitado.(4) Esses fatores contribuem para que a doença seja subdiagnosticada, o que pode levar à instituição de terapêutica empírica para tuberculose.

A HPCC é considerada uma doença ­fibrocavitária dos lobos superiores dos pulmões e está relacionada à exposição continuada ao agente, sendo a única infecção fúngica que parece ter predileção por pacientes com idade avançada.(5,7) Fato esse que pode ser justificado por uma associação estreita entre o enfisema pulmonar e o desenvolvimento dessa forma da doença.(2,10,13) Acomete preferencialmente homens caucasianos que já tenham tido a manifestação aguda e estejam expostos ao agente.(2) A manifestação em mulheres é rara.(4)

As manifestações sistêmicas são inespecíficas e incluem fadiga, febre, sudorese noturna, anorexia e perda ponderal. Fazem parte dos sintomas pulmonares a tosse produtiva e a dispneia, quadro semelhante ao desenvolvido na DPOC. A HPCC, quando não tratada, cursa com insuficiência respiratória progressiva devido à perda de volume pulmonar, podendo atingir uma taxa de mortalidade de 50% em cinco anos.(10)

O aspecto radiológico da lesão inicial ­caracteriza-se por infiltrado inflamatório intersticial localizado, adjacente às bolhas enfisematosas, e frequentemente acometendo os segmentos apicais e apicoposteriores dos lobos superiores.(2,5,6,10) É comum que haja espessamento das paredes das bolhas com subsequente necrose e aumento da fibrose levando à perda de volume pulmonar. Esse processo contínuo culmina na formação de cavidades grandes e persistentes que podem ocupar o espaço de todo um lobo.(10) A disseminação de material fúngico para porções pulmonares pendentes pode ser o mecanismo de desenvolvimento de fibrose intersticial nos lobos inferiores por criação de novos focos inflamatórios.(4,10) Adenopatias mediastinais não são observadas nessa forma clínica, o que diferencia a HPCC de outras doenças granulomatosas, como a sarcoidose.(4,14)

A HPCC, assim como a tuberculose pós-primária, pode apresentar-se com quadro de mal-estar, tosse e sudorese noturna, porém, com menor intensidade.(4) Dada a taxa de incidência de tuberculose em nosso país (43,78/100.000 habitantes em 2005), o percentual de teste terapêutico para Mycobacterium tuberculosis é alto e é estimado em 50%, o que retarda o reconhecimento e o pronto tratamento da HPCC.(2,15) Além da tuberculose, infecções por micobactérias não-tuberculosas, sarcoidose, coccidioidomicose, aspergilose, paracoccidioidomicose e carcinoma também devem figurar entre os diagnósticos diferenciais.(7,10)

O diagnóstico pode ser obtido através do isolamento do fungo no escarro ou em ­materiais obtidos por broncoscopia em 60-85% dos casos quando múltiplas amostras são obtidas. Esses espécimes devem ser corados pela técnica de Gomori-Grocott com prata metenamina.(2,16) A cultura em ágar dextrose Sabouraud é o padrão ouro para o diagnóstico etiológico, embora a sua positividade possa ser retardada em 2-4 semanas.(10,17) O teste de imunodifusão é apropriado para a triagem de pacientes, com sensibilidade de aproximadamente 100%, e tem maior relevância em áreas de baixa prevalência do fungo.(2) O teste cutâneo com histoplasmina pode ter resultado falso-negativo em pacientes com HPCC, não sendo adequado como teste de triagem.(17) O uso do antígeno urinário tem sido restrito, pois pode ser detectado em somente 10-20% desses pacientes.(10)

O tratamento de escolha para HPCC é itraconazol, 400-600 mg/dia, durante 1-2 anos.(8,10) Em casos graves que necessitem internação, pode-se optar pelo uso de anfotericina B.(2) No entanto, deve-se estar atento a possíveis recidivas, que podem ocorrer com ambos os antifúngicos em uma faixa de 9-15% dos casos.(10)

A HPCC é uma manifestação rara da histoplasmose que deve figurar no diagnóstico diferencial da tuberculose em pacientes que apresentam lesões cavitadas nos segmentos pulmonares superiores. Dessa forma, a pesquisa de fungos no exame de escarro através de coloração por Gomori-Grocott com prata metenamina e a cultura de espécimes em meios de cultivo adequados, assim como o teste de imunodifusão, devem ser incorporados à rotina de investigação diagnóstica.


Referências

1. Capone D, Wanke B, Monteiro PC, Lazéra MS, de Noronha Andrade G, do Valle AC, et al. Chronic pulmonary histoplasmosis in the State of Rio de Janeiro, Brazil. Mycopathologia. 1999;145(2):75-9.

2. Unis G, Severo LC. Chronic pulmonary histoplasmosis mimicking tuberculosis. J Bras Pneumol. 2005;31(4):318-24.

3. Wheat LJ, Wass J, Norton J, Kohler RB, French ML. Cavitary histoplasmosis occurring during two large urban outbreaks. Analysis of clinical, epidemiologic, roentgenographic, and laboratory features. Medicine (Baltimore). 198;63(4):201-9.

4. Gurney JW, Conces DJ. Pulmonary histoplasmosis. Radiology. 1996;199(2):297-306.

5. Chong S, Lee KS, Yi CA, Chung MJ, Kim TS, Han J. Pulmonary fungal infection: imaging findings in immunocompetent and immunocompromised patients. Eur J Radiol. 2006;59(3):371-83.

6. Severo LC, Rizzon CF, Roesch EW, Oliveira Fde M, Porto Nda S. Chronic pulmonary histoplasmosis in Brazil: report of two cases with cavitation diagnosed by transthoracic needle biopsy. Rev Inst Med Trop Sao Paulo. 1997;39(5):293-7.

7. McAdams HP, Rosado-de-Christenson ML, Lesar M, Templeton PA, Moran CA. Thoracic mycoses from endemic fungi: radiologic-pathologic correlation. Radiographics. 1995;15(2):255-70.

8. Wheat LJ, Freifeld AG, Kleiman MB, Baddley JW, McKinsey DS, Loyd JE, et al. Clinical practice guidelines for the management of patients with histoplasmosis: 2007 update by the Infectious Diseases Society of America. Clin Infect Dis. 2007;45(7):807-25.

9. Pometta R, Trovato C, Viviani MA, Masini T, Conte D. Chronic pulmonary histoplasmosis in a patient with a recent history of tuberculosis and persistent round lung lesions. Eur J Clin Microbiol Infect Dis. 1999;18(3):229-31.

10. Kauffman CA. Histoplasmosis: a clinical and laboratory update. Clin Microbiol Rev. 2007;20(1):115-32.

11. Severo LC, Oliveira FM, Irion K, Porto NS, Londero AT. Histoplasmosis in Rio Grande do Sul, Brazil: a 21-year experience. Rev Inst Med Trop Sao Paulo. 2001;43(4):183-7.

12. Ferreira MS, Borges AS. Histoplasmosis [Article in Portuguese]. Rev Soc Bras Med Trop. 2009;42(2):192-8.

13. García-Marrón M, García-García JM, Pajín-Collada M, Alvarez-Navascués F, Martínez-Muñiz MA, Sánchez-Antuña AA. Chronic pulmonary histoplasmosis diagnosed in a nonimmunosuppressed patient 10 years after returning from an endemic area [Article in Spanish]. Arch Bronconeumol. 2008;44(10):567-70.

14. Kurowski R, Ostapchuk M. Overview of histoplasmosis. Am Fam Physician. 2002;66(12):2247-52.

15. DATASUS [homepage on the Internet]. Brasília: Ministério da Saúde. [cited 2009 Apr 24]. Available from: http://www.datasus.gov.br

16. Leimann BC, Pizzini CV, Muniz MM, Albuquerque PC, Monteiro PC, Reis RS, et al. Histoplasmosis in a Brazilian center: clinical forms and laboratory tests. Rev Iberoam Micol. 2005;22(3):141-6.

17. Santos JW, Neves KR, Machado FP, Schaich F, Gazzoni MF, Dalcin TC, et al. Pitfalls in diagnosis of pulmonary histoplasmosis. Resp Med Extra. 2007;3(1):9-13.




Trabalho realizado no Serviço de Pneumologia, Hospital Universitário de Santa Maria, Universidade Federal de Santa Maria, Santa Maria (RS) Brasil.
Endereço para correspondência: José Wellington Alves dos Santos. Rua Venâncio Aires 2020/403, Centro, CEP 97010-004, Santa Maria, RS, Brasil.
Tel 55 55 220-8585. E-mail: jwasb@terra.com.br
Apoio financeiro: Nenhum.
Recebido para publicação em 24/4/2009. Aprovado, após revisão, em 8/9/2009.





Sobre os autores

José Wellington Alves dos Santos
Diretor do Serviço de Pneumologia. Hospital Universitário de Santa Maria, Universidade Federal de Santa Maria, Santa Maria (RS) Brasil.

Gustavo Trindade Michel
Professor Adjunto. Hospital Universitário de Santa Maria, Universidade Federal de Santa Maria, Santa Maria (RS) Brasil.

Mônica Lazzarotto
Médica Residente de Pneumologia. Serviço de Pneumologia, Hospital Universitário de Santa Maria, Universidade Federal de Santa Maria, Santa
Maria (RS) Brasil.

Juliana Kaczmareck Figaro
Acadêmica de Medicina. Universidade Federal de Santa Maria, Santa
Maria (RS) Brasil.

Daniel Spilmann
Acadêmico de Medicina. Universidade Federal de Santa Maria, Santa Maria (RS) Brasil.

Gustavo Köhler Homrich
Acadêmico de Medicina. Universidade Federal de Santa Maria, Santa Maria (RS) Brasil.

Indexes

Development by:

© All rights reserved 2025 - Jornal Brasileiro de Pneumologia