Continuous and bimonthly publication
ISSN (on-line): 1806-3756

Licença Creative Commons
20738
Views
Back to summary
Open Access Peer-Reviewed
Case Report

Forma pseudoneoplásica de esquistossomose pulmonar crônica sem hipertensão pulmonar

Pseudotumoral presentation of chronic pulmonary schistosomiasis without pulmonary hypertension

Gisane Cavalcanti Rodrigues, Domício Carvalho Lacerda, Edson da Silva Gusmão, Fernando Antônio Colares, Vinícius Turano Mota

ABSTRACT

Schistosomiasis is a disease that, in Brazil, is caused by Schistosoma mansoni and is transmitted by snails of the genus Biomphalaria. This species occurs in Africa, the Antilles and South America. The parasite, developing to the adult stage in the vascular system of the host, migrates to the mesenteric veins. Each female lays approximately 400 eggs per day, and these travel from the submucosa to the intestinal lumen. There have been reported cases in which S. mansoni eggs were identified in the lungs of patients with no evidence of liver fibrosis. We report a case with this atypical presentation of the disease. The patient presented nonpleuritic chest pain, significant weight loss and dry cough. A CT scan revealed an irregular tumor in the left lower lobe. However, a lung biopsy revealed non-viable S. mansoni eggs. The patient presented no clinical signs of pulmonary or portal hypertension; nor was either identified through diagnostic tests.

Keywords: Schistosomiasis; Schistosoma mansoni; Lung diseases, parasitic.

RESUMO

A esquistossomose é uma doença que, no Brasil, é causada pelo Schistosoma mansoni e transmitida através da água por moluscos do gênero Biomphalaria. Essa espécie ocorre na África, nas Antilhas e na América do Sul. O parasita, ao atingir a fase adulta de seu ciclo biológico no sistema vascular do homem, alcança as veias mesentéricas. Cada fêmea põe cerca de 400 ovos por dia, e estes, a partir da submucosa, chegam à luz intestinal. Há relatos de casos a respeito de ovos de S. mansoni nos pulmões de pacientes sem evidência de fibrose hepática. Relatamos um caso dessa forma atípica de apresentação da doença. O paciente apresentava dor torácica não-ventilatório-dependente, perda ponderal significativa e tosse seca. A TC de tórax mostrou uma tumoração irregular no lobo inferior esquerdo, mas somente a biópsia pulmonar evidenciou ovos de S. mansoni degenerados. O paciente não apresentava sinais clínicos de hipertensão pulmonar ou portal, as quais tampouco foram diagnosticadas através de exames.

Palavras-chave: Esquistossomose; Schistosoma mansoni; Pneumopatias parasitárias.

Introdução

A esquistossomose é uma das doenças infecciosas mais prevalentes no mundo.(1) O Brasil é uma das mais importantes zonas de distribuição da doença no mundo, não somente pelo número de enfermos, mas ainda pela gravidade apresentada por alguns deles.

O Schistosoma mansoni é o agente existente em nosso meio.(2) Os humanos adquirem a infecção ao contato com águas contendo formas infectantes. Os vermes adultos vivem em vasos mesentéricos eliminando ovos diariamente. O granuloma formado em resposta à presença do ovo nos tecidos leva às clássicas complicações: espessamento da parede do intestino, fibrose periportal do fígado e hipertensão portal ou pulmonar, assim como complicações durante a migração das formas larvárias, como a síndrome de Loeffler. Sintomas pulmonares da esquistossomose podem ser dispneia e tosse seca. A progressão para hipertensão pulmonar ocorre em alguns casos. Formas pulmonares atípicas, como a pseudoneoplásica, por serem pouco frequentes, causam dificuldades quanto ao diagnóstico diferencial. No entanto, deve-se lembrar de esquistossomose diante de problemas pulmonares, principalmente em áreas endêmicas.(3) O objetivo deste trabalho foi apresentar um caso raro de esquistossomose pulmonar simulando neoplasia pulmonar em uma região endêmica.

Relato de caso

Paciente do sexo masculino, 50 anos, representante comercial, natural e procedente de Montes Claros (MG), tabagista (35 anos-maço), relatava dor em hemitórax esquerdo iniciada há dois anos, que irradiava para o dorso, de leve intensidade, em aperto, contínua, diária, que piorava com movimentos do tórax e esforço físico e que melhorava tanto com analgésicos comuns quanto com posicionamento em decúbito ventral. Tal dor tinha períodos de piora da intensidade, sem regularidade, que era aliviada com analgésicos potentes e anti-inflamatórios. Porém, nos últimos 6 dias que antecederam a procura ao nosso serviço, o paciente iniciou com dor mais intensa. Apresentava tosse seca ocasional, desde o início do quadro. Informava, ainda, a perda ponderal de 10 kg desde o início da dor. Negava febre. O paciente relatava hábito frequente de pescar em rios e lagos. Exame físico sem alterações. Sem antecedentes patológicos.

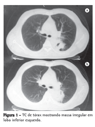
Foi avaliado, inicialmente, pela cardiologia, por suspeita de síndrome coronariana aguda e, após exclusão da mesma (através de eletrocardiograma, ecocardiograma e resultados normais para enzimas cardíacas), a propedêutica seguiu em direção a diagnósticos diferenciais. O hemograma mostrava poucos eosinófilos (2%; 130 células). A radiografia e TC de tórax mostraram massa irregular em segmento superior do lobo inferior esquerdo, envolvendo o brônquio principal esquerdo, sem acometimento de linfonodos (Figura 1). A fibrobroncoscopia com biópsia transbrônquica não evidenciou alterações na árvore brônquica, e o exame anatomopatológico foi normal.





Inicialmente, tentou-se descartar TB e micoses pulmonares. Tanto a pesquisa de bacilo da TB quanto à de fungos no lavado broncoalveolar (LBA) foram negativas. A cultura do LBA para bacilo da TB e outras bactérias foi negativa. Optou-se, então, por pleuroscopia com biópsia. O exame histopatológico do material evidenciou tecido pulmonar com acentuada fibrose e intenso processo inflamatório crônico; diversos granulomas com supuração central, contendo inúmeros eosinófilos, várias células gigantes multinucleadas de tipo corpo estranho e raros ovos de S. mansoni degenerados, além de depósitos de fibrina e áreas de antracose e hemossiderose (Figura 2).



Em seguida, diante do diagnóstico de esquistossomose pulmonar, foi realizado um ultrassom de abdome que mostrou, apenas, esteatose hepática. Os exames parasitológicos de fezes pelo método de Kato-Katz foram negativos. A endoscopia digestiva alta foi normal. Em seguida, foi prescrito praziquantel para o tratamento.

No entanto, devido ao intenso processo inflamatório e ao comprometimento do lobo pulmonar, o paciente foi submetido à lobectomia aberta, sendo que a espirometria pré-operatória não mostrou distúrbios obstrutivos ou restritivos.

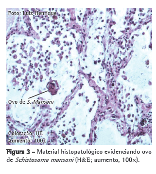
A análise macroscópica mostrou um lobo pulmonar pardo-escuro, medindo 15,0 × 11,0 × 6,0 cm e pesando 50 g; aos cortes, áreas branco-amareladas, macias, pastosas e com pontos firmes. A microscopia foi condizente com os achados da biópsia anterior: ovos de S. mansoni degenerados (Figura 3).




Após sua recuperação do procedimento cirúrgico, os sintomas do paciente melhoraram.

Discussão

A esquistossomose caracteriza-se por uma fase inicial, geralmente despercebida, e outra crônica, na qual podem aparecer as formas graves, evidenciadas, principalmente, pela hipertensão portal e suas complicações, assim como pelo comprometimento do sistema nervoso.(4)

A doença está presente no Oriente Próximo, África, e América do Sul. Humanos infectados eliminam os ovos de S. mansoni em águas naturais através de urina e fezes contaminadas. Caramujos, hospedeiros intermediários, ingerem os ovos que, subsequentemente, passam por muitos ciclos de multiplicação. Eles são, então, eliminados na água como cercárias, a forma infectante. Essa forma tem a habilidade de penetrar na pele humana ou, se ingerida, penetra na mucosa intestinal.

Pessoas comumente se tornam infectadas enquanto nadam em águas contaminadas.(1) O hábito de pescar do paciente deste relato foi responsável, provavelmente, pela sua contaminação. Após penetrar a pele, a cercária se torna uma forma jovem, chamada esquistossômulo. Esse migra primeiro para o pulmão e, posteriormente, chega ao fígado.

Em seguida, as formas adultas migram em conjunto para vênulas do seu habitat final: o mesentério. A maioria dos ovos é excretada. Os poucos ovos não eliminados causam reação granulomatosa em tecidos do hospedeiro. Essa reação é a causa dos sintomas da esquistossomose.(1)

As manifestações respiratórias podem ser agudas, que são intensas e transitórias, ou crônicas, que podem ser decorrentes de hipertensão pulmonar e cor pulmonale. Mais de 25% dos pacientes com hipertensão portal têm acometimento pulmonar, mas apenas 5% têm hipertensão pulmonar e cor pulmonale.

Na forma aguda, o acometimento pulmonar deve-se a presença dos esquistossômulos na circulação pulmonar, levando a uma reação de hipersensibilidade. O paciente costuma apresentar febre, o sinal mais frequente, que pode se associar em um quarto dos casos com sinais cutâneos de urticária (febre de Katayama). A febre tem duração variável, mas geralmente até três semanas, podendo se associar a hepatoesplenomegalia. Sinais de acometimento pulmonar são tosse com expectoração mucoide ou hemoptoica e dispneia.(2) No entanto, em áreas endêmicas, a fase aguda pode passar despercebida.(4) Diante disso, a inexistência desses sintomas no paciente do relato se justifica pelo fato do mesmo ser habitante de uma região endêmica.

A doença crônica ocorre devido a alguns ovos passarem à circulação venosa por circulações colaterais anômalas (shunt intra-hepático), ficando retidos nos pulmões.(2) O ovo causa uma arteriolite necrotizante que destrói a camada íntima dos vasos e leva à obliteração vascular. A multiplicação de lesões semelhantes leva à hipertensão pulmonar. A morte de vermes adultos nos pulmões pode levar à chamada "pneumonia por verme adulto". Formas pseudoneoplásicas apresentam uma intensa neoformação conjuntiva e, frequentemente, grande quantidade de ovos calcificados e granulomas.(4)

As formas pulmonares crônicas podem ter apresentação subclínica, miliar crônica, hipertensão arterial pulmonar com ou sem cor pulmonale e formas raras (com hemoptise, forma pseudoneoplásica e pseudotuberculose).(5)

A apresentação subclínica ocorre em 60% dos casos. O paciente não tem sintomas, mas as provas de função pulmonar revelam um distúrbio restritivo e, em alguns casos, obstrutivo.

Formas miliares expressam radiograficamente um padrão clássico de infiltrado intersticial devido à granulomatose esquistossomótica. O estudo tomográfico evidencia um aspecto nodular ou calcificações no parênquima pulmonar. Nesses casos, o paciente pode apresentar tosse seca e dispneia.

A hipertensão pulmonar e cor pulmonale são mais frequentes no Brasil e no Egito. As manifestações clínicas geralmente são dispneia, dor torácica, hipocratismo digital e hiperfonese de segunda bulha. Durante a propedêutica, encontramos através do eletrocardiograma, da radiografia e da TC de tórax sinais de sobrecarga cardíaca direita e hipertensão pulmonar.

Entre as formas raras, no Brasil, foi descrito caso de hemoptise de repetição. No Egito, foi relatado um caso com uma lesão de 6 cm em lobo inferior direito, com manifestações de dor torácica e hemoptise.(5) A apresentação pseudoneoplásica tem sido descrita em alguns relatos de caso.(5,6)

O diagnóstico diferencial deve ser feito com tumores benignos e malignos, assim como com doenças infecciosas que podem produzir lesões tumorais, tais como TB, paracoccidioidomicose, histoplasmose, criptococose, aspergilose, etc.(4) Essa rara forma clínica foi a que melhor se enquadrou neste relato. Devido à semelhança na apresentação, com pesquisa de bacilo da TB e de fungos negativas, e o fato do paciente apresentar fator de risco para neoplasia de pulmão, nosso raciocínio diagnóstico se voltou para confirmar esta patologia.

O diagnóstico pode ser feito por métodos diretos ou indiretos. O exame de fezes pelo método de Kato-Katz tem bons resultados na pesquisa de ovos do parasita. Porém, quando a carga parasitária é pequena, há a necessidade de se repetir o exame. A biópsia retal mostra ovos que, de acordo com o estágio de maturação, podem auxiliar na dedução da época de ovoposição. Na esquistossomose crônica, sem hipertensão portal, esse exame apresenta cerca de 80% de positividade, enquanto o exame parasitológico, cerca de 50%. A biópsia retal negativa não exclui o diagnóstico. Foram relatados casos em que a biópsia de pulmão revelou o diagnóstico.(1) Diante desses casos atípicos, principalmente quando simula câncer, o diagnóstico tende a ser confirmado somente com a biópsia pulmonar.

Métodos indiretos, como intradermorreação e testes sorológicos, são mais utilizados em regiões de baixa prevalência.(4)

O tratamento específico pode ser efetuado com os antimoniais oxaminiquine ou ­praziquantel. No entanto, tem sido constatada resistência ao tratamento com oxaminiquine.(4) Nenhum dado existe em relação ao efeito da droga em doença pulmonar. No entanto, há muitas razões a favor do tratamento. Primeiro, os efeitos colaterais da droga são leves, e o tratamento mata o verme adulto, eliminando a ovoposição e, portanto, a progressão da doença.(1) A nossa opção pelo tratamento foi buscando justamente interromper a progressão da doença, uma vez que o paciente não apresentava comprometimento de outros órgãos.

Em relação ao controle, embora a biópsia retal seja um bom método de avaliação da cura, os exames de fezes repetidos apresentam resultados superiores.(4)

O saneamento básico, a educação sanitária e o tratamento dos doentes são os fatores de melhor eficácia no controle da doença.(2) Estudos para o desenvolvimento de vacinas têm sido realizados no Instituto Oswaldo Cruz.(7)

O caso relatado demonstra a necessidade de se considerar a esquistossomose no diagnóstico diferencial de tumorações pulmonares ao exame de imagem, uma vez que o Brasil está entre os países de maior prevalência da doença.

Referências


1. Schwartz E. Pulmonary schistosomiasis. Clin Chest Med. 2002;23(2):433-43.

2. Pereira LH. Schistosoma mansoni. In: Neves DP, editor. Parasitologia Humana. São Paulo: Atheneu; 2005. p. 212-37.

3. Abdulla MA, Hombal SM, al-Juwaiser A. Detection of Schistosoma mansoni in bronchoalveolar lavage fluid. A case report. Acta Cytol. 1999;43(5):856-8.

4. Prata A. Esquistossomose Mansoni. In: Veronesi R, Focaccia R. Tratado de Infectologia. São Paulo: Atheneu; 2005. p.1697-1722.

5. Klotz F, Hovette P, Mbaye PS, Fall F, Thiam M, Cloatre G. Pulmonary manifestations of schistosomiasis [Article in French]. Rev Pneumol Clin. 1998;54(6):353-8.

6. al-Fawaz IM, al-Rasheed SA, al-Majed SA, Ashour M. Schistosomiasis associated with a mediastinal mass: case report and review of the literature. Ann Trop Paediatr. 1990;10(3):293-7.

7. Nascimento E, Leão IC, Pereira VR, Gomes YM, Chikhlikar P, August T, et al. Protective immunity of single and multi-antigen DNA vaccines against schistosomiasis. Mem Inst Oswaldo Cruz. 2002;97 Suppl 1:105-9.


Sobre os autores

Gisane Cavalcanti Rodrigues
Médico Residente em Clínica Médica. Hospital Universitário Clemente de Farias, Montes Claros (MG) Brasil.

Domício Carvalho Lacerda
Médico Residente em Clínica Médica. Hospital Universitário Clemente de Farias, Montes Claros (MG) Brasil.

Edson da Silva Gusmão
Médico Patologista. Hospital Universitário Clemente de Farias, Montes Claros (MG) Brasil.

Fernando Antônio Colares
Médico Pneumologista. Serviço de Pneumologia, Hospital Universitário Clemente de Farias, Montes Claros (MG) Brasil.

Vinícius Turano Mota
Médico Cirurgião Torácico. Serviço de Cirurgia Torácica, Hospital Universitário Clemente de Farias, Montes Claros (MG) Brasil.


Trabalho realizado no Serviço de Pneumologia, Hospital Universitário Clemente de Farias, Montes Claros (MG) Brasil.
Endereço para correspondência: Gisane Cavalcanti Rodrigues. Avenida Cula Mangabeira, 562, Santo Expedito, CEP 39401-002, Montes Claros, MG, Brasil.
Tel 55 38 3224-8373. E-mail: gisanecr@yahoo.com.br
Recebido para publicação em 17/7/2008. Aprovado, após revisão, em 29/9/2008.

Indexes

Development by:

© All rights reserved 2025 - Jornal Brasileiro de Pneumologia