Continuous and bimonthly publication
ISSN (on-line): 1806-3756

Licença Creative Commons
15652
Views
Back to summary
Open Access Peer-Reviewed
Case Report

Linfoma primário de cavidade pleural em paciente imunocompetente

Primary effusion lymphoma in an immunocompetent patient

Leila Antonangelo, Francisco S Vargas, Lisete Ribeiro Teixeira, Marcelo A C Vaz, Maria Mirtes Sales, Luis C Moreira, Roberta Karla Barbosa de Sales

ABSTRACT

Primary effusion lymphoma is an unusual non-Hodgkin's lymphoma rarely seen in immunocompetent patients. Herein, we present clinical and biochemical data obtained from an immunocompetent patient diagnosed with primary effusion lymphoma.

Keywords: Pleural effusion; Lymphoma, non-Hodgkin; HIV seronegativity; Case reports

RESUMO

O linfoma primário de cavidade é um tipo raro de linfoma não-Hodgkin que acomete principalmente pacientes imunocomprometidos e, mais raramente, pacientes imunocompetentes. Neste relato de caso são apresentados os achados clínicos e laboratoriais de um paciente imunocompetente com derrame pleural diagnosticado como linfoma primário de cavidade pleural.

Palavras-chave: Derrame pleural; Linfoma não-Hodgkin; Soronegatividade para HIV; Relatos de casos

INTRODUÇÃO

O linfoma primário de cavidade (LPC) é classificado como um linfoma não-Hodgkin sendo individualizado como entidade clínica e patológica pela classificação da Organização Mundial da Saúde.(1) Caracteriza-se pela presença de derrames cavitários, ausência de comprometimento nodal e extranodal, incorporação de material genético do herpes vírus humano tipo 8 e vírus Epstein-Barr pelas células tumorais e associação com o sarcoma de Kaposi e doença de Castleman.(2-3)

O LPC pode acometer qualquer uma das cavidades serosas, embora na maioria dos casos (aproximadamente 70%), a cavidade pleural seja comprometida, seguida do peritônio e pericárdio. Não é raro o acometimento de mais de uma cavidade serosa.(3)

Apesar de o LPC acometer mais freqüentemente os pacientes imunocomprometidos, nos últimos anos têm sido descritos casos em indivíduos sem história de imunossupressão, geralmente pacientes após a sexta década de vida, com doenças sistêmicas variadas, como insuficiência cardíaca congestiva, cirrose hepática ou neoplasia.(4-7)
Uma característica marcante neste grupo de pacientes é que a grande maioria não apresenta o vírus Epstein-Barr incorporado no genoma tumoral.(4,7)

O presente caso é de um linfoma primário de cavidade pleural em indivíduo idoso, com sorologia negativa para o vírus da imunodeficiência humana. Trata-se do primeiro caso deste tipo de linfoma descrito em nosso meio.

RELATO DO CASO

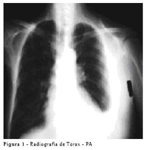
Paciente do sexo masculino, de 65 anos, procurou o Ambulatório de Doenças Pleurais do Hospital das Clínicas da Faculdade de Medicina da Universidade de São Paulo por orientação de seu cardiologista, com história de dispnéia e perda de peso. O paciente apresentava no seu histórico médico o diagnóstico de insuficiência cardíaca, e encontrava-se em vigência de tratamento adequado. Na propedêutica foram encontrados frêmito toracovocal e murmúrio vesicular diminuídos à esquerda e ausência de sinais de descompensação cardíaca. A radiografia de tórax mostrava um derrame pleural moderado à esquerda, sem alterações no mediastino (Figura 1). O paciente foi submetido a toracocentese, para alívio dos sintomas e com finalidade diagnóstica.
 




O resultado dos exames laboratoriais séricos e do líquido pleural estão expostos na Tabela 1. O derrame caracterizou-se como exsudato, com aspecto macroscópico sero-hemorrágico, e a citologia exibiu predomínio linfocítico com a presença de 88% de células blásticas. Morfologicamente as células neoplásicas foram descritas como polimórficas, de citoplasma abundante e intensamente basofílico, com núcleo volumoso, nucléolos proeminentes e freqüentes figuras de mitose (Figura 2). Foi realizada biópsia de pleura parietal (agulha de Cope), que mostrou pleurite crônica inespecífica. Devido à descrição de células blásticas na avaliação citológica, foi aventada a hipótese de linfoma, motivo pelo qual se realizou investigação radiológica sistêmica do paciente (em busca de prováveis sítios primários nodais ou extranodais), mielograma e estudo imunofenotípico do líquido pleural.
 




As tomografias cervical e toracoabdominal não evidenciaram comprometimento nodal ou extranodal pelo linfoma. O hemograma e o mielograma foram considerados normocelulares para a idade, sem elementos anômalos.

O estudo imunofenotípico do líquido pleural (Tabela 1) foi determinante para o diagnóstico. Para a imunofenotipagem do líquido pleural utilizou-se um painel amplo de anticorpos monoclonais, semelhante ao usado para a caracterização dos linfomas não-Hodgkin em geral. Estes anticorpos geralmente estão expressos nas células de origem hematológica, não sendo expressos nas células mesoteliais. No presente caso, as células neoplásicas eram CD30, CD38 e CD71 positivas, com monoclonalidade para IgM-kappa demonstrada no citoplasma das células neoplásicas, após técnica de permeabilização.
A reação em cadeia de polimerase para o herpes vírus humano tipo 8 foi positiva nas células do líquido pleural.
 




Com estes achados foi estabelecido o diagnóstico de linfoma primário de cavidade pleural, tendo sido o paciente encaminhado para tratamento quimioterápico. O paciente faleceu na vigência do primeiro ciclo de quimioterapia.

DISCUSSÃO

O linfoma primário de cavidade é um linfoma não-Hodgkin que acomete as cavidades serosas. Por se tratar de uma patologia rara, a casuística sobre sua incidência é escassa. Entretanto, segundo dados europeus, o LPC representa 3% dos linfomas não-Hodgkin que acometem pacientes com a síndrome da imunodeficiência adquirida e 0,4% dos que acometem a população soronegativa em geral.(4,8)

Acredita-se que a patogênese do LPC seja multifatorial, sendo a quebra da vigilância imunológica nos pacientes imunocomprometidos e as alterações qualitativas na imunorregulação decorrentes da imunosenescência sejam alguns dos fatores envolvidos.(3) A concomitância de doenças crônicas agiria como mais um fator potencial de risco. Outro aspecto a ser considerado no LPC é a co-infecção pelo herpes vírus humano tipo 8 e vírus Epstein-Barr, ambos freqüentemente presentes em pacientes imunocomprometidos.(9) Embora nos casos de pacientes com sorologia negativa para o vírus da imunodeficiência humana a associação com o vírus Epstein-Barr seja menos freqüente, todos os casos apresentam o herpes vírus humano tipo 8 associado ao sarcoma de Kaposi.(4-5)

O diagnóstico de linfoma primário de cavidade pleural baseia-se inicialmente na exclusão de outras doenças linfoproliferativas que acometem a cavidade pleural e, conseqüentemente, resultam em derrame pleural. Para afastar a possibilidade de acometimento secundário da cavidade pleural por linfoma, recomenda-se a realização de tomografias computadorizadas cervicais, de tórax e abdômen para a localização de adenomegalias e/ou visceromegalias, bem como o hemograma e a punção aspirativa da medula óssea, para a investigação de infiltração medular. Neste caso, após estes exames complementares, não foram observados adenomegalias ou visceromegalias, massas extranodais ou envolvimento da medula óssea ou de sangue periférico.

Devido à ausência da determinação de sítio primário nodal ou extranodal, o diagnóstico de LPC geralmente se estabelece pela avaliação do líquido cavitário, através de suas características citológicas e imunofenotípicas. O líquido é na maioria das vezes um exsudato, com celularidade global aumentada, predomínio linfocítico e presença de células neoplásicas, com blastos semelhantes a imunoblastos. Do ponto de vista citológico, a morfologia das células malignas impõe o diagnóstico diferencial com linfoma difuso de células grandes B (variante imunoblástica) ou com linfoma anaplásico.(2-3,10-11) No caso aqui descrito, o derrame pleural era um exsudato, com mais de 80% de células blásticas de aspecto imunoblástico, com freqüentes figuras de mitose e grande degeneração celular.

Nos casos de LPC, a imunofenotipagem do líquido pleural caracteriza-se pela ausência de marcadores celulares de linhagem B e T. As células podem ser CD45 (antígeno panleucocitário comum) positivas ou negativas e habitualmente apresentam antígenos de ativação celular, como o CD30, CD38, CD71 e HLA-DR. Os antígenos associados às células T, como o CD2, CD3 e CD5, os antígenos associados às células B, como o CD19, CD20 e CD22 e os antígenos HMB-45 e S-100 são invariavelmente negativos.(7,10-11) Na imunofenotipagem do líquido pleural deste caso, as células neoplásicas caracterizaram-se por apresentar o antígeno leucocitário comum (CD45) negativo, o que suscitou dúvidas sobre a origem linfóide destas células, uma vez que não se demostrava a linhagem hematológica das células blásticas. Os antígenos associados às linhagens T e B também foram negativos (CD2, CD3, CD5, CD19, CD20 e CD22), bem como os antígenos HMb45 e a proteína S100. Entretanto, as células expressavam marcadores de ativação celular e marcadores de linhagem B madura (CD30, CD38 e CD138). No caso descrito, foi realizada a técnica de permeabilização da membrana celular das células neoplásicas e assim foi possível demonstrar, no citoplasma, a expressão da cadeia leve Kappa em células CD38 ou CD138 IGM positivas, confirmando a natureza clonal destas células.

Quando a imunofenotipagem é insuficiente para determinar a linhagem das células tumorais, geralmente se utiliza o rearranjo gênico através de técnicas moleculares para confirmar a presença de clonalidade.(12)

O diagnóstico citológico de derrame pleural linfomatoso em paciente idoso, com sorologia negativa para o vírus da imunodeficiência humana, sem evidência clínica ou radiológica de sítio primário nodal ou extranodal, e em cujas células tumorais foi possível demonstrar clonalidade e incorporação do material genético do herpes vírus humano tipo 8 foi conclusivo para o diagnóstico de linfoma primário de cavidade pleural.

REFERÊNCIAS

1. Banks PM, Warnke RA. Primary effusion lymphoma. In: Jaffe ES, Harrris NL, Stein H, Vardiman JW, eds. Tumours of haematopoietic and lymphoid tissues. Lyon: IARC Press; 2001. p.179-80.
2. Cesarman E, Chang Y, Moore PS, Said JW, Knowles DM. Kaposi´s Sarcoma-associated Herpesvirus-like DNA sequences in AIDS-related body-cavity-based lymphomas. N Engl J Med. 1995;332(18):1186-91.
3. Hengge U, Ruzicka T, Tyring SK, Stuschke M, Roggendorf M, Schwartz RA, et al. Update on Kaposi´s sarcoma and other HHV8 associated diseasea. Part 2: pathogenesis, Castleman´s disease, and pleural effusion lymphoma. Lancet Infect Dis.2002;2(6):344-52.
4. Carbone A, Goghini A, Vaccher E, Zagonel V, Pastore C, Dalla Palma P, et al. Kaposi´s sarcoma associated herpesvirus DNA sequences in AIDS-related and AIDS-unrelated lymphomatous effusions. Br J Haematol. 1996;94(3):533-43.
5. Okada T, Katano H, Tsutsumi H, Kumakawa T, Sawabe M, Arai T, et al. Body-cavity-based lymphoma in an elderly AIDS-unrelated male. Int J Hematol. 1998;67(4):417-22.
6. Ascoli V, Scalzo C, Danese C, Vacca K, Pistilli A, Lo Coco F. Human herpes virus-8 associated primary effusion lymphoma of the pleural cavity in HIV-negative elderly men. Eur Respir J. 1999;14(5):1231-4.
7. Boulanger E, Hermine O, Fermand JP, Radford-Weiss I, Brousse N, Meignin V, et al. Human herpesvirus 8 (HHV-8) - associated peritoneal primary effusion lymphoma (PEL) in two HIV-negative elderly patients. Am J Hematol. 2004;76(1):88-91.
8. Dal Maso L, Franceschi S. Epidemiology of non-Hodkin lymphomas and other haemolymphopoietic neoplasma in people with AIDS. Lancet Oncol. 2003;4(2):110-9.
9. Cesarman E. The role of Kaposi´s sarcoma-associated herpesvirus (KSHV/HHV-8) in lymphoproliferative diseases. Recent Results Cancer Res. 2002;159:27-37.
10. Rodríguez Salazar MJ, Raya Sánchez JM, Rodríguez Sánchez R, Alonso Socas MM, Brito Barroso ML, Hernandez Nieto L. [HIV-associated primary body-cavity-based lymphoma: clinico-biologic features in three patients diagnosed at the same institution]. An Med Interna. 2004; 21(4):175-8. Spanish.
11. Nador RG, Cesarman E, Chadburn A, Dawson DB, Ansari MQ, Sald J, et al. Primary effusion lymphoma: a distinct, clinopathologic entity associated with the Kaposi´s sarcoma-associated herpes virus. Blood. 1996;88(2):645-56.
12. Walts AE, Shintaku IP, Said JW. Diagnosis of malignant lymphoma in effusions from patients with AIDS by gene rearrangement. J Clin Pathol. 1990;94(2):170-5.
_______________________________________________________________________
* Trabalho realizado na Disciplina de Pneumologia e na Divisão de Laboratório Central do Hospital das Clínicas da Faculdade de Medicina da Universidade de São Paulo - HCFMUSP - São Paulo (SP) Brasil.
1. Professora Livre-Docente da Disciplina de Pneumologia e Médica Chefe do Setor de Citologia do Laboratório Central do Hospital das Clínicas da Faculdade de Medicina da Universidade de São Paulo - HCFMUSP - São Paulo (SP) Brasil.
2. Professor Titular da Disciplina de Pneumologia do Hospital das Clínicas da Faculdade de Medicina da Universidade de São Paulo - HCFMUSP - São Paulo (SP) Brasil.
3. Professora Livre-Docente da Disciplina de Pneumologia do Hospital das Clínicas da Faculdade de Medicina da Universidade de São Paulo - HCFMUSP - São Paulo (SP) Brasil.
4. Doutor em Pneumologia pela Disciplina de Pneumologia do Hospital das Clínicas da Faculdade de Medicina da Universidade de São Paulo - HCFMUSP - São Paulo (SP) Brasil.
5. Doutor em Patologia pelo Departamento de Patologia e Médica Chefe do Setor de Imunofenotipagem do Laboratório Central do Hospital das Clínicas da Faculdade de Medicina da Universidade de São Paulo - HCFMUSP -São Paulo (SP) Brasil.
6. Biologista do setor de Citologia do Laboratório Central do Hospital das Clínicas da Faculdade de Medicina da Universidade de São Paulo - HCFMUSP -São Paulo (SP) Brasil.
Endereço para correspondência: Francisco S. Vargas. R. Itapeva, 500, Conj. 4C - CEP: 01332-000, São Paulo, SP, Brasil. Tel: 55 11 3069-5695. E-mail: vargasfs@terra.com.br e pnevargas@incor.usp.br
Recebido para publicação, em 18/1/05. Aprovado, após revisão, em 5/4/05.

Indexes

Development by:

© All rights reserved 2025 - Jornal Brasileiro de Pneumologia