Continuous and bimonthly publication
ISSN (on-line): 1806-3756

Licença Creative Commons
22957
Views
Back to summary
Open Access Peer-Reviewed
Case Report

Fístula esôfago-traqueal após ingestão cáustica

Tracheoesophageal fistula after caustic ingestion

Eduardo Crema, Marcelo Cunha Fatureto, Marcel Noronha Gonzaga, Ricardo Pastore, Alex Augusto da Silva

ABSTRACT

Tracheoesophageal fistulas are uncommon and present diverse etiologies, among which is burning of the esophagus due to caustic ingestion. Herein, we report the case of a 27-year-old male patient having ingested a caustic substance 14 days prior and presenting burning retrosternal pain, weakness, productive cough with purulent sputum and dyspnea accompanied by hoarseness for the preceding 24 h. Endoscopy of the upper digestive tract revealed a tracheoesophageal fistula. Treatment consisted of cervical exclusion of the esophageal transit, together with gastrostomy. Subsequently, the nutrient transit was reconstructed through pharyngocoloplasty. The postoperative evolution was favorable.

Keywords: Tracheoesophageal fistula/etiology; Tracheoesophageal fistula/surgery; Esophageal perforation/chemically induced; Colon/surgery

RESUMO

As fístulas esôfago-traqueais são incomuns e apresentam diversas etiologias, entre elas, a queimadura química esofágica devida à ingestão cáustica. Relatamos o caso de um paciente de 27 anos com história de ingestão cáustica havia catorze dias, com dor retroesternal em queimação, fraqueza, tosse com escarro purulento e dispnéia associada à rouquidão no último dia. A endoscopia digestiva alta e a broncofibroscopia revelaram fístula esôfago-traqueal. O tratamento consistiu no suporte clínico, drenagem torácica bilateral, exclusão do transito esofágico com esofagostomia cervical terminal e gastrostomia. Houve cicatrização espontânea da fístula esôfago traqueal em seis semanas. Posteriormente, realizou-se a reconstrução do trânsito alimentar através de faringocoloplastia. A evolução pós-operatória foi satisfatória.

Palavras-chave: Fístula traqueoesofágica/etiologia; Fístula traqueoesofágica/cirurgia;Perfuração esofágica/induzido quimicamente; Cólon/cirurgia.

Introdução

A ingestão de substâncias cáusticas e corrosivas ainda é motivo de preocupação em nosso meio devido à gravidade dos casos. Em virtude de seu fácil acesso, já que estão presentes em vários produtos de uso doméstico, a ingestão acidental ou proposital ocorre freqüentemente.(1-3)

Em crianças, a ingestão acidental prevalece enquanto que nos adultos, a causa principal é a voluntária, com objetivos suicidas.(1,2) Os álcalis são as substâncias mais freqüentemente ingeridas, sendo a soda cáustica (hidróxido de sódio) o principal agente.(1-4)

Dentre as complicações agudas da ingestão cáustica há a hemorragia gástrica, perfuração esofágica, fístula gastrocólica, fístula esôfago-aórtica e fístula esôfago-traqueal (FET).(1,2) Dentre as complicações tardias, a estenose do esôfago é a principal.(1-3,5)

No presente artigo, relata-se o caso de um paciente com fístula esôfago-traqueal causada por ingestão cáustica, em que se realizou o tratamento desta condição clínica e, posteriormente, o restabelecimento do trânsito alimentar por faringocoloplastia.

As FET são incomuns e seu manejo cirúrgico ainda é motivo de controvérsias na literatura mundial.(6,7) Nesse contexto, os autores consideram importante a discussão das peculiaridades das FET bem como seu tratamento, já que constituem situações clínicas graves, com elevada morbimortalidade.

Relato do caso

Um paciente de 27 anos, do sexo masculino, natural e procedente de Conceição das Alagoas (MG), deu entrada no serviço de emergência com
história de ingestão de substância cáustica havia catorze dias, apresentando havia três dias disfagia para alimentos sólidos e pastosos, odinofagia e dor retroesternal em queimação, sem fatores de melhora. Relatou febre no último dia, não aferida, fraqueza, tosse com escarro purulento e dispnéia associada à rouquidão. Negava tabagismo, etilismo,
enfermidades e cirurgias pregressas.

Apresentava-se em regular estado geral, emagrecido, taquidispneico, febril (38,9 °C), desidratado e com sialorréia intensa. Ao exame físico, apresentava diminuição da expansibilidade e do murmúrio vesicular em hemitórax esquerdo, e roncos difusos bilateralmente. Não havia alterações cardiovasculares e abdominais.

Laboratorialmente, constatou-se anemia discreta (hemoglobina de 11,8 g/dl), leucocitose (18.500 leucócitos/mm3), com 8% de bastonetes,
discreto distúrbio hidroeletrolítico e hipoalbuminemia (2,2 g/dl). Na radiografia de tórax, havia pequeno pneumotórax, consolidação pulmonar
esquerda e desvio de mediastino para esse lado.

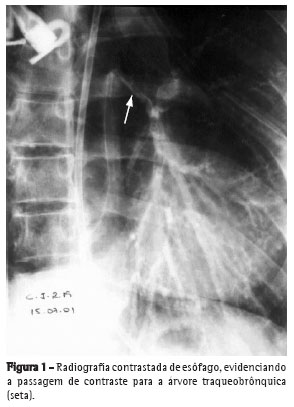
Foi realizada endoscopia digestiva alta, que mostrou a presença de fístula entre o esôfago e brônquio esquerdo, de grandes dimensões, com
passagem do aparelho sem dificuldades (classificação 3b de Zagar(8)). A mucosa esofágica apresentava-se friável com intenso depósito de fibrina. Foi posicionada sonda nasoenteral na segunda porção do duodeno para nutrição (Figura 1).






A radiografia de tórax de controle, após a endoscopia digestiva alta, revelou pneumotórax esquerdo. Foi realizada drenagem torácica esquerda com imediata reexpansão pulmonar. Na broncofibroscopia
observou-se área de destruição da traquéia distal, carina e brônquio esquerdo de aproximadamente 3 x 1,5 cm (Figuras 2 e 3), exposição de
tecido mediastinal, desepitelização e retração de epiglote e corda vocal direita.






Devido às más condições clínicas do paciente e pela gravidade das lesões encontradas optamos pela esofagostomia cervical terminal e gastrostomia. Associamos antibioticoterapia de amplo espectro, acesso venoso central, correção do distúrbio hidroeletrolítico, fisioterapia respiratória e psicologia de apoio.





O paciente apresentou evolução positiva, recebendo alta hospitalar dezessete dias após sua admissão. Dois meses após a alta, apresentava dispnéia progressiva nos últimos dez dias, tinha intensa
cornagem e tiragem intercostal. A broncofibroscopia mostrou uma estenose supraglótica (neoformação anular de tecido fibrótico) sendo indicada a traqueostomia. Foi mantido em acompanhamento
ambulatorial, e seis meses após a ingestão cáustica foi realizada a palatofaringoplastia e desativada a traqueostomia.

Após oito meses da primeira admissão, o paciente foi internado para melhor preparo nutricional e foi programada a reconstrução do trânsito
alimentar. Foi realizada a faringocoloplastia com interposição retrosternal do cólon transverso e anastomose faringo-cólica posterior. O paciente
teve boa evolução, recebeu alta hospitalar no décimo segundo dia pós-operatório, e esteve em acompanhamento ambulatorial, com 28 meses de seguimento, apresentando boa evolução clínica.

Discussão

As FET adquiridas podem ter várias etiologias, sendo as neoplasias malignas do esôfago as de maior incidência.(7) Dentre as FET benignas, a isquemia e posterior necrose da membrana traqueal e esofágica devidas aos balonetes dos tubos traqueais e sondagem gástrica, em indivíduos com ventilação mecânica prolongada, são as mais comuns.(6,9) Como condições mais raras há os corpos estranhos,
dilatação instrumental esofágica, perfuração de divertículo esofágico, abscessos mediastinais, trauma torácico (aberto ou fechado) e queimaduras químicas do esôfago.(6,7,9)

Nas FET devidas à ingestão cáustica, a necrose por extensão da queimadura química esofágica parece ser o principal fator fisiopatológico.(4)

Em virtude da diversidade etiológica e baixa freqüência das FET, não se tem um consenso na literatura sobre o tratamento ideal desta condição
clínica e vários são os tratamentos propostos.(6,7,9-11)

Alguns autores(6) relataram casuística de 31 pacientes com FET benignas, sendo a maioria dos casos devidos à complicação de intubação endotraqueal, nas quais se realizou, através de incisão
cervical esquerda, a sutura do defeito traqueal e esofágico com interposição de retalho do músculo esternocleidomastóide entre os dois órgãos, com bons resultados.

Outros autores(7) relataram experiência no tratamento de 41 pacientes com FET congênitas e adquiridas (benignas e malignas), em que onze
pacientes apresentaram FET devida a neoplasias malignas, sete a trauma traqueoesofágico, cinco a queimaduras químicas, quatro eram congênitas, e o restante, a outras etiologias. O tratamento cirúrgico
proposto foi a fistulectomia com correção do defeito do esôfago e traquéia através de sutura, para casos de FET pós-traumáticas, principalmente,
ou a criação de esôfago artificial através da transposição de alça jejunal ou cólon. Esta última cirurgia foi reservada apenas para os casos de queimadura química esofágica extensa com grande inflamação
e fibrose de tecidos adjacentes. Nos casos de FET devida a neoplasias malignas, o principal tratamento realizado foi a gastrostomia, como medida paliativa.

Alguns autores(4) descreveram técnica cirúrgica própria no tratamento de FET devida a ingestão cáustica. Propuseram a esofagectomia com reparação da lesão da traquéia ou brônquio com um patch de
lobo pulmonar fazendo sua obliteração e, posteriormente, reconstrução do trânsito alimentar por interposição retroesternal de segmento ileocólico.

Com relação à reconstrução do trânsito alimentar em portadores de estenose do esôfago, a utilização do cólon como víscera transposta já está bem estabelecida na literatura.(12,13) Em estenoses cáusticas
mais graves, onde não só o esôfago, mas também a faringe está comprometida, este também é o órgão de escolha.(14)

Em um estudo(14) considerou-se que a faringocoloplastia com anastomose faringo-cólica posterior, no tratamento de estenose cáustica do esôfago e faringe, apresenta bons resultados, baixa mortalidade
(índice nulo em sua casuística) e complicações pós-operatórias de pouca repercussão geral (fístula cervical em 5% dos casos).

Conclui-se que o tratamento adequado das FET é fundamental para a obtenção de resultados satisfatórios. O manejo terapêutico de nosso paciente mostrou-se uma alternativa efetiva e segura. Embora se trate de uma descrição de apenas um caso, achamos importante seu relato, pois as complicações dos acidentes cáusticos, especialmente as FET,
são raras, representam casos complexos, de difícil e longo tratamento, e exigem atendimento integrado e multidisciplinar.

Referências

1. Corsi PR, Hoyos MBL, Rasslan S, Viana AT, Gagliardi D. Lesäo aguda esôfago-gástrica causada por agente químico. Rev Assoc Med Bras. 2000;46(2):98-105.

2. Ramasamy K, Gumaste VV. Corrosive ingestion in adults. J Clin Gastroenterol 2003;37(2):119-24.

3. Andreollo NA, Lopes LR, Tercioti Júnior V, Brandalise NA, Leonardi LS. Esôfago de Barret associado à estenose cáustica do esôfago. Arq Gastroenterol. 2003;40(3):148-51.

4. Sarfati E, Jacob L, Servant JM, d'Acremont B, Roland E, Ghidalia T, et al. Tracheobronchial necrosis after caustic ingestion. J Thorac Cardiovasc Surg. 1992;103(3):412-3.

5. Mamede RC, Mello Filho FV. Ingestion of caustic substances and its complications. São Paulo Med J. 2001;119(1):10-5.

6. Baisi A, Bonavina L, Narne S, Peracchia A. Benign tracheoesophageal fistula: results of surgical therapy. Dis Esophagus. 1999;12(3):209-11.

7. Gudovsky LM, Koroleva NS, Biryukov YB, Chernousov AF, Perelman MI. Tracheoesophageal fistulas. Ann Thorac Surg. 1993;55(4):868-75.

8. Zagar ZA, Kochjar R, Mehta S, Mehta SK. The role of endoscopy in the management of corrosive ingestion and modified endoscopic classification of burns. Gastrointest Endosc. 1991;37(2):165-9.

9. Gerzic Z, Rakic S, Randjelovic T. Acquired benign esophagorespiratory fistula: report of 16 consecutive cases. Ann Thorac Surg. 1990;50(5):724-7.

10. Hosoya Y, Yokoyama T, Arai W, Hyodo M, Nishino H, Sugawara Y, et al. Tracheoesophageal fistula secondary to chemotherapy for malignant B-cell lymphoma of the thyroid: successful surgical treatment with jejunal interposition and mesenteric patch. Dis Esophagus. 2004;17(3):266-9.

11. Bardini R, Radicchi V, Parimbelli P, Tosato SM, Narne S. Repair of a recurrent benign Tracheoesophageal fistula with a Gore-Tex membrane. Ann Thorac Surg. 2003;76(1):304-6.

12. Ergün O, Celik A, Mutaf O. Two-stage coloesophagoplasty in children with caustic burns of the esophagus: hemodynamic basis of delayed cervical anastomosis--theory and fact. J Pediatr Surg. 2004;39(4):545-8.

13. Miranda MP, Genzini T, Ribeiro MA, Crescentini F, Faria JCM. Emprego de anastomose vascular microcirúrgica para incremento do fluxo sanguíneo na esofagocoloplastia. An Paul Med Cir. 2000;127(1):142-6.

14. Cecconello I. Faringocoloplastia no tratamento da estenose caustica do esôfago e da faringe [tese]. São Paulo: Faculdade de Medicina da Universidade de Sao Paulo; 1989.

____________________________________________________________________________________________
* Trabalho realizado na Universidade Federal do Triângulo Mineiro - UFTM - Uberaba (MG) Brasil.
1. Professor Titular da Disciplina de Cirurgia do Aparelho Digestivo da Universidade Federal do Triângulo Mineiro - UFTM - Uberaba (MG) Brasil.
2. Professor Adjunto, Chefe da Disciplina de Cirurgia Torácica da Universidade Federal do Triângulo Mineiro - UFTM - Uberaba (MG) Brasil.
3. Médico graduado pela Universidade Federal do Triângulo Mineiro - UFTM - Uberaba (MG) Brasil.
4. Professor Adjunto Doutor da Disciplina de Técnica Cirúrgica e Cirurgia Experimental da Universidade Federal do Triângulo Mineiro - UFTM - Uberaba (MG) Brasil.
5. Professor Adjunto Doutor, Chefe da Disciplina de Cirurgia do Aparelho Digestivo da Universidade Federal do Triângulo Mineiro - UFTM - Uberaba (MG) Brasil.
Endereço para correspondência: Marcelo Cunha Fatureto. Departamento de Cirurgia da UFTM. Av. Getúlio Guaritá, s/n, CEP 38025-440, Uberaba, MG, Brasil. Tel 55 34 3332-2155. E-mail: cremauftm@mednet.com.br/mfat@terra.com.br
Recebido para publicação em 16/12/05. Aprovado, após revisão, em 13/3/06.

Indexes

Development by:

© All rights reserved 2025 - Jornal Brasileiro de Pneumologia