ABSTRACT
Objective: To evaluate alterations in pulmonary function in patients with systemic sclerosis-associated interstitial pneumonia over a five-year period. Methods: This was a longitudinal study involving 35 nonsmoking patients with systemic sclerosis and without a history of lung disease. At the first evaluation, performed at the time of the diagnosis of interstitial pneumonia, the patients were submitted to HRCT, spirometry, and measurement of DLCO. The patients were subdivided into two groups by the presence or absence of honeycombing on the HRCT scans. Approximately five years after the first evaluation, the patients were submitted to spirometry and measurement of DLCO only. Results: Of the 35 patients, 34 were women. The mean age was 47.6 years. The mean time between the two evaluations was 60.9 months. Honeycombing was detected on the HRCT scans in 17 patients. In the sample as a whole, five years after the diagnosis, FVC, FEV1 and DLCO significantly decreased (81.3 ± 18.2% vs. 72.1 ± 22.2%; 79.9 ± 17.8% vs. 72.5 ± 20.6%; and 74.0 ± 20.5% vs. 60.7 ± 26.8%, respectively; p = 0.0001 for all), and the FEV1/FVC ratio significantly increased (98.5 ± 7.2% vs. 101.9 ± 7.8%; p = 0.008). In the same period, FVC, FEV1, and DLCO values were significantly lower in the patients with honeycombing on the HRCT scans than in those without (p = 0.0001). Conclusions: In systemic sclerosis-associated interstitial lung disease, the detection of honeycombing on HRCT is crucial to predicting accelerated worsening of pulmonary function.
Keywords:
Scleroderma, systemic; Respiratory function tests; Tomography, X-ray computed.
RESUMO
Objetivo: Avaliar as alterações da função pulmonar em portadores de pneumonia intersticial associada à esclerose sistêmica no intervalo de cinco anos. Métodos: Foi realizado um estudo longitudinal no qual foram avaliados 35 pacientes não tabagistas com esclerose sistêmica e sem história de doença pulmonar prévia. Na primeira avaliação, realizada na época do diagnóstico da pneumonia intersticial, os pacientes foram submetidos à TCAR, espirometria e medida de DLCO. Os pacientes foram subdivididos em dois grupos de acordo com a presença ou não de faveolamento na TCAR. Aproximadamente cinco anos após a primeira avaliação, os pacientes foram submetidos a espirometria e medida da DLCO apenas. Resultados: Dos 35 pacientes, 34 eram mulheres, com média de idade de 47,6 anos. A média de tempo entre as duas avaliações foi de 60,9 meses. O faveolamento foi demonstrado por TCAR em 17 pacientes. Na amostra total, após cinco anos do diagnóstico, CVF, VEF1 e DLCO reduziram significativamente (81,3 ± 18,2% vs. 72,1 ± 22,2%; 79,9 ± 17,8% vs. 72,5 ± 20,6%; e 74,0 ± 20,5% vs. 60,7 ± 26,8%, respectivamente; p = 0.0001 para todos), enquanto a relação VEF1/CVF aumentou significativamente (98,5 ± 7,2% vs. 101,9 ± 7,8%; p = 0,008). No mesmo período, os valores de CVF, VEF1 e DLCO foram significativamente menores nos pacientes com faveolamento do que naqueles sem faveolamento na TCAR (p = 0,0001). Conclusões: Na esclerose sistêmica com doença pulmonar intersticial associada, a detecção de faveolamento na TCAR é determinante para predizer uma deterioração acelerada da função pulmonar.
Palavras-chave:
Escleroderma sistêmico; Testes de função respiratória; Tomografia computadorizada por raios X.
IntroduçãoA esclerose sistêmica (ES) é uma doença inflamatória crônica do tecido conjuntivo, caracterizada por extensa fibrose e anormalidades de pequenos vasos e da microvasculatura. Apesar de o acometimento cutâneo ser o mais exuberante, a doença pode atingir órgãos internos, tais como pulmão, rim, coração e trato gastrintestinal, fato este que acarreta piora do prognóstico.(1)
As alterações pulmonares representam atualmente a principal causa de mortalidade na ES.(2) Sabe-se que a maioria dos pacientes apresenta alguma forma de lesão pulmonar ao longo da evolução da enfermidade, sendo o comprometimento intersticial e a doença vascular pulmonar as manifestações mais frequentes e com maiores repercussões clínicas.(3)
A pneumonia intersticial é encontrada em aproximadamente 80% dos casos de ES.(4) Do ponto de vista histopatológico, a doença pode apresentar-se mais comumente como pneumonia intersticial usual (PIU) ou pneumonia intersticial não específica (PINE), sendo essa última a forma mais frequente e de melhor prognóstico.(5,6) Dentre os métodos de investigação do acometimento intersticial da ES, a biópsia pulmonar raramente é realizada por se tratar de um exame invasivo. Por isso, a TCAR é considerada atualmente o método de escolha, com sensibilidade maior que 90%.(7,8) Na TCAR, a presença de faveolamento tem sensibilidade de 90% e especificidade de 86% para o diagnóstico de PIU, sendo raro na PINE.(6,9)
No acompanhamento dos pacientes com pneumonia intersticial associada à ES, além da TCAR, os testes de função respiratória são frequentemente utilizados. O mais difundido desses é a espirometria, que mostra um padrão restritivo em 30-60% dos casos, especialmente naqueles sem história de tabagismo associada.(10-12) Outro teste de função pulmonar bastante útil é a medida da DLCO, que tipicamente se reduz de forma muito mais rápida que os volumes pulmonares.(12) Em termos prognósticos, as alterações funcionais são marcadores importantes da evolução da pneumonia intersticial associada à ES, tanto na avaliação inicial quanto na sequencial.(8)
O objetivo do presente estudo foi avaliar as alterações da função pulmonar no intervalo de cinco anos em portadores de ES, não fumantes e com pneumonia intersticial diagnosticada pela TCAR, assim como determinar o impacto da detecção de faveolamento na TCAR sobre os parâmetros funcionais durante esse período.
MétodosFoi realizado um estudo longitudinal, no qual foram avaliados 63 pacientes portadores de pneumonia intersticial associada à ES. O estudo consistiu de duas avaliações: a primeira, na época do diagnóstico da pneumonia intersticial, entre fevereiro de 2002 e setembro de 2005; a segunda, após cinco anos, entre abril de 2007 e junho de 2010. A participação desses indivíduos ocorreu após a ciência quanto ao objetivo do estudo e com o consentimento prévio, de acordo com as normas éticas vigentes. O protocolo foi aprovado pelo Comitê de Ética em Pesquisa do Hospital Universitário Pedro Ernesto da Universidade do Estado do Rio de Janeiro.
Durante a primeira avaliação, o doente só era elegível para a inclusão no estudo caso apresentasse diagnóstico de ES previamente estabelecido por critérios clínicos e laboratoriais.(13) Foram excluídos os pacientes tabagistas e ex-tabagistas, aqueles com história de asma associada e aqueles com TCAR normal, assim como os portadores de ES que também apresentavam outras doenças do colágeno ou silicose (síndrome de Erasmus). Após a aplicação desses critérios, 28 pacientes foram excluídos: 22 apresentavam TCAR normal, 3 também apresentavam asma, 2 possuíam doença mista do tecido conjuntivo, e 1 também apresentava silicose. Assim, a amostra final desta casuística foi constituída de 35 pacientes com doença intersticial diagnosticada pela TCAR, mas sem confirmação histológica. Nessa primeira avaliação, além da TCAR, foram realizadas espirometria e medida da DLCO.
Cerca de cinco anos depois, os pacientes foram submetidos à segunda avaliação do estudo, constituída de novos exames da função pulmonar (espirometria e medida da DLCO).
Foram utilizados os seguintes instrumentos para a avaliação radiológica e funcional:
a) Teste de função pulmonar, constituído por espirometria e método de respiração única para DLCO. Os exames foram realizados com um sistema para teste de função pulmonar (Collins Plus; Warren E. Collins, Inc., Braintree, MA, EUA) e seguiram a padronização e interpretação da Sociedade Brasileira de Pneumologia e Tisiologia.(14) Foram adotadas as equações de Pereira (espirometria) e as de Neder (difusão) na interpretação dos parâmetros funcionais.(15,16) Neste estudo, foi considerada como doença progressiva a constatação de uma queda de pelo menos 10% na CVF ou de 15% na DLCO, em relação aos valores basais.(2,5)
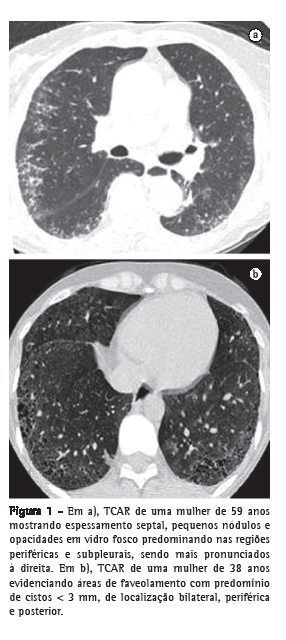
b) TCAR realizada com um aparelho GE (modelo HiSpeed LX/i; General Electric Medical Systems, Milwaukee, WI, EUA), com cortes com espessura de 1,0 mm, intervalo de tempo de 1,5 s, incremento de 10 mm, reconstrução de imagens com matriz de 512 × 512 pontos com algoritmo de alta resolução, largura de janela de 1.000 UH e nível médio de janela de −700 UH. A interpretação dos achados tomográficos foi feita de maneira independente por dois radiologistas com experiência em doença intersticial pulmonar. A TCAR foi analisada procurando-se os seguintes achados: pequenos nódulos, opacidade em vidro fosco, espessamento septal, faveolamento e bronquiectasia de tração. Para fins comparativos, os pacientes foram divididos em dois grupos, de acordo com a presença ou não de faveolamento (Figura 1).

Os dados quantitativos foram descritos através de médias e desvios-padrão ou erros-padrão. Para as variáveis categóricas, utilizou-se o percentual. Para verificar a semelhança entre os grupos com e sem faveolamento, foi utilizado o teste de Mann-Whitney. Na comparação entre as duas avaliações funcionais (amostra total e grupos com e sem faveolamento), foi utilizado o teste dos postos sinalizados de Wilcoxon. Na comparação entre os deltas absolutos das variáveis funcionais entre os grupos com e sem faveolamento, foi empregado o teste de Mann-Whitney. O nível de significância adotado foi de p < 0,05. As análises foram feitas através do programa Statistical Analysis System versão 6.04 (SAS Institute, Inc., Cary, NC, EUA).
ResultadosAs características clínicas e as alterações tomográficas da amostra na época do diagnóstico da pneumonia intersticial estão demonstradas na Tabela 1. Dos 35 pacientes avaliados, 34 eram mulheres. A média de idade foi de 47,6 anos (variação: 28-65 anos).

Não houve discordância entre os radiologistas quanto à presença ou ausência de pneumonia intersticial, nem quanto aos achados tomográficos diagnosticados. As principais anormalidades tomográficas foram pequenos nódulos (opacidades arredondadas < 1 cm), espessamento septal e opacidades em vidro fosco, detectados em 30, 29 e 26 casos, respectivamente. O aspecto de favo de mel foi notado em 17 casos, sendo que, em 13 deles, havia áreas de vidro fosco pouco extenso de permeio. Bronquiectasias de tração foram observadas em 13 casos, todos eles com áreas de faveolamento associadas.
Considerando a amostra total, a média e o desvio-padrão das duas avaliações da função pulmonar são descritos na Tabela 2. A média do intervalo entre as mensurações foi de 60,9 meses (variação: 57-65 meses). Na primeira avaliação, a redução da CVF foi observada em 54,3% dos pacientes, enquanto 68,6% apresentaram queda da DLCO. Já na segunda avaliação, a diminuição da CVF foi notada em 60% dos doentes, enquanto 77,1% apresentaram queda da DLCO. Houve queda da CVF de pelo menos 10% e redução da DLCO de pelo menos 15% em 57,1% e 62,9% dos casos, respectivamente. Nessa amostra, nenhum paciente avaliado apresentava limitação ao fluxo aéreo. Quando comparados os valores obtidos nas duas avaliações, houve diferenças estatisticamente significativas entre as médias de todas as medidas funcionais avaliadas.

Considerando os grupos com e sem faveolamento na TCAR (17 e 18 pacientes, respectivamente), observou-se uma diferença estatística significante entre as médias de idade (43,12 ± 9,01 anos para o grupo com faveolamento vs. 51,83 ± 10,73 anos para o grupo sem faveolamento; p = 0,013), assim como entre as médias dos valores absolutos e percentuais de CVF, VEF1 e DLCO (p < 0,001). Entretanto, não houve diferença significativa em relação ao intervalo entre as duas avaliações (60,94 ± 2,02 meses para o grupo com faveolamento vs. 60,83 ± 2,54 meses para o grupo sem faveolamento; p = 0,95), assim como entre as médias dos valores percentuais de VEF1/CVF (p = 0,92). As alterações da função pulmonar no intervalo de cinco anos, de acordo com a presença ou não de faveolamento na TCAR, são mostradas na Tabela 3.
No grupo sem o aspecto de favo de mel na TCAR na época do diagnóstico de pneumonia intersticial, 22,2% dos pacientes tinham redução da CVF e 38,9% apresentavam queda da DLCO. Na segunda avaliação, a diminuição da CVF foi observada em 22,2% dos doentes, enquanto 55,6% tinham queda da DLCO. Houve queda da CVF de pelo menos 10% em 22,2% dos pacientes, enquanto houve diminuição da DLCO de pelo menos 15% em 27,8% dos casos. Quando comparados os valores médios de função pulmonar das duas avaliações, houve diferenças estatisticamente significativas para todas as medidas, exceto na relação VEF1/CVF (Tabela 3).

No grupo com faveolamento na TCAR durante a primeira avaliação, 88,2% dos pacientes tinham redução da CVF e todos apresentavam queda da DLCO. Na segunda avaliação, todos os pacientes mostravam diminuição tanto na CVF quanto na DLCO. Observou-se uma redução da CVF de pelo menos 10% e uma queda da DLCO de pelo menos 15% em 94,1% e 100,0% dos casos, respectivamente. Notaram-se ainda diferenças estatisticamente significativas para todas as medidas funcionais estudadas (Tabela 3).
Por fim, foi realizada a comparação entre os deltas absolutos dos parâmetros de função pulmonar dos pacientes com e sem faveolamento na TCAR durante o intervalo de cinco anos (Tabela 4). Exceto para a relação VEF1/CVF, houve diferenças estatisticamente significativas para todas as variáveis funcionais avaliadas.
DiscussãoA fim de eliminar os efeitos do tabaco nos testes de função pulmonar, foram selecionados apenas doentes não tabagistas para este estudo. Com o objetivo de avaliar exclusivamente o efeito da ES no parênquima pulmonar, foram excluídos os pacientes que apresentavam sua associação com outras doenças do colágeno ou com exposição ocupacional.
Na ES, a secreção exagerada de colágeno e de outros componentes da matriz extracelular é possivelmente desencadeada por um mecanismo imunológico que envolve a liberação de diversas citocinas. Essa intensa estimulação fibroblástica é responsável por muitas manifestações da doença, incluindo a pneumonia intersticial.(1-3)
No grupo avaliado, a quase totalidade dos pacientes era do sexo feminino, o que está de acordo com a literatura, que relata uma maior prevalência da ES em mulheres.(17) Nota-se, também, uma semelhança da média de idade dos pacientes deste estudo na época do diagnóstico da doença intersticial (47,6 anos) com outras séries de casos de pneumonia intersticial associada à ES.(11,18,19)
A TCAR é atualmente considerada o exame radiológico de ponta na detecção do acometimento pulmonar. Áreas de faveolamento podem ser observadas na TC, especialmente nos casos de PIU e, em geral, também ocorrem áreas de opacidade em vidro fosco de permeio.(6,9,20) São vistas principalmente nas bases, predominando nas regiões periféricas e posteriores dos pulmões e, com frequência, associam-se a bronquiectasias de tração. Através da TCAR, observamos o aspecto de favo de mel em 48,6% dos casos, o que está de acordo com a frequência apresentada em outra casuística brasileira, que foi de 56%.(7)
Além dos métodos de imagem, os testes de função pulmonar são extremamente úteis nos casos de pneumonia intersticial associada à ES, tanto na época do diagnóstico, quanto no seguimento e no estabelecimento do prognóstico. No presente estudo, à época do diagnóstico da pneumonia intersticial, a síndrome restritiva foi observada em 54,3% dos casos, corroborando achados de outros estudos.(5,21)
Entretanto, a diminuição da DLCO foi notada em 68,6% dos casos, diferentemente de percentuais bem maiores relatados em outras casuísticas, que foram de 86,7% e 97,3%.(5,21) Uma possível explicação é a inclusão de indivíduos fumantes e ex-fumantes em outros estudos, já que é sabidamente conhecida a contribuição do tabaco na redução da DLCO.
Um dos achados mais significativos do presente estudo é a detecção do declínio acelerado da função pulmonar após cinco anos de acompanhamento. Observamos uma queda da CVF de pelo menos 10% em 57,1% dos casos e uma redução da DLCO de pelo menos 15% em 62,9% dos pacientes. Utilizando os mesmos percentuais dos índices funcionais para a definição de doença progressiva, outro estudo mostrou resultados semelhantes, com o relato de diminuição tanto da CVF quanto da DLCO em 56% dos casos após cinco anos de seguimento.(2)
Em relação aos valores médios (Tabela 2), observamos uma queda pronunciada da CVF e, especialmente, da DLCO, ambas em % do predito. É bem conhecida a redução mais acelerada da DLCO, quando comparada àquela observada nos índices espirométricos.(5,11,22) A medida da DLCO é considerada, pela maioria dos autores, como a medida em teste de repouso mais sensível para o diagnóstico do envolvimento pulmonar na ES, e é também amplamente utilizada na monitoração do tratamento e na estimativa do prognóstico.(2,5) Em um estudo, foi examinado o prognóstico em 71 pacientes com ES durante cinco anos; a sobrevida foi de somente 9% entre os pacientes com DLCO < 40% do teórico, comparada àquela de 75% quando a DLCO > 40%.(23) Entretanto, sua redução isolada é uma incógnita, podendo representar uma manifestação incipiente de doença intersticial, vasoconstrição hipóxica (fenômeno de Raynaud pulmonar) ou, ainda, um maior risco para o desenvolvimento de hipertensão pulmonar.(11,12,24)
Sabe-se, hoje, que a pneumonia intersticial associada à ES pode apresentar-se sob diferentes padrões histopatológicos, sendo os mais comuns a PINE e a PIU.(9,25) A PINE ainda pode ser dividida em dois subtipos: celular e fibrótico.(5) A importância em diferenciar os padrões histológicos está no prognóstico, uma vez que esse é melhor nos casos de PINE, especialmente naqueles com subtipo celular.(5,6,9) Entretanto, na prática clínica, a realização rotineira de biópsia pulmonar não é recomendada, ficando reservada para apresentações clínicas e tomográficas não habituais.(8) Na TCAR, a presença de faveolamento e de bronquiectasias de tração correlaciona-se com o diagnóstico de PIU ou PINE fibrótica, enquanto o aspecto de vidro fosco correlaciona-se com o diagnóstico de PINE celular.(6) Assim, no presente estudo, os pacientes foram divididos em dois grupos (um com e outro sem faveolamento na TCAR) na tentativa de avaliar as repercussões na função pulmonar após cinco anos da apresentação inicial.
Na época do diagnóstico da pneumonia intersticial, observamos diferenças significativas entre as medidas de CVF (%) e VEF1 (%) entre os dois grupos, com valores dentro dos limites de referência para os pacientes sem faveolamento na TCAR. Esses resultados estão de acordo com os de outro estudo que também comparou os doentes com e sem o aspecto de favo de mel na TCAR, com diferenças estatisticamente significativas entre as medidas de CVF (90,0 ± 3,6% para o grupo sem faveolamento vs. 71,0 ± 4,2% para o grupo com faveolamento; p < 0,01) e DLCO (88,0 ± 6,6% para o grupo sem faveolamento vs. 66,6 ± 4,0% para o grupo com faveolamento; p < 0,01).(26) Em nosso estudo, chama também a atenção a média de idade do grupo com faveolamento, que é bastante inferior àquela observada no grupo sem esse achado na TCAR. Entretanto, é bem conhecido o fato de que, na maioria das séries, os casos mais graves de pneumonia intersticial associada à ES (muitas vezes com fibrose pulmonar grave) aparecem nos primeiros cinco anos de doença.(8,27)
É pertinente uma análise crítica dos resultados e de suas limitações. A pneumonia intersticial pode se apresentar sob vários padrões histopatológicos na ES, e, em nosso estudo, a biópsia pulmonar não foi realizada. Entretanto, conforme comentado anteriormente, esse procedimento raramente é efetuado na ES e existe correlação entre o tipo histológico da doença intersticial e o padrão de anormalidade na TCAR.(5,6,9) Neste estudo, a função pulmonar foi utilizada como o único marcador de evolução da doença intersticial, sendo a TCAR estudada apenas na primeira avaliação; cabe ressaltar, no entanto, a associação entre o declínio funcional e a piora das anormalidades radiológicas apontada em outros estudos.(2,11,26) Outra limitação é que não foi realizado ecocardiograma; esse exame é importante na ES, uma vez que o diagnóstico de hipertensão pulmonar associada pode influenciar na piora funcional dos pacientes mais graves, especialmente nos valores de DLCO. Vale salientar ainda que a amostra não foi estudada conforme o tipo de tratamento instituído; esse dado poderia ter sido importante, pois pacientes com PINE costumam apresentar melhor resposta terapêutica em relação aos portadores de PIU.(5,6)
O achado mais importante do presente estudo é a relação entre o aparecimento de faveolamento na TCAR e o declínio acelerado da função pulmonar, após cinco anos de evolução. Esse fato pode ser justificado pelo amplo espectro histopatológico da pneumonia intersticial associada à ES, que engloba diferentes padrões.(5,9,25) Assim, é possível que os casos com faveolamento sejam de PIU ou de PINE fibrótica, enquanto os sem faveolamento sejam de PINE celular. Pelo nosso conhecimento, não há estudos na literatura comparando a evolução da função pulmonar, no intervalo de cinco anos, em portadores de ES com e sem faveolamento na TCAR.
Em conclusão, o presente trabalho mostra que, em portadores de pneumonia intersticial associada à ES e não fumantes, a evolução dos casos com faveolamento é diferente daquela observada na ausência desse achado tomográfico. Após cinco anos do diagnóstico da doença intersticial, o faveolamento na TCAR é determinante para a deterioração acelerada da função pulmonar, especialmente da DLCO.
Referências1. Simeón CP, Armadans L, Fonollosa V, Solans R, Selva A, Villar M, et al. Mortality and prognostic factors in Spanish patients with systemic sclerosis. Rheumatology (Oxford). 2003;42(1):71-5.
2. Goh NS, Desai SR, Veeraraghavan S, Hansell DM, Copley SJ, Maher TM, et al. Interstitial lung disease in systemic sclerosis: a simple staging system. Am J Respir Crit Care Med. 2008;177(11):1248-54.
3. Lynch JP, Orens JB, Kazerooni EA. Collagen vascular disease. In: Sperber M, editor. Diffuse Lung Disease: A Comprehensive Clinical-radiological Overview. London: Springer; 1999. p. 325-55.
4. Ramirez A, Varga J. Pulmonary arterial hypertension in systemic sclerosis: clinical manifestations, pathophysiology, evaluation, and management. Treat Respir Med. 2004;3(6):339-52.
5. Bouros D, Wells AU, Nicholson AG, Colby TV, Polychronopoulos V, Pantelidis P, et al. Histopathologic subsets of fibrosing alveolitis in patients with systemic sclerosis and their relationship to outcome. Am J Respir Crit Care Med. 2002;165(12):1581-6.
6. Lynch DA, Travis WD, Müller NL, Galvin JR, Hansell DM, Grenier PA, et al. Idiopathic interstitial pneumonias: CT features. Radiology. 2005;236(1):10-21.
7. Azevedo AB, Guimarães SM, Tavares Jr WC, Calderaro D, Leão Filho HM, Ferreira CS, et al. Avaliação da tomografia de alta resolução versus radiografia de tórax na doença intersticial pulmonar na esclerose sistêmica. Radiol Bras. 2005;38(2):95-9.
8. Kairalla RA. Interstitial lung disease in scleroderma. J Bras Pneumol. 2005;31(4):i-iii.
9. Flaherty KR, Toews GB, Travis WD, Colby TV, Kazerooni EA, Gross BH, et al. Clinical significance of histological classification of idiopathic interstitial pneumonia. Eur Respir J. 2002;19(2):275-83.
10. Minai OA, Dweik RA, Arroliga AC. Manifestations of scleroderma pulmonary disease. Clin Chest Med. 1998;19(4):713-31, viii-ix.
11. Wells AU, Hansell DM, Rubens MB, King AD, Cramer D, Black CM, et al. Fibrosing alveolitis in systemic sclerosis: indices of lung function in relation to extent of disease on computed tomography. Arthritis Rheum. 1997;40(7):1229-36.
12. Diot E, Boissinot E, Asquier E, Guilmot JL, Lemarié E, Valat C, et al. Relationship between abnormalities on high-resolution CT and pulmonary function in systemic sclerosis. Chest. 1998;114(6):1623-9.
13. Preliminary criteria for the classification of systemic sclerosis (scleroderma). Subcommittee for scleroderma criteria of the American Rheumatism Association Diagnostic and Therapeutic Criteria Committee. Arthritis Rheum. 1980;23(5):581-90.
14. Sociedade Brasileira de Pneumologia e Tisiologia. Diretrizes para Testes de Função Pulmonar. J Pneumol. 2002;28(Suppl 3):S1-S238.
15. Pereira CA, Sato T, Rodrigues SC. New reference values for forced spirometry in white adults in Brazil. J Bras Pneumol. 2007;33(4):397-406.
16. Neder JA, Andreoni S, Peres C, Nery LE. Reference values for lung function tests. III. Carbon monoxide diffusing capacity (transfer factor). Braz J Med Biol Res. 1999;32(6):729-37.
17. Arroliga AC, Podell DN, Matthay RA. Pulmonary manifestations of scleroderma. J Thorac Imaging. 1992;7(2):30-45.
18. Chan TY, Hansell DM, Rubens MB, du Bois RM, Wells AU. Cryptogenic fibrosing alveolitis and the fibrosing alveolitis of systemic sclerosis: morphological differences on computed tomographic scans. Thorax. 1997;52(3):265-70.
19. Desai SR, Veeraraghavan S, Hansell DM, Nikolakopolou A, Goh NS, Nicholson AG, et al. CT features of lung disease in patients with systemic sclerosis: comparison with idiopathic pulmonary fibrosis and nonspecific interstitial pneumonia. Radiology. 2004;232(2):560-7.
20. Gasparetto EK, Pimenta R, Inoue C, Ono SE, Escuissato DL. Esclerose sistêmica progressiva: aspectos na tomografia computadorizada de alta resolução. Radiol Bras 2005;38(5):329-32.
21. Jezler SF, Santiago MB, Andrade TL, Araújo Neto C, Braga H, Cruz AA. Interstitial lung disease in patients with progressive systemic sclerosis. A study of 58 cases J Bras Pneumol. 2005;31(4):300-6.
22. Gilson M, Zerkak D, Wipff J, Dusser D, Dinh-Xuan AT, Abitbol V, et al. Prognostic factors for lung function in systemic sclerosis: prospective study of 105 cases. Eur Respir J. 2010;35(1):112-7.
23. Peters-Golden M, Wise RA, Hochberg MC, Stevens MB, Wigley FM. Carbon monoxide diffusing capacity as predictor of outcome in systemic sclerosis. Am J Med. 1984;77(6):1027-34.
24. Scheja A, Akesson A, Wollmer P, Wollheim FA. Early
pulmonary disease in systemic sclerosis: a comparison between carbon monoxide transfer factor and static lung compliance. Ann Rheum Dis. 1993;52(10):725-9.
25. Parra ER, Otani LH, de Carvalho EF, Ab'Saber A, Capelozzi VL. Systemic sclerosis and idiopathic interstitial pneumonia: histomorphometric differences in lung biopsies. J Bras Pneumol. 2009;35(6):529-40.
26. Remy-Jardin M, Remy J, Wallaert B, Bataille D, Hatron PY. Pulmonary involvement in progressive systemic sclerosis: sequential evaluation with CT, pulmonary function tests, and bronchoalveolar lavage. Radiology. 1993;188(2):499-506.
27. Steen VD, Conte C, Owens GR, Medsger TA Jr. Severe restrictive lung disease in systemic sclerosis. Arthritis Rheum. 1994;37(9):1283-9.
* Trabalho realizado na Universidade do Estado do Rio de Janeiro, Rio de Janeiro (RJ) Brasil.Endereço para correspondência: Agnaldo José Lopes. Rua Araguaia, 1266, Bloco 1/405, Freguesia, Jacarepaguá, CEP 22745-271, Rio de Janeiro, RJ, Brasil. Tel 55 21 2576-2030. E-mail: phel.lop@uol.com.brApoio financeiro: Nenhum.Recebido para publicação em 17/8/2010. Aprovado, após revisão, em 6/12/2010.
Sobre os autoresAgnaldo José Lopes
Professor Adjunto. Faculdade de Ciências Médicas, Universidade do Estado do Rio de Janeiro. Professor Adjunto. Programa de Pós-Graduação em Ciências da Reabilitação, Centro Universitário Augusto Motta, Rio de Janeiro (RJ) Brasil.
Domenico Capone
Professor Adjunto. Faculdade de Ciências Médicas, Universidade do Estado do Rio de Janeiro, Rio de Janeiro (RJ) Brasil.
Roberto Mogami
Professor Adjunto. Faculdade de Ciências Médicas, Universidade do Estado do Rio de Janeiro, Rio de Janeiro (RJ) Brasil.
Sara Lucia Silveira de Menezes
Professora Adjunta. Programa de Pós-Graduação em Ciências da Reabilitação, Centro Universitário Augusto Motta. Professora Adjunta. Curso de Fisioterapia, Universidade Federal do Rio de Janeiro, Rio de Janeiro (RJ) Brasil.
Fernando Silva Guimarães
Professor Adjunto. Programa de Pós-Graduação em Ciências da Reabilitação, Centro Universitário Augusto Motta. Professor Adjunto. Curso de Fisioterapia, Universidade Federal do Rio de Janeiro, Rio de Janeiro (RJ) Brasil.
Roger Abramino Levy
Professor Adjunto. Faculdade de Ciências Médicas, Universidade do Estado do Rio de Janeiro, Rio de Janeiro (RJ) Brasil.