Continuous and bimonthly publication
ISSN (on-line): 1806-3756

Licença Creative Commons
13217
Views
Back to summary
Open Access Peer-Reviewed
Original Article

Impacto de biópsia pulmonar a céu aberto na insuficiência respiratória aguda refratária

Impact of open lung biopsy on refractory acute respiratory failure

Carmen Silvia Valente Barbas, Vera Luiza Capelozzi, Cristiane Hoelz, Ricardo Borges Magaldi, Rogério de Souza, Maria Laura Sandeville, José Ribas Milanez de Campos, Eduardo Werebe, Laerte O. Andrade Filho, Elias Knobel

ABSTRACT

Objective: To determine the impact that open lung biopsy findings have on decisions regarding changes in the treatment strategies employed for critically ill patients presenting diffuse pulmonary infiltrates and suffering from refractory acute respiratory failure, as well as on their clinical improvement. Methods: This study involved 12 mechanically ventilated patients with acute respiratory failure who were subjected to open lung biopsy (by thoracotomy) after not presenting a clinical response to standard treatment. Results: The single most common cause of the acute respiratory failure was viral infection, which was identified in 5 patients (40%). The pre-operative evaluation of the cause of respiratory failure was modified in 11 patients (91.6%), and a specific diagnosis was made in 100% of the cases. Regardless of changes in treatment regimen, the mortality rate was 50%. Six patients (50%) survived to be discharged from the hospital. All of the discharged patients survived for at least one year after the open lung biopsy, for an overall one-year survival rate of 50% among the 12 patients studied. For the patients who died in the hospital, the time of survival after open lung biopsy was 14 + 10.8 days. Conclusion: We conclude that open lung biopsy is a useful tool in the management of acute respiratory failure when there is no clinical improvement after standard treatment, since it can lead to a specific diagnosis that requires distinct treatment, which probably lowers the mortality rate among such patients.

Keywords: Respiratory distress syndrome, adult; Lung/pathology; Biposy; Acute respiratory syndrome

RESUMO

Objetivo: Verificar o impacto dos resultados da biópsia pulmonar a céu aberto nas decisões que determinem mudanças nas estratégias de tratamento de pacientes críticos, com infiltrados pulmonares difusos e insuficiência respiratória aguda refratária, bem como na melhora de seu quadro clínico. Métodos: Foram avaliados 12 pacientes com insuficiência respiratória aguda e sob ventilação mecânica, que foram submetidos à biópsia pulmonar a céu aberto (por toracotomia) após a ausência de resposta clínica ao tratamento padrão. Resultados: A maior causa isolada de insuficiência respiratória aguda foi a infecção viral, identificada em 5 pacientes (40%). A avaliação pré-operatória da causa da insuficiência respiratória foi modificada em 11 pacientes (91,6%), e um diagnóstico específico foi feito em 100% dos casos. A taxa de mortalidade foi de 50%, a despeito das mudanças no regime terapêutico. Seis pacientes (50%) sobreviveram e obtiveram alta hospitalar. Todos os pacientes que obtiveram alta sobreviveram por pelo menos um ano após a biópsia pulmonar a céu aberto, totalizando uma taxa de sobrevida em um ano de 50% dentre os 12 pacientes estudados. Quanto aos pacientes que faleceram no hospital, o tempo de sobrevida após a biópsia pulmonar a céu aberto foi de 14 + 10,8 dias. Conclusão: Concluímos que a biópsia pulmonar a céu aberto é uma ferramenta útil no controle da insuficiência respiratória aguda quando não se observa melhora clínica após o tratamento padrão, já que pode resultar em um diagnóstico específico que requeira tratamento distinto, provavelmente diminuindo a taxa de mortalidade desses pacientes.

Palavras-chave: Síndrome do desconforto respiratório do adulto; Pulmão/patologia; Biópsia

INTRODUÇÃO

A biópsia pulmonar a céu aberto (BPCA) provou ter uma sensibilidade e especificidade relativamente altas no diagnóstico da doença parenquimatosa difusa crônica.(1-3) Entretanto, por ser um procedimento cirúrgico geralmente realizado sob anestesia geral, os médicos podem mostrar-se receosos em realizar a BPCA em pacientes críticos, com infiltrados pulmonares difusos, portadores de insuficiência respiratória aguda (IRA). Tal receio cria um paradoxo, qual seja, que os benefícios de um método diagnóstico útil possam ser negados aos pacientes com mais urgência dele, por medo de complicações peroperatórias. Além do mais, alguns pesquisadores questionam se a BPCA promove algum benefício aos pacientes imunossuprimidos, com infiltrados difusos, muitos dos quais são portadores de IRA.(4-5) Contudo, se a BPCA oferece algum beneficio em casos de insuficiência respiratória, o benefício maior é o que provém da biópsia precoce no cenário agudo.(6-7) A fim de identificar os riscos e possíveis benefícios da BPCA em pacientes com infiltrados pulmonares difusos e IRA (especialmente IRA refratária), revimos nossa experiência ao longo de um período de cinco anos.

MÉTODOS

Examinamos os prontuários de todos os pacientes que foram submetidos a BPCA em dois diferentes centros de saúde, entre janeiro de 1997 e janeiro de 2002. Como critério de inclusão neste trabalho, selecionamos os pacientes cujas radiografias de tórax revelaram infiltrados pulmonares difusos e que apresentavam início de IRA. A insuficiência respiratória foi definida como pressão parcial de oxigênio no sangue arterial (PaO2) de menos de 50 mmHg em ar ambiente, ou a relação de PaO2 para fração inspirada de oxigênio (FiO2) de menos de 200 recebendo suplementação de oxigênio. Para excluirmos os pacientes que apresentavam deterioração contínua característica de processo crônico, a IRA foi definida como o início dos sintomas de desconforto respiratório, há menos de 10 dias antes da BPCA. Todas as BPCAs foram realizadas a critério do médico atendente, sendo a hipoxemia progressiva a indicação mais comum. Os detalhes do procedimento da BPCA e do processamento do espécime na nossa instituição foram descritos em outro trabalho.(8) Em suma, a BPCA foi realizada sob anestesia geral.
Através de uma toracotomia limitada, amostras do tecido foram removidas com um clampeador de corte. Seguimos um protocolo específico para processamento do espécime. Uma porção do espécime cirúrgico foi enviada para o Departamento de Microscopia Eletrônica e
Patologia Cirúrgica de nossa instituição e as lâminas com os espécimes envoltos em parafina foram examinadas após eles terem sido devidamente corados. A porção remanescente do espécime foi enviada ao Laboratório Microbiológico, onde as lâminas com os esfregaços foram preparadas, e parte do tecido foi homogeneizada. Os cortes foram colocados em meio de cultura para germes aeróbios e anaeróbios, bem como para fungos, micobactérias, Legionella, Nocardia, Chlamydia e vírus. Além disso, os cortes foram corados pelo método Gram para identificação de bactérias, corados pela técnica de Grocott para exame de fungos e Pneumocystis carinii (P. Jiroveci), além de com corante de Ziehl-Neelsen para exame de micobactérias e Nocardia. Os resultados dos cortes, assim corados, ficavam geralmente disponibilizados dentro de 3 horas após a chegada do espécime ao laboratório.

RESULTADOS

Características do Paciente
Durante o período de estudo, 500 BPCAs foram realizadas em nossa instituição, e 12 pacientes (2.4%) preencheram nossos critérios. A idade média foi de 65 ± 14 anos (variando entre 31 e 87 anos), e 5 dos 12 pacientes eram do sexo feminino. Amostras de sangue arterial para gasometria revelaram a razão PaO2/FiO2 de 157 32 dentro das primeiras 24 h após a BPCA. No pré-operatório, todos os pacientes permaneceram sob ventilação mecânica invasiva por 4.5 ± 4.3 dias.

Resultados diagnósticos e mudanças na estratégia de tratamento
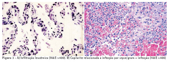
Os resultados diagnósticos das BPCAs são mostradas na Tabela 1, assim como nas Figuras de 1 a 4. Todos os espécimes de biópsias exibiram anormalidades. Pelo menos uma causa específica de insuficiência respiratória foi encontrada em todos os casos. A causa mais comum foi infecção viral, a qual foi identificada em 5 pacientes (41.6%). O diagnóstico pré-operativo da causa da insuficiência respiratória foi alterado em 11 pacientes (91.6%). Um diagnóstico específico foi elaborado em 100% dos casos, e as estratégias de tratamento foram alteradas com base nos resultados das BPCA. A mudança no tratamento foi definida como a adição/subtração de uma ou mais drogas ou a prematura retirada do sistema avançado de suporte à vida. Mudanças nas terapêuticas de tratamento geralmente envolveram antibióticos ou corticosteróides, mas também incluíram heparinização e o início ou retirada de agentes antineoplásticos para toxicidade medicamentosa e malignidade, respectivamente. Um paciente recebeu drogas antimaláricas em virtude da evidência de malária encontrada na BPCA.






Sobrevida
A despeito das mudanças na estratégia de tratamento, a taxa de mortalidade foi de 50%, somente 6 pacientes sobrevivendo para receber alta do hospital. Todos os pacientes que receberam alta sobreviveram por pelo menos 1 ano após a BPCA, resultando em uma taxa de sobrevida total de 50% em um ano para os 12 pacientes estudados. Para aqueles pacientes que faleceram no hospital, o tempo de sobrevida após a BPCA foi de 14 ± 10.8 dias.





Complicações
No pós-operatório, dois pacientes apresentaram fístulas broncopleurais. Em um desses pacientes, a fístula era de gravidade moderada e requeria apenas uma drenagem torácica. O outro paciente apresentava um grave vazamento de ar, que comprometia a ventilação alveolar e requeria outros ajustes na ventilação mecânica.














DISCUSSÃO

Embora a BPCA tivesse provido um diagnóstico específico em muitos pacientes com infiltrados pulmonares difusos e IRA, a taxa de mortalidade do hospital foi alta nesta população de pacientes. As taxas de mortalidade hospitalar de amostras similares, mas menores, de pacientes hipoxêmicos imunossuprimidos, submetidos a BPCA, são consistentes com nosso experimento, variando de 57% a 78%.(6,9-12)
Por outro lado, as taxas de mortalidade após a BPCA, relatadas para o total de pacientes imunossuprimidos (hipoxêmicos e não-hipoxêmicos), tendem a ser menores.(13-16) Em um estudo sobre pacientes imunossuprimidos, Greenman et al.(11) encontraram uma taxa de mortalidade de 73% em pacientes hipoxêmicos (PaO2 < 55 mmHg) e 39% em pacientes não-hipoxêmicos. Em pacientes imunossuprimidos, Jaffe e Maki(16) descobriram que, em pacientes submetidos a BPCA, o
PaO2 era significativamente maior entre aqueles que viriam a sobreviver do que entre os que não viriam a sobreviver. Embora nosso estudo não tenha sido delineado para avaliar a hipóxia como preditor de mortalidade em pacientes submetidos a BPCA, nossos pacientes hipoxêmicos não apresentaram uma boa evolução.

Em virtude da alta taxa de mortalidade, seria útil poder prever o desfecho. Poe et al.(12) conduziram uma revisão retrospectiva, com o objetivo de predizer a mortalidade em pacientes imunocomprometidos, com infiltrados pulmonares, que seriam submetidos a biópsia transbrônquica ou BPCA. Os autores descobriram que a necessidade de ventilação mecânica precoce (dentro das primeiras 72 h após a admissão, pré-operativamente, ou durante mais de 24 horas pós - operativamente), ar ambiente inicial PaO2, e tratamento com corticosteróides no início dos sintomas, eram preditores significativos de mortalidade. Dos 8 pacientes que tiveram PaO2 de < 50 mmHg respirando ar ambiente, que estavam recebendo corticosteróides e que requereram ventilação mecânica precoce, nenhum sobreviveu.

Os pesquisadores, em sua maioria, acreditam que a mortalidade nos pacientes submetidos a BPCA deve-se à gravidade da doença de base e não às complicações relacionadas ao procedimento cirúrgico.(6-7,9-10,15) Embora esta afirmação seja difícil de provar, nenhuma das complicações observadas em nosso estudo pareceu ser a causa direta do óbito. Todavia, a mais alta taxa de mortalidade nos pacientes portadores de complicações, embora não sendo estatisticamente significativa, sugere que tais complicações têm um impacto sobre o estado do paciente. Estudos avaliadores do impacto das complicações da BPCA no desfecho deveriam incluir um grupo controle de não-operados. Em um estudo prospectivo e randômico, no qual a BPCA foi comparada à terapêutica empírica de antibióticos para o tratamento da pneumonite aguda em 22 pacientes cancerosos não-neutropênicos,
Potter et al.(17) não encontraram diferença significativa nas taxas de mortalidade entre os dois grupos. Os pesquisadores acharam que as complicações da BPCA experimentadas pelos 3 pacientes (21% dos que se submeteram a BPCA) contribuiu diretamente para seus óbitos. Apesar de nossos pacientes não terem sofrido esta alta taxa de complicações catastróficas, qualquer complicação resultante de um procedimento de benefício incerto é preocupante. A cirurgia intratorácica, especialmente no paciente hipoxêmico, carrega consigo o risco da ventilação mecânica pós-operativa prolongada. Embora metade de nossos pacientes pudessem ser extubados pós-operativamente, 6 pacientes (50%) foram ventilados mecanicamente até a morte. Não se sabe quantos desses pacientes teriam precisado de suporte ventilatório no final, se a BPCA não tivesse sido realizada, embora apenas um dos pacientes tivesse apresentado uma complicação séria (vazamento de ar) relacionada à biópsia.

Nossa taxa de 100% de diagnósticos específicos é maior que a daqueles encontrados em estudos de BPCA envolvendo pacientes imunossuprimidos, que varia de 55 a 83%.(6-7,9-12,16,18-20) Em muitos casos, o diagnóstico pré-operativo foi errôneo ou incompleto. O impacto que as mudanças no diagnóstico, a elaboração de um diagnóstico específico, e as subseqüentes alterações na estratégia do tratamento, exerceram sobre a sobrevida é muito encorajador, e espelha a experiência de outros pesquisadores.(3,17) Os diagnósticos tardios podem ser responsáveis pelo fato de a taxa de mortalidade para nossos pacientes ter sido maior que a apresentada na literatura, já que a amostra do nosso estudo incluiu muitos pacientes que estavam sendo submetidos à BPCA relativamente tarde no curso de sua IRA. Alguns pesquisadores(16,21-22) argumentaram que a mortalidade poderia ter sido ainda maior no grupo diagnóstico, se um diagnóstico não tivesse sido feito, uma especulação que pode ser avaliada usando nossos dados. Além do mais, os pacientes sem um diagnóstico específico podem ter tido menos doenças graves, e poderiam, destarte, ter sido pré-selecionados por mortalidade mais baixa.(16) Não obstante, embora a BPCA seja indubitavelmente valiosa em assegurar ou confirmar diagnósticos, nossos resultados sugerem que a BPCA tem uma influência positiva nas taxas de sobrevida do paciente, ao informar decisões concernentes à estratégia do tratamento. Portanto, em casos de IRA, a BPCA deve ser realizada se, após o tratamento padrão, o procedimento diagnóstico minimamente invasivo, e a avaliação (por especialistas em pneumologia e terapia intensiva), o paciente continuar refratário ao tratamento, requerendo o suporte da ventilação mecânica invasiva.

Quando o benefício ao paciente é definido pela sobrevida, 6 pacientes (50%), todos os quais sobreviveram e nos quais os achados da BPCA foram considerados úteis na orientação do tratamento, definitivamente se beneficiaram da BPCA.

Em conclusão, a BPCA pode prover um diagnóstico etiológico específico e acurado em muitos pacientes com infiltrados pulmonares difusos e IRA, quando não há melhora clínica após o tratamento padrão. Além disso, a BPCA pode revelar diagnósticos específicos que requerem tratamento distinto, o que poderia baixar a taxa de mortalidade para tais pacientes.

REFERENCES


1. Wall CP, Gaensler EA, Carrington CB, Hayes JA: Comparison of transbronchial and open lung biopsies in chronic infiltrative lung diseases. Am Rev Respir Dis. 1981;123(3):280-5.
2. Gaensler EA, Carrington CB. Open biopsy for chronic diffuse infiltrative lung disease: clinical, roentgenographic, and physiological correlations in 502 patients. Ann Thorac Surg. 1980;30(5):411-26.
3. Ray JF 3rd, Lawton BR, Myers WO, Toyama WM, Reyes CN, Emanuel DA, et al. Open pulmonary biopsy: nineteen- experience with 416 consecutive operations. Chest. 1976;69(1):43-7.
4. McKenna RJ Jr, Mountain CF, McMurtrey MJ. Open lung biopsy in immunocompromised patients. Chest. 1984;86(5):671-4.
5. McCabe RE, Brooks RG, Mark JB, Remington JS. Open lung biopsy in patients with acute leukemia. Am J Med. 1985;78(4):609-16.
6. Warner DO, Warner MA, Divertie MB. Open lung biopsy in patients with diffuse pulmonary infiltrates and acute respiratory failure. Am Rev Respir Dis. 1988;137(1):90-4.
7. Cheson BD, Samlowski WE, Tang TT, Spruance SL. Value of open-lung biopsy in 87 immunocompromised patients with pulmonary infiltrates. Cancer. 1985;55(2):453-9.
8. Schettino IA, Ab'Saber AM, Vollmer R, Saldiva PH, Carvalho CR, Kairalla RA, et al. Accuracy of high resolution CT in assessing idiopathic pulmonary fibrosis histology by objective morphometric index. Pathol Res Pract. 2002;198(5):347-54.
9. Nelems JM, Cooper JD, Henderson RD, Peng T, Phillips MJ. Emergency open lung biopsy. Ann Thorac Surg. 1976;22(3):260-4.
10. Satterfield JR Jr, McLaughlin JS. Open lung biopsy in diagnosing pulmonary infiltrates in immunosuppressed patients. Ann Thorac Surg. 1979;28(4):359-62.
11. Greenman RL, Goodall PT, King D. Lung biopsy in immunocompromised hosts. Am J Med. 1975;59(4):488-96.
12. Poe RH, Wahl GW, Qazi R, Kallay MC, Utell MJ, Morrow GR. Predictors of mortality in the immunocompromised patient with pulmonary infiltrates. Arch Intern Med. 1986;146(7):1304-8.
13. Rossiter SJ, Miller C, Churg AM, Carrington CB, Mark JB. Open lung biopsy in the immunosuppressed patient. Is it really beneficial? J Thorac Cardiovasc Surg. 1979;77(3):338-45.
14. Cheson BD, Samlowski WE, Tang TT, Spruance SL. Value of open-lung biopsy in 87 immunocompromised patients with pulmonary infiltrates. Cancer. 1985;55(2):453-9.
15. Leight GS Jr, Michaelis LL. Open lung biopsy for the diagnosis of acute, diffuse pulmonary infiltrates in the immunosuppressed patient. Chest. 1978;73(4):477-82.
16. Jaffe JP, Maki DG. Lung biopsy in immunocompromised patients: one institution's experience and an approach to management of pulmonary disease in the compromised host. Cancer. 1981;48(5):1144-53.
17. Potter D, Pass HI, Brower S, Macher A, Browne M, Thaler M, et al. Prospective randomized study of open lung biopsy versus empirical antibiotic therapy for acute pneumonitis in nonneutropenic cancer patients. Ann Thorac Surg. 1985;40(5):422-8.
18. Haverkos HW, Dowling JN, Pasculle AW, Myerowitz RL, Lerberg DB, Hakala TR. Diagnosis of pneumonitis in immunocompromised patients by open lung biopsy. Cancer. 1983;52(6):1093-7.
19. Hiatt JR, Gong H, Mulder DG, Ramming KP. The value of open lung biopsy in the immunosuppressed patient. Surgery. 1982;92(2):285-91.
20. Hill JD, Ratliff JL, Parrott JC, Lamy M, Fallat RJ, Koeniger E, et al. Pulmonary pathology in acute respiratory insufficiency: lung biopsy as a diagnostic tool. J Thorac Cardiovasc Surg. 1976;71(1):64-71.
21. Waltzer WC, Sterioff S, Zincke H, Bernatz PE, Brewer NS. Open-lung biopsy in the renal transplant recipient. Surgery. 1980;88(4):601-10.
22. Monteiro AS, Addor G, Nigri DH, Franco CAB. Open lung biopsy in patients on mechanical ventilation and presenting diffuse pulmonary infiltrate. J Bras Pneumol. 2005;31(3):212-8.
_____________________________________________________________________________________________
* Trabalho realizado na Unidade de Terapia Intensiva, Hospital Israelita Albert Einstein, no Departamento de Patologia, Faculdade de Medicina da Universidade de São Paulo, e Departamento de Pneumologia, Instituto do Coração, Faculdade de Medicina da Universidade de São Paulo, Brasil.
1. Unidade de Terapia Intensiva, Hospital Israelita Albert Einstein, São Paulo, Brasil
2. Departamento de Patologia, Faculdade de Medicina da Universidade de São Paulo, Brasil
3. Departamento de Pneumologia, Instituto do Coração, Faculdade de Medicina da Universidade de São Paulo, Brasil
Endereço para correspondência: Profa. Vera Luiza Capelozzi, Departamento de Patologia, Faculdade de Medicina da Universidade de São Paulo, Av. Dr. Arnaldo 455 - CEP 01246-903, São Paulo, SP, Brasil. E-mail: vcapelozzi@lim05.fm.usp.br
Recebido para publicação, em 21/11/2005. Aprovado após revisão, em 03/02/2006.

Indexes

Development by:

© All rights reserved 2025 - Jornal Brasileiro de Pneumologia