Continuous and bimonthly publication
ISSN (on-line): 1806-3756

Licença Creative Commons
18462
Views
Back to summary
Open Access Peer-Reviewed
Letters to the Editor

Talcoasbestose e tuberculose pulmonar em paciente exposta a talco em confecção de bolas de futebol

Talc asbestosis and pulmonary tuberculosis in a patient exposed to the talc used in the production of soccer balls

Olívia Meira Dias, Mauro Canzian, Mário Terra-Filho, Ubiratan de Paula Santos

Ao Editor:

O talco é um silicato de magnésio hidratado utilizado como carga e, por suas propriedades lubrificantes, em diversos setores industriais, tais como na indústria cerâmica, têxtil, farmacêutica, cosmética, de papéis e de borracha. Pode ser encontrado em sua forma pura ou associada a outros minérios,(1) causando formas distintas de doença pulmonar.(2) Relatamos o caso de uma paciente exposta a talco no ambiente ocupacional cujo achado de placas pleurais permitiu a suspeita de contaminação de talco por asbesto.

Paciente feminina, 70 anos, relatava dispneia progressiva há 6 anos, atualmente aos médios esforços, dependente de oxigênio há 1 ano. Ocasionalmente apresentava tosse com expectoração. Negava sintomas constitucionais, tabagismo ou outras comorbidades.

Como antecedentes ocupacionais, trabalhara em indústria de bolas de futebol entre 1953 e 1961, utilizando câmaras de ar de borracha e talco como lubrificante. Há 13 anos, fora realizada uma biópsia cirúrgica em outro serviço para a investigação do quadro.

Ao exame físico, apresentava bom estado geral; a ausculta pulmonar evidenciava estertores crepitantes em bases; e SpO2 em ar ambiente = 89%.

A espirometria simples inicial sugeria distúrbio ventilatório obstrutivo moderado com redução associada da CV: VEF1 = 0,83 L (43% do predito); CVF = 1,16 L (52% do predito); e relação VEF1/CVF = 0,72. A prova de função pulmonar completa mostrou CPT normal (3,61 L, 99% do predito), com VR aumentado (2,48 L, 144% do predito) e relação VR/CPT = 0,69, demonstrando aprisionamento aéreo e redução leve da DLCO (64% do predito).

Apresentava à TCAR de tórax áreas de enfisema centrolobular, atenuação em mosaico bilateralmente, bronquiectasias nos lobos superior direito, médio e inferiores, nos quais se notavam ainda micronódulos centrolobulares e áreas com padrão de árvore em brotamento, sugerindo processo inflamatório/infeccioso com disseminação broncogênica. A janela de mediastino mostrava a presença de placas pleurais bilaterais, algumas calcificadas (Figura 1).





A cultura de escarro foi positiva para Mycobacterium tuberculosis. Foi iniciado tratamento específico, e a paciente segue em acompanhamento ambulatorial.

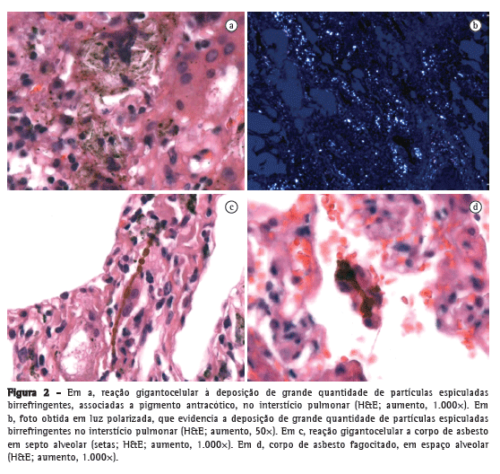
A revisão da biópsia demonstrou pneumopatia inflamatória crônica intersticial, acometendo predominantemente o interstício axial, mas também os espaços alveolares, com infiltrado mononuclear bronquiolocêntrico e múltiplos focos de reação gigantocelular. Foram encontradas inúmeras partículas espiculadas birrefringentes à luz polarizada, compatíveis com pneumoconiose associada à inalação de silicatos e, focalmente, foram visualizados corpos ferruginosos compatíveis com corpos de asbesto (Figura 2).





A história ocupacional compatível, o longo período de latência após a exposição, os achados tomográficos (placas pleurais, opacidades reticulares basais e enfisema) e os achados anatomopatológicos confirmam a hipótese de talcoasbestose.

A talcose pura é causada pela inalação de partículas de talco, sem contaminação por outros minérios. Os achados radiográficos incluem opacidades nodulares/reticulares, com predomínio nos lobos inferiores. À histologia, encontram-se granulomas de corpo estranho com células gigantes contendo múltiplos cristais birrefringentes à luz polarizada, causando inflamação das paredes e dos septos alveolares. Podem causar doença pulmonar restritiva, quando o acometimento intersticial predomina, bem como doença pulmonar obstrutiva, quando o acometimento de vias aéreas é mais exuberante.(2)

A talcossilicose é a pneumoconiose causada pela inalação de talco associado a sílica. As manifestações clínicas, radiográficas e patológicas são idênticas as da silicose.(2)

A talcoasbestose é causada pela inalação de talco contaminado com fibras de asbesto. Os achados radiológicos incluem presença de placas pleurais, predominando nos segmentos laterais e basais, sem qualquer evidência de acometimento intersticial. Pode haver micronódulos de distribuição centrolobular/subpleural e opacidades reticulares, predominando em lobos inferiores e que podem confluir (fibrose maciça progressiva), sendo semelhantes às alterações encontradas na asbestose.(2-4)

O uso intravenoso de talco é relacionado ao abuso de medicações orais administradas indevidamente por via intravenosa, destacando-se drogas com efeitos psicotrópicos (opioides). Devido à disseminação hematogênica das partículas, a distribuição dos granulomas é peribroncovascular, podendo haver confluência dos mesmos, causando distorção arquitetural e formação de extensas áreas de enfisema panlobular que predominam nos campos pulmonares inferiores, além de opacidades pulmonares em vidro fosco.(4)

As atividades ocupacionais mais relacionadas à exposição a talco incluem extração de talco de minas, processos de moldagem e exposição à sua forma final já em pó, como, por exemplo, na indústria de cosméticos.(5) No Brasil, são raros os casos descritos, pois a doença é subdiagnosticada. Relatos incluem talcose relacionada à moagem de talco(6) e talcoasbestose relacionada à fabricação de artesanato com pedra-sabão em Minas Gerais.(7)

Não há tratamento para pneumoconioses associadas ao talco. Como há progressão das alterações radiográficas mesmo depois de cessada a exposição, o tratamento é de suporte e, em situações extremas, por meio de transplante pulmonar.

Classicamente, o Colégio Americano de Patologia define como critérios histológicos para asbestose focos de fibrose na parede de bronquíolos terminais associados ao achado de dois ou mais corpos de asbesto/cm2 em cortes de 5 mm.(8) Entretanto, algumas partículas podem ter resolução inferior à da microscopia óptica, subestimando a carga de asbesto no tecido; o achado de corpos ferruginosos não implica necessariamente em exposição ao asbesto, pois outros minerais, como carbono, óxidos de ferro e o próprio talco, também podem formar corpos alongados com deposição de ferro (pseudocorpos de asbesto); e há casos nos quais há fibrose difusa e sobreposição pela inalação de outras partículas além do asbesto.(8)

No presente caso, em contraste com os achados histopatológicos habitualmente evidenciados nas doenças de vias aéreas causadas por inalação isolada de partículas (seja de asbesto, seja de silicatos), evidencia-se um infiltrado inflamatório de maior intensidade, com hiperplasia do tecido linfoide associado ao brônquio. Adicionalmente, é observada uma predileção pelo acometimento de bronquíolos terminais, ao passo que, nos casos de asbestose ou de talcose, as vias aéreas mais distais são predominantemente acometidas. Tais achados sugerem que a inalação mista de partículas acarrete alterações estruturais em vias aéreas de maior calibre, com outro padrão de resposta imunológica.(9) Em casos em que corpos de asbesto não são visualizados, mas com forte história de exposição ocupacional, a análise do tecido com difração de raios-X ou por microscopia eletrônica de varredura ou de transmissão pode ajudar a evitar diagnósticos falso-negativos.(8,9)

Bronquiectasias e opacidades centrolobulares são justificadas pela tuberculose. Infecções por micobactérias foram relatadas em pacientes com talcose, especialmente por micobactérias atípicas, atribuídas à disfunção fagocitária dos macrófagos sobrecarregados com partículas inaladas.(10)

Concluindo, uma adequada anamnese ocupacional permite auxiliar no diagnóstico da doença pulmonar intersticial, especialmente em casos nos quais a sobreposição de exposições causa diferentes padrões de acometimento tomográfico e histológico. A exemplo de outras pneumoconioses, a vigilância quanto ao aparecimento de infecções por micobactérias é necessária.

Olívia Meira Dias
Médica Residente,
Divisão de Pneumologia,
Instituto do Coração,
Faculdade de Medicina da
Universidade de São Paulo,
São Paulo (SP) Brasil

Mauro Canzian
Médico Assistente,
Divisão de Anatomia Patológica,
Instituto do Coração,
Faculdade de Medicina da
Universidade de São Paulo,
São Paulo (SP) Brasil

Mário Terra-Filho
Professor Associado,
Divisão de Pneumologia,
Instituto do Coração,
Faculdade de Medicina da
Universidade de São Paulo,
São Paulo (SP) Brasil

Ubiratan de Paula Santos
Médico Assistente,
Divisão de Pneumologia,
Instituto do Coração,
Faculdade de Medicina da
Universidade de São Paulo,
São Paulo (SP) Brasil



Referências

1. Gibbs AE, Pooley FD, Griffiths DM, Mitha R, Craighead JE, Ruttner JR. Talc pneumoconiosis: a pathologic and mineralogic study.
Hum Pathol. 1992;23(12):1344-54.

2. Feigin DS. Talc: understanding its manifestations in the chest. AJR Am J Roentgenol. 1986;146(2):295-301.

3. Chong S, Lee KS, Chung MJ, Han J, Kwon OJ, Kim TS. Pneumoconiosis: comparison of imaging and pathologic findings. Radiographics. 2006;26(1):59-77.

4. Ward S, Heyneman LE, Reittner P, Kazerooni EA, Godwin JD, Müller NL. Talcosis associated with IV abuse of oral medications: CT findings. AJR Am J Roentgenol. 2000;174(3):789-93.

5. Scancarello G, Romeo R, Sartorelli E. Respiratory disease as a result of talc inhalation. J Occup Environ Med. 1996;38(6):610-4.

6. Chibante AM, Padilha CP, Bethlen EP, Dias RM, Oliveira CA, Magarao SL. Pneumoconiose dos moedores de talco: estudo de sete casos. J Pneumol. 1990;16(2):57-61.

7. Bezerra OM, Dias EC, Galvão MA, Carneiro AP. Talc pneumoconiosis among soapstone handicraft workers in a rural area of Ouro Preto, Minas Gerais, Brazil [Article in Portuguese]. Cad Saude Publica. 2003;19(6):1751-9.

8. Roggli VL, Gibbs AR, Attanoos R, Churg A, Popper H, Cagle P, et al. Pathology of asbestosis- An update of the diagnostic criteria: Report of the asbestosis committee of the college of american pathologists and pulmonary pathology society. Arch Pathol Lab Med. 2010;134(3):462-80.

9. Travis WD. Occupational lung diseases and pneumoconioses. In: Travis WD, Colby TV, Koss MN, Rosado-de-Christenson ML, Müller NL, King TE, editors. Non-Neoplastic Disorders of the Lower Respiratory Tract. Washington, DC: American Registry of Pathology; 2002.

10. De Coster C, Verstraeten JM, Dumortier P, De Vuyst P. Atypical mycobacteriosis as a complication of talc pneumoconiosis. Eur Respir J. 1996;9(8):1757-9.

Indexes

Development by:

© All rights reserved 2025 - Jornal Brasileiro de Pneumologia