Continuous and bimonthly publication
ISSN (on-line): 1806-3756

Licença Creative Commons
26131
Views
Back to summary
Open Access Peer-Reviewed
Original Article

Mediastinite aguda. Análise retrospectiva de 21 casos

Acute mediastinitis. Restropective analysis of 21 cases

Marcelo Cunha Fatureto, Milton Alves das Neves-Júnior, Thassio Cunha de Santana

ABSTRACT

Objective: To evaluate the epidemiological and clinical aspects of acute mediastinitis and to characterize its treatment. Methods: A retrospective study conducted through review of the medical charts of patients diagnosed with acute mediastinitis at the Hospital Escola da Faculdade de Medicina do Triângulo Mineiro (Triângulo Mineiro Medical School Hospital) between 1987 and 2004. Results: A total of 21 patients were studied. Most (76.2%) were male, and the mean age was 52.5 years. Six patients (28.6%) died. The most common cause (in 38.1%) was median sternotomy, followed by esophageal perforation (in 33.3%) and cervical infection (in 14.3%). Staphylococcus aureus and Staphylococcus epidermidis were the causative agents most frequently isolated. In most cases, the treatment of choice was antibiotic therapy accompanied by surgery. The most frequent complications of the acute mediastinitis were pleural effusions (in 23.8%) and osteomyelitis (in 19.0%). The average hospital stay was 26.6 days. Conclusion: Acute mediastinitis is a serious complication of some diseases and procedures. Despite its low incidence, the mortality rate is high. Staphylococcus aureus and Staphylococcus epidermidis are the most common causative agents. The treatment used was antibiotic therapy accompanied by surgery.

RESUMO

Objetivo: Avaliar aspectos epidemiológicos e clínicos da mediastinite aguda, além das características de seu tratamento. Métodos: Estudo retrospectivo realizado através da revisão de prontuários de pacientes com diagnóstico de mediastinite aguda, no Hospital Escola da Faculdade de Medicina do Triângulo Mineiro, no período entre 1987 e 2004. Resultados: Dos 21 pacientes estudados, a maioria era do sexo masculino (76,2%). A média de idade dos pacientes foi de 52,5 anos. Seis pacientes faleceram (28,6%). A esternotomia mediana foi a causa mais freqüente, responsável por 38,1% dos casos, seguida pela ruptura esofágica em 33,3% e pelas infecções cervicais em 14,3% dos casos. O Staphylococcus aureus e o Staphylococcus epidermidis foram os agentes causadores de mediastinite mais freqüentemente isolados, sendo a cultura unimicrobiana na maioria dos casos (42,9%). O tratamento cirúrgico associado a antibioticoterapia foi a terapêutica preferencial na maioria dos casos. As complicações mais freqüentes da mediastinite aguda foram o derrame pleural (23,8%) e a osteomielite (19%). O tempo médio de internação foi de 26,6 dias. Conclusão: A mediastinite aguda é uma complicação grave de algumas doenças ou procedimentos. Apesar da baixa incidência, a taxa de mortalidade é elevada. O Staphylococcus aureus e o Staphylococcus epidermidis são os agentes causadores mais freqüentes. O tratamento de escolha foi a antibioticoterapia associada ao tratamento cirúrgico.

INTRODUÇÃO

A mediastinite aguda é definida como um processo inflamatório do tecido conectivo do mediastino.(1-2) Trata-se de uma entidade com baixa incidência, a qual varia, de acordo com a literatura, entre 0,2% e 5% dos pacientes submetidos a esternotomia mediana,(3) porém de alta morbi-mortalidade, sendo esta estimada entre 15,4% e 50% nos trabalhos mais recentes.(1,4) Em alguns estudos, a mediastinite mostra-se mais prevalente no sexo masculino.(5-6)

Vários são os fatores que aumentam o risco de se desenvolver mediastinite aguda, tais como tabagismo, diabetes mellitus, doença pulmonar obstrutiva crônica, uso prolongado de corticoterapia e permanência prolongada em unidade de terapia intensiva, entre outros.(3)

A inflamação do mediastino pode ocorrer por várias causas, sendo que as principais são: pós-esternotomia mediana,(3,5) ruptura do esôfago(7-10) (síndrome de Boerhaave, dilatações, corpo estranho, etc.) e supurações da cabeça e pescoço(4,11-12) como os abscessos periamigdalianos, abscessos cervicais profundos, etc. Outras causas menos freqüentes também citadas são o empiema pleural, osteomielite de vértebras e costelas, e abscessos retroperitoneais e subfrênicos.(3)

Dentre os agentes infecciosos encontrados nas culturas colhidas do tecido mediastinal inflamado, destacam-se o Staphylococcus aureus, o Staphylococcus epidermidis, as Pseudomonas sp e a Escherichia coli, sendo esta última associada a um alto índice de mortalidade.(3,5)

Entretanto, em alguns casos, a cultura do exsudato mediastinal pode ser negativa, o que na maioria das vezes se deve ao uso prévio de antibióticos.(3)

Várias são as formas de tratamento empregado na mediastinite aguda. A drenagem impõe-se de forma a remover o exsudato contido no espaço mediastinal. Associada à drenagem, a antibioticoterapia é instituída imediatamente após a coleta de culturas, mesmo que de forma empírica.
Além da drenagem mediastinal e da antibioticoterapia, o tratamento específico da causa da mediastinite faz-se necessário, quando possível.(13) No caso das supurações cervicais, são realizados também o desbridamento do tecido necrótico e a drenagem da região.(11-12) Já nos casos de ruptura esofágica, dois métodos de abordagem destes pacientes são propostos: a esofagectomia seguida de esofagostomia cervical associada a gastrostomia,(8) ou a sutura primária da parede lesada.(9)

Inúmeras complicações são descritas nos casos de mediastinite aguda, dentre elas a insuficiência renal, insuficiência respiratória, sepse e empiema pleural.(5,8)

Dentro desse contexto, propusemos-nos a estudar os aspectos clínico-epidemiológicos da mediastinite aguda, bem como a eficácia dos tratamentos propostos, visando ao melhor conhecimento da doença.

MÉTODOS

Foi realizado estudo retrospectivo, através da análise dos prontuários de pacientes que apresentaram o diagnóstico de mediastinite aguda no Hospital Escola da Faculdade de Medicina do Triângulo Mineiro no período compreendido entre 1987 e 2004, segundo levantamento realizado no Departamento de Informações e Métodos do hospital. Foram registrados os seguintes dados: sexo, idade, fatores de risco para mediastinite aguda, etiologias desta patologia, agentes infecciosos da mediastinite, tratamento empregado, complicações, tempo de internação e situação na alta hospitalar.

Este estudo foi apreciado e aprovado pelo Comitê de Ética em Pesquisa da Faculdade de Medicina do Triângulo Mineiro.

Para a análise dos dados obtidos, foram utilizados os métodos de contagem de freqüência e percentagem, além do cálculo de média e desvio padrão. A comparação entre as variáveis foi feita através do teste qui-quadrado ou teste exato de Fisher, quando uma das células do qui-quadrado foi menor que cinco.(14)

RESULTADOS

Foram estudados 21 pacientes com diagnóstico de mediastinite aguda, dos quais 16 eram do sexo masculino (76,2%) e 5 do feminino (23,8%). A média de idade dos pacientes foi de 52,5 anos (± 17,096), com mínima de 23, e máxima de 79 anos. Dos 21 pacientes estudados, 6 faleceram, o que resultou em uma taxa de mortalidade geral de 28,6%.

A maioria dos pacientes não apresentava nenhum fator de risco (52,4%). Entretanto, 38,1% dos pacientes eram tabagistas, fator de risco anteriormente citado pela literatura.

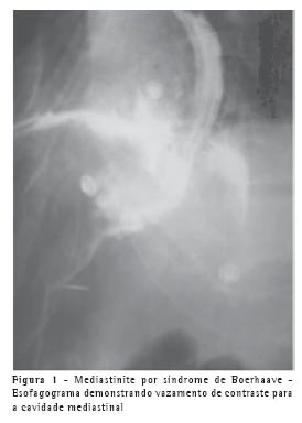
Como causa de mediastinite aguda, a esternotomia mediana foi a mais freqüente, responsável por 38,1% dos casos, seguida de perto pela ruptura esofágica com 33,3% dos casos. Como etiologia da ruptura esofágica foram encontradas: ruptura pós-endoscopia digestiva alta/dilatação, com 3 casos; ruptura espontânea - síndrome de Boerhaave - 2 casos; ruptura traumática e por corpo estranho, cada uma com 1 caso. As infecções da cabeça e pescoço corresponderam a 3 casos (14,3%), sendo 2 de abscessos cervicais profundos e 1 caso de angina de Ludwig (Figuras 1, 2 e 3). A mediastinoscopia, a piopericardite e o empiema pleural contribuíram cada um com 1 caso de mediastinite aguda (4,8%).





Em 42,9% dos casos, a cultura do exsudato mediastinal revelou um único germe causador da mediastinite aguda; em 23,8% a cultura foi polimicrobiana. Em 33,3% dos casos, o agente não foi isolado. Não há diferença estatisticamente significativa entre o número de microrganismos presentes nas culturas e a mortalidade (p = 0,51). O Staphylococcus aureus e o Staphylococcus epidermidis foram encontrados cada um em 7 casos e a Pseudomonas sp., Escherichia coli, Klebsiela pneumoniae, Enterococcus cloacae, Proteus sp. e Acinetobacter sp em 1 caso cada.





Quanto ao tratamento utilizado na mediastinite aguda, a antibioticoterapia isoladamente foi empregada em apenas 1 caso (4,8%). A antibioticoterapia associada à drenagem mediastinal foi utilizada em 9 casos (42,9%) e a antibioticoterapia em associação com o tratamento específico da causa da mediastinite foi empregada em 4 casos (19,0%). A associação das modalidades antibioticoterapia, drenagem mediastinal e tratamento específico da causa foi aplicada em 7 casos (33,3%).

Em nosso serviço, a antibioticoterapia é empregada logo após a coleta do material para cultura, sendo que o uso dos antibióticos é iniciado de forma empírica. De modo geral, é utilizada uma associação antimicrobiana de amplo espectro, de maneira a atingir microrganismos Gram positivos, Gram negativos e anaeróbios. Após o resultado da cultura, a antibioticoterapia é ajustada de acordo com o resultado obtido pelo exame. As opções mais utilizadas em nosso serviço foram: oxacilina (principalmente em pacientes com resultado da cultura positivo para Staphylococcus aureus sensível a este antimicrobiano) ou vancomicina para Gram positivos; cefepime, ceftriaxona, ou ceftazidima, e amicacina ou gentamicina para Gram negativos, sendo que os três primeiros também abrangem Gram positivos; e clindamicina ou metronidazol para anaeróbios.

No tratamento específico da causa de base, quando a etiologia da mediastinite foi a esternotomia mediana, na maioria das vezes condutas menos invasivas foram adotadas. Dos 8 casos com esta etiologia, em 5 utilizou-se apenas a antibio-ticoterapia, conforme esquema acima, e drenagem mediastinal ampla. O desbridamento da ferida cirúrgica, e a esternectomia total e a parcial associadas a retalho de músculo peitoral foram utilizados cada um em 1 caso. A mortalidade deste grupo foi de 25%, muito semelhante à mortalidade geral.

Quando a etiologia da mediastinite foi a ruptura do esôfago, duas foram as principais condutas: a rafia primária ou a esofagostomia proximal com gastrostomia associada a esofagectomia. Dos 7 casos de ruptura de esôfago, em 3 casos a segunda opção foi a utilizada, com 1 óbito; nos outros 4 casos, a rafia primária foi a conduta adotada, sendo que 2 destes pacientes faleceram. A mortalidade neste grupo foi de 42,9%, elevada em comparação com a mortalidade geral.

Nos casos de abscessos cervicais como causa de mediastinite, a conduta foi sempre de drenagem por cervicotomia, se a coleção não se estendesse para além das veias braquiocefálicas. A mortalidade foi de 33,3%. Nos 3 casos de mediastinite por outras etiologias não houve óbitos (nestes casos não se realizou tratamento específico da causa).
As complicações da mediastinite aguda foram: empiema pleural (23,8%), osteomielite (19%), insuficiência respiratória (9,5%) e outras (19,1%). Em 28,6% dos casos não foram evidenciadas complicações.

O tempo médio de internação dos pacientes com diagnóstico de mediastinite aguda foi de 26,6 dias (± 19,8), com mínimo de 6 e máximo de 77 dias.

DISCUSSÃO

A mediastinite aguda continua sendo uma complicação muito temida de diversas doenças e procedimentos. Em nossa casuística, assim como na literatura, a incidência da doença foi baixa (1,17 casos por ano em nosso hospital), porém a taxa de mortalidade foi bastante elevada.(1,4)
Entre as causas de mediastinite aguda, destaque é dado aos casos pós-esternotomia mediana. Com o crescente número de cirurgias cardíacas que utilizam esta via de acesso, esta etiologia tornou-se a mais importante e também a mais estudada.(3,5-6) Entretanto, a ruptura esofágica não deve ser esquecida, visto que as maiores taxas de mortalidade ocorrem devido a esta causa.(7-10,15)

Com relação aos agentes infecciosos envolvidos, o Staphylococcus aureus e o Staphylococcus epidermidis são os mais freqüentes. A literatura mostra resultados semelhantes, com alguns trabalhos indicando ainda que o isolamento da Escherichia coli está associado a um alto índice de mortalidade.(3,5) Deve ser lembrado que a cultura do exsudato mediastinal pode ser negativa, o que na maioria das vezes se deve ao uso prévio de antibióticos.(3)

O tratamento da mediastinite aguda baseia-se em três pontos básicos: a antibioticoterapia, a drenagem ampla da cavidade mediastinal e o tratamento específico da causa.(13) Nos casos de mediastinite pós-esternotomia mediana, a literatura aponta para um melhor prognóstico quando o paciente é submetido a tratamento específico, com desbridamento da ferida operatória e rotação de retalho de epíploon.(3,5) Entretanto, em nosso estudo, apesar do pequeno número de casos, esta moda-lidade terapêutica não reduziu a mortalidade desses pacientes.

Outro ponto controverso é o tratamento de escolha na ruptura esofágica, principalmente nos casos de síndrome de Boerhaave. Alguns autores preferem a sutura primária do esôfago enquanto outros acreditam ser a esofagectomia superior.(8-9) Em nosso estudo, ambas as modalidades apresen-taram prognósticos semelhantes.

Tendo em vista os dados encontrados e as informações da literatura,(1,6) acreditamos ser importante suspeitar de mediastinite aguda em todos os pacientes que se apresentem febris, com sinais importantes de infecção e que tenham sido submetidos a esternotomia mediana ou que apresentem sinais de infecções da cabeça e pescoço, ou ainda que tenham sido submetidos a qualquer manipulação esofágica. O grande desafio diag-nóstico permanece sendo a ruptura espontânea do esôfago (síndrome de Boerhaave), em que apenas uma história inespecífica de vômitos, associada a sinais de toxemia, está presente. Vale ressaltar que, nestes casos, um melhor prognóstico está intimamente relacionado com o diagnóstico precoce.(8-9)

A partir da suspeita clínica, a radiografia de tórax deve ser solicitada. Esta já pode evidenciar sinais de mediastinite ou complicações da mesma, como enfisema de mediastino e derrame pleural. A tomografia de tórax com janela para mediastino complementa a radiografia, mostrando abscessos mediastinais, enfisemas, comprometimento esternal, etc.; com mais detalhes.(1,6) Nos casos suspeitos de síndrome de Boerhaave, o esofagograma contrastado é de fundamental importância, visto que sela o diagnóstico ao mostrar o extravasamento do contraste para o mediastino.

Dentre os exames laboratoriais, o mais importante é a cultura e o antibiograma da secreção mediastinal. Exames de controle devem ser solicitados, visando a surpreender precocemente complicações como a insuficiência renal.

Em nosso serviço, após a coleta do material para cultura, é iniciada a antibioticoterapia de forma empírica, até que se tenha o resultado do antibio-grama. De forma geral, esse tratamento inicial é orientado de acordo com a etiologia. Nos casos de mediastinite aguda pós-esternotomia mediana, a antibioticoterapia inicial é feita com oxacilina e uma cefalosporina de terceira geração ou superior (ceftriaxona, cefepime ou ceftazidima), associadas ou não a um aminoglicosídeo (amicacina ou gentamicina). Nos casos de abscessos cervicais, utilizamos a associação de uma cefalosporina de terceira geração ou superior com clindamicina. Por fim, nos casos de ruptura esofágica, a associação de penicilina cristalina, clindamicina ou metronidazol e um aminoglicosídeo é a opção utilizada em nosso serviço. A exceção faz-se nos casos de síndrome de Boerhaave, em que, devido à sua gravidade e diagnóstico geralmente tardio, optamos pela associação de uma cefalosporina de terceira geração ou superior, com clindamicina e oxacilina ou até mesmo vancomicina.

Enfim, concluímos que a mediastinite aguda é uma complicação grave de algumas doenças e procedimentos. Apesar da baixa incidência, a taxa de mortalidade é elevada. O Staphylococcus aureus e o Staphylococcus epidermidis são os agentes causadores de mediastinite mais freqüentes e o tempo de internação desses pacientes é elevado.

REFERÊNCIAS

1. Macrí P, Jiménez MF, Novoa N, Varela GA. Descriptive of a series of patients diagnosed with acute mediastinitis. Arch Bronconeumol. 2003;39(9):428-30.
2. Souza VC, Freire ANM, Tavares-Neto, J. Mediastinite pós-esternotomia longitudinal para cirurgia cardíaca: 10 anos de análise. Rev Bras Cir Cardiovasc. 2002;17(3):266-70.
3. Sampaio DT, Alves JCR, Silva AF, Lobo Jr. NC, Simões D, Faria W, et al. Mediastinite em cirurgia cardíaca: tratamento com epíploon. Rev Bras Cir Cardiovasc. 2000;15(1):23-31.
4. Katsetos MC, Tagbo AC, Lindberg MP, Rosson RS. Esophageal perforation and mediastinitis from fish bone ingestion. South Med J. 2003;96(5):516-20.
5. Sancho LM, Minamoto H, Fernandez A, Sennes LU, Jatene FB. Descending necrotizing mediastinitis: a retrospective surgical experience. Eur J Cardiothorac Surg. 1999;16(2):200-5.
6. Izadi K, Lazow SK, Berger JR. Mediastinitis secondary to an odontogenic infection. A case report. NY State Dent J. 2003;69(10):28-30.
7. Salo JA, Isolauri JO, Heikkila LJ, Markkula HT, Heikkinen LO, Kivilaakso EO et al.: Management of delayed esophageal perforation with mediastinal sepsis. Esophagectomy or primary repair? J Thorac Cardiovasc Surg. 1993;106(6): 1088-91.
8. Brommelstroet M, Rosa JFT, Boscardim PCB, Schmidlin CA, Shibata S. Mediastinite descendente necrosante pós-angina de Ludwig. J Pneumol. 2001;27(5):269-71.
9. Sung SW, Park JJ, Kim YT, Kim JH. Surgery in thoracic esophageal perforation: primary repair is feasible. Dis Esophagus. 2002;15(3):204-9.
10. Schimin LC, Batista RL, Mendonça FCC. Mediastinite no Hospital de Base do Distrito Federal: incidência em seis anos. Rev Bras Cir Cardiovasc. 2002;17(2):36-9.
11. Jamplis RW, McFadden PM. Infection of the mediastinum and the superior vena caval syndrome. In: Shields TW. General thoracic surgery. 3rd ed. London: Lea & Febiger; 1989. p.1085-95.
12. Soldati G, Di Piero A, Bassani L, Di Vito A, Rossi M. Boerhaave syndrome. A case report and review of the literature. Minerva Chir. 2000;55(12):873-9. Italian.
13. Martinez-Ordaz JL, Cornejo-Lopez GB, Blanco-Benavides R. Boerhaave's Syndrome. Case report and literature review. Rev Gastroenterol Mex. 2002;67(3):190-4. Spanish.
14. Bernini CO, Curi N. Mediastinite. In.: Corrêa Netto, A. Clínica cirúrgica. 4ª ed. São Paulo: Sarvier; 1994. p.341-4.
15. Moore DS. Inferência para tabela de dupla entrada. In.: Moore, DS. Estatística básica e sua prática. Rio de Janeiro: LTC; 2000. p.367-92.



* Trabalho realizado na Faculdade de Medicina do Triângulo Mineiro - FMTM - Uberaba (MG) Brasil.
1 - Mestre da Disciplina de Cirurgia Torácica da Faculdade de Medicina do Triângulo Mineiro - FMTM - Uberaba (MG) Brasil.
2 - Acadêmico de Medicina da Faculdade de Medicina do Triângulo Mineiro - FMTM - Uberaba (MG) Brasil.
Endereço para correspondência: Marcelo Cunha Fatureto. Av. Leopoldino de Oliveira 4458, apto. 401, Centro, Uberaba, MG.
CEP: 38060-000. Tel: 55 34 3332-2155. E-mail: mfat@terra.com.br
Recebido para publicação em 19/1/05. Aprovado, após revisão, em 18/4/05.

Indexes

Development by:

© All rights reserved 2025 - Jornal Brasileiro de Pneumologia