Continuous and bimonthly publication
ISSN (on-line): 1806-3756

Licença Creative Commons
24710
Views
Back to summary
Open Access Peer-Reviewed
Case Report

Doença de Rosai-Dorfman de partes moles no mediastino posterior

inflamSoft tissue Rosai-Dorfman disease of the posterior mediastinum

Antônio Luiz Penna Costa, Natália Oliveira e Silva, Marina Pamponet Motta, Rodrigo Abensur Athanazio, Daniel Abensur Athanazio, Paulo Roberto Fontes Athanazi

ABSTRACT

Rosai-Dorfman disease (RDD) consists of sinus histiocytosis with massive lymphadenopathy. Extranodal involvement occurs in up to 43% of cases. However, isolated soft tissue RDD is rare. Isolated mediastinal RDD is exceedingly rare, and there have been only three previous reports. Involvement of the posterior mediastinum in RDD has been reported only in the context of disseminated RDD. Here, we report the case of a 49-year-old female patient with a two-year history of cervical pain and lymphadenomegaly, which resolved spontaneously. A CT scan revealed a left paravertebral mass with a diameter of 6 cm. The patient was submitted to surgical excision of the mass. Microscopic examination and immunophenotyping of the surgical specimen led to a diagnosis of RDD. During a 12-month follow-up period, the patient complained of mild cough and chest pain. Periodic imaging tests showed no sign of recurrence, and no postoperative cervical lymphadenomegaly was detected.

Keywords: Histiocytosis, sinus; Soft tissue neoplasms; Mediastinal neoplasms; Mediastinum.

RESUMO

A doença de Rosai-Dorfman (DRD) consiste em histiocitose sinusal com linfadenopatia maciça. O envolvimento extranodal ocorre em até 43% dos casos. Entretanto, a DRD de partes moles de forma isolada é rara. A forma isolada de DRD mediastinal é muito rara, com apenas três relatos prévios. O envolvimento do mediastino posterior só foi descrito no contexto da DRD disseminada. Relatamos o caso de uma paciente de 49 anos de idade com história de dor e linfadenomegalia cervical há dois anos, com resolução espontânea. A TC revelou uma massa paravertebral à esquerda medindo 6 cm de diâmetro. A paciente foi submetida à ressecção cirúrgica da massa. O exame microscópico e estudo do imunofenótipo da peça cirúrgica definiram o diagnóstico de DRD. A paciente foi acompanhada por 12 meses, queixando-se de tosse discreta e dor torácica. O acompanhamento por imagem não detectou recorrência, e nenhuma linfadenomegalia cervical foi observada após a cirurgia.

Palavras-chave: Histiocitose sinus; Neoplasias de tecidos moles; Neoplasias do mediastino; Mediastino.

Introdução

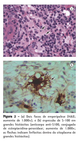
A doença de Rosai-Dorfman (DRD), ou histiocitose sinusal com linfadenopatia maciça, caracteriza-se por linfadenomegalia bilateral indolor maciça que geralmente envolve cadeias linfonodais da cabeça e pescoço. A apresentação típica inclui febre, leucocitose, velocidade de hemossedimentação elevada e hipergamaglobulinemia policlonal. A maioria dos casos ocorre nas duas primeiras décadas de vida, embora qualquer faixa etária possa ser afetada. O perfil morfológico clássico é de um infiltrado inflamatório rico em linfócitos, células plasmáticas e grandes histiócitos, estes últimos apresentando emperipolese ocasional, que é característica da doença.(1) A emperipolese é definida como a penetração ativa de uma célula dentro e através de uma célula maior, a qual, no caso da DRD, se manifesta como linfócitos maduros dentro do
citoplasma de grandes histiócitos.

O envolvimento extranodal na DRD tem sido relatado em uma grande variedade de órgãos, sendo a pele e os seios nasais os órgãos geralmente mais afetados. No maior estudo sobre DRD, 182 (43%) dos 423 pacientes avaliados apresentavam doença extranodal, enquanto apenas 13 (3%) apresentavam o perfil morfológico típico de DRD de partes moles sem linfadenopatia detectável.(2) A forma nodal da doença é classificada como um distúrbio inflamatório/hiperplásico que geralmente sofre regressão espontânea, enquanto a história natural da DRD extranodal está associada ao crescimento ­indolente e recidiva após anos ou décadas. Portanto, a DRD de partes moles tem sido reconhecida como uma entidade clínico-patológica distinta.(2,3) A forma isolada de DRD mediastinal é extremamente rara, e existem apenas três relatórios anteriores que foram interpretados como se segue: linfadenopatia hilar bilateral(1); envolvimento primário do timo(4); e doença extranodal no mediastino anterior.(5) O envolvimento do mediastino posterior na DRD só foi descrito no contexto da DRD disseminada.(6)

Relato de caso

Uma paciente de 49 anos de idade, fumante inveterada por 30 anos (30 anos-maço) com tosse crônica, buscou atendimento médico, apresentando dispneia e dor torácica há 2 anos. Ela era HIV negativa. Seu histórico médico incluía tratamento de TB pulmonar (4 anos antes) e pneumonia recorrente (4 episódios nos últimos 4 anos), bem como dor no pescoço e linfoadenomegalia (2 anos antes, com resolução espontânea). A TC, sem o realce de contraste, revelou uma massa paravertebral à esquerda (diâmetro, 6,0 cm), localizada no mediastino posterior (Figura 1), e mostrou que os pulmões estavam limpos. A lesão estava em extrema contiguidade à aorta descendente e estruturas ósseas, com sinais de crescimento invasivo. A paciente foi submetida à ressecção cirúrgica da massa. As peças cirúrgicas incluíram um fragmento amarelado de 5,0 cm e um nódulo branco de 1,5 cm (identificado como um linfonodo para-aórtico), juntamente com linfonodos do hilo esquerdo e ligamento pulmonar. Microscopicamente, o fragmento maior e o linfonodo para-aórtico exibiam tecido fibroso e adiposo, juntamente com infiltrado inflamatório crônico no qual havia a predominância de linfócitos e células plasmáticas maduras. Grandes histiócitos com pálido citoplasma foram achados comuns, bem como áreas esparsas de agregação e imagens sugestivas de emperipolese (Figura 2a). Estes achados iniciais sugeriam um diagnóstico de DRD, e foi recomendada a confirmação por imuno-histoquímica. Os procedimentos imuno-histoquímicos foram realizados em um laboratório de referência e confirmaram este diagnóstico, com base na análise dos grandes histiócitos, nos quais observamos a expressão de S-100 (Figura 2b) e CD68, embora não tenha sido detectada reatividade para CD1a. Cadeias kappa e lambda estavam expressas em células plasmáticas, enquanto CD20 e CD3 estavam expressas em linfócitos maduros. Não havia tecido linfóide residual no fragmento maior ou no nódulo para-aórtico. Os linfonodos ressecados do hilo esquerdo e ligamento pulmonar não foram afetados. Nenhum tratamento adicional foi administrado após a cirurgia. A paciente foi acompanhada por 12 meses, queixando-se de tosse discreta e dor torácica. O acompanhamento por imagem não detectou recorrência, e nenhuma linfadenomegalia cervical foi observada após a cirurgia. Os testes de função pulmonar (espirometria) realizados à época do diagnóstico do tumor e seis meses após a remoção do tumor revelaram um padrão levemente restritivo.








Discussão

A forma isolada de DRD extranodal de partes moles é rara. No maior estudo sobre DRD, 13 (3%) dos 423 pacientes apresentaram DRD de partes moles sem envolvimento detectável de linfonodo.(2) Um estudo retrospectivo realizado pelo Instituto de Patologia das Forças Armadas dos Estados Unidos descreveu 17 casos de DRD de partes moles, 13 dos quais não apresentavam linfadenopatia.(3) A apresentação clínica e patológica típica é de uma massa não-tenra de crescimento lento, indolor, na qual os achados histológicos podem ser menos específicos que aqueles obtidos para os linfonodos correspondentes. Histiócitos fusiformes, um vago padrão estoriforme, depósitos de fibras finas de colágeno e emperipolese inconspícua foram todos relatados em DRD de partes moles.(2,3) O diagnóstico de DRD se baseia na coloração de rotina, embora a imuno-histoquímica possa ser útil em perfis morfológicos menos específicos. A reatividade à proteína S-100 e marcadores histiocitários/lisossomais (CD68, lisozima, alfa-1 antitripsina e alfa-1 antiquimotripsina) são traços comuns mas não são requisitos para a confirmação diagnóstica.(3) No presente relatório, descrevemos o caso de uma paciente de 49 anos de idade com DRD de partes moles no mediastino posterior, sem doença linfonodal ou envolvimento de qualquer outro órgão.

Com relação a seu comportamento natural, a DRD de partes moles tem sido descrita como um processo de crescimento lento.(2,7) A recidiva é comum na DRD de partes moles sem envolvimento de linfonodos, como foi exemplificado no estudo no qual 7 (54%) dos 13 pacientes apresentaram recidiva do tumor após a excisão local.(3) Quando possível, a excisão deve ser realizada com amplas margens cirúrgicas,(2,3) já que a utilidade da quimioterapia não ficou comprovada.(3,8) Nossa paciente foi submetida a uma intervenção cirúrgica diagnóstica na qual a excisão foi feita com margens estendidas. Não foi dado início a nenhum tratamento adicional, e a paciente permaneceu livre de doença nos 12 meses seguintes.

O histórico da paciente de um episódio de dor cervical e linfoadenomegalia 12 meses antes da identificação da massa mediastinal posterior, juntamente com o fato de que a dor cervical e linfoadenomegalia tiveram resolução espontânea, sugeriu DRD nodal típica. Não foi realizada biópsia ou outra investigação específica. Portanto, pode-se especular que a DRD de partes moles de forma isolada no presente caso representou envolvimento residual de uma condição mais típica. Na verdade, o linfonodo para-aórtico afetado pela DRD sugeriu envolvimento de linfonodo residual. Esta apresentação da doença (remissão parcial, permanecendo como uma massa solitária de tecido mole) não foi relatada anteriormente. Entretanto, é possível que muitos casos de DRD de partes moles envolveram episódios anteriores de linfadenopatia cervical leve de auto-resolução que não foram relatados nos históricos clínicos.

Tumores de mediastino posterior compreendem um amplo espectro de condições raras, as mais comuns das quais são os linfomas e tumores neurogênicos.(9) O linfoma de Hodgkin é o linfoma mais comum que afeta o mediastino. Os tumores neurogênicos se distribuem em duas categorias principais: neoplasmas do sistema nervoso simpático (neuroblastomas, ganglioneuroblastomas e ganglioneuromas); e tumores da bainha dos nervos periféricos (schwannomas, neurofibromas e tumores malignos da bainha dos nervos periféricos).(10)

Histologicamente, a DRD e linfoma de Hodgkin podem apresentar certos traços sobrepostos, este último apresentando, ocasionalmente, uma aparência inflamatória e grandes células neoplásicas semelhantes a grandes histiócitos. No entanto, as duas entidades podem ser facilmente distintas através de exame cuidadoso do infiltrado, identificação de imagens inequívocas de emperipolese na DRD, identificação de células neoplásicas de Reed-Stenberg no linfoma de Hodgkin e
imunofenotipagem.

Os exames iniciais de uma massa mediastinal suspeita envolvem radiografias de tórax em posição ântero-posterior e lateral, as quais podem fornecer informações relativas ao tamanho, localização anatômica e densidade da massa. Além disso, as TCs podem caracterizar mais profundamente as massas mediastinais e sua relação com as estruturas ao seu redor, bem como identificar as estruturas císticas, vasculares e das partes moles. Outros métodos, incluindo a fluoroscopia, deglutição do bário, angiografia, angiografia por TC e reconstrução tridimensional podem fornecer informações adicionais. A ressonância magnética também é valiosa quando é necessário investigar a invasão de grandes vasos ou o envolvimento cardíaco. Métodos mais recentes também podem ser utilizados para melhor investigar as massas do mediastino posterior. O ultrasom endoscópico e ultrasom endobrônquico são procedimentos seguros que podem permitir a análise do relacionamento entre o tumor e as principais estruturas ao redor, bem como facilitar a biópsia.(9,11)

O presente caso realça a importância de se incluir a DRD extranodal no diagnóstico diferencial de lesões de partes moles inflamatórias e fibrohistiocíticas. Este é o primeiro relato de DRD de partes moles no mediastino posterior.

Referências

1. Rosai J. Lymph nodes. In: Rosai J, Ackerman LV, editors. Rosai and Ackerman´s Surgical Pathology. New York: Mosby; 2004. p. 1911-13.

2. Foucar E, Rosai J, Dorfman R. Sinus histiocytosis with massive lymphadenopathy (Rosai-Dorfman disease): review of the entity. Semin Diagn Pathol. 1990;7(1):19-73.

3. Montgomery EA, Meis JM, Frizzera G. Rosai-Dorfman disease of soft tissue. Am J Surg Pathol. 1992;16(2):122-9.

4. Lim R, Wittram C, Ferry JA, Shepard JA. FDG PET of Rosai-Dorfman disease of the thymus. AJR Am J Roentgenol. 2004;182(2):514.

5. Choe JW, Oh TY, Cho EY, Chang WH. Extranodal Rosai-Dorfman Disease in Mediastinum: A Case Report. Korean J Thorac Cardiovasc Surg. 2002;35(10):768-72.

6. Friedman MJ, Rossoff LJ, Aftalion B, Khan A, Decker R, Steinberg H. Sinus histiocytosis presenting as a mediastinal mass. Chest. 1984;86(2):266-7.

7. Veinot JP, Eidus L, Jabi M. Soft tissue Rosai Dorfman disease mimicking inflammatory pseudotumor: a diagnostic pitfall. Pathology. 1998;30(1):14-6.

8. Zannolli R, Acquaviva A, Polito E, Galluzzi P, Ferrari F, Leoncini L, et al. Pathological case of the month. Multifocal Rosai-Dorfman disease of soft tissue. Arch Pediatr Adolesc Med. 1999;153(11):1199-200.

9. Strollo DC, Rosado-de-Christenson ML, Jett JR. Primary mediastinal tumors: part II. Tumors of the middle and posterior mediastinum. Chest. 1997;112(5):1344-57.

10. Rosai J. Mediastinum. In: Rosai J, Ackerman LV, editors. Rosai and Ackerman´s Surgical Pathology. New York: Mosby; 2004. p. 459-513.

11. Duwe BV, Sterman DH, Musani AI. Tumors of the mediastinum. Chest. 2005;128(4):2893-909.



Sobre os autores

Antônio Luiz Penna Costa
Cirurgião Torácico. Hospital Espanhol, Universidade Federal da Bahia, Salvador (BA) Brasil.

Natália Oliveira e Silva
Acadêmica de Medicina. Escola Bahiana de Medicina e Saúde Pública, Salvador (BA) Brasil.

Marina Pamponet Motta
Acadêmica de Medicina. Escola Bahiana de Medicina e Saúde Pública, Salvador (BA) Brasil.

Rodrigo Abensur Athanazio
Médico Residente em Pneumologia. Hospital das Clínicas da Faculdade de Medicina da Universidade de São Paulo, São Paulo (SP) Brasil.

Daniel Abensur Athanazio
Professor Assistente de Patologia Humana. Universidade Federal da Bahia, Salvador (BA) Brasil.

Paulo Roberto Fontes Athanazio
Professor Adjunto. Departamento de Anatomia Patológica e Medicina, Universidade Federal da Bahia, Salvador (BA) Brasil.




Trabalho realizado no Hospital Espanhol, Universidade Federal da Bahia, Salvador (BA) Brasil.
Endereço para correspondência: Daniel Abensur Athanazio. Departamento de Biointeração, ICS-UFBA, Av. Reitor Miguel Calmon, s/n, Campus do Canela, CEP 40110-100, Salvador, BA, Brasil.
Tel 55 71 3245-8602. Fax 55 71 3240-4194. E-mail: daa@ufba.br ou daniel_fiocruz@hotmail.com
Apoio financeiro: Nenhum.
Recebido para publicação em 13/10/2008. Aprovado, após revisão, em 29/12/2008.

Indexes

Development by:

© All rights reserved 2025 - Jornal Brasileiro de Pneumologia