Continuous and bimonthly publication
ISSN (on-line): 1806-3756

Licença Creative Commons
15167
Views
Back to summary
Open Access Peer-Reviewed
Original Article

Associação entre paracoccidioidomicose e tuberculose: realidade e erro diagnóstico

Association between paracoccidioidomycosis and tuberculosis: reality and misdiagnosis

Reynaldo Quagliato Júnior, Tiago de Araújo Guerra Grangeia, Reinaldo Alexandre de Carvalho Massucio, Eduardo Mello De Capitani, Sílvio de Moraes Rezende, Alípio Barbosa Balthazar

ABSTRACT

Objective: To evaluate the frequency of the real association between paracoccidioidomycosis (PCM) and tuberculosis (TB) as well as the rate of previous TB misdiagnosis in individuals with PCM among the patients treated in the Pulmonology Division of the State University of Campinas Hospital das Clínicas, Campinas, Brazil. Methods: A retrospective study of 227 adult patients with PCM (chronic form) treated between 1980 and 2005. Results: Of the 227 patients studied, 36 (15.8%) had been previously treated for TB. However, only 18 (7.9%) presented positive sputum smear microscopy results. The remaining 18 (7.9%) neither presented positive sputum smear microscopy nor showed improvement after receiving specific anti-TB treatment. Conclusion: Although the existence of an association between PCM and TB has been documented in the literature, misdiagnosis is common due to the superimposition of and the similarity between their clinical and radiographic presentations, thereby warranting the need for bacteriological diagnosis before initiating specific treatment.

Keywords: Paracoccidioidomycosis; Tuberculosis, pulmonary; Diagnosis, differential.

RESUMO

Objetivo: Avaliar a freqüência da real associação entre paracoccidioidomicose (PCM) e tuberculose (TB) e a freqüência do diagnóstico errôneo prévio de TB em doentes com PCM entre os pacientes atendidos na Disciplina de Pneumologia do Hospital das Clínicas da Universidade Estadual de Campinas, Campinas (SP). Métodos: Estudo retrospectivo de 227 pacientes adultos com diagnóstico confirmado de PCM (forma crônica) entre 1980 e 2005. Resultados: Dos 227 casos, 36 (15,8%) haviam sido tratados anteriormente para TB. Porém, apenas 18 (7,9%) apresentaram baciloscopia positiva. Os outros 18 (7,9%) nunca tiveram o diagnóstico confirmado pela baciloscopia nem responderam ao tratamento específico para TB. Conclusão: Apesar de a associação entre PCM e TB existir e estar documentada na literatura, o erro diagnóstico é bastante comum, haja vista a sobreposição e similaridade das apresentações clínicas e radiológicas dessas duas doenças, havendo, portanto, a necessidade do diagnóstico bacteriológico antes de se iniciar o tratamento específico.

Palavras-chave: Paracoccidioidomicose; Tuberculose pulmonar; Diagnóstico diferencial.

Introdução

A associação entre paracoccidioidomicose (PCM) e tuberculose (TB) é reconhecida pelos clínicos há muito tempo. As doenças podem ocorrer de forma simultânea ou seqüencial. Dados de literatura assinalam que a freqüência dessa associação varia de 5,5 a 19%.(1,2) A queda da imunidade celular parece ser a principal responsável pelo desencadeamento de ambas.(3,4) A deficiência na produção de algumas citocinas e de seus receptores, como a interleucina (IL)-12, a IL-23 e o interferon gama (IFN-.), predispõe os pacientes tanto à TB quanto à PCM.(5)

Como a apresentação clínica das duas doenças pode ser semelhante, observou-se que vários pacientes com diagnóstico definido de PCM fizeram tratamento prévio para TB, porém sem confirmação baciloscópica. Estes pacientes em geral não responderam a tratamento específico para TB e só melhoraram após a introdução da medicação para PCM.

O erro diagnóstico é raro em casos tratados em serviços universitários, sendo mais comum em casos inicialmente conduzidos em unidades básicas de saúde e nos quais a apresentação clínica e radiológica não permite distinção clara entre as duas doenças.

O objetivo deste estudo foi avaliar a real associação entre as duas doenças e a freqüência do diagnóstico equivocado de TB nos pacientes com diagnóstico definido de PCM.

Métodos

Um estudo retrospectivo foi realizado revisando os prontuários dos pacientes com PCM atendidos no ambulatório da Disciplina de Pneumologia do Departamento de Clínica Médica do Hospital das Clínicas da Faculdade de Ciências Médicas da Unicamp entre os anos de 1980 e 2005. Foram incluídos 227 pacientes adultos diagnosticados com a forma crônica da PCM através da identificação do fungo Paracoccidioides brasiliensis na pesquisa direta, na cultura do escarro ou no lavado brônquico corado pela técnica de Grocott.

Foram analisadas as seguintes variáveis: idade, sexo, queixas clínicas, alterações radiológicas torácicas e confirmação diagnóstica de TB. Resultados de pesquisa direta e de cultura de escarro para bacilo de Koch foram obtidos a partir do prontuário do paciente ou de resultados dos serviços de saúde de origem onde o tratamento prévio de TB fora realizado.

Resultados

Dos 227 casos de PCM estudados, 215 (95%) eram do sexo masculino e apenas 12 (5%) eram do sexo feminino. Todos tinham confirmação diagnóstica de PCM pelo achado do fungo P. brasiliensis no escarro ou no lavado broncoalveolar e estavam em tratamento ou já tinham sido tratados com a associação sulfametoxazol-trimetoprim, com itraconazol ou com anfotericina B.

Destes 227, 36 pacientes (15,8%) relatavam tratamento prévio para TB. No entanto, apenas 18 (7,9%) apresentavam baciloscopia de escarro positiva para bacilos álcool-ácido resistentes ou cultura de escarro positiva para Mycobacterium tuberculosis. Destes, 17 eram do sexo masculino, todos da raça branca, apresentando média de idade de 43,3 anos (30 a 56 anos) na ocasião do diagnóstico. Os outros 18 pacientes, todos da raça branca e do sexo masculino, com média de idade de 49 anos (35 a 69 anos) na ocasião do diagnóstico, apresentaram resultados negativos e não melhoraram clinicamente com o tratamento para TB, respondendo, porém, ao tratamento instituído para PCM (Figura 1).





Dos 36 pacientes com história de tratamento prévio para TB, 28 (77,7%) tiveram o diagnóstico de TB (ou sua presunção) antes do diagnóstico de PCM, 4 (11,1%) tiveram o diagnóstico de PCM antes do diagnóstico de TB e 4 (11,1%) tiveram diagnósticos concomitantes.

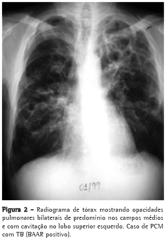
As queixas clínicas, os dados de exame físico e as alterações radiológicas apresentadas por esses doentes, na maioria das vezes, não permitiram a diferenciação segura entre as duas doenças (Figuras 2, 3 e 4).














Um caso em particular nos parece ilustrativo da associação real entre PCM e TB. Há 4 anos, o paciente teve diagnóstico confirmado de PCM por meio de exame positivo para pesquisa de P. brasiliensis, foi tratado com sulfametoxazol-trimetoprim por 2 anos e o tratamento foi suspenso por melhora clínica e negativação da sorologia. Este paciente voltou a apresentar queixas respiratórias 6 meses após o término do tratamento para PCM, quando foi diagnosticado como portador de TB (por meio de baciloscopia positiva para bacilos álcool-ácido resistentes) e recebeu tratamento com esquema I (rifampicina, isoniazida e pirazinamida), com boa resposta clínica e cura. O paciente queixou-se novamente de febre, perda de peso, tosse pouco produtiva e dispnéia 4 meses após o término do tratamento para TB, quando recidiva da PCM foi confirmada (Figura 5) e o tratamento com sulfametoxazol-trimetoprim foi novamente instituído.






Discussão

No estado de São Paulo, a PCM e a TB são doenças comuns. A TB tem incidência de 45 casos por 100.000 habitantes. Já a PCM, por não ser doença de notificação compulsória, não tem incidência e prevalência bem definidas. No entanto, estima-se que, em zonas endêmicas, a prevalência seja de 1 a 3 casos por 100.000 habitantes.(6-8)

Com a queda da imunidade celular, tanto a PCM quanto a TB se apresentam de forma mais grave, além de os pacientes poderem apresentar as duas doenças de forma concomitante. A deficiência na produção de algumas citocinas e de seus receptores, como IFN-., IL-12 e IL-23, predispõe os pacientes tanto à TB quanto à PCM.(5) O padrão de produção de citocinas por linfócitos T CD4+ pode determinar a gravidade do quadro clínico nas duas doenças. O predomínio de IFN-. (produzido por linfócitos T CD4+ conhecidos como linfócitos T helper 1) em geral se associa a curso clínico mais benigno, enquanto o predomínio de IL-4, IL-5 e IL-10 (produzidas por linfócitos T CD4+ designados linfócitos T helper 2) determina doença de evolução mais grave.(9,10)

A PCM acomete muito mais o sexo masculino (15:1), sendo a maioria dos pacientes formada por lavradores ou ex-lavradores com idade entre 30 e 50 anos. Comumente são oligossintomáticos, com poucos achados de exame físico, podendo, no entanto, apresentar exuberantes alterações radiológicas torácicas tanto na radiografia simples quanto na tomografia computadorizada de alta resolução.(11-15)

O acometimento pulmonar é geralmente bilateral, com predomínio nos campos médios e regiões medulares.(16,17)

Por sua vez, a TB acomete ambos os sexos em qualquer idade, com a maioria dos pacientes se apresentando sintomáticos, com exame físico comprometido e alterações radiológicas, em geral, de predomínio em segmentos superiores e posteriores, podendo também ser bilaterais.

Apesar destas diferenças, não é incomum o diagnóstico diferencial entre as duas doenças ser difícil. Vários trabalhos relatam casos de associação entre PCM e TB. Em um trabalho que analisou 338 casos de PCM,(12) foram encontrados 46 pacientes (13,65%) que também haviam recebido o diagnóstico de TB. Os pacientes foram divididos em 3 grupos:
a) 19 casos, sendo 10 inativos (TB no passado) e 9 ativos (TB no momento do diagnóstico da PCM); b) 17 portadores de PCM que depois contraíram TB; e c) 10 casos cujos diagnósticos foram feitos de forma simultânea.

Em outro trabalho,(1) foram estudados 422 casos de PCM; destes, 23 (5,5%) também receberam o diagnóstico de TB. Outros autores(2) estudaram 147 pacientes com PCM e detectaram 28 (19%) com a associação.

Na avaliação de 159 casos de PCM,(16) foram identificados 24 (15,09%) com a associação entre PCM e TB.

Esses resultados, no entanto, não diferenciam os casos que apresentaram confirmação bacteriológica de TB daqueles com história de tratamento anterior pela doença, sem confirmação bacteriológica.

Um estudo de 43 pacientes com PCM(18) mostrou 8 pacientes (18,6%) com história de tratamento prévio para TB, mas apenas 3 (6,99%) com baciloscopia positiva. Até na população indígena brasileira há relato de 2 casos tratados como TB e depois confirmados como PCM.(19)

Em nosso estudo, dos 227 casos avaliados, verificamos que 36 (15,8%) fizeram tratamento anterior para TB, mas apenas 18 (7,9%) tiveram confirmação laboratorial bacteriológica e se beneficiaram com a medicação específica para TB, sendo encaminhados para nosso serviço, após alguns anos, com queixas clínicas e alterações radiológicas que culminaram no diagnóstico de PCM. Os outros 18 pacientes procuraram o nosso serviço porque não apresentaram melhora clínica com o tratamento instituído.

Chamamos a atenção para o fato de que, apesar de a associação entre PCM e TB existir e estar documentada na literatura, o erro diagnóstico é comum, haja vista a sobreposição e similaridade das apresentações clínicas e radiológicas das duas doenças. Além disso, a maioria dos pacientes inicialmente procurou unidades básicas de saúde, onde a experiência com TB é maior, devido à sua alta incidência, e o diagnóstico de PCM tem menor ênfase. Este fato praticamente não ocorreu em serviços universitários, nos quais estas doenças são comuns e quase sempre têm o diagnóstico confirmado antes do início do tratamento.

A associação entre PCM e TB não é incomum e a determinação do diagnóstico diferencial entre elas, baseado em dados clínicos e radiológicos, pode ser difícil. O tratamento incorreto aumenta a chance de seqüelas pulmonares, tais como fibrose, bronquiectasias e insuficiência respiratória crônica. Assim, há a necessidade de pesquisa bacteriológica exaustiva antes de se instituir o esquema terapêutico específico para TB e também a necessidade de se aumentar a acurácia e a ênfase na pesquisa de fungos no escarro, em especial nas unidades básicas de saúde.

Referências

1. Paniago AMM, Aguiar JIA, Aguiar ES, Cunha RV, Pereira GROL, Londero AT, et al. Paracoccidioidomycosis - A clinical and epidemiological study of 422 cases observed in Mato Grosso do Sul. Rev Soc Bras Med Trop. 2003;36(4):455-9.

2. Leão RC, Mendes E. Paracoccidioidomycosis, neoplasia and associated infections. Allergol Immunopathol (Madr). 1980;8(3):185-8.

3. Dannenberg AM. Pathophysiology: Basic aspects In: Schlossberg D. Tuberculosis and nontuberculous mycobacterial infections. 4th ed. Philadelphia: W.B. Saunders Co.; 1999. p. 17-47.

4. Musatti CC. Imunidade celular. In: Del Negro GD, Lacaz CS, Fiorillo AM. Paracoccidioidomicose - Blastomicose sul-americana. São Paulo: Sarvier; 1982. p. 119-26.

5. Moraes-Vasconcelos D, Grumach AS, Yamaguti A, Andrade ME, Fieschi C, Beaucoudrey L, et al. Paracoccidioides brasiliensis disseminated disease in a patient with inherited deficiency in the beta1 subunit of the interleukin (IL)-12/Il-23 receptor. Clin Infec Dis. 2005;41(4):31-7.

6. Santos WA, Silva BM, Passos ED, Zandonade E, Falqueto A. Associação entre tabagismo e paracoccidioidomicose: um estudo de caso - controle no Estado do Espírito Santo, Brasil. Cad Saúde Pública. 2003;19(1):245-53.

7. Martinez R, Ferreira MS, Mendes RP, Telles Filho FQ. Blastomicose sul-americana (Paracoccidioidomicose): Etioepidemiologia e ecologia. In: Veronesi R, Fiocaccia R, editors. Tratado de Infectologia. São Paulo: Atheneu; 1996. p. 1081-3.

8. Ministério da Saúde. Fundação Nacional de Saúde. Centro de Referência Prof. Hélio Fraga/Sociedade Brasileira de Pneumologia e Tisiologia. Controle de tuberculose: Uma proposta de integração ensino-serviço. Funasa/CRPHF/SBPT, 2002.

9. Marques Mello L, Silva-Vergara ML, Rodrigues V Jr. Patients with active infection with Paracoccidioides brasiliensis present a Th2 immune response characterized by high interleukin-4 and interleukin-5 production. Hum Immunol. 2002;63(2):149-54.

10. Schluger NW. The pathogenesis of tuberculosis - the first one hundred (and twenty-three) years. Am J Resp Cell Mol Biol. 2005;32(4):251-256.

11. Tarantino AB, Gonçalves AJR, Capone D, Aidé MA. Micoses pulmonares. In: Tarantino AB, editor. Doenças Pulmonares. 4a ed. Rio de Janeiro: Guanabara Koogan; 1997. p. 457-87.

12. Machado Filho J, Miranda JL. Considerações relativas à blastomicose sul-americana - Da participação pulmonar entre 338 casos consecutivos. Hospital. 1960;(58):23-42.

13. Londero AT. Paracoccidioidomicose: patogenia, formas clínicas, manifestações pulmonares e diagnóstico. J Pneumol. 1986;(12):41-60.

14. Londero AT, Ramos CD. Paracoccidioidomicose. Estudo clínico e micológico de 260 casos observados no interior do Estado do Rio Grande do Sul. J Pneumol. 1990;(16):129-32.

15. Gonçalves AJR, Figueiredo CP, Barbosa LSG, Aguilar J, Almeida SL, Andrade EM, et al. Paracoccidioidomicose - Considerações sobre algumas formas incomuns. Arq Bras Med. 1984;58(5):301-08.

16. Vale ACF, Guimarães RR, Lopes DJ, Capone D. Aspectos radiológicos torácicos em Paracoccidioidomicose. Rev Inst Med Trop São Paulo. 1992;34(2):107-15.

17. Muniz MAS, Marchiori E, Magnago M, Moreira LBM, Almeida Junior JG. Paracoccidioidomicose pulmonar - aspectos na tomografia computadorizada de alta resolução. Radiol Bras. 2002;35(3):147-54.

18. Quagliato R Jr. Considerações a respeito da Paracoccidioidomicose e sua correlação com níveis séricos de alfa-1 antitripsina [thesis].Campinas: Universidade Estadual de Campinas; 1998.

19. Forjaz MHH, Fischman O, Camargo ZP, Vieira Filho JPB, Colombo AL. Paracoccidioidomycosis in Amerindian populations of the Brazilian Surui tribe: a clinical and laboratory study of two cases. Rev Soc Br Med Trop. 1999;32(5):571-5.
__________________________________________________________________________________________
* Trabalho realizado na disciplina de Pneumologia da Faculdade de Ciências Médicas da Universidade Estadual de Campinas - FCM/UNICAMP - Campinas (SP) Brasil.
1. Professor Assistente Doutor da disciplina de Pneumologia. Faculdade de Ciências Médicas da Universidade Estadual de Campinas - FCM/UNICAMP - Campinas (SP) Brasil.
2. Residente da Disciplina de Pneumologia. Faculdade de Ciências Médicas da Universidade Estadual de Campinas - FCM/UNICAMP - Campinas (SP) Brasil.
3. Médico contratado da Disciplina de Pneumologia. Faculdade de Ciências Médicas da Universidade Estadual de Campinas - FCM/UNICAMP - Campinas (SP) Brasil.
Endereço para correspondência: Reynaldo Quagliato Jr. Rua Alfredo Calil, 187, Jardim das Palmeiras, CEP 13094-070, Campinas, SP, Brasil.
Tel 55 19 3251-4675/55 19 3788-7097. Fax 55 19 3788-7097. E-mail: capitani@fcm.unicamp.br/eduardocapitani@yahoo.com
Recebido para publicação em 4/5/06. Aprovado, após revisão, em 25/8/06.


Indexes

Development by:

© All rights reserved 2025 - Jornal Brasileiro de Pneumologia