Continuous and bimonthly publication
ISSN (on-line): 1806-3756

Licença Creative Commons
17504
Views
Back to summary
Open Access Peer-Reviewed
Case Series

Papilomatose laringotraqueobrônquica: aspectos em tomografia computadorizada de tórax

Laryngotracheobronchial papillomatosis: findings on computed tomography scans of the chest

Edson Marchiori, Cesar de Araujo Neto, Gustavo Souza Portes Meirelles, Klaus Loureiro Irion, Gláucia Zanetti, Israel Missrie, Juliana Sato

ABSTRACT

Abstract Objective: To present the findings of computed tomography (CT) scans of the chest in patients with laryngotracheobronchial papillomatosis. Methods: We retrospectively analyzed CT scans of eight patients, five males and three females, ranging from 5 to 18 years of age with a mean age of 10.5 years. Images were independently reviewed by two radiologists. In discrepant cases, a consensus was reached. Results: The most common CT findings were intratracheal polypoid lesions and pulmonary nodules, many of which were cavitated. Conclusions: In patients with laryngotracheobronchial papillomatosis, the most common tomographic finding was the combination of intratracheal polypoid lesions and multiple pulmonary nodules, many of which were cavitated.

Keywords: Tomography, X-ray computed; Papilloma; Tracheal neoplasms.

RESUMO

Objetivo: Apresentar os achados em tomografia computadorizada (TC) de tórax em pacientes com papilomatose laringotraqueobrônquica. Métodos: Foram estudadas, retrospectivamente, as TCs de oito pacientes, cinco masculinos e três femininos, com idades variando de 5 a 18 anos, com média de 10,5 anos. Os exames foram analisados por dois radiologistas, de forma independente, e as decisões finais foram obtidas por consenso. Resultados: Os achados mais comuns nas TCs foram as lesões nodulares da traquéia e os nódulos pulmonares, muitos com escavação. Conclusões: O aspecto tomográfico mais freqüentemente observado nos casos de papilomatose laringotraqueobrônquica foi a associação de lesões polipóides de traquéia com múltiplos nódulos pulmonares, vários deles escavados.

Palavras-chave: Tomografia computadorizada por raios X; Papiloma; Neoplasias da traquéia.

Introdução

A papilomatose respiratória recorrente, antigamente conhecida também como papilomatose laríngea juvenil, é em geral uma doença benigna e autolimitada.(1) Ela resulta de infecção do trato respiratório superior por human ­papillomavirus (HPV, papilomavirus humano),(2,3) com a formação de papilomas, que são os tumores benignos mais comuns do trato respiratório na infância.(4,5) A doença é mais comum em crianças, mas pode também ocorrer em adultos.(3) Em geral, é limitada à laringe, mas eventualmente se estende para a árvore traqueobrônquica e o parênquima pulmonar.(5,6) O envolvimento da via aérea central ocorre entre 2% a 5% dos pacientes com papilomas de laringe, e o envolvimento das pequenas vias aéreas ou alveolar ocorre em menos de 1%.(3,7) Esta forma mais disseminada é também chamada de papilomatose laringotraqueobrônquica (PLTB).

O diagnóstico de certeza da PLTB é feito por intermédio da broncoscopia com biópsia de lesões da laringe e/ou traquéia, mas pode ser sugerido pelos achados na tomografia computadorizada (TC). Neste trabalho, são apresentados os aspectos tomográficos observados em 8 pacientes com PLTB.

Métodos

Neste estudo foram analisadas, retrospectivamente, as TCs do tórax de 8 pacientes com o diagnóstico de papilomatose laringotraqueobrônquica, provenientes de cinco instituições médicas, localizadas em três estados da Federação (Rio de Janeiro, São Paulo e Bahia). Destes pacientes, 5 eram do sexo masculino e 3 do feminino. A faixa etária variou entre 5 e 18 anos, com média de 10,5 anos. Em todos os casos, o diagnóstico já havia sido feito previamente, anos antes, pelo encontro de papilomas nas vias aéreas superiores. Em 5 dos 8 pacientes, a doença foi diagnosticada antes dos 2 anos de idade. Todos foram submetidos a inúmeras ressecções prévias (nos 4 casos cujo número de ressecções prévias pôde ser quantificado, elas variaram de 15 a 40, com média de 25). Foi constatada degeneração maligna, para carcinoma de células escamosas, em 1 dos pacientes.

Em relação às queixas clínicas, a mais freqüente foi a rouquidão, em 6 casos. Outros achados foram broncoespasmo em 2, dispnéia em 2, infecções respiratórias de repetição em 2, insuficiência respiratória em 2, tosse seca em 1 e expectoração purulenta em 1. Dos 8 pacientes, 7 foram submetidos à traqueostomia, em algum momento da evolução da doença, para alívio da obstrução.

Na época da realização das TCs, todos os pacientes mostravam comprometimento das vias aéreas superiores, particularmente da laringe. Destes, 7 pacientes tinham envolvimento da traquéia e dos pulmões e 1 apresentava envolvimento da traquéia apenas.

As TCs do tórax foram realizadas em diversos tomógrafos, com cortes axiais de 5 a 10 mm de espessura, com 10 mm de incremento, feitos em inspiração profunda, desde os ápices até as bases pulmonares. Alguns pacientes foram submetidos também a cortes com técnica de alta resolução, com 1 ou 2 mm de espessura. Os exames foram registrados em janela de parênquima, com largura entre 1.000 e 1.500 unidades Hounsfield (UH) e centro entre −500 e −750 UH. Foram registrados também em janela para o mediastino, com largura entre 300-400 UH e centro entre 40 e 60 UH.

A análise das TCs foi feita por dois observadores, de forma independente, e os casos discordantes foram resolvidos por consenso. O estudo incluiu a avaliação da presença de lesões na traquéia e/ou nos brônquios principais e de lesões parenquimatosas associadas.

Resultados

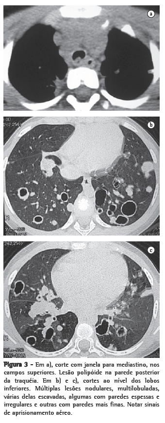
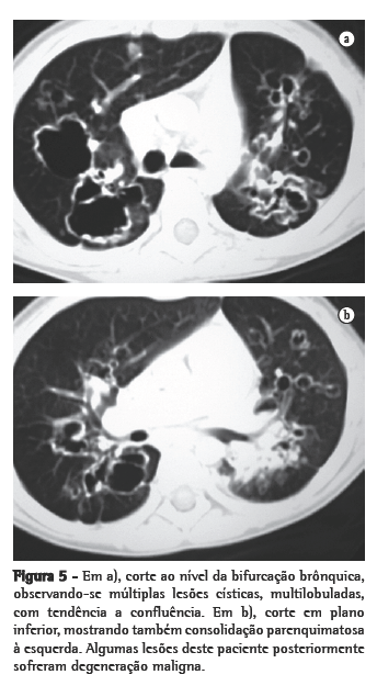
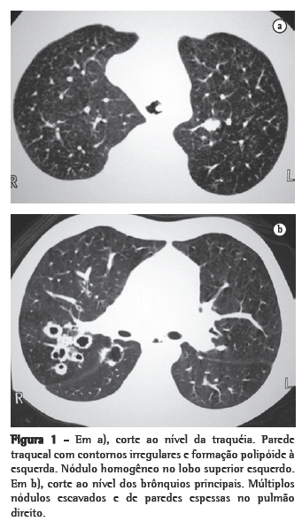
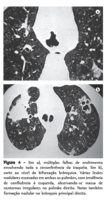
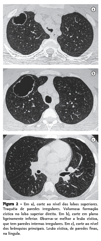
Nos 8 casos foram observadas na TC formações polipóides na traquéia. Em 1 deles, identificou-se também uma lesão em brônquio principal. Sete pacientes mostravam comprometimento do parênquima pulmonar. Em todos foram observadas lesões nodulares escavadas, com contornos internos irregulares, e paredes de espessuras variadas, com aspecto multilobulado em 6 casos, e com confluência das lesões em 5 deles (Figuras 1 a 5). Nódulos sólidos foram vistos em 6 pacientes, Em apenas 1 dos casos foram vistos níveis líquidos. As lesões predominaram nas bases em 3 pacientes, nos terços médios em 2, e em 2 não havia predomínio de distribuição. Em 1 dos pacientes, foi observada associação com massa, e em outro, com consolidação. Neste último paciente (Figura 5) foi constatada degeneração maligna em múltiplas lesões. Sinais de aprisionamento aéreo também foram observados em 1 caso. Em nenhum deles detectou-se linfonodomegalia ou derrame pleural.

















Discussão

A PLTB é uma doença benigna rara, vista em crianças, com poucos casos relatados em adultos. Embora histologicamente seja uma proliferação benigna de epitélio estratificado escamoso, usualmente limitada à laringe, ocasionalmente pode se tornar agressiva e resultar em envolvimento persistente e recorrente da nasofaringe, laringe e árvore traqueobrônquica. A disseminação para o parênquima pulmonar ocorre em menos de 1% dos casos. Ela pode ocorrer vários anos após o diagnóstico de papiloma de laringe.(4) Não há relatos de comprometimento da árvore brônquica sem envolvimento prévio da via aérea superior.(7) Todos os nossos pacientes tiveram o diagnóstico feito previamente, há anos atrás, por broncoscopia com biópsia.

O HPV é o agente etiológico da PLTB.(1,4-6) É um vírus de grande variabilidade genética, que apresenta vários tipos e subtipos geneticamente definidos.(4) Os tipos mais comumente relacionados à PLTB são os tipos HPV 6 e 11. Outros agentes menos comuns são os tipos 16 e 18. Estes têm sido associados mais comumente com transformação maligna, ­particularmente para carcinoma de células escamosas.(4-7) A infecção ocorre mais freqüentemente ao ­nascimento, relacionada à passagem pelo canal do parto, em mães portadoras de lesões papilomatosas vulvares.(1-4,7) A infecção pode também ocorrer na vida tardia, possivelmente entre parceiros sexuais, por contato oral com genitália externa infectada.(3,7)

A PLTB é classificada em formas adulta e juvenil. A forma juvenil inicia-se em pacientes com menos de 20 anos, se apresenta com múltiplas lesões, imprevisíveis quanto a sua resposta ao tratamento, e tendem a ter altas taxas de recorrência. Neste grupo, papilomas solitários são raros. Em adultos (pacientes acima de 20 anos na época do diagnóstico), a doença predomina em homens, é em geral solitária, mostra grau acentuado de reação inflamatória, não tende a se disseminar, e recidiva menos freqüentemente que a forma juvenil.(6) Várias possibilidades para a disseminação distal da papilomatose laríngea têm sido formuladas: extensão por contigüidade, contaminação viral difusa, origem multicêntrica dos papilomas e disseminação canalicular de fragmentos.(2,3,6) Fatores iatrogênicos, como laringoscopia, broncoscopia, traqueostomia e manipulação cirúrgica também podem disseminar os papilomas para a árvore distal.(6,7) Em nosso estudo, 7 pacientes realizaram traqueostomia, em algum momento da evolução da doença, para alívio de lesão obstrutiva.

Em crianças, o quadro clínico característico da papilomatose de laringe é a tríade de rouquidão progressiva, estridor e dificuldade respiratória. Em adultos, a rouquidão é o achado mais comum.(6) Na traquéia, os sintomas freqüentemente simulam doenças pulmonares obstrutivas, como asma e doença pulmonar obstrutiva crônica, gerando, muitas vezes, dificuldade no diagnóstico e equívocos no tratamento.(6,8) Ao exame físico, podem ser percebidos sibilos, estridor, taquipnéia e utilização de musculatura acessória da respiração.(8) A disseminação periférica pode levar a pneumonias de repetição, atelectasias obstrutivas e degeneração maligna. Clinicamente pode ocorrer febre, tosse, hemoptise e dispnéia progressiva.(2,8) Na nossa casuística, o sintoma mais comum foi a rouquidão.

O método ideal para o diagnóstico das lesões das vias aéreas centrais é a broncoscopia, que possibilita a realização de biópsia da lesão para avaliação histopatológica e o planejamento terapêutico.(8) A PLTB, na maioria dos casos, não oferece ­dificuldade diagnóstica, já que a apresentação pulmonar, de regra, é precedida de rica história clínica e de diagnóstico já firmado de papilomatose laríngea.(4,6) Na broncoscopia, os papilomas são polipóides, com coloração esbranquiçada, e podem envolver a laringe, traquéia ou brônquios.(3) Para o diagnóstico, a broncoscopia é o método de escolha, uma vez que é um procedimento diagnóstico e terapêutico, permitindo a ressecção das lesões e seu estudo anatomopatológico.

A radiografia de tórax eventualmente pode demonstrar achados sugestivos da doença, como a associação de nódulos pulmonares sólidos e/ou escavados, com lesões vegetantes nodulares na traquéia e/ou nos brônquios principais. Ao contrário dos nódulos pulmonares, que comumente são identificados na radiografia simples do tórax, os papilomas intraluminares da traquéia e brônquios em geral não são visualizados.(4) Na prática, contudo, raramente a doença é diagnosticada pela radiografia simples do tórax. Os nódulos em geral são múltiplos, bem circunscritos, de dimensões variadas, habitualmente escavados, com paredes geralmente espessas, sendo muito mais numerosos nas regiões basais e posteriores dos pulmões.(3,4) Os nódulos escavados podem conter apenas ar ou, quando infectados, nível líquido.(4)

A TC, particularmente com aquisição volumétrica (espiral), é superior às radiografias de tórax no reconhecimento de nódulos ainda pequenos, nas fases iniciais de disseminação pulmonar, por sua melhor caracterização e visualização de vegetações nodulares traqueobrônquicas. Os achados tomográficos incluem estreitamento nodular, focal ou difuso, da via aérea. Os nódulos crescem na superfície mucosa, e sua extensão intraluminar é melhor avaliada por TC.(3) São alterações facilmente correlacionadas à doença quando se dispõe da história clínica de papilomatose.(4) Outros achados relacionados à obstrução das vias aéreas e/ou infecções associadas são atelectasias, consolidações, aprisionamento aéreo e bronquiectasias.(2-4) Na nossa casuística, formações polipóides na traquéia foram observadas em todos os exames tomográficos. Sete pacientes mostravam comprometimento do parênquima pulmonar, caracterizado por lesões nodulares escavadas, com contornos internos irregulares, e paredes de espessuras variadas, com aspecto multilobulado e tendendo à confluência. Nódulos sólidos foram vistos em 6 pacientes. Em nenhum deles detectou-se linfonodomegalia ou derrame pleural.

Os papilomas aparecem como massas ou nódulos únicos ou múltiplos, exofíticos, sésseis ou pediculados, moles e friáveis, mais comumente localizados nas cordas vocais, pregas ventriculares, subglote e superfície laríngea da epiglote.(6) Ao exame histológico, os papilomas se apresentam como projeções de epitélio escamoso estratificado com um centro fibrovascular. A hiperplasia de células basais e grandes células epiteliais vacuoladas com citoplasma claro são os achados típicos.(6,7) Quando a lesão se estende para a árvore traqueobrônquica, o epitélio pode ser escamoso ou colunar ciliado.(6) As lesões pulmonares são focos de epitélio escamoso que crescem de forma circunferencial no interior dos alvéolos, utilizando-os para o suprimento vascular. Próximo à porção central de uma lesão sólida ou escavada visualizam-se necrose e degeneração, com fragmentos no interior. Na periferia, células escamosas invadem os alvéolos adjacentes por extensão direta da massa principal de células, sendo que linfócitos e macrófagos também são reconhecidos no conteúdo alveolar. Elas crescem, coalescem e destroem o parênquima, formando escavações.(4)

A degeneração maligna para carcinoma de células escamosas é relatada entre 1% e 10% dos casos de PLTB,(3,4) em geral ocorrendo após a irradiação ou quimioterapia com bleomicina, ou em pacientes com história de tabagismo.(1,6) Pode acontecer na infância ou mesmo décadas após o diagnóstico de papilomas benignos.(4) Na maior parte dos casos, ocorre em pacientes com disseminação prévia da doença para a árvore traqueobrônquica. Raramente pode ocorrer na forma laríngea da doença.(2,5) Em 1 dos casos estudados, houve degeneração maligna, constatada em biópsias realizadas em três diferentes lesões.

As lesões pequenas e pouco sintomáticas podem ser tratadas com corticosteróides e antibióticos. As lesões maiores, sintomáticas, podem ser extirpadas através de procedimentos broncoscópicos, como curetagem, laser, eletrocauterização ou criocirurgia, sendo a abordagem cirúrgica (por toracotomia ou esternotomia) raramente necessária.(8) Radioterapia, vacinação autógena e quimioterapia não têm tido sucesso.(3,6) O tratamento antiviral também tem sido usado.(3) Apesar dos múltiplos protocolos de tratamento, nenhum é realmente eficaz.(1,4) A recorrência dos papilomas é comum, qualquer que seja o tratamento usado. Na prática, estes pacientes necessitam de freqüentes broncoscopias.

A enfermidade adquire grande importância por sua grave evolução e acometimento em crianças e adolescentes, apresentando morbidade com sérias complicações e expressiva piora da qualidade de vida, ocasionadas por muitas excisões cirúrgicas e traqueostomias necessárias, com prognóstico desfavorável, que inclui o óbito.(4) Embora na maioria dos casos o diagnóstico já tenha sido feito na infância, pelo encontro de papilomas nas vias aéreas superiores, eventualmente o diagnóstico pode ser inicialmente suspeitado pelo encontro de lesões polipóides na traquéia, associadas a nódulos pulmonares, vários deles escavados.

Referências

1. Rady PL, Schnadig VJ, Weiss RL, Hughes TK, Tyring SK. Malignant transformation of recurrent respiratory papillomatosis associated with integrated human papillomavirus type 11 DNA and mutation of p53. Laryngoscope. 1998;108(5):735-40.

2. Chang CH, Wang HC, Wu MT, Lu JY. Virtual bronchoscopy for diagnosis of recurrent respiratory papillomatosis. J Formos Med Assoc. 2006;105(6):508-11.

3. Prince JS, Duhamel DR, Levin DL, Harrell JH, Friedman PJ. Nonneoplastic lesions of the tracheobronchial wall: radiologic findings with bronchoscopic correlation. Radiographics. 2002;22 Spec No:S215-30. Erratum in: Radiographics. 2003;23(1):191.

4. Araújo Neto CA, Campos RM, Bastos ML. Papilomatose respiratória recorrente com disseminação pulmonar - relato de dois casos. Radiol Bras. 2002;35(2):117-120.

5. Wilde E, Duggan MA, Field SK. Bronchogenic squamous cell carcinoma complicating localized recurrent respiratory papillomatosis. Chest. 1994;105(6):1887-8.

6. Rad MH, Alizadeh E, Ilkhanizadeh B. Recurrent laryngeal papillomatosis with bronchopulmonary spread in a 70-year-old man. Tuberk Toraks. 2007;55(3):299-302.

7. Franzmann MB, Buchwald C, Larsen P, Balle V. Tracheobronchial involvement of laryngeal papillomatosis at onset. J Laryngol Otol. 1994;108(2):164-5.

8. Baldi BG, Fernandes CJ, Salge JM, Takagaki TY. Tracheal polyp. J Bras Pneumol. 2007;33(5):616-20.




* Trabalho realizado nos Departamentos de Radiologia da Universidade Federal Fluminense, Niterói (RJ) Brasil, Universidade Federal do Rio de Janeiro, Rio
de Janeiro (RJ) Brasil, Universidade Federal da Bahia, Salvador (BA) Brasil, Universidade Federal de São Paulo, São Paulo (SP) Brasil e The Royal Liverpool and
Broadgreen University Hospitals, Liverpool, Inglaterra.
1. Professor Titular. Departamento de Radiologia, Universidade Federal Fluminense, Niterói (RJ) Brasil.
2. Professor Assistente. Disciplina de Radiologia, Universidade Federal da Bahia, Salvador (BA) Brasil.
3. Médico Radiologista. Departamento de Diagnóstico por Imagem, Universidade Federal de São Paulo, Escola Paulista de Medicina, São Paulo (SP) Brasil.
4. Radiologista Torácico Consultor. The Royal Liverpool and Broadgreen University Hospitals, Liverpool, Inglaterra.
5. Professora. Disciplina de Clínica Médica. Faculdade de Medicina de Petrópolis, Petrópolis (RJ) Brasil.
6. Médica Residente. Departamento de Otorrinolaringologia e Cirurgia de Cabeça e Pescoço, Universidade Federal de São Paulo, São Paulo (SP) Brasil.
Endereço para correspondência: Edson Marchiori. Rua Thomaz Cameron, 438, Valparaiso, CEP 25685-120, Petrópolis, RJ, Brasil.
Tel 55 21 2629-9076. E-mail: edmarchiori@gmail.com
Apoio financeiro: Nenhum.
Recebido para publicação em 23/3/2008. Aprovado, após revisão, em 25/4/2008.

Indexes

Development by:

© All rights reserved 2025 - Jornal Brasileiro de Pneumologia