Continuous and bimonthly publication
ISSN (on-line): 1806-3756

Licença Creative Commons
14082
Views
Back to summary
Open Access Peer-Reviewed
Case Report

Exogenous lipoid pneumonia: importance of clinical history to the diagnosis

Pneumonia lipóide exógena: importância da história clínica no diagnóstico

Alfredo Pereira Leite de Albuquerque Filho

ABSTRACT

Lipoid pneumonia is a rare disease resulting from the micro-aspiration of lipid formulations. Making a diagnosis of lipoid pneumonia requires a high degree of clinical suspicion. Herein, we report the case of a female patient with a history of breast cancer, presenting progressive dyspnea and cough, together with radiological findings of bilateral pulmonary infiltrate. The working diagnosis of lymphangitic carcinomatosis, for which chemotherapy would be indicated, was called into question based on the high-resolution computed tomography findings and on the fact that the patient had a history of chronic ingestion of laxatives containing mineral oil. A lung biopsy confirmed a diagnosis of lipoid pneumonia, which should always be considered in patients with diffuse lung disease having been exposed to potential causative agents.

Keywords: Pneumonia, lipid; Tomography, X-Ray Computed; Mineral oil; Case Reports [Publication type]

RESUMO

A pneumonia lipóide é uma doença rara, resultante da microaspiração de formulações lipídicas. Para seu diagnóstico, o grau de suspeição clínica deve ser elevado. Relata-se o caso de uma mulher com passado de câncer de mama, apresentando dispnéia e tosse progressivas e infiltrado pulmonar bilateral na radiografia. A suspeita de linfangite carcinomatosa com indicação de quimioterapia foi questionada por achados não usuais na tomografia computadorizada de alta resolução e história de ingestão crônica de laxantes contendo óleo mineral. A biópsia pulmonar confirmou pneumonia lipóide, que deve ser considerada em pacientes com pneumopatia difusa e exposição a potenciais agentes causadores.

Palavras-chave: Pneumonia lipóide; Tomografia computadorizada por raios x; Óleo mineral; Relatos de Casos

INTRODUCTION

Lipoid pneumonia is an uncommon condition. In its chronic form, it results from prolonged micro-aspiration of lipid emulsions.(1) Its clinical and radiological presentation is generally nonspecific, which highlights the importance of taking a detailed history of suspected exposures so that a diagnosis can be made. We report the case of a patient with chronic exogenous lipoid pneumonia.

CASE REPORT

A 77-year-old female homemaker had been diagnosed with breast adenocarcinoma seven years ago and was submitted to mastectomy and radiotherapy at the time. The patient remained clinically healthy for approximately five years and received regular follow-up treatment by an oncologist without any evidence of recurrence of the disease. Two years prior to the current event, she began to present discrete dyspnea, which had worsened over the preceding three months with the appearance of dry cough. She lost approximately 12 kg in the preceding three months.
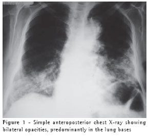
Imaging studies were carried out (Figures 1 and 2). The patient history included antireflux surgery for gastroesophageal reflux disease twelve years prior, in addition to a long history of intestinal constipation. She was an inveterate user of laxatives. She had been a two-pack-a-day smoker for 50 years, having quit smoking four months prior to seeking treatment. She had kept two canaries in her house for the last ten years.









Upon physical examination, the patient presented dyspnea (+4+) at rest without cyanosis or digital clubbing. Chest auscultation revealed rales in the pulmonary bases. The cardiovascular examination was normal. The left breast was absent. The spirometry showed restrictive ventilatory defect with forced expiratory volume in one second at 55% of predicted and forced vital capacity at 47% of predicted. The patient was scheduled to undergo chemotherapy based on the suspicion of breast cancer recurrence in the form of lymphangitic carcinomatosis. The high-resolution computed tomography scan showed bilateral thickening of the interstice in the apical areas (clinical profile compatible with lymphangitis). Therefore, the extensive areas of gound-glass density, interspersed with the aforementioned interstitial thickening in a mosaic pattern of attenuation, which is not usually described for that condition, called attention to the lower lobes.

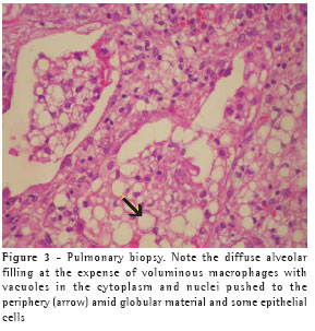
In view of the history of prolonged ingestion of various types of laxatives, some of which contain mineral oil, the suspicion of chronic lipoid pneumonia was raised. The patient was submitted to an open lung biopsy that confirmed this diagnosis (Figure 3). The use of mineral oil-based laxatives was suspended. After four months, there was no appreciable clinical or radiological improvement.





DISCUSSION

Lipoid pneumonia is a rare disease resulting from the micro-aspiration of lipid emuslions.(1) The most common chronic form of the disease is caused by the prolonged ingestion of mineral oil-based laxatives for the treatment of intestinal constipation. Less common exposures include the application of mineral oil in the nasal cavities or on the face, as well as the repeated use of eye drops that contain mineral oil. The elderly and individuals with gastroesophageal reflux disease, as well as those who have achalasia or difficulties in deglutition, are at greater risk.(1-2) It is worthy of note that the patient had a long history of gastroesophageal reflux disease and had been submitted to fundoplication for its treatment. The persistence of aspiration after fundoplication might have been caused by the failure of that procedure, as described in 5 of 39 patients evaluated in one study.(3) Cases of acute lipoid pneumonia can result from the accidental aspiration of hydrocarbon mixtures, as occurs in fire eaters.(4)
The clinical profile of the chronic form of the disease is characterized by the insidious evolution of dyspnea and cough.

Simple X-rays show basal opacities, diffuse opacities or, occasionally, a solitary low-density mass known as paraffinoma.(5) High-resolution computed tomography scans reveal consolidation with low attenuation, ground-glass opacity or a mosaic pattern of attenuation,(1,5-8) as was reported in the present case.

The diagnosis is suggested by the detailed clinical history and was preferentially confirmed by the finding of free lipids or lipids in the alveolar cell vacuoles in the bronchoalveolar lavage. If this is not confirmed, transbronchial or surgical biopsy becomes necessary. In the present case, bearing in mind the differential diagnosis for lymphangitic carcinomatosis and the resulting therapeutic implications, we opted for surgical biopsy involving more than one lung lobe. Occasionally, the disease is diagnosed when a pulmonary biopsy is performed for the diagnosis of community-acquired pneumonia that is refractory to antibiotic therapy.(9-10)

Treatment consists of suspending exposure to the oily agent. Treatment with corticosteroids does not seem to be beneficial. The prognosis is difficult to predict, but seems to be worse among the elderly. Frequently, there is no clinical improvement ater the suspension of the offensive agent.(1,6) Individuals with lipoid pneumonia can suffer recurrent episodes of pneumonia or superinfection with atypical microbacteria or Aspergillus spp.(11) Cases of superinfection with atypical mycobacteria occur with perpetuation of chronic cough and weight loss. This was found in the investigation of the case described herein.

In conclusion, lipoid pneumonia, despite being rare, should be considered in patients with diffuse lung disease when there is a history of exposure to potential causative agents and compatible clinical/radiological findings.

ACKNOWLEDGEMENTS

We wish to thank Dr. Rimarcs Ferreira, Adjunct Professor of the Pathology Department of the Paulista School of Medicine/Federal University of São Paulo, for his kindness in examining the pulmonary biopsy material.

REFERENCES

1. Camus P, Bonniaud P, Fanton A, Camus C, Baudaun N, Foucher P. Drug-induced and iatrogenic infiltrative lung disease. Clin Chest Med. 2004;25(3):479-519.
2. Robinson GV, Kanji H, Davies RJO, Gleeson FV. Selective pulmonary fat aspiration complicating oesophageal achalasia. Thorax. 2004;59(2):180.
3. Hatch KF, Daily MF, Christensen BJ, Glasgow RE. Failed fundoplications. Am J Surg. 2004;188(6):786-91.
4. Junge B, Popp W, Ruehm S, Rettenmeier AW, Duhrsen U, Runzi M. Fire eater's risk: lipoid pneumonia following aspiration of a liquid hydrocarbon mixture. Pneumologie. 2002;56(9):547-9. English, German.
5. Adkins D, Bensadoun ES. An 85-year-old man with a lung mass. Chest. 2004;125(3):1121-3..
6. Baron SE, Haramati LB, Rivera VT. Radiological and clinical findings in acute and chronic exogenous lipoid pneumonia. J Thorac Imaging. 2003;18(4):217-24.
7. Chiang IC, Lin YT, Liu GC, Chiu CC, Tsai MS, Kao EL. Exogenous lipoid pneumonia: serial chest plain roentgenography and high-resolution computerized tomography findings. Kaohsiung J Med Sci. 2003;19(12):593-8.
8. Rossi SE, Erasmus JJ, Volpacchio M, Franquet T, Castiglioni T, McAdams HP. "Crazy-paving" pattern at thin-section CT of the lungs: radiologic-pathologic overview. Radiographics. 2003;23(6):1509-19.
9. Tan JS. Nonresponses and treatment failures with conventional empiric regimens in patients with community-acquired pneumonia. Infect Dis Clin North Am. 2004;18(4):883-97.
10. Dunn IJ, Marrie TJ, MacKeen AD, Bhan V, Janigan DT. The value of open lung biopsy in immunocompetent patients with community-acquired pneumonia requiring hospitalization. Chest. 1994;106(1):23-7.
11. Brown-Elliott BA, Griffith DE, Wallace RJ Jr. Newly described or emerging human species of nontuberculous mycobacteria. Infect Dis Clin North Am. 2002;16(1):187-220.
___________________________________________________________________________________________

* Study carried out in the Clinical Medical Department of the Barao de Lucena Hospital, Recife, Brazil.
1. Specialist. Pulmonologist in the Clinical Medicine Department of the Barao de Lucena Hospital, Recife, Brazil
Correspondence to: Alfredo Pereira Leite de Albuquerque Filho. Av. Conselheiro Rosa e Silva, n° 1.620, apt. 1.503, Aflitos, Recife, PE, Brasil. CEP: 52020-220
Submitted: 7 August 2005. Accepted, after review: 3 February 2006.

Indexes

Development by:

© All rights reserved 2025 - Jornal Brasileiro de Pneumologia