Continuous and bimonthly publication
ISSN (on-line): 1806-3756

Licença Creative Commons
27239
Views
Back to summary
Open Access Peer-Reviewed
Case Report

Tratamento da hipertensão pulmonar esquistossomótica

Treatment of schistosomiasis-associated pulmonary hypertension

Ricardo de Amorim Correa, Marcus Vinicius Souza Couto Moreira, Jucielle Marcelina da Silva Saraiva, Eliane Viana Mancuzo, Luciana Cristina dos Santos Silva, José Roberto Lambertucci

ABSTRACT

Schistosomiasis mansoni is the third most prevalent endemic parasitic disease in the world. It is estimated that over 200 million people are infected with parasites belonging to one of the Schistosoma species. Of those, 270,000 people (4.6%) suffer from pulmonary arterial hypertension, which is associated with the hepatosplenic form of the disease. This high prevalence makes schistosomiasis-associated pulmonary hypertension the leading cause of pulmonary hypertension worldwide. However, no specific treatment for the pulmonary vascular component of the disease has yet been devised. We report the case of a patient with schistosomiasis-associated pulmonary hypertension who was treated satisfactorily with a phosphodiesterase-5 inhibitor (sildenafil).

Keywords: Schistosomiasis mansoni; Hypertension, pulmonary; Drug therapy.

RESUMO

A esquistossomose mansoni é a terceira doença parasitária endêmica mais prevalente do mundo. Estima-se que mais de 200 milhões de pessoas estejam infectadas com uma das espécies do parasita Schistosoma. Dessas, 270.000 pessoas (4,6%) são portadoras de hipertensão arterial pulmonar, que é associada à forma hepatoesplênica da doença. Essa alta prevalência coloca a hipertensão pulmonar esquistossomótica como a causa mais frequente de hipertensão pulmonar no mundo. Entretanto, o tratamento dirigido especificamente ao acometimento vascular pulmonar não está ainda estabelecido. Relatamos o caso de uma paciente portadora dessa doença que foi tratada com um inibidor de fosfodiesterase-5 (sildenafil) com resultados satisfatórios.

Palavras-chave: Esquistossomose mansoni; Hipertensão pulmonar; Quimioterapia.

Introdução


A síndrome de hipertensão pulmonar (HP) constitui um grupo heterogêneo de condições que apresentam em comum um acometimento arterial pulmonar, caracterizado pelo remodelamento das camadas vasculares íntima e média, com o consequente aumento da resistência vascular pulmonar, hipertrofia e dilatação do ventrículo direito, podendo culminar com disfunção cardíaca significativa (cor pulmonale) e óbito. (1-3)

A HP é, atualmente, definida pela presença de pressão média da artéria pulmonar igual ou superior a 25 mmHg medida, em repouso, através de cateterismo cardíaco direito. (4) A classificação atual abrange cinco grupos, sendo que para a definição da hipertensão arterial pulmonar (HAP, Grupo I), acresce-se a pressão de oclusão de artéria pulmonar, a pressão diastólica final do ventrículo esquerdo ou a pressão do átrio esquerdo, que devem ser inferiores a 15 mmHg. (5)

A síndrome se manifesta clinicamente por dispneia, dor torácica opressiva e/ou síncope a esforços; radiologicamente, pela dilatação das artérias e do tronco pulmonar e, ao ecocardiograma, pelo aumento da pressão sistólica da artéria pulmonar, calculada a partir da velocidade de regurgitação tricúspide e da pressão do átrio direito. (4,6)

A esquistossomose constitui a terceira doença parasitária endêmica mais prevalente no mundo, precedida por malária e amebíase. (7-9)

Estima-se em mais de 300 milhões de indivíduos estejam infectados por uma de suas espécies, sendo Schistosoma mansoni, S. haematobium e S. japonicum as mais importantes. Outros 600 milhões de indivíduos estão sob risco dessa infecção no mundo. (8) O pulmão constitui uma etapa obrigatória do ciclo de vida do parasita, que causa lesões pulmonares agudas e crônicas, sendo essas últimas geralmente associadas à forma hepatoesplênica da doença. (9,10) Esse acometimento, mais comum em áreas endêmicas, parece decorrer de mecanismos inflamatórios na parede vascular e não simplesmente por fenômenos tromboembólicos originários da migração e da impactação dos ovos do parasita nas arteríolas pulmonares, o que pode resultar em remodelamento, aumento da resistência vascular, HP e insuficiência do ventrículo direito (cor pulmonale). (9,11)

As drogas atualmente disponíveis no Brasil para o tratamento da HAP são bosentana e sildenafil. Elas não foram testadas sistematicamente no manejo de pacientes portadores da forma associada à esquistossomose, restringindo-se a literatura atual a comunicações breves e a estudos iniciais apresentados em congressos que ainda não foram publicados. Os resultados favoráveis em desfechos funcionais e na qualidade de vida obtidos com essas drogas em ensaios clínicos randomizados em outros grupos de pacientes deverão estimular a realização de estudos controlados para essa importante e frequente condição. Dentre os desfechos, a distância percorrida no teste da caminhada de seis minutos (DTC6), verificada em pacientes portadores de HAP idiopática, apresentou correlações significativas com a classe funcional, débito cardíaco, resistência vascular pulmonar e consumo de oxigênio, assim como uma associação significativa e independente com a mortalidade, tendo como ponto de corte o valor de DTC6 de 332 m. (12)

Este artigo tem como objetivo relatar a experiência do uso de um inibidor de fosfodiesterase-5 (sildenafil) em um paciente portador de HP e cor pulmonale associados à esquistossomose mansônica.

Relato de caso

Paciente do sexo feminino, 35 anos, natural da região nordeste do estado de Minas Gerais, portadora de esquistossomose mansônica, na forma hepatoesplênica com HP, estava em tratamento no Serviço de Doenças Infecciosas e Parasitárias e no Ambulatório de Doenças da Circulação Pulmonar do Hospital das Clínicas da Universidade Federal de Minas Gerais. Ela informava a presença de ortopneia, dispneia paroxística noturna, dor torácica e palpitações desde os 18 anos de idade. Cinco anos antes, fora admitida em UTI com suspeita de embolia pulmonar. A partir daquela ocasião, apresentou uma piora progressiva dos sintomas, culminando com limitação acentuada para realizar qualquer atividade doméstica e com hospitalizações repetidas por descompensação cardíaca direita grave.

À primeira avaliação, a paciente queixava-se de edema de membros inferiores, náuseas e dor precordial incaracterística. Apresentava pré-síncope desencadeada por esforços, com limitação correspondente à classe funcional IV (Organização Mundial da Saúde).

Ao exame físico, apresentava ingurgitamento jugular, ritmo cardíaco regular com hiperfonese de segunda bulha no foco pulmonar e ausculta pulmonar sem alterações. Ausência de edema de membros inferiores no dia do exame, após hospitalização recente. O fígado era palpável a 4 cm do rebordo costal esquerdo, doloroso, e o baço era do tipo II.

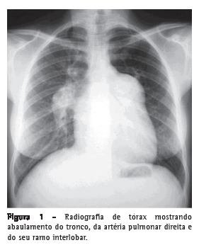
A ultrassonografia de abdome revelava espessamento ecogênico periportal central e periférico moderado, espessamento da parede da vesícula biliar, com sinais de hipertensão portal (veia porta = 13 mm e veia esplênica = 10 mm) e detecção de veia paraumbilical com 11 mm como via de circulação colateral, compatíveis com esquistossomose hepatoesplênica. O diâmetro longitudinal do baço era de 117 mm. A endoscopia digestiva alta revelava varizes esofagianas de pequeno calibre na primeira avaliação. As sorologias para hepatitis B surface antigen (HBsAg), antibody to hepatitis B surface antigen (anti-HBs), antibody to hepatitis B core antigen (anti-HBc) e antibody to hepatitis C virus (anti-HCV) foram negativas. A radiografia de tórax apresentava dilatação de artérias pulmonares e aumento das câmaras cardíacas direitas (Figura 1), confirmados pela TC de tórax (Figura 2). O eletrocardiograma apresentava sinais de sobrecarga de câmaras direitas. Ao ecocardiograma, havia aumento do átrio e do ventrículo direitos, com pressão sistólica de artéria pulmonar estimada em 145 mmHg, e dilatação aneurismática da artéria pulmonar (56 mm). Os resultados espirométricos foram os seguintes: VEF1 = 2,22 L (76%), CVF = 3,04 L (90%), VEF1/CVF = 73,03% e prova broncodilatadora negativa. A DTC6 foi de 153,6 m, e o teste foi interrompido aos 1,25 min por pré-síncope. A angiotomografia e a cintilografia pulmonar, realizadas previamente, evidenciavam dilatação aneurismática de artéria pulmonar, ausência de falhas de enchimento arterial pulmonar e baixa probabilidade para embolia pulmonar. O cateterismo cardíaco direito demonstrava pressão sistólica de artéria pulmonar de 140 mmHg, pressão média da artéria pulmonar de 88 mmHg, índice cardíaco de 3,0 L  min−1  m−2 e resistência vascular pulmonar de 23,0 Woods. A prova de vasorreatividade pulmonar com óxido nítrico foi negativa.








Tendo em vista a gravidade do caso, as internações frequentes com risco de vida, a limitação funcional acentuada e os resultados favoráveis obtidos com outros pacientes, discutiu-se a indicação de um tratamento específico para a HAP. Optou-se pelo uso da sildenafil, na dose de 20 mg, três vezes ao dia, como teste terapêutico. No período observado, houve melhora significativa dos sintomas, da capacidade funcional e da DTC6, conforme a evolução demonstrada na Tabela 1.




Discussão

A esquistossomose apresenta um lugar de destaque entre as causas de HAP no mundo e particularmente no Brasil. A real prevalência da doença é, ainda, desconhecida, mas como a moléstia parasitária é muito frequente especula-se que ela possa ser a maior causa de HAP no mundo. (11,13,14)

Do ponto de vista patológico, há evidências de acometimento arteriolar pulmonar granulomatoso crônico, fibrose e hipertrofia das camadas íntima, média e adventícia, independentemente da presença de ovos do parasita na parede vascular. (13)

Em 246 pacientes com comprometimento cardiopulmonar e suspeita de infecção por S. mansoni, um grupo de autores encontrou sinais de HP no ecocardiograma em 25% dos casos, sendo que 80% tinham diagnóstico de esquistossomose. (15) Outros autores relataram HP em 7,5-21,6% dos pacientes com esquistossomose. (7)

Dados de centros especializados em atendimento de pacientes portadores de HP no Brasil sugerem que a esquistossomose seja a causa da doença em pelo menos 30% dos pacientes. (16) A apresentação clinica parece ser similar à da HAP idiopática, caracterizando-se por dispneia aos esforços, fraqueza, tosse, palpitação, dor torácica e hemoptise. (16) Habitualmente, a radiografia de tórax mostra dilatação do tronco da artéria pulmonar e cardiomegalia devido ao aumento do ventrículo direito. (17,18)

O caso descrito ilustra dois pontos relevantes: o primeiro diz respeito à adoção de recomendações de diretrizes clínicas. Embora fundamentais para o emprego racional de recursos e para a garantia da boa relação custo/benefício e de risco, as diretrizes devem ser utilizadas criticamente e de acordo com as realidades locais da atenção médica, com os recursos disponíveis e com as características do caso individual. O segundo ponto refere-se ao caso clínico específico, que se referia a uma jovem incapacitada por uma doença endêmica, com alto risco de óbito, alta morbidade por limitação da capacidade funcional e sucessivas hospitalizações. Levando-se em conta essas considerações e relatos anteriores de bons resultados em pequenos grupos de pacientes em outros centros, (14) optou-se pela tentativa de tratamento com drogas específicas para HAP. Observaram-se melhora significativa da capacidade funcional, aumento da DTC6 e redução da necessidade de hospitalização. Os dois primeiros desfechos têm sido os principais marcadores de resposta ao tratamento em ensaios clínicos. Entretanto, o significado clínico de variações da DTC6 e do valor predito para diferentes populações necessita ainda melhor definição. Um grupo de autores estabeleceu, recentemente, uma fórmula de predição da DTC6 para brasileiros, segundo uma amostra de 134 voluntários saudáveis, verificando-se, a seguir, uma boa correlação prospectiva em outros 85 voluntários. (19) No caso relatado, as diferenças entre a DTC6 basal e ao final do terceiro mês de tratamento e a DTC6 basal e ao final do sexto mês de tratamento foram de 279,0 e 330,0 m, respectivamente, bem superior à diferença mínima considerada significativa, de 51 m, após um ano de tratamento em outra amostra de pacientes. (20) A resposta terapêutica sugere que a terapia com essas drogas, neste caso um inibidor da fosfodiesterase-5, pode ser de grande auxílio no tratamento da HAP causada por esquistossomose, em termos de melhora da capacidade funcional, redução da morbidade e melhora da qualidade de vida.

Estudos controlados com essa e outras drogas aprovadas para o tratamento da HAP são necessários para confirmar esses resultados em pacientes portadores de HAP esquistossomótica, bem como para avaliar um possível benefício quanto à redução da taxa de mortalidade dessa condição.


Referências


1. Tuder RM, Abman SH, Braun T, Capron F, Stevens T, Thistlethwaite PA, et al. Development and pathology of pulmonary hypertension. J Am Coll Cardiol. 2009;54(1 Suppl):S3-9.

2. Hassoun PM, Mouthon L, Barberà JA, Eddahibi S, Flores SC, Grimminger F, et al. Inflammation, growth factors, and pulmonary vascular remodeling. J Am Coll Cardiol. 2009;54(1 Suppl):S10-9.

3. McLaughlin VV, McGoon MD. Pulmonary arterial hypertension. Circulation. 2006;114(13):1417-31.

4. Badesch DB, Champion HC, Sanchez MA, Hoeper MM, Loyd JE, Manes A, et al. Diagnosis and assessment of pulmonary arterial hypertension. J Am Coll Cardiol. 2009;54(1 Suppl):S55-66.

5. Simonneau G, Robbins IM, Beghetti M, Channick RN, Delcroix M, Denton CP, et al. Updated clinical classification of pulmonary hypertension. J Am Coll Cardiol. 2009;54(1 Suppl):S43-54.

6. Rich S, Dantzker DR, Ayres SM, Bergofsky EH, Brundage BH, Detre KM, et al. Primary pulmonary hypertension. A national prospective study. Ann Intern Med. 1987;107(2):216-23.

7. Lambertucci JR, Serufo JC, Gerspacher-Lara R, Rayes AA, Teixeira R, Nobre V, et al. Schistosoma mansoni: assessment of morbidity before and after control. Acta Trop. 2000;77(1):101-9.

8. Schwartz E. Pulmonary schistosomiasis. Clin Chest Med. 2002;23(2):433-43.

9. Morris W, Knauer CM. Cardiopulmonary manifestations of schistosomiasis. Semin Respir Infect. 1997;12(2):159‑70.

10. Lambertucci J. Schistosoma mansoni: pathological and clinical aspects. In: Jordan P, Webbe G, Sturrock RF, editors. Human Schistosomiasis. Wallingford: CAB International; 1993. p. 295-325.

11. Lapa M, Dias B, Jardim C, Fernandes CJ, Dourado PM, Figueiredo M, et al. Cardiopulmonary manifestations of hepatosplenic schistosomiasis. Circulation. 2009;119(11):1518-23.

12. Miyamoto S, Nagaya N, Satoh T, Kyotani S, Sakamaki F, Fujita M, et al. Clinical correlates and prognostic significance of six-minute walk test in patients with primary pulmonary hypertension. Comparison with cardiopulmonary exercise testing. Am J Respir Crit Care Med. 2000;161(2 Pt 1):487-92.

13. Butrous G, Ghofrani HA, Grimminger F. Pulmonary vascular disease in the developing world. Circulation. 2008;118(17):1758-66.

14. Chitsulo L, Engels D, Montresor A, Savioli L. The global status of schistosomiasis and its control. Acta Trop. 2000;77(1):41-51.

15. Barbosa MM, Lamounier JA, Oliveira EC, Souza MV, Marques DS, Silva AA, et al. Pulmonary hypertension in schistosomiasis mansoni. Trans R Soc Trop Med Hyg. 1996;90(6):663-5.

16. Lapa MS, Ferreira EV, Jardim C, Martins Bdo C, Arakaki JS, Souza R. Clinical characteristics of pulmonary hypertension patients in two reference centers in the city of Sao Paulo [Article in Portuguese]. Rev Assoc Med Bras. 2006;52(3):139-43.

17. Lambertucci JR, Carvalho VT, Silva LC. Pulmonary hypertension in schistosomiasis mansoni. Rev Soc Bras Med Trop. 2006;39(3):295-6.

18. Lambertucci JR, dos Santos Silva LC, Andrade LM, de Queiroz LC, Carvalho VT, Voieta I, et al. Imaging techniques in the evaluation of morbidity in schistosomiasis mansoni. Acta Trop. 2008;108(2-3):209-17.

19. Iwama AM, Andrade GN, Shima P, Tanni SE, Godoy I, Dourado VZ. The six-minute walk test and body weight-walk distance product in healthy Brazilian subjects. Braz J Med Biol Res. 2009;42(11):1080-5.

20. Galiè N, Ghofrani HA, Torbicki A, Barst RJ, Rubin LJ, Badesch D, et al. Sildenafil citrate therapy for pulmonary arterial hypertension. N Engl J Med. 2005;353(20):2148-57. Erratum in: N Engl J Med. 2006;354(22):2400-1.




* Trabalho realizado no Serviço de Pneumologia e Cirurgia Torácica e no Serviço de Doenças Infecciosas e Parasitárias, Hospital das Clínicas, Faculdade de Medicina, Universidade Federal de Minas Gerais, Belo Horizonte, MG, Brasil.
Endereço para correspondência: Ricardo de Amorim Corrêa. Rua Abadessa Gertrudes Prado, 77/802, Vila Paris, CEP 30380-790, Belo Horizonte, MG, Brasil.
Tel 55 31 3293-3910. E-mail: racorrea9@gmail.com
Apoio financeiro: Nenhum.
Recebido para publicação em 1/12/2009. Aprovado, após revisão, em 5/8/2010.




Sobre os autores

Ricardo de Amorim Correa
Professor Adjunto. Faculdade de Medicina, Universidade Federal de Minas Gerais, Belo Horizonte, MG, Brasil.

Marcus Vinicius Souza Couto Moreira
Médico Residente de Pneumologia. Serviço de Pneumologia e Cirurgia Torácica, Hospital das Clínicas, Faculdade de Medicina, Universidade Federal de Minas Gerais, Belo Horizonte, MG, Brasil.

Jucielle Marcelina da Silva Saraiva
Médica Pneumologista. Hospital Militar, Belo Horizonte (MG) Brasil.

Eliane Viana Mancuzo
Médica. Laboratório de Função Pulmonar, Serviço de Pneumologia e Cirurgia Torácica, Hospital das Clínicas, Faculdade de Medicina, Universidade Federal de Minas Gerais, Belo Horizonte, MG, Brasil.

Luciana Cristina dos Santos Silva
Médica. Ambulatório de Doenças Infecciosas e Parasitárias, Hospital das Clínicas, Faculdade de Medicina, Universidade Federal de Minas Gerais, Belo Horizonte, MG, Brasil.

José Roberto Lambertucci
Professor Titular. Faculdade de Medicina, Universidade Federal de Minas Gerais, Belo Horizonte, MG, Brasil.

Indexes

Development by:

© All rights reserved 2025 - Jornal Brasileiro de Pneumologia